相关产品推荐更多 >
万千商家帮你免费找货
0 人在求购买到急需产品
- 详细信息
- 技术资料
- 免疫原:
KLH conjugated synthetic peptide derived from human PRODH
- 亚型:
IgG
- 形态:
液态/冻干粉
- 保存条件:
Store at -1478 °C
- 克隆性:
多克隆
- 宿主:
rabbit
- 应用范围:
IHC-P=1:50-100 IHC-F=1:50-1370 (石蜡切片需做抗原修复) not yet tested in other applications.optimal dilutions/concentrations should be determined by the end user.
- 浓度:
1mg/1ml
- 规格:
0.2ml/0.1ML
规格价格50ul 购买 100ul 购买 200ul 购买 大包装/询价
说 明 书50ul 100ul 200ul
研究领域肿瘤 干细胞 生长因子和激素 细胞表面分子
抗体来源Rabbit
克隆类型Polyclonal
交叉反应 Human, Mouse, Rat, Dog, Pig, Cow, Rabbit, Sheep, Guinea Pig,
产品应用WB=1:500-2000 ELISA=1:500-1000 IHC-P=1:400-800 IHC-F=1:400-800 ICC=1:100-500 IF=1:100-500 (石蜡切片需做抗原修复)
not yet tested in other applications.
optimal dilutions/concentrations should be determined by the end user.
分 子 量27kDa
细胞定位细胞膜
性 状Lyophilized or Liquid
浓 度1mg/ml
免 疫 原KLH conjugated synthetic peptide derived from human BAMBI:101-200/260 <Extracellular>
亚 型IgG
纯化方法affinity purified by Protein A
储 存 液0.01M TBS(pH7.4) with 1% BSA, 0.03% Proclin300 and 50% Glycerol.
保存条件Store at -20 °C for one year. Avoid repeated freeze/thaw cycles. The lyophilized antibody is stable at room temperature for at least one month and for greater than a year when kept at -20°C. When reconstituted in sterile pH 7.4 0.01M PBS or diluent of antibody the antibody is stable for at least two weeks at 2-4 °C.
PubMedPubMed
产品介绍background:
BAMBI is a membrane spanning glycoprotein that acts as a negative regulator of TGF-β signaling during development. The BAMBI family of proteins are related to type I TGF-β receptor family, however, BAMBI is a pseudoreceptor that lacks an intracellular serine/threonine kinase domain. BAMBI transcription regulation is under the influence of β-catenin, BMP, smad3 and smad4. BAMBI expression can increase in colorectal and hepatocellular carcinomas relative to non-cancerous tissues. BAMBI is expressed at high levels during odontogenesis. BAMBI is coexpressed with Bmp-4 during early Xenopus embryogenesis and can be detected in poorly metastatic human melanoma cell lines.
Function:
Negatively regulates TGF-beta signaling.
Subcellular Location:
Membrane.
Tissue Specificity:
High expression in kidney medulla, placenta and spleen; low in kidney cortex, liver, prostate and gut. Not expressed in normal skin, expression is high in melanocytes and in 3 out of 11 melanoma metastases tested.
Similarity:
Belongs to the BAMBI family.
SWISS:
Q13145
Gene ID:
25805
Database links:
Entrez Gene: 25805 Human
Entrez Gene: 68010 Mouse
Entrez Gene: 449001 Pig
Entrez Gene: 83837 Rat
Omim: 604444 Human
SwissProt: Q13145 Human
SwissProt: Q9D0L6 Mouse
SwissProt: Q91XN4 Rat
Unigene: 533336 Human
Unigene: 284863 Mouse
Unigene: 25267 Rat
Important Note:
This product as supplied is intended for research use only, not for use in human, therapeutic or diagnostic applications.
说 明 书50ul 100ul 200ul
研究领域肿瘤 干细胞 生长因子和激素 细胞表面分子
抗体来源Rabbit
克隆类型Polyclonal
交叉反应 Human, Mouse, Rat, Dog, Pig, Cow, Rabbit, Sheep, Guinea Pig,
产品应用WB=1:500-2000 ELISA=1:500-1000 IHC-P=1:400-800 IHC-F=1:400-800 ICC=1:100-500 IF=1:100-500 (石蜡切片需做抗原修复)
not yet tested in other applications.
optimal dilutions/concentrations should be determined by the end user.
分 子 量27kDa
细胞定位细胞膜
性 状Lyophilized or Liquid
浓 度1mg/ml
免 疫 原KLH conjugated synthetic peptide derived from human BAMBI:101-200/260 <Extracellular>
亚 型IgG
纯化方法affinity purified by Protein A
储 存 液0.01M TBS(pH7.4) with 1% BSA, 0.03% Proclin300 and 50% Glycerol.
保存条件Store at -20 °C for one year. Avoid repeated freeze/thaw cycles. The lyophilized antibody is stable at room temperature for at least one month and for greater than a year when kept at -20°C. When reconstituted in sterile pH 7.4 0.01M PBS or diluent of antibody the antibody is stable for at least two weeks at 2-4 °C.
PubMedPubMed
产品介绍background:
BAMBI is a membrane spanning glycoprotein that acts as a negative regulator of TGF-β signaling during development. The BAMBI family of proteins are related to type I TGF-β receptor family, however, BAMBI is a pseudoreceptor that lacks an intracellular serine/threonine kinase domain. BAMBI transcription regulation is under the influence of β-catenin, BMP, smad3 and smad4. BAMBI expression can increase in colorectal and hepatocellular carcinomas relative to non-cancerous tissues. BAMBI is expressed at high levels during odontogenesis. BAMBI is coexpressed with Bmp-4 during early Xenopus embryogenesis and can be detected in poorly metastatic human melanoma cell lines.
Function:
Negatively regulates TGF-beta signaling.
Subcellular Location:
Membrane.
Tissue Specificity:
High expression in kidney medulla, placenta and spleen; low in kidney cortex, liver, prostate and gut. Not expressed in normal skin, expression is high in melanocytes and in 3 out of 11 melanoma metastases tested.
Similarity:
Belongs to the BAMBI family.
SWISS:
Q13145
Gene ID:
25805
Database links:
Entrez Gene: 25805 Human
Entrez Gene: 68010 Mouse
Entrez Gene: 449001 Pig
Entrez Gene: 83837 Rat
Omim: 604444 Human
SwissProt: Q13145 Human
SwissProt: Q9D0L6 Mouse
SwissProt: Q91XN4 Rat
Unigene: 533336 Human
Unigene: 284863 Mouse
Unigene: 25267 Rat
Important Note:
This product as supplied is intended for research use only, not for use in human, therapeutic or diagnostic applications.
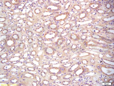
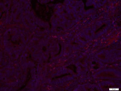
| 产品图片 | ![]() Sample: RAW264.7 (Mouse) CellLysate at 30 ug Primary: Anti-BAMBI (bs-12418R) at 1/500 dilution Secondary: IRDye800CW Goat Anti-Rabbit IgG at 1/20000 dilution Predicted band size: 27 kD Observed band size: 30 kD ![]() Sample: Testis (Mouse) Lysate at 40 ug Spleen (Mouse) Lysate at 40 ug Primary: Anti-BAMBI (bs-12418R) at 1/500 dilution Secondary: IRDye800CW Goat Anti-Rabbit IgG at 1/20000 dilution Predicted band size: 27 kD Observed band size: 30 kD ![]() Tissue/cell: human kidney tissue; 4% Paraformaldehyde-fixed and paraffin-embedded; Antigen retrieval: citrate buffer ( 0.01M, pH 6.0 ), Boiling bathing for 15min; Block endogenous peroxidase by 3% Hydrogen peroxide for 30min; Blocking buffer (normal goat serum,C-0005) at 37℃ for 20 min; Incubation: Anti-BAMBI Polyclonal Antibody, Unconjugated(bs-12418R) 1:200, overnight at 4°C, followed by conjugation to the secondary antibody(SP-0023) and DAB(C-0010) staining ![]() Paraformaldehyde-fixed, paraffin embedded (Human colon cancer); Antigen retrieval by boiling in sodium citrate buffer (pH6.0) for 15min; Block endogenous peroxidase by 3% hydrogen peroxide for 20 minutes; Blocking buffer (normal goat serum) at 37°C for 30min; Incubation: Anti-BAMBI Antibody, conjugated (bs-12418R-PE) 1:400, 1.5 hours at 37°C; DAPI (5ug/ml, blue, C-0033) was used to stain the cell nuclei. |
风险提示:丁香通仅作为第三方平台,为商家信息发布提供平台空间。用户咨询产品时请注意保护个人信息及财产安全,合理判断,谨慎选购商品,商家和用户对交易行为负责。对于医疗器械类产品,请先查证核实企业经营资质和医疗器械产品注册证情况。
技术资料暂无技术资料 索取技术资料
肿瘤转移抑制蛋白BAMBI抗体
¥1280












