相关产品推荐更多 >
万千商家帮你免费找货
0 人在求购买到急需产品
- 详细信息
- 文献和实验
- 技术资料
- 亚型:
IgG
- 形态:
液态/冻干粉
- 保存条件:
-20℃保存
- 克隆性:
多克隆
- 标记物:
FITC
- 宿主:
Rabbit
- 应用范围:
ELISA=1:500-1000 IHC-P=1:100-500 IHC-F=1:100-500 ICC=1:100-500 IF=1:100-2915 (石蜡切片需做抗原修复) not yet tested in other applications.
- 浓度:
2412mg/ml
- 抗体英文名:
PKR
- 规格:
0.1ml 0.2417ml
中文名称蛋白激酶R/EIF2AK1抗体
别 名double-stranded RNA-dependent Protein Kinase; interferon-induced, double-stranded RNA-activated protein kinase isoform a; protein kinase, interferon-inducible double stranded RNA dependent; interferon-inducible elF2alpha kinase; double stranded RNA activated protein kinase; p68 kinase; eIF-2A protein kinase 2; P1/eIF-2A protein kinase; protein kinase RNA-activated; interferon-inducible RNA-dependent protein kinase; EIF2AK2; EIF2AK1; MGC126524; PKR; PRKRv.
文献引用
规格50ul 100ul 200ul
研究领域细胞生物 信号转导 细胞凋亡 生长因子和激素 激酶和磷酸酶 细胞分化
抗体来源Rabbit
克隆类型Polyclonal
交叉反应 Human, Mouse, Rat,
产品应用WB=1:500-2000 ELISA=1:500-1000 IHC-P=1:400-800 IHC-F=1:400-800 Flow-Cyt=1ug/test IF=1:100-500 (石蜡切片需做抗原修复)
not yet tested in other applications.
optimal dilutions/concentrations should be determined by the end user.
分 子 量61kDa
细胞定位细胞浆
性 状Lyophilized or Liquid
浓 度1mg/ml
免 疫 原KLH conjugated synthetic peptide derived from human PKR:251-360/551
亚 型IgG
纯化方法affinity purified by Protein A
储 存 液0.01M TBS(pH7.4) with 1% BSA, 0.03% Proclin300 and 50% Glycerol.
保存条件Store at -20 °C for one year. Avoid repeated freeze/thaw cycles. The lyophilized antibody is stable at room temperature for at least one month and for greater than a year when kept at -20°C. When reconstituted in sterile pH 7.4 0.01M PBS or diluent of antibody the antibody is stable for at least two weeks at 2-4 °C.
PubMedPubMed
产品介绍background:
PKR is an interferon-inducible serine/threonine specific protein kinase. It is widely expressed in eukaryotic organisms and activated by double stranded RNA. Activation of PKR by dsRNAs leads to autophosphorylation at multiple sites. Phosphorylation of Thr446 and Thr451 in the PKR activation loop is required in vivo and in vitro for high level kinase activity. PKR phosphorylates its natural substrate, the alpha subunit of eukaryotic protein synthesis initiation factor 2 (EIF2 alpha), leading to the inhibition of protein synthesis. PKR is also involved in TLR signaling and mediates apoptosis in fibroblasts in response to viral infection and inflammatory cytokines, and also activates IKK and NFKB, thereby suppressing apoptosis. Recently, it has been reported that PKR also phosphorylates human p53 on serine 392. PKR might play a role in ER stress-induced apoptosis and in Alzheimer's disease. Alzheimer cases show prominent PKR activation in association with neuritic plaques and pyramidal neurons in the hippocampus and neocortex.
Function:
Following activation by double-stranded RNA in the presence of ATP, the kinase becomes autophosphorylated and can catalyze the phosphorylation of the translation initiation factor EIF2S1, which leads to an inhibition of the initiation of protein synthesis. Double-stranded RNA is generated during the course of a viral infection.
Subunit:
Homodimer. Interacts with STRBP. Interacts with DNAJC3. Inhibited by direct interaction with viral proteins such as HCV E2, HCV NS5A and influenza A NS1. Activated by the interaction with HIV-1 Tat. Forms a complex with FANCA, FANCC, FANCG and HSP70.
Post-translational modifications:
Autophosphorylated on several Ser and Thr residues. Autophosphorylation of Thr-451 is dependent on Thr-446 and is stimulated by dsRNA binding and dimerization. Autophosphorylation apparently leads to the activation of the kinase.
Similarity:
Belongs to the protein kinase superfamily. Ser/Thr protein kinase family. GCN2 subfamily.
Contains 2 DRBM (double-stranded RNA-binding) domains.
Contains 1 protein kinase domain.
SWISS:
P19525
Gene ID:
5610
Database links:
Entrez Gene: 5610 Human
Omim: 176871 Human
SwissProt: P19525 Human
SwissProt: Q52M43 Human
Unigene: 131431 Human
Important Note:
This product as supplied is intended for research use only, not for use in human, therapeutic or diagnostic applications.
蛋白激酶R/双链RNA依赖蛋白激酶(PKR)是一种干扰素诱导的、双链RNA激活的丝氨酸/苏氨酸激酶, PKR在信号转导、细胞生长、分化和凋亡的控制中起重要作用.也有人认为:PKR是一个重要的凋亡效应物,是许多不同刺激物诱导凋亡的一个转导物。
Sample:
Liver (Mouse) Lysate at 40 ug
Primary: Anti- PKR (bs-1493R) at 1/300 dilution
Secondary: IRDye800CW Goat Anti-Rabbit IgG at 1/20000 dilution
Predicted band size: 61 kD
Observed band size: 61 kD
Sample:
Spleen (Mouse) Lysate at 40 ug
Primary: Anti- PKR (bs-1493R)at 1/300 dilution
Secondary: IRDye800CW Goat Anti-Rabbit IgG at 1/20000 dilution
Predicted band size: 61 kD
Observed band size: 61 kD
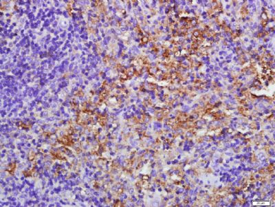
Paraformaldehyde-fixed, paraffin embedded ( rat spleen tissue); Antigen retrieval by boiling in sodium citrate buffer (pH6.0) for 15min; Block endogenous peroxidase by 3% hydrogen peroxide for 20 minutes; Blocking buffer (normal goat serum) at 37°C for 30min; Antibody incubation with (PKR) Polyclonal Antibody, Unconjugated (bs-1493R) at 1:500 overnight at 4°C, followed by a conjugated secondary (sp-0023) for 20 minutes and DAB staining.
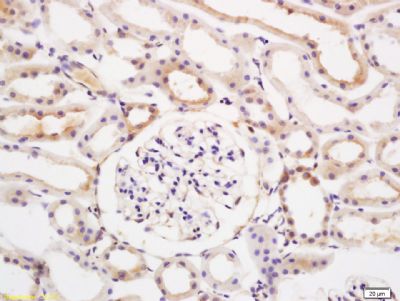
Paraformaldehyde-fixed, paraffin embedded (rat kidney tissue); Antigen retrieval by boiling in sodium citrate buffer (pH6.0) for 15min; Block endogenous peroxidase by 3% hydrogen peroxide for 20 minutes; Blocking buffer (normal goat serum) at 37°C for 30min; Antibody incubation with (EIF2AK2) Polyclonal Antibody, Unconjugated (bs-1493R) at 1:200 overnight at 4°C, followed by a conjugated secondary (sp-0023) for 20 minutes and DAB staining.
Tissue/cell: rat kidney tissue; 4% Paraformaldehyde-fixed and paraffin-embedded;
Antigen retrieval: citrate buffer ( 0.01M, pH 6.0 ), Boiling bathing for 15min; Block endogenous peroxidase by 3% Hydrogen peroxide for 30min; Blocking buffer (normal goat serum,C-0005) at 37℃ for 20 min;
Incubation: Anti-EIF2AK2/PKR Polyclonal Antibody, Unconjugated(bs-1493R) 1:200, overnight at 4°C, followed by conjugation to the secondary antibody(SP-0023) and DAB(C-0010) staining
Tissue/cell: rat brain tissue; 4% Paraformaldehyde-fixed and paraffin-embedded;
Antigen retrieval: citrate buffer ( 0.01M, pH 6.0 ), Boiling bathing for 15min; Block endogenous peroxidase by 3% Hydrogen peroxide for 30min; Blocking buffer (normal goat serum,C-0005) at 37℃ for 20 min;
Incubation: Anti-EIF2AK2/PKR Polyclonal Antibody, Unconjugated(bs-1493R) 1:200, overnight at 4°C, followed by conjugation to the secondary antibody(SP-0023) and DAB(C-0010) staining
Blank control: Raji.
Primary Antibody (green line): Rabbit Anti-PKR antibody (bs-1493R)
Dilution: 1μg /10^6 cells;
Isotype Control Antibody (orange line): Rabbit IgG .
Secondary Antibody : Goat anti-rabbit IgG-PE
Dilution: 1μg /test.
Protocol
The cells were fixed with 4% PFA (10min at room temperature)and then permeabilized with PBST for 20 min at room temperature. The cells were then incubated in 5%BSA to block non-specific protein-protein interactions for 30 min at at room temperature .Cells stained with Primary Antibody for 30 min at room temperature. The secondary antibody used for 40 min at room temperature. Acquisition of 20,000 events was performed.
风险提示:丁香通仅作为第三方平台,为商家信息发布提供平台空间。用户咨询产品时请注意保护个人信息及财产安全,合理判断,谨慎选购商品,商家和用户对交易行为负责。对于医疗器械类产品,请先查证核实企业经营资质和医疗器械产品注册证情况。
文献和实验位点的序列,包括肽库和肽芯片 [5,6] 的多种技术可用来鉴定激酶底物。此外,一种 λ 噬菌体 cDNA 表达文库的固相磷酸化筛选 [ 7,8 」以及不同蛋白质相互作用筛选方法,如覆盖方法 [ 9,11] 和酵母双杂交系统 [ 12,14] 已被应用在这方面。最近,蛋白激酶被改造成可接受人工合成的腺苷三磷酸盐(环戊基 ATP ) 模拟物,并用于鉴定特异底物。初步的研究已经证明,通过激酶来研究磷酸化的蛋白质芯片是可行的 [ 18,19] 。为了确定磷酸化位点,抗磷酸化蛋白表位 [6] 的抗体将用于蛋白
(3)同上。两个磷酸化位点都要做,但是可能在不同的病理条件下,侧重点有所不同,这主要体现在你的论文的讨论中。因此建议实验前多做论文研究,查阅一下别人的发表文章,看看与你的病理模型更相关的是哪个位点。 真爱满行囊 非常感谢你 的回复,现在我遇到的问题是我做出来蛋白总量还有216位点是有变化的,9位因为买的是santa curz的抗体,现在死活做不出来,很头痛,我要说明的问题是他的活性降低,我也看到216位点磷酸化水平降低了,可是现在没有第九位的结果(就是没有办法得到第九
大鼠 蛋白激酶A (PKA ) 酶联免疫分析 试剂盒使用说明书 本试剂仅供研究使用 目的:本试剂盒用于测定大鼠血清,血浆及相关液体样本中 蛋白激酶A (PKA ) 的含量。 实验原理: 本试剂盒应用双抗体夹心法测定标本中大鼠 蛋白激酶 A ( PKA ) 水平。用纯化的大鼠 蛋白激酶 A ( PKA ) 抗体包被微孔板,制成固相抗体,往包被单抗的微孔中依次加入 蛋白激酶 A ( PKA










