相关产品推荐更多 >
万千商家帮你免费找货
0 人在求购买到急需产品
- 详细信息
- 询价记录
- 文献和实验
- 技术资料
- 供应商:
北京普凯瑞生物科技有限公司
- 规格:
1.25ml
KAPA HiFi高保真酶及Ready Mix

1、KAPA HiFi高保真酶是二代基因工程酶,分热启动版和非热启动版,保真性强,活力超高。具有以下特点:
1)超高保真,通过大规模二代测序得出的出错率:2.8×10-7
2)可以扩增各种复杂模板;
3)扩增片段长,扩增基因组可达15kb,质粒DNA或噬菌体DNA可达18kb;
4)扩增速度快,节省75%以上的时间;
5)KAPA高保真热启动酶,含有2中buffer,分别用于常规模板和高难度模板。
2、应用
1)基因定点突变;2)测序;3)蛋白表达。
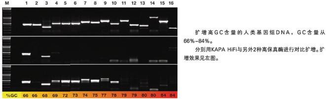
3、产品表现
1)超级保真、灵敏

2)扩增复杂模板————无可匹敌

3)退火温度对条带特异性的重要性

4、PCR反应
1)推荐反应体系

2)推荐反应参数

注意事项:
1)HiFi Buffer中盐离子浓度较高,影响DNA变性/退火,所以复杂模板需要较长的变性温度,5分钟;GC Buffer主要针对高GC或稳定二级结构的模板,仅当HiFi Buffer效果不佳时使用,但其会降低保真性;
2)每个循环中变性条件为:98℃20s;
3)最佳退火温度需通过梯度PCR优化得到;根据Tm值设定最低的退火温度,然后若要增加灵敏度可每次提高1℃,若要提高特异性每次降低1℃;
4)推荐延伸时间:30s/kb;若模板浓度高,可降低延伸时间,但较长的延伸时间会增加实验的灵敏度和产量;
5)推荐25个或更少的循环数,若起始模板浓度低或扩增效率偏低导致产量不高,可增加至30-35个循环;
6)该体系可扩增≥10kb的目的基因片段。若实验对MgCl2有特殊要求,请进行梯度试验,每次增加或减少0.25mM;
7)根据实验要求可调整HiFi酶的浓度,范围:0.25U-1.0U/25μl;
8)末端加A,HiFi高保真酶扩增产物是平末端,若要连接到T载体上,扩增产物纯化后用KAPA Taq DNA酶进行72℃延伸,因为未纯化的产物中含有HiFi酶,其校对活性影响加A效果。
5、问题及解决方案

6、产品信息
| 货号 | 产品 | 规格 |
| KK2101 | HiFi高保真酶(含dNTPs) | 100 units,200×25μl |
| KK2102 | HiFi高保真酶(含dNTPs) | 250 units,500×25μl |
| KK2501 | HiFi热启动高保真酶(含dNTPs) | 100 units,200×25μl |
| KK2502 | HiFi热启动高保真酶(含dNTPs) | 250 units,500×25μl |
| KK2601 | HiFi热启动高保真酶Ready Mix | 100×25μl |
| KK2602 | HiFi热启动高保真酶Ready Mix | 500×25μl |
风险提示:丁香通仅作为第三方平台,为商家信息发布提供平台空间。用户咨询产品时请注意保护个人信息及财产安全,合理判断,谨慎选购商品,商家和用户对交易行为负责。对于医疗器械类产品,请先查证核实企业经营资质和医疗器械产品注册证情况。
- 作者
- 内容
- 询问日期
文献和实验结果并非如此。如果大家需要使用热启动酶,建议向厂商索取的检测数据(如分子信标法检测,Ma et al., Anal Biochem, 2006),以证明其确实具有热启能力。2. 保真性保真性就是扩增过程中的错配率,对于 cDNA 克隆、文库构建的老师来说是尤为重要的参数。Taq 酶的保真性较低,而 Pfu、HiFi 等高保真酶具有 3’-5’ proofreading 功能,可以校正错配,保真度较高。保真性高于 Taq 酶 50 倍左右是比较常见的数值。我们也可以用 Lac I 分析的经典方法自己检测一下
释放酶活;一类是抗体法修饰的热启动酶,如 Champagne Taq ,预变性 95℃30s 即可释放酶活。使用时注意预变性时间,方能获得满意的扩增效果。 2. 选择 Lamp 扩增长片段 大于 5Kb 的长片段又该如何扩增呢?如果实验对保真度的需求不高,那么就可以使用 LAmp DNA 聚合酶。其保真度是 Taq 酶的 6 倍,可扩增超过 20Kb 的基因组、cDNA 片段,对于低拷贝、低纯度、以及不同 GC 含量的模板都具有很高的成功率。 3. 选择高保真酶快速高效扩增 如果实
含有这两种酶切位点序列。 已经开始进行ta克隆 如楼上战友所述,TA克隆的确是长片段亚克隆的好的手段。我最初开始学习构建质粒的时候也是先上TA,不过我们实验室一直使用一种KAPA HIFI readymix的酶,效果很好,保真性也非常非常高,就是做TA的时候比较麻烦,需要把PCR产物纯化回收后再加一次A tail,而就是这一步我感觉一直没有摸索到最优化稳定的条件,所以每次加A后连pCR2.1 转化的结果都不稳定,有时候长的多有时候长得少,之前曾经就这个问题发帖
技术资料暂无技术资料 索取技术资料










