相关产品推荐更多 >
万千商家帮你免费找货
0 人在求购买到急需产品
- 详细信息
- 文献和实验
- 技术资料
- 免疫原:
Recombinant fragment within Human CD81 aa 86-236
- 亚型:
IgG
- 形态:
液体
- 保存条件:
储存在 -20°C 或 -80°C。 避免冻融循环。
- 克隆性:
多克隆
- 适应物种:
人
- 库存:
大量
- 供应商:
北京百奥创新科技有限公司
- 宿主:
兔
- 应用范围:
WB, IHC-P
- 抗体英文名:
Anti-CD81 antibody
- 抗体名:
Anti-CD81 antibody
- 规格:
100ul
产品名称:Anti-CD81 antibody
产品货号:Ab155760
产品规格:100ul
保存条件:保存于-20℃
形态:液体
应用范围:WB, IHC, IF/ICC, ELISA
保质期:按说明书条件可保存1-2年
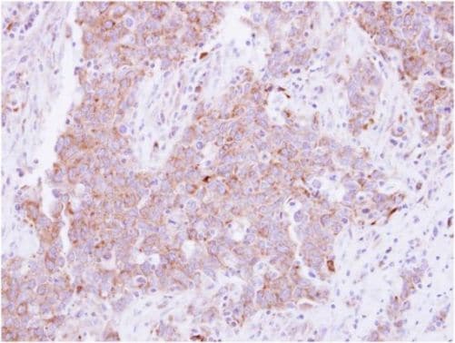
Immunohistochemical analysis of paraffin-embedded Lung Papillary Adenocarcinoma tissue labeling CD81 with ab155760 at 1/250 dilution.
产品货号:Ab155760
产品规格:100ul
保存条件:保存于-20℃
形态:液体
应用范围:WB, IHC, IF/ICC, ELISA
保质期:按说明书条件可保存1-2年
Immunohistochemical analysis of paraffin-embedded Lung Papillary Adenocarcinoma tissue labeling CD81 with ab155760 at 1/250 dilution.
Western blot - Anti-CD81 antibody (ab155760)
Anti-CD81 antibody (ab155760) at 1/1000 dilution + K562 whole cell lysate at 30 µg
Predicted band size: 25 kDa
12% SDS PAGE.
Anti-CD81 antibody (ab155760) at 1/1000 dilution + K562 whole cell lysate at 30 µg
Predicted band size: 25 kDa
12% SDS PAGE.
风险提示:丁香通仅作为第三方平台,为商家信息发布提供平台空间。用户咨询产品时请注意保护个人信息及财产安全,合理判断,谨慎选购商品,商家和用户对交易行为负责。对于医疗器械类产品,请先查证核实企业经营资质和医疗器械产品注册证情况。
文献和实验该产品被引用文献
[1]Erin N. Scully,Juliana Montoya Sanchez,Christopher B. Sturdy. Abcam Monoclonal Egr-1 ab133695 is an effective primary antibody replacement for Santa Cruz sc-189 polyclonal Egr-1 in songbirds[J]. Heliyon,2019,5(11).
技术资料文献支持
Anti-CD81 antibody
¥3400 - 4000









