相关产品推荐更多 >
万千商家帮你免费找货
0 人在求购买到急需产品
- 详细信息
- 文献和实验
- 技术资料
- 免疫原:
Synthetic peptide corresponding to beta Actin (N terminal) conjugated to keyhole limpet haemocyanin.
- 亚型:
IgG1
- 形态:
液体
- 保存条件:
+4°C 下储存
- 克隆性:
单克隆
- 适应物种:
人、鼠
- 库存:
大量
- 供应商:
北京百奥创新科技有限公司
- 宿主:
鼠
- 应用范围:
WB
- 抗体英文名:
HRP Anti-beta Actin antibody [AC-15]
- 抗体名:
HRP Anti-beta Actin antibody [AC-15]
- 规格:
50ul
产品货号:Ab49900
产品规格:50ul
保存条件:保存于-20℃
形态:液体
应用范围:WB
保质期:按说明书条件可保存1-2年
Proteins were loaded onto a 10% SDS-polyacrylamide gel. After gel electrophoresis, blots were subsequently probed with primary antibodies anti- IL-6 at 1:1000 , anti- IL-17 at 1:3000, anti-TGF-β at 1:1000. For detection, horseradish peroxidase-conjugated secondary anti-rabbit antibody was used followed by enhanced chemiluminescence development.
Normalization of results was ensured by running parallel western blots with β-actin antibody at 1:25,000 (ab49900). The optical density was quantified using an image densitometer. The data are presented as a percentage of target protein relative to β-actin. A value of p<0.05 is considered significant.

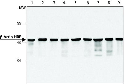
Western blot - HRP Anti-beta Actin antibody [AC-15] (ab49900)
All lanes : HRP Anti-beta Actin antibody [AC-15] (ab49900) at 1/50000 dilution
Lane 1 : A549 Lysate
Lane 2 : HeLa Lysate
Lane 3 : 3T3 Lysate
Lane 4 : NRK Lysate
Lane 5 : MDCK Lysate
Lane 6 : MDBK Lysate
Lane 7 : BHK Lysate
Lane 8 : COS7 Lysate
Lane 9 : CFB Lysate
Developed using the ECL technique.
Predicted band size: 42 kDa

风险提示:丁香通仅作为第三方平台,为商家信息发布提供平台空间。用户咨询产品时请注意保护个人信息及财产安全,合理判断,谨慎选购商品,商家和用户对交易行为负责。对于医疗器械类产品,请先查证核实企业经营资质和医疗器械产品注册证情况。
文献和实验Bechara R et al. The RNA-binding protein IMP2 drives a stromal-Th17 cell circuit in autoimmune neuroinflammation. JCI Insight 7:N/A (2022).
Purification Of Anti Peptide Antibody
antibody that could contribute to staining background. The proportion in each pool varies with the peptide immunogen. The quality of the anti-peptide serum seems to increase with multiple boosts - the first bleed may be feeble.
【求助】细胞里的beta catenin 好检测吗?? 用 western blot
antonio2001 细胞里的beta catenin 好检测吗?? 用 western blot 和免疫细胞化学 ?? 2008851029 细胞里的beta-actin非常好检测(我用的是ST的抗体) littlebee83325 什么细胞呢?胞浆蛋白么? magichunter beta catenin 好检测,细胞全蛋白裂解液上样20uL(15
Protocol for anti-HA antibody Western Blotting
seconds, and pour it off: this method was worked out in the Yamamoto lab eons ago). 7) Incubate with secondary antibody (anti-mouse) in 5% BSA/PBS/Tween as you would ordinarily. I usually go for 2 hours @ room temp. 8) 12-15 quick washes again(in 1XPBS
技术资料









