相关产品推荐更多 >
万千商家帮你免费找货
0 人在求购买到急需产品
- 详细信息
- 询价记录
- 文献和实验
- 技术资料
- 英文名:
DC 2.4
- 库存:
100
- 供应商:
镜像绮点
- 肿瘤类型:
-
- 细胞类型:
-
- 品系:
细胞系
- 组织来源:
骨髓组织
- 相关疾病:
-
- 物种来源:
小鼠
- 免疫类型:
否
- 细胞形态:
上皮细胞样
- 是否是肿瘤细胞:
否
- 器官来源:
骨髓组织
- 运输方式:
冻存/复苏
- 年限:
长期
- 生长状态:
贴壁培养
- 规格:
T25
细胞介绍
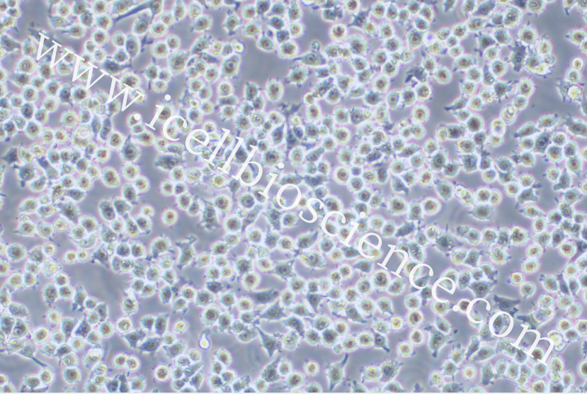
DC2.4是通过用表达鼠粒细胞-巨噬细胞CSF (GM-CSF)和myc和raf癌基因的逆转录病毒载体转导C57BL/6小鼠的骨髓分离物而产生的永生化鼠树突细胞。DC2.4表现出树突细胞的特征,包括细胞形态和树突细胞特异性标记的表达,以及吞噬和呈递MHC类和II类分子上的外源性抗原的能力。树突细胞(DC)是免疫系统的抗原呈递细胞,在大多数组织中发现,特别是那些与外部环境接触的组织(例如,皮肤和鼻、肺、胃和肠的内层)。最早于1973年描述,树突状细胞的主要功能之一是吞噬外来病原体,并将加工后的抗原呈递至幼稚T细胞,以调节适应性免疫反应。树突状细胞还表达Toll样受体,并帮助调节先天免疫反应。尽管它们分布在大多数组织中,但DC在体内数量很少,并且在体外难以维持。这些困难限制了树突细胞的研究。
细胞特性
1) 来源:C57BL/6小鼠 骨髓
2) 形态:上皮样 贴壁生长
3) 含量:>1x10^6 细胞数
4) 规格:T25瓶或者1mL冻存管包装
5)用途:仅供科研使用。

一.培养基及培养冻存条件准备
1) 准备RPMI 1640(推荐iCell-0002)培养基;优质胎牛血清,10%;添加10ng/mL murine GM-CSF;双抗,1%。
2) 培养条件: 气相:空气,95%;二氧化碳,5%。 温度:37℃,培养箱湿度为70%-80%。
3) 冻存液:90%血清,10%DMSO,现用现配。
业务范围



风险提示:丁香通仅作为第三方平台,为商家信息发布提供平台空间。用户咨询产品时请注意保护个人信息及财产安全,合理判断,谨慎选购商品,商家和用户对交易行为负责。对于医疗器械类产品,请先查证核实企业经营资质和医疗器械产品注册证情况。
- 作者
- 内容
- 询问日期
文献和实验查询:www.icellbioscience.com/news/News/blog/1
技术资料需要更多技术资料 索取更多技术资料










