相关产品推荐更多 >

phospho-c-kit (Tyr936) Rabbit pAb, BF750 conjugated(bs-1738R-BF750)-100ul
¥2980
PLCG 2 Rabbit pAb, PE-Cy5.5 conjugated(bs-3532R-PE-Cy5.5)-100ul
¥2980
NRG3 Rabbit pAb, AP conjugated(bs-6235R-AP)-100ul
¥2980
phospho-Bad (Ser134) Rabbit pAb(bs-5217R)-50ul/100ul/200ul
¥1180
Galectin 12 Rabbit pAb, BF594 conjugated(bs-8413R-BF594)-100ul
¥2980
万千商家帮你免费找货
0 人在求购买到急需产品
- 详细信息
- 技术资料
- 应用范围:
产品信息以Bioss网站为准
- 规格:
50ul/100ul/200ul
| 规格: | 50ul | 产品价格: | ¥1180.0 |
|---|---|---|---|
| 规格: | 100ul | 产品价格: | ¥1980.0 |
| 规格: | 200ul | 产品价格: | ¥2800.0 |
| 产品编号 | bs-17284R |
| 英文名称 | SCGF Rabbit pAb |
| 中文名称 | 干细胞生长因子SCGF抗体 |
| 英文别名 | SCGF beta; C type lectin domain family 11 member A; C type lectin superfamily member 3; C-type lectin domain family 11 member A; C-type lectin superfamily member 3; CLC11_HUMAN; CLEC11A; CLECSF3; LSLCL; Lymphocyte secreted C type lectin; Lymphocyte secreted C-type lectin; lymphocyte secreted long form of C type lectin; p47; Stem cell growth factor; stem cell growth factor lymphocyte secreted C type lectin. |
| 产品应用 | IHC-P=1:100-500, IHC-F=1:100-500, IF=1:100-500 Not yet tested in other applications. |
| 交叉反应 | Human |
| 抗体来源 | Rabbit |
| 免疫原 | KLH conjugated synthetic peptide derived from human SCGF |
| 亚型 | IgG |
| 性状 | Liquid |
| 纯化方法 | affinity purified by Protein A |
| 克隆类型 | Polyclonal |
| 理论分子量 | 34 kDa |
| 浓度 | 1mg/ml |
| 储存液 | 0.01M TBS (pH7.4) with 1% BSA, 0.02% Proclin300 and 50% Glycerol. |
| 研究领域 | Immunology > Innate Immunity > Cytokines |
| 亚细胞定位 | Cytoplasm. Secreted. |
| 组织特异性 | Expressed in skeletal tissues including bone marrow, chondrocytes, primary ossification center-associated cells, the perichondrium and periosteum. Lower levels of expression were detected in spleen, thymus, appendix and fetal liver. |
| 翻译后修饰 | O-glycosylated. Probably sulfated on the O-glycans. |
| 相似性 | Contains 1 C-type lectin domain. |
| 功能 | Stimulates the proliferation and differentiation of hematopoietic precursor cells from various lineages, including erythrocytes, lymphocytes, granulocytes and macrophages. Acts synergistically with other cytokines, including IL-3, GCSF, GMCSF and FLT3 ligand. Suppresses SCF-stimulated erythrocyte proliferation. |
| 保存条件 | Shipped at 4℃. Store at -20℃ for one year. Avoid repeated freeze/thaw cycles. |
| 注意事项 | This product as supplied is intended for research use only, not for use in human, therapeutic or diagnostic applications. |
| 背景资料 | SCGF is a cytokine for primitive hematopoietic progenitor cells and exhibits species-specific activity. It is predominantly expressed in proliferating chondrocytes, bone marrow cells, the periosteum and the perichondrium of skeletal tissues. SCGF contains an N-terminal Arg-Gly-Asp triplet (RGD triplet), leucine zipper domains, a C-terminal C-type lectin domain and numerous potential glycosylation sites. It has burst-promoting activity and granulocyte/macrophage colony-promoting activity in vitro. SCGF is directly correlated to granulocyte recovery following stem cell transplantation and thus can be an indicator of hematopoietic recovery following stem cell transplantation. |
| 应用 | 推荐稀释比例 |
| {IHC-P} | {1:100-500} |
| {IHC-F} | {1:100-500} |
| {IF} | {1:100-500} |

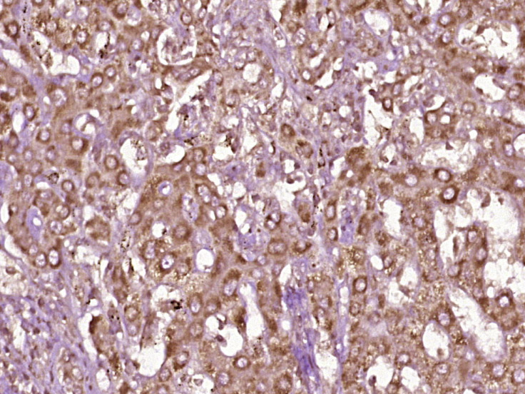
Paraformaldehyde-fixed, paraffin embedded (human liver carcinoma); Antigen retrieval by boiling in sodium citrate buffer (pH6.0) for 15min; Block endogenous peroxidase by 3% hydrogen peroxide for 20 minutes; Blocking buffer (normal goat serum) at 37°C for 30min; Antibody incubation with (SCGF) Polyclonal Antibody, Unconjugated (bs-17284R) at 1:400 overnight at 4°C, followed by operating according to SP Kit(Rabbit) (sp-0023) instructionsand DAB staining.
风险提示:丁香通仅作为第三方平台,为商家信息发布提供平台空间。用户咨询产品时请注意保护个人信息及财产安全,合理判断,谨慎选购商品,商家和用户对交易行为负责。对于医疗器械类产品,请先查证核实企业经营资质和医疗器械产品注册证情况。
技术资料暂无技术资料 索取技术资料
SCGF Rabbit pAb(bs-17284R)-50ul/100ul/200ul
¥1180 - 2800





