相关产品推荐更多 >

phospho-YAP1 (Ser127) Recombinant Rabbit mAb(bsm-52214R)-50ul/100ul/25ul
¥800
NFKB p65 Mouse mAb, Biotin conjugated(bsm-33059M-Bio)-100ul
¥2980
PPAR Gamma Rabbit pAb, Cy5 conjugated(bs-4590R-Cy5)-100ul
¥2980
Anti-B7-H3 & EGFR Reference Antibody (Ibi-334 Biosimilar)(BIO1006SM)-100ug/1mg/5mg
¥2560
CD44V6/HCAM Rabbit pAb(bs-20756R)-50ul/100ul/200ul
¥1180
万千商家帮你免费找货
0 人在求购买到急需产品
- 详细信息
- 文献和实验
- 技术资料
- 应用范围:
产品信息以Bioss网站为准
- 规格:
50ul/100ul/200ul
| 规格: | 50ul | 产品价格: | ¥1180.0 |
|---|---|---|---|
| 规格: | 100ul | 产品价格: | ¥1980.0 |
| 规格: | 200ul | 产品价格: | ¥2800.0 |
| 产品编号 | bs-17139R |
| 英文名称 | TRIM9 Rabbit pAb |
| 中文名称 | TRIM9蛋白抗体 |
| 英文别名 | E3 ubiquitin-protein ligase TRIM9; HGNC:16288; Homolog of rat RING finger Spring; KIAA0282; RING finger protein 91; RNF 91; RNF91; SPRING; TRIM 9; Tripartite motif containing 9; Tripartite motif containing protein 9; Tripartite motif protein 9. |
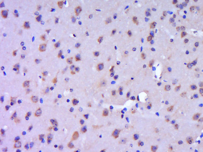
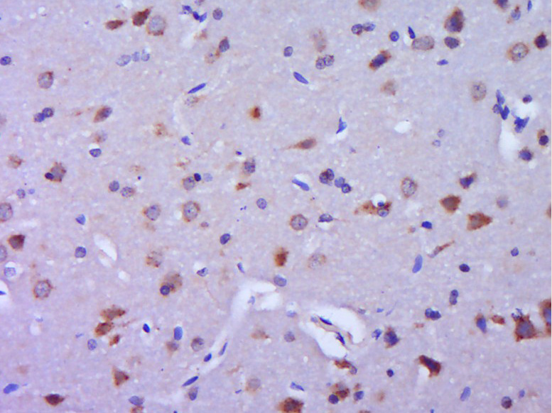
| 产品应用 | IHC-P=1:100-500, IHC-F=1:100-500, IF=1:100-500 Not yet tested in other applications. |
| 交叉反应 | Mouse, Rat (Human, Dog, Pig, Cow, Rabbit, Sheep) |
| 抗体来源 | Rabbit |
| 免疫原 | KLH conjugated synthetic peptide derived from human TRIM9 |
| 亚型 | IgG |
| 性状 | Liquid |
| 纯化方法 | affinity purified by Protein A |
| 克隆类型 | Polyclonal |
| 理论分子量 | 79 kDa |
| 浓度 | 1mg/ml |
| 储存液 | 0.01M TBS (pH7.4) with 1% BSA, 0.02% Proclin300 and 50% Glycerol. |
| 研究领域 | Epigenetics and Nuclear Signaling > Transcription > Domain Families > Developmental Families |
| 亚基 | Interacts with SNAP25. |
| 亚细胞定位 | Cytoplasmic |
| 翻译后修饰 | Brain. Highly expressed in the cerebral cortex (at protein level). Severely decreased in the affected brain areas in Parkinson disease and dementia with Lewy bodies. |
| 相似性 | Belongs to the TRIM/RBCC family. Contains 2 B box-type zinc fingers. Contains 1 B30.2/SPRY domain. Contains 1 COS domain. Contains 1 fibronectin type-III domain. Contains 1 RING-type zinc finger. |
| 功能 | TRIM9 is a member of the tripartite motif (TRIM) family. The TRIM motif includes three zinc binding domains, a RING, a B box type 1 and a B box type 2, and a coiled coil region. The protein localizes to cytoplasmic bodies. Its function has not been identified. Alternate splicing of this gene generates two transcript variants encoding different isoforms.The protein encoded by this gene is a member of the tripartite motif (TRIM) family. The TRIM motif includes three zinc binding domains, a RING, a B box type 1 and a B box type 2, and a coiled coil region. The protein localizes to cytoplasmic bodies. Its function has not been identified. Alternate splicing of this gene generates two transcript variants encoding different isoforms. |
| 保存条件 | Shipped at 4℃. Store at -20℃ for one year. Avoid repeated freeze/thaw cycles. |
| 注意事项 | This product as supplied is intended for research use only, not for use in human, therapeutic or diagnostic applications. |
| 背景资料 | The protein encoded by this gene is a member of the tripartite motif (TRIM) family. The TRIM motif includes three zinc-binding domains, a RING, a B-box type 1 and a B-box type 2, and a coiled-coil region. The protein localizes to cytoplasmic bodies. Its function has not been identified. Alternate splicing of this gene generates two transcript variants encoding different isoforms. [provided by RefSeq, Jul 2008] |
| 应用 | 推荐稀释比例 |
| {IHC-P} | {1:100-500} |
| {IHC-F} | {1:100-500} |
| {IF} | {1:100-500} |


风险提示:丁香通仅作为第三方平台,为商家信息发布提供平台空间。用户咨询产品时请注意保护个人信息及财产安全,合理判断,谨慎选购商品,商家和用户对交易行为负责。对于医疗器械类产品,请先查证核实企业经营资质和医疗器械产品注册证情况。
文献和实验[IF={{ 2.238 }}] {Cao YL et al. MicroRNA-653 Inhibits Thymocyte Proliferation and Induces Thymocyte Apoptosis in Mice with Autoimmune Myasthenia Gravis by Downregulating TRIM9. Neuroimmunomodulation. 2019;26(1):7-18.} {IHC,WB} {Mouse}
= NAL), appears to form upon oxidative cyclization of the nonfluorescent 2:1 lysine-HNE Michael adduct-Schiff base cross-link (Scheme 1). Polyclonal antibody (PAb) to the NAL-HNE fluorophore was raised in rabbit and found to be highly specific
GE Healthcare Benzamidine Sepharose™ 6B is p-aminobenzamidine covalently attached to Sepharose 6B by the epoxy coupling method. p-Aminobenzamidine (PAB), is a synthetic inhibitor of trypsin-like serine protease. Trypsin and trypsin
Nucleic Acid Programmable Protein Arrays: Versatile Tools for Array‐Based Functional Protein Studies
.g., Sigma) 50 mg/ml bis‐sulfosuccinimdylsuberate (BS3 ;Pierce, cat. no. PI 21580) in dimethylsulfoxide (DMSO) 5 mg/ml
技术资料暂无技术资料 索取技术资料






