相关产品推荐更多 >

Visfatin Rabbit pAb, AP conjugated(bs-0272R-AP)-100ul
¥2980
BSX Rabbit pAb, Biotin conjugated(bs-12905R-Bio)-100ul
¥2980
Bad Rabbit pAb, BF594 conjugated(bs-1304R-BF594)-100ul
¥2980
Placental alkaline phosphatase (PLAP) Rabbit pAb, AP conjugated(bs-20015R-AP)-100ul
¥2980
ERPINA6/Cortisol Binding Globulin Rabbit pAb(bs-14001R)-50ul/100ul/200ul
¥1180
万千商家帮你免费找货
0 人在求购买到急需产品
- 详细信息
- 文献和实验
- 技术资料
- 应用范围:
产品信息以Bioss网站为准
- 规格:
50ul/100ul/200ul
| 规格: | 50ul | 产品价格: | ¥1180.0 |
|---|---|---|---|
| 规格: | 100ul | 产品价格: | ¥1980.0 |
| 规格: | 200ul | 产品价格: | ¥2800.0 |
| 产品编号 | bs-16676R |
| 英文名称 | INSM2 Rabbit pAb |
| 中文名称 | 胰岛素瘤相关蛋白2抗体 |
| 英文别名 | IA 6; IA6; INSM2_HUMAN; Insulinoma associated 2; Insulinoma associated protein 2; mlt1; Zinc finger protein IA 6; Zinc finger protein IA6. |
| 产品应用 | WB=1:500-2000, IHC-P=1:100-500, IHC-F=1:100-500, IF=1:100-500 Not yet tested in other applications. |
| 交叉反应 | Human, Rat (Mouse, Pig, Cow, Rabbit, Sheep) |
| 抗体来源 | Rabbit |
| 免疫原 | KLH conjugated synthetic peptide derived from human INSM2 |
| 亚型 | IgG |
| 性状 | Liquid |
| 纯化方法 | affinity purified by Protein A |
| 克隆类型 | Polyclonal |
| 理论分子量 | 58 kDa |
| 浓度 | 1mg/ml |
| 储存液 | 0.01M TBS (pH7.4) with 1% BSA, 0.02% Proclin300 and 50% Glycerol. |
| 研究领域 | Epigenetics and Nuclear Signaling > Transcription > Domain Families > Zinc Finger |
| 亚细胞定位 | Nuclear |
| 组织特异性 | Expressed in heart, liver, skeletal muscle, kidney and pancreas, and, to a lesser extent, in brain, lung and spleen. In the pancreas, expressed in islet cells, including insulin- and glucagon-producing alpha- and beta-cells, but not in acinar cells (at protein level). Detected in adrenal glands, particularly in the deeper layer of the cortex (at protein level). {ECO:0000269|PubMed:21343251}. |
| 相似性 | Contains 5 C2H2-type zinc fingers. |
| 功能 | INSM2 may function as a growth suppressor or tumor suppressor in liver cells and in certain neurons. |
| 保存条件 | Shipped at 4℃. Store at -20℃ for one year. Avoid repeated freeze/thaw cycles. |
| 注意事项 | This product as supplied is intended for research use only, not for use in human, therapeutic or diagnostic applications. |
| 背景资料 | INSM2 is a 566 amino acid nuclear protein. INSM2 is believed to act as a growth or tumor suppressor in certain neurons and in liver cells. INSM2 contains five zinc finger C2H2-type domains which bind nucleic acids. Zinc fingers are composed of 25-30 amino acid residues and have the ability to bind about five nucleotides. C2H2-type zinc fingers have two cysteines on one extremity of the domain, and two histidines on the other extremity. These four cysteines and histidines interact with one zinc atom, resulting in the finger-like conformation of the domain. It is believed that the C2H2-type zinc fingers require the binding of a zinc atom in order for the finger to bind DNA or RNA. |
| 应用 | 推荐稀释比例 |
| {WB} | {1:500-2000} |
| {IHC-P} | {1:100-500} |
| {IHC-F} | {1:100-500} |
| {IF} | {1:100-500} |

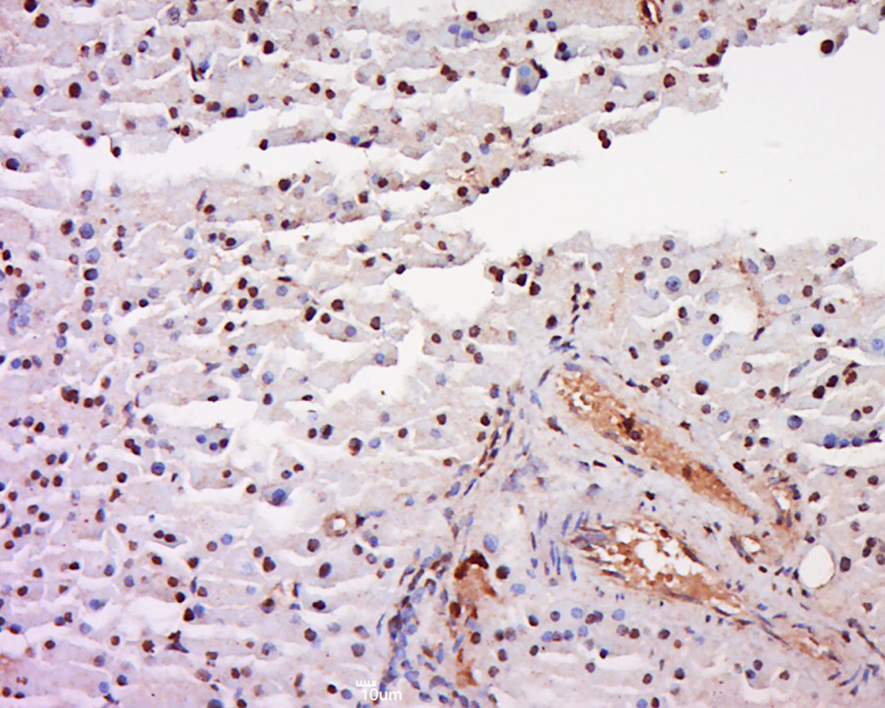
Antigen retrieval: citrate buffer ( 0.01M, pH 6.0 ), Boiling bathing for 15min; Block endogenous peroxidase by 3% Hydrogen peroxide for 30min; Blocking buffer (normal goat serum,C-0005) at 37℃ for 20 min;
Incubation: Anti-INSM2 Polyclonal Antibody, Unconjugated(bs-16676R) 1:500, overnight at 4°C, followed by conjugation to the secondary antibody(SP-0023) and DAB(C-0010) staining

U937 Cell (Human) Lysate at 40 ug
Raji Cell (Human) Lysate at 40 ug
Primary: Anti- INSM2 (bs-16676R) at 1/300 dilution
Secondary: IRDye800CW Goat Anti-Rabbit IgG at 1/20000 dilution
Predicted band size: 58 kD
Observed band size: 63 kD
风险提示:丁香通仅作为第三方平台,为商家信息发布提供平台空间。用户咨询产品时请注意保护个人信息及财产安全,合理判断,谨慎选购商品,商家和用户对交易行为负责。对于医疗器械类产品,请先查证核实企业经营资质和医疗器械产品注册证情况。
文献和实验= NAL), appears to form upon oxidative cyclization of the nonfluorescent 2:1 lysine-HNE Michael adduct-Schiff base cross-link (Scheme 1). Polyclonal antibody (PAb) to the NAL-HNE fluorophore was raised in rabbit and found to be highly specific
GE Healthcare Benzamidine Sepharose™ 6B is p-aminobenzamidine covalently attached to Sepharose 6B by the epoxy coupling method. p-Aminobenzamidine (PAB), is a synthetic inhibitor of trypsin-like serine protease. Trypsin and trypsin
Nucleic Acid Programmable Protein Arrays: Versatile Tools for Array‐Based Functional Protein Studies
.g., Sigma) 50 mg/ml bis‐sulfosuccinimdylsuberate (BS3 ;Pierce, cat. no. PI 21580) in dimethylsulfoxide (DMSO) 5 mg/ml
技术资料暂无技术资料 索取技术资料






