相关产品推荐更多 >

EPLIN Rabbit pAb(bs-13086R)-50ul/100ul/200ul
¥1180
phospho-14-3-3 beta + zeta (Ser186 / Ser184) Rabbit pAb, BF647 conjugated(bs-13773R-BF647)-100ul
¥2980
phospho-MEK1/2 (Ser218 + Ser222) Rabbit pAb, HRP conjugated(bs-3270R-HRP)-100ul
¥2980
ACN9 Rabbit pAb(bs-12444R)-50ul/100ul/200ul
¥1180
APC70 Rabbit pAb(bs-9434R)-50ul/100ul/200ul
¥1180
万千商家帮你免费找货
0 人在求购买到急需产品
- 详细信息
- 文献和实验
- 技术资料
- 应用范围:
产品信息以Bioss网站为准
- 规格:
50ul/100ul/200ul
| 规格: | 50ul | 产品价格: | ¥1180.0 |
|---|---|---|---|
| 规格: | 100ul | 产品价格: | ¥1980.0 |
| 规格: | 200ul | 产品价格: | ¥2800.0 |
| 产品编号 | bs-16310R |
| 英文名称 | Granuphilin/SYTL4 Rabbit pAb |
| 中文名称 | 突触结合蛋白样蛋白4抗体 |
| 英文别名 | DKFZp451P0116; Exophilin-2; FLJ40960; Granuphilin; SLP4; Synaptotagmin like 4; Synaptotagmin-like protein 4; Sytl4; SYTL4_HUMAN. |
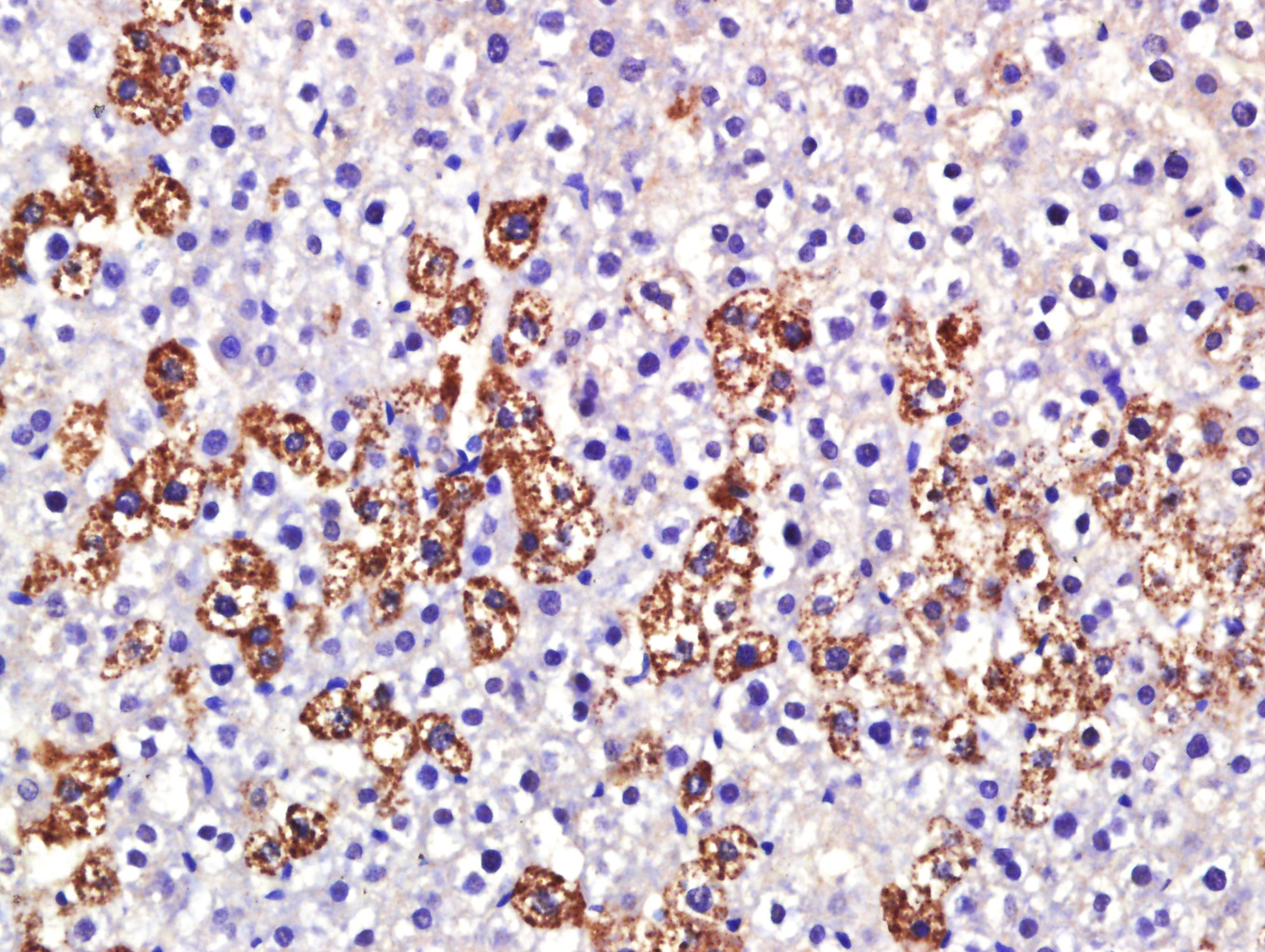
| 产品应用 | IHC-P=1:100-500, IHC-F=1:100-500, IF=1:100-500 Not yet tested in other applications. |
| 交叉反应 | Rat (Human, Mouse, Dog, Cow, Horse, Rabbit, Sheep) |
| 抗体来源 | Rabbit |
| 免疫原 | KLH conjugated synthetic peptide derived from human Granuphilin/SYTL4 |
| 亚型 | IgG |
| 性状 | Liquid |
| 纯化方法 | affinity purified by Protein A |
| 克隆类型 | Polyclonal |
| 理论分子量 | 76 kDa |
| 浓度 | 1mg/ml |
| 储存液 | 0.01M TBS (pH7.4) with 1% BSA, 0.02% Proclin300 and 50% Glycerol. |
| 研究领域 | Neuroscience > Neurotransmission > Secretory Vesicles Neuroscience > Neurotransmission > Secretory Vesicles > Regulation Signal Transduction > Protein Trafficking > Vesicle Transport > Regulation |
| 亚基 | Part of a ternary complex containing STX1A and RAB27A. Can bind both dominant negative and dominant active mutants of RAB27A. Binds STXBP1, RAB3A, RAB8A and RAB27B. Interacts with MYO5A (By similarity). |
| 亚细胞定位 | Membrane. Cell membrane. Cytoplasmic vesicle > secretory vesicle membrane. Detected close to the plasma membrane and on secretory granules. In pancreas, interacts with insulin-containing vesicles. |
| 相似性 | Contains 2 C2 domains. Contains 1 FYVE-type zinc finger. Contains 1 RabBD (Rab-binding) domain. |
| 功能 | Modulates exocytosis of dense-core granules and secretion of hormones in the pancreas and the pituitary. Interacts with vesicles containing negatively charged phospholipids in a Ca(2+)-independent manner. |
| 保存条件 | Shipped at 4℃. Store at -20℃ for one year. Avoid repeated freeze/thaw cycles. |
| 注意事项 | This product as supplied is intended for research use only, not for use in human, therapeutic or diagnostic applications. |
| 背景资料 | This gene encodes a member of the synaptotagmin like protein family. Members of this family are characterized by an N-terminal Rab27 binding domain and C-terminal tandem C2 domains. The encoded protein binds specific small Rab GTPases and is involved in intracellular membrane trafficking. This protein binds Rab27 and may be involved in inhibiting dense core vesicle exocytosis. Alternate splicing results in multiple transcript variants that encode the same protein. [provided by RefSeq, Mar 2010] |
| 应用 | 推荐稀释比例 |
| {IHC-P} | {1:100-500} |
| {IHC-F} | {1:100-500} |
| {IF} | {1:100-500} |

风险提示:丁香通仅作为第三方平台,为商家信息发布提供平台空间。用户咨询产品时请注意保护个人信息及财产安全,合理判断,谨慎选购商品,商家和用户对交易行为负责。对于医疗器械类产品,请先查证核实企业经营资质和医疗器械产品注册证情况。
文献和实验[IF={{ 5.511 }}] {Song et al. Vaginal Lactobacilli Induce Differentiation of Monocytic Precursors Toward Langerhans-like Cells: in Vitro Evidence. (2018) Front.Immunol. 9:2437} {WB} {}
= NAL), appears to form upon oxidative cyclization of the nonfluorescent 2:1 lysine-HNE Michael adduct-Schiff base cross-link (Scheme 1). Polyclonal antibody (PAb) to the NAL-HNE fluorophore was raised in rabbit and found to be highly specific
. Retrieved 2010-11-29. ^ Nielsen BS, Jørgensen S, Fog JU, Søkilde R, Christensen IJ, Hansen U, Brünner N, Baker A, Møller S, Nielsen HJ (October 2010). "High levels of microRNA-21 in the stroma of colorectal cancers predict short disease-free survival
+oieSKeKcgxGinlRPl7uja5iYeDdc+K3eZhXhIOHOy+p9cxrGU9WCTkVcT5iRR/BsR+N0IDPSu3x0pXo0IRAQiAhGBiEBE4ABCwPnwbu0wGmW8ULj7NRb20DLRYqFW1Up6ODBube+wknwaZ5w/y92bXLbV5K3CJ+hhzKwdSHCmVrada2Qy0eyxvi0r7Lkl99ukcaOkRe60Sj82E8qgnmxNtzHGRRyZQtf1g41GIMau5W7ITlqbiDRR0CA3tPhIsEdmP5hZ
技术资料暂无技术资料 索取技术资料






