相关产品推荐更多 >
万千商家帮你免费找货
0 人在求购买到急需产品
- 详细信息
- 技术资料
- 应用范围:
产品信息以Bioss网站为准
- 规格:
50ul/100ul/200ul
| 规格: | 50ul | 产品价格: | ¥1180.0 |
|---|---|---|---|
| 规格: | 100ul | 产品价格: | ¥1980.0 |
| 规格: | 200ul | 产品价格: | ¥2800.0 |
| 产品编号 | bs-14387R |
| 英文名称 | DNAJC21 Rabbit pAb |
| 中文名称 | DNAJC21蛋白抗体 |
| 英文别名 | DJC21_HUMAN; DnaJ homolog subfamily A member 5; DnaJ homolog subfamily C member 21; DNAJA5; dnajc21; GS3; JJJ1; Protein GS3. |
| 产品应用 | WB=1:500-2000, IHC-P=1:100-500, IHC-F=1:100-500, IF=1:100-500 Not yet tested in other applications. |
| 交叉反应 | Human, Mouse (Rat, Chicken, Dog, Pig, Cow, Horse, Rabbit, Zebrafish, Sheep) |
| 抗体来源 | Rabbit |
| 免疫原 | KLH conjugated synthetic peptide derived from human DNAJC21 |
| 亚型 | IgG |
| 性状 | Liquid |
| 纯化方法 | affinity purified by Protein A |
| 克隆类型 | Polyclonal |
| 理论分子量 | 62 kDa |
| 浓度 | 1mg/ml |
| 储存液 | 0.01M TBS (pH7.4) with 1% BSA, 0.02% Proclin300 and 50% Glycerol. |
| 研究领域 | Signal Transduction > Protein Trafficking > Chaperones > Heat Shock Proteins Signal Transduction > Protein Trafficking > Chaperones > Other Chaperones |
| 组织特异性 | Brain, placenta, kidney and pancreas. |
| 相似性 | Contains 2 C2H2-type zinc fingers. Contains 1 J domain. |
| 功能 | May act as a co-chaperone for HSP70. |
| 保存条件 | Shipped at 4℃. Store at -20℃ for one year. Avoid repeated freeze/thaw cycles. |
| 注意事项 | This product as supplied is intended for research use only, not for use in human, therapeutic or diagnostic applications. |
| 背景资料 | With the presence of the J domain defining a protein as a member, the DnaJ family has evolved with diverse cellular localization and functions and is one of the largest chaperone families. DnaJ heat-shock-induced proteins are derived from the bacterium Escherichia coli and are controlled by the htpR regulatory protein. DnaJ proteins play a critical role in the HSP 70 chaperone machine by interacting with HSP 70 to stimulate ATP hydrolysis. Members of this family contain cysteine-rich regions composed of zinc fingers that form a peptide-binding domain responsible for chaperone function. DnaJ proteins are important mediators of proteolysis and are involved in the regulation of protein degradation, exocytosis and endocytosis. DNAJC21 (DnaJ homolog subfamily C member 21), also known as DNAJA5 or JJJ1, is a 531 amino acid protein that contains two C2H2-type zinc fingers and one J domain. Expressed in placenta, pancreas, kidney and brain, DNAJC21 may be a co-chaperone for HSP 70. |
| 应用 | 推荐稀释比例 |
| {WB} | {1:500-2000} |
| {IHC-P} | {1:100-500} |
| {IHC-F} | {1:100-500} |
| {IF} | {1:100-500} |

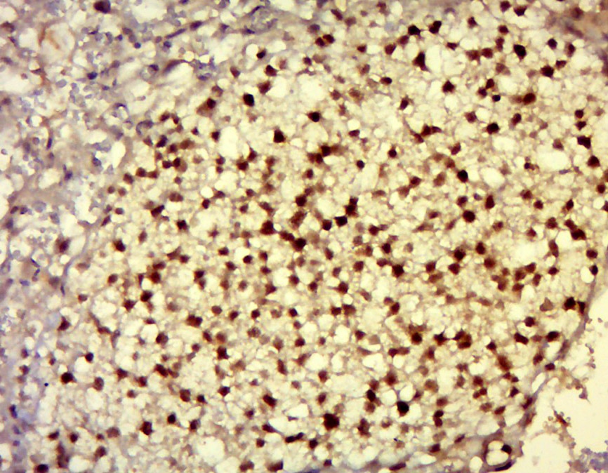
Paraformaldehyde-fixed, paraffin embedded (mouse placenta); Antigen retrieval by boiling in sodium citrate buffer (pH6.0) for 15min; Block endogenous peroxidase by 3% hydrogen peroxide for 20 minutes; Blocking buffer (normal goat serum) at 37°C for 30min; Antibody incubation with (DNAJC21) Polyclonal Antibody, Unconjugated (bs-14387R) at 1:400 overnight at 4°C, followed by a conjugated secondary (sp-0023) for 20 minutes and DAB staining.

Sample:
293T (human)Cell Lysate at 40 ug
Cerebrum (mouse) Lysate at 40 ug
kidney (mouse) Lysate at 40 ug
pancreas (mouse) Lysate at 40 ug
Primary: Anti- DNAJC21(bs-14387R)at 1/300 dilution
Secondary: IRDye800CW Goat Anti-Rabbit IgG at 1/20000 dilution
Predicted band size: 62kD
Observed band size: 62kD
293T (human)Cell Lysate at 40 ug
Cerebrum (mouse) Lysate at 40 ug
kidney (mouse) Lysate at 40 ug
pancreas (mouse) Lysate at 40 ug
Primary: Anti- DNAJC21(bs-14387R)at 1/300 dilution
Secondary: IRDye800CW Goat Anti-Rabbit IgG at 1/20000 dilution
Predicted band size: 62kD
Observed band size: 62kD
风险提示:丁香通仅作为第三方平台,为商家信息发布提供平台空间。用户咨询产品时请注意保护个人信息及财产安全,合理判断,谨慎选购商品,商家和用户对交易行为负责。对于医疗器械类产品,请先查证核实企业经营资质和医疗器械产品注册证情况。
技术资料暂无技术资料 索取技术资料
DNAJC21 Rabbit pAb(bs-14387R)-50ul/100ul/200ul
¥1180 - 2800








