相关产品推荐更多 >
万千商家帮你免费找货
0 人在求购买到急需产品
- 详细信息
- 技术资料
- 应用范围:
产品信息以Bioss网站为准
- 规格:
50ul/100ul/200ul
| 规格: | 50ul | 产品价格: | ¥1180.0 |
|---|---|---|---|
| 规格: | 100ul | 产品价格: | ¥1980.0 |
| 规格: | 200ul | 产品价格: | ¥2800.0 |
| 产品编号 | bs-14269R |
| 英文名称 | DENND1A Rabbit pAb |
| 中文名称 | DENND1A蛋白抗体 |
| 英文别名 | Connecdenn 1; Connecdenn; DEN1A_HUMAN; DENN domain-containing protein 1A; DENN/MADD domain containing 1A; dennd1a; FAM31A; FLJ21129; FLJ38464; KIAA1608; OTTHUMP00000022090; Protein FAM31A; RP11 230L22.3. |
| 产品应用 | IHC-P=1:100-500, IHC-F=1:100-500, IF=1:100-500 Not yet tested in other applications. |
| 交叉反应 | Rat (Human, Mouse, Chicken, Dog, Pig, Cow, Horse, Rabbit, Sheep) |
| 抗体来源 | Rabbit |
| 免疫原 | KLH conjugated synthetic peptide derived from human DENND1A |
| 亚型 | IgG |
| 性状 | Liquid |
| 纯化方法 | affinity purified by Protein A |
| 克隆类型 | Polyclonal |
| 理论分子量 | 110 kDa |
| 浓度 | 1mg/ml |
| 储存液 | 0.01M TBS (pH7.4) with 1% BSA, 0.02% Proclin300 and 50% Glycerol. |
| 亚细胞定位 | Cell junction > synapse > presynaptic cell membrane. Cytoplasmic vesicle > clathrin-coated vesicle membrane. Also associated with uncoated vesicles. |
| 相似性 | Contains 1 dDENN domain. Contains 1 DENN domain. Contains 1 uDENN domain. |
| 功能 | Guanine nucleotide exchange factor (GEF) for RAB35. May be involved in the clathrin-mediated endocytosis of synaptic vesicles. |
| 保存条件 | Shipped at 4℃. Store at -20℃ for one year. Avoid repeated freeze/thaw cycles. |
| 注意事项 | This product as supplied is intended for research use only, not for use in human, therapeutic or diagnostic applications. |
| 背景资料 | Clathrin (see MIM 118955)-mediated endocytosis is a major mechanism for internalization of proteins and lipids. Members of the connecdenn family, such as DENND1A, function as guanine nucleotide exchange factors (GEFs) for the early endosomal small GTPase RAB35 (MIM 604199) and bind to clathrin and clathrin adaptor protein-2 (AP2; see MIM 601024). Thus, connecdenns link RAB35 activation with the clathrin machinery (Marat and McPherson, 2010 [PubMed 20154091]).[supplied by OMIM, Nov 2010] |
| 应用 | 推荐稀释比例 |
| {IHC-P} | {1:100-500} |
| {IHC-F} | {1:100-500} |
| {IF} | {1:100-500} |

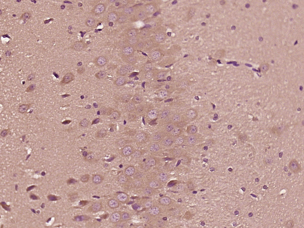
Paraformaldehyde-fixed, paraffin embedded (Rat brain); Antigen retrieval by boiling in sodium citrate buffer (pH6.0) for 15min; Block endogenous peroxidase by 3% hydrogen peroxide for 20 minutes; Blocking buffer (normal goat serum) at 37°C for 30min; Antibody incubation with (DENND1A) Polyclonal Antibody, Unconjugated (bs-14269R) at 1:500 overnight at 4°C, followed by a conjugated secondary (sp-0023) for 20 minutes and DAB staining.

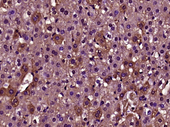
Paraformaldehyde-fixed, paraffin embedded (Rat liver); Antigen retrieval by boiling in sodium citrate buffer (pH6.0) for 15min; Block endogenous peroxidase by 3% hydrogen peroxide for 20 minutes; Blocking buffer (normal goat serum) at 37°C for 30min; Antibody incubation with (DENND1A) Polyclonal Antibody, Unconjugated (bs-14269R) at 1:400 overnight at 4°C, followed by operating according to SP Kit(Rabbit) (sp-0023) instructionsand DAB staining.
风险提示:丁香通仅作为第三方平台,为商家信息发布提供平台空间。用户咨询产品时请注意保护个人信息及财产安全,合理判断,谨慎选购商品,商家和用户对交易行为负责。对于医疗器械类产品,请先查证核实企业经营资质和医疗器械产品注册证情况。
技术资料暂无技术资料 索取技术资料
DENND1A Rabbit pAb(bs-14269R)-50ul/100ul/200ul
¥1180 - 2800








