相关产品推荐更多 >

VEGFA Rabbit pAb, APC-Cy5.5 conjugated(bs-4572R-APC-Cy5.5)-100ul
¥2980
SV2A Rabbit pAb(bs-21382R)-50ul/100ul/200ul
¥1180
C1orf43 Rabbit pAb(bs-15066R)-50ul/100ul/200ul
¥1180
MXRA5 Rabbit pAb, AP conjugated(bs-19116R-AP)-100ul
¥2980
human CD4 Mouse mAb, PerCP-Cy7 conjugated(bsm-30093M-PerCP-Cy7)-25T/50T/100T
¥1080
万千商家帮你免费找货
0 人在求购买到急需产品
- 详细信息
- 文献和实验
- 技术资料
- 应用范围:
产品信息以Bioss网站为准
- 规格:
50ul/100ul/200ul
| 规格: | 50ul | 产品价格: | ¥1180.0 |
|---|---|---|---|
| 规格: | 100ul | 产品价格: | ¥1980.0 |
| 规格: | 200ul | 产品价格: | ¥2800.0 |
| 产品编号 | bs-13725R |
| 英文名称 | PCDHB10 Rabbit pAb |
| 中文名称 | 原钙粘附蛋白β10抗体 |
| 英文别名 | OTTHUMP00000160026; PCDBA_HUMAN; PCDH BETA10; PCDH-beta-10; PCDHB10; PCHB10; Protocadherin beta-10; Protocadherin beta-10. |
| 产品应用 | WB=1:500-2000, IHC-P=1:100-500, IHC-F=1:100-500, IF=1:100-500 Not yet tested in other applications. |
| 交叉反应 | Human, Rat (Mouse, Rabbit) |
| 抗体来源 | Rabbit |
| 免疫原 | KLH conjugated synthetic peptide derived from human PCDHB10 |
| 亚型 | IgG |
| 性状 | Liquid |
| 纯化方法 | affinity purified by Protein A |
| 克隆类型 | Polyclonal |
| 理论分子量 | 84 kDa |
| 浓度 | 1mg/ml |
| 储存液 | 0.01M TBS (pH7.4) with 1% BSA, 0.02% Proclin300 and 50% Glycerol. |
| 亚细胞定位 | Cell membrane. |
| 相似性 | Contains 6 cadherin domains. |
| 功能 | Potential calcium-dependent cell-adhesion protein. May be involved in the establishment and maintenance of specific neuronal connections in the brain. |
| 保存条件 | Shipped at 4℃. Store at -20℃ for one year. Avoid repeated freeze/thaw cycles. |
| 注意事项 | This product as supplied is intended for research use only, not for use in human, therapeutic or diagnostic applications. |
| 背景资料 | Protocadherins are a large family of cadherin-like cell adhesion proteins that are involved in the establishment and maintenance of neuronal connections in the brain. There are three protocadherin gene clusters, designated a, b and g, all of which contain multiple tandemly-arranged genes. PCDHB10 (protocadherin b10), also known as PCHB10 or PCDH-b10, is an 800 amino acid protein that is one of 16 proteins in the protocadherin b cluster. Unlike the a and g gene clusters, whose genes are spliced to downstream constant-region exons during transcription, members of the b cluster (such as PCDHB10) do not use constant-region exons to produce mRNAs. As a result, each protocadherin b gene encodes the transmembrane, extracellular and short cytoplasmic domains of the protein. Localized to the cell membrane, PCDHB10 is a single-pass type I membrane protein that contains six cadherin domains. |
| 应用 | 推荐稀释比例 |
| {WB} | {1:500-2000} |
| {IHC-P} | {1:100-500} |
| {IHC-F} | {1:100-500} |
| {IF} | {1:100-500} |

A549(Human) Cell Lysate at 30 ug
Primary: Anti-PCDHB10 (bs-13725R) at 1/1000 dilution
Secondary: IRDye800CW Goat Anti-Rabbit IgG at 1/20000 dilution
Predicted band size: 84 kD
Observed band size: 112 kD

Hela(Human) Cell Lysate at 30 ug
Primary: Anti-PCDHB10 (bs-13725R) at 1/1000 dilution
Secondary: IRDye800CW Goat Anti-Rabbit IgG at 1/20000 dilution
Predicted band size: 84 kD
Observed band size: 112 kD


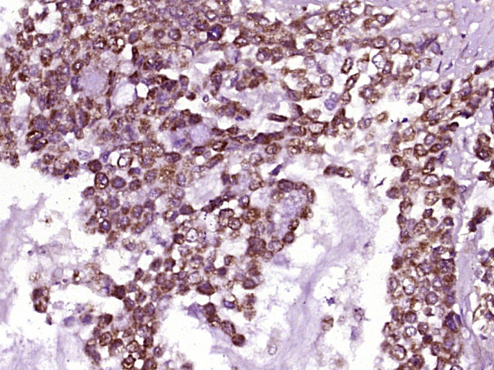
Antigen retrieval: citrate buffer ( 0.01M, pH 6.0 ), Boiling bathing for 15min; Block endogenous peroxidase by 3% Hydrogen peroxide for 30min; Blocking buffer (normal goat serum,C-0005) at 37℃ for 20 min;
Incubation: Anti-PCDHB10 Polyclonal Antibody, Unconjugated(bs-13725R) 1:200, overnight at 4°C, followed by conjugation to the secondary antibody(SP-0023) and DAB(C-0010) staining

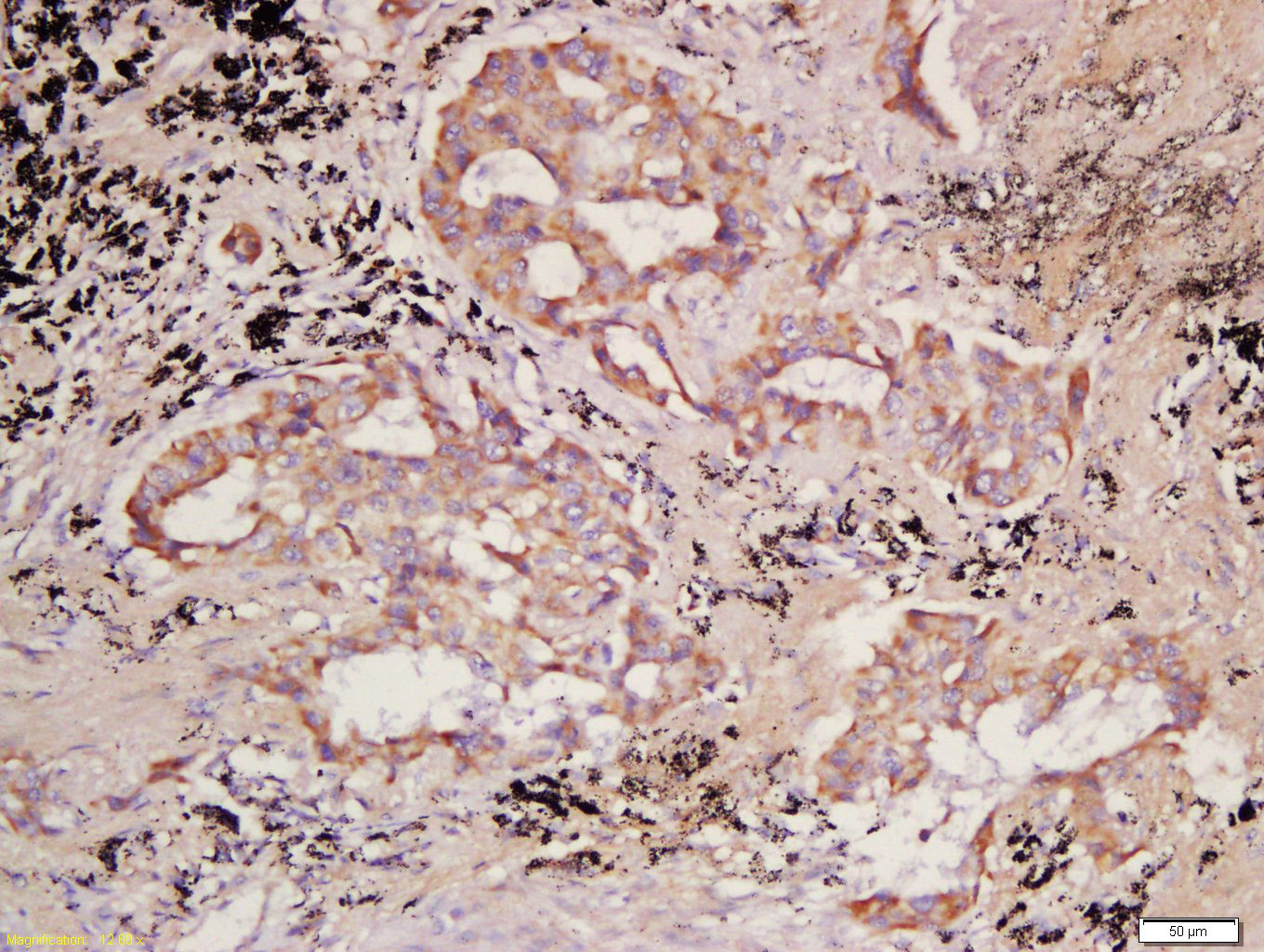
Antigen retrieval: citrate buffer ( 0.01M, pH 6.0 ), Boiling bathing for 15min; Block endogenous peroxidase by 3% Hydrogen peroxide for 30min; Blocking buffer (normal goat serum,C-0005) at 37℃ for 20 min;
Incubation: Anti-PCDHB10 Polyclonal Antibody, Unconjugated(bs-13725R) 1:200, overnight at 4°C, followed by conjugation to the secondary antibody(SP-0023) and DAB(C-0010) staining
风险提示:丁香通仅作为第三方平台,为商家信息发布提供平台空间。用户咨询产品时请注意保护个人信息及财产安全,合理判断,谨慎选购商品,商家和用户对交易行为负责。对于医疗器械类产品,请先查证核实企业经营资质和医疗器械产品注册证情况。
文献和实验= NAL), appears to form upon oxidative cyclization of the nonfluorescent 2:1 lysine-HNE Michael adduct-Schiff base cross-link (Scheme 1). Polyclonal antibody (PAb) to the NAL-HNE fluorophore was raised in rabbit and found to be highly specific
GE Healthcare Benzamidine Sepharose™ 6B is p-aminobenzamidine covalently attached to Sepharose 6B by the epoxy coupling method. p-Aminobenzamidine (PAB), is a synthetic inhibitor of trypsin-like serine protease. Trypsin and trypsin
Measurement of NO and NO Synthase
. Nathan, C. and Xie, Q.W. 1994. Regulation of biosynthesis of nitric oxide. J. Biol. Chem. 269:13725‐13728. Palmer, R.M.J., Ferrige
技术资料暂无技术资料 索取技术资料





