Sample:
A431(Human) Cell Lysate at 30 ug
Primary: Anti-OAS3 (bs-7344R) at 1/1000 dilution
Secondary: IRDye800CW Goat Anti-Rabbit IgG at 1/20000 dilution
Predicted band size: 121 kD
Observed band size: 121 kD
相关产品推荐更多 >
万千商家帮你免费找货
0 人在求购买到急需产品
- 详细信息
- 技术资料
- 应用范围:
产品信息以Bioss网站为准
- 规格:
50ul/100ul/200ul
| 规格: | 50ul | 产品价格: | ¥1180.0 |
|---|---|---|---|
| 规格: | 100ul | 产品价格: | ¥1980.0 |
| 规格: | 200ul | 产品价格: | ¥2800.0 |
| 产品编号 | bs-7344R |
| 英文名称 | OAS3 Rabbit pAb |
| 中文名称 | 2'-5'-寡腺苷酸合成酶3抗体 |
| 英文别名 | (2-5'')oligo(A) synthase 3; 2 5' oligo(A) synthetase 3; 2 5'LIGO; 2 5A synthetase 3; 2''-5''-oligoadenylate synthase 3; 2-5A synthase 3; MGC133260; OAS3 2' 5' oligoadenylate synthetase 3, 100kDa; OAS3; OAS3_HUMAN; p100; p100 OAS; p100OAS. |
| 产品应用 | WB=1:500-2000, IHC-P=1:100-500, IHC-F=1:100-500, IF=1:100-500 Not yet tested in other applications. |
| 交叉反应 | Human, Mouse (Rat) |
| 抗体来源 | Rabbit |
| 免疫原 | KLH conjugated synthetic peptide derived from human OAS3 |
| 亚型 | IgG |
| 性状 | Liquid |
| 纯化方法 | affinity purified by Protein A |
| 克隆类型 | Polyclonal |
| 理论分子量 | 121 kDa |
| 浓度 | 1mg/ml |
| 储存液 | 0.01M TBS (pH7.4) with 1% BSA, 0.02% Proclin300 and 50% Glycerol. |
| 研究领域 | Epigenetics and Nuclear Signaling > Chromatin Binding Proteins > DNA / RNA binding Epigenetics and Nuclear Signaling > DNA / RNA > RNA Processing Immunology > Innate Immunity > Cytokines > Interferons Microbiology > Organism > Virus > RNA Virus > ssRNA positive strand virus > SARS Coronavirus |
| 组织特异性 | Present at high level in placenta trophoblast. |
| 相似性 | Belongs to the 2-5A synthase family. |
| 功能 | May play a role in mediating resistance to virus infection, control of cell growth, differentiation, and apoptosis. OAS3 synthesizes preferentially dimeric 2',5'-oligoadenylate molecules. GTP can be an alternative substrate. |
| 保存条件 | Shipped at 4℃. Store at -20℃ for one year. Avoid repeated freeze/thaw cycles. |
| 注意事项 | This product as supplied is intended for research use only, not for use in human, therapeutic or diagnostic applications. |
| 背景资料 | The 2'- 5'- oligoadenylate synthetase (OAS) family is comprised of four members: OAS1, OAS2, OAS3 and OASL. These proteins are induced by interferons and function to convert ATP into 2'- 5'- linked oligomers of adenosine in the presence of double-stranded RNA and magnesium ions. Copper, iron and zinc ions strongly inhibit the OAS enzymatic activity, while manganese ions can replace magnesium ions as an activator. The OAS family plays a significant role in the inhibition of cellular protein synthesis, apoptosis and growth, and its members are important factors in viral infection resistance. OAS3, also referred to as p100, contains three adjacent OAS1-like domains and maps to the human chromosome 12q24.2 |
| 应用 | 推荐稀释比例 |
| {WB} | {1:500-2000} |
| {IHC-P} | {1:100-500} |
| {IHC-F} | {1:100-500} |
| {IF} | {1:100-500} |


Sample:
Placenta (Mouse) Lysate at 40 ug
Primary: Anti-OAS3 (bs-7344R) at 1/1000 dilution
Secondary: IRDye800CW Goat Anti-Rabbit IgG at 1/20000 dilution
Predicted band size: 121 kD
Observed band size: 121 kD
Placenta (Mouse) Lysate at 40 ug
Primary: Anti-OAS3 (bs-7344R) at 1/1000 dilution
Secondary: IRDye800CW Goat Anti-Rabbit IgG at 1/20000 dilution
Predicted band size: 121 kD
Observed band size: 121 kD

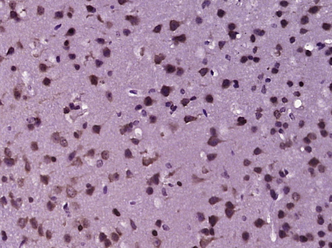
Paraformaldehyde-fixed, paraffin embedded (mouse brain tissue); Antigen retrieval by boiling in sodium citrate buffer (pH6.0) for 15min; Block endogenous peroxidase by 3% hydrogen peroxide for 20 minutes; Blocking buffer (normal goat serum) at 37°C for 30min; Antibody incubation with (OAS3) Polyclonal Antibody, Unconjugated (bs-7344R) at 1:400 overnight at 4°C, followed by operating according to SP Kit(Rabbit) (sp-0023) instructionsand DAB staining.
风险提示:丁香通仅作为第三方平台,为商家信息发布提供平台空间。用户咨询产品时请注意保护个人信息及财产安全,合理判断,谨慎选购商品,商家和用户对交易行为负责。对于医疗器械类产品,请先查证核实企业经营资质和医疗器械产品注册证情况。
技术资料暂无技术资料 索取技术资料
OAS3 Rabbit pAb(bs-7344R)-50ul/100ul/200ul
¥1180 - 2800










