相关产品推荐更多 >

MAK16/RBM13 Rabbit pAb, Biotin conjugated(bs-18637R-Bio)-100ul
¥2980
Limd1 Rabbit pAb(bs-7336R)-50ul/100ul/200ul
¥1180
Endomucin Rabbit pAb, HRP conjugated(bs-5884R-HRP)-100ul
¥2980
IGSF8 Rabbit pAb, APC-Cy5.5 conjugated(bs-2584R-APC-Cy5.5)-100ul
¥2980
P2X3 Rabbit pAb, PerCP-Cy7 conjugated(bs-4249R-PerCP-Cy7)-100ul
¥2980
万千商家帮你免费找货
0 人在求购买到急需产品
- 详细信息
- 文献和实验
- 技术资料
- 应用范围:
产品信息以Bioss网站为准
- 规格:
50ul/100ul/200ul
| 规格: | 50ul | 产品价格: | ¥1180.0 |
|---|---|---|---|
| 规格: | 100ul | 产品价格: | ¥1980.0 |
| 规格: | 200ul | 产品价格: | ¥2800.0 |
| 产品编号 | bs-10410R |
| 英文名称 | chemerin Rabbit pAb |
| 中文名称 | 趋化素抗体 |
| 英文别名 | Rarres2; TIG2; tazarotene induced gene 2; Retinoic acid receptor responder protein 2; Tazarotene-induced gene 2 protein; RAR-responsive protein TIG2; Chemerin. |
| 产品应用 | IHC-P=1:100-500, IHC-F=1:100-500, IF=1:100-500 Not yet tested in other applications. |
| 交叉反应 | Human, Mouse, Rat, Rabbit |
| 抗体来源 | Rabbit |
| 免疫原 | KLH conjugated synthetic peptide derived from rabbit chemerin |
| 亚型 | IgG |
| 性状 | Liquid |
| 纯化方法 | affinity purified by Protein A |
| 克隆类型 | Polyclonal |
| 理论分子量 | 18 kDa |
| 浓度 | 1mg/ml |
| 储存液 | 0.01M TBS (pH7.4) with 1% BSA, 0.02% Proclin300 and 50% Glycerol. |
| 亚细胞定位 | Secreted (Potential). |
| 组织特异性 | Highly expressed in skin (basal and suprabasal layers of the epidermis, hair follicles and endothelial cells). Also found in pancreas, liver, spleen, prostate, ovary, small intestine and colon. |
| 保存条件 | Shipped at 4℃. Store at -20℃ for one year. Avoid repeated freeze/thaw cycles. |
| 注意事项 | This product as supplied is intended for research use only, not for use in human, therapeutic or diagnostic applications. |
| 背景资料 | This gene encodes a secreted chemotactic protein that initiates chemotaxis via the ChemR23 G protein-coupled seven-transmembrane domain ligand. Expression of this gene is upregulated by the synthetic retinoid tazarotene and occurs in a wide variety of tissues. The active protein has several roles, including that as an adipokine, and is truncated on both termini from the proprotein. [provided by RefSeq, Dec 2008]. |
| 应用 | 推荐稀释比例 |
| {IHC-P} | {1:100-500} |
| {IHC-F} | {1:100-500} |
| {IF} | {1:100-500} |






风险提示:丁香通仅作为第三方平台,为商家信息发布提供平台空间。用户咨询产品时请注意保护个人信息及财产安全,合理判断,谨慎选购商品,商家和用户对交易行为负责。对于医疗器械类产品,请先查证核实企业经营资质和医疗器械产品注册证情况。
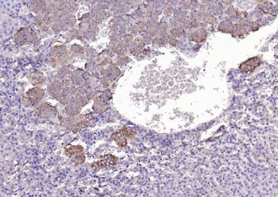
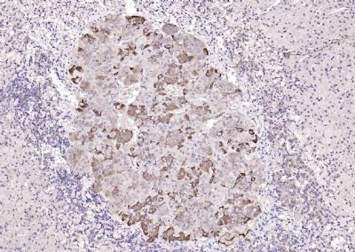
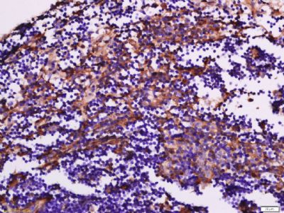
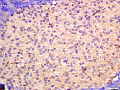
文献和实验[IF={{ 5.52 }}] {Gonzalvo-Feo, Safiye, et al. "Endothelial Cell–Derived Chemerin Promotes Dendritic Cell Transmigration." The Journal of Immunology (2014): 1302028.} {Other} {="Mouse"}
[IF={{ 4.43 }}] {Akamata, Kaname, et al. "Increased expression of chemerin in endothelial cells due to Fli1 deficiency may contribute to the development of digital ulcers in systemic sclerosis." Rheumatology (2014): keu479.} {IHC} {="Human"}
[IF={{ 3.647 }}] {Lin Zhu. et al. Chemerin causes lipid metabolic imbalance and induces passive lipid accumulation in human hepatoma cell line via the receptor GPR1. Life Sci. 2021 Aug;278:119530} {Other} {Human}
[IF={{ 3.448 }}] {Hanthazi A et al. Chemerin influences endothelin-and serotonin-induced pulmonary artery vasoconstriction in rats. Life Sci. 2019 Jun 16:116580.} {IHC} {Rat}
[IF={{ 2.13 }}] {Krautbauer, Sabrina, et al. "Chemerin is highly expressed in hepatocytes and is induced in non-alcoholic steatohepatitis liver." Experimental and molecular pathology (2013).} {Other} {="Mouse"}
= NAL), appears to form upon oxidative cyclization of the nonfluorescent 2:1 lysine-HNE Michael adduct-Schiff base cross-link (Scheme 1). Polyclonal antibody (PAb) to the NAL-HNE fluorophore was raised in rabbit and found to be highly specific
GE Healthcare Benzamidine Sepharose™ 6B is p-aminobenzamidine covalently attached to Sepharose 6B by the epoxy coupling method. p-Aminobenzamidine (PAB), is a synthetic inhibitor of trypsin-like serine protease. Trypsin and trypsin
Nucleic Acid Programmable Protein Arrays: Versatile Tools for Array‐Based Functional Protein Studies
.g., Sigma) 50 mg/ml bis‐sulfosuccinimdylsuberate (BS3 ;Pierce, cat. no. PI 21580) in dimethylsulfoxide (DMSO) 5 mg/ml
技术资料暂无技术资料 索取技术资料





