相关产品推荐更多 >
万千商家帮你免费找货
0 人在求购买到急需产品
- 详细信息
- 文献和实验
- 技术资料
- 应用范围:
产品信息以Bioss网站为准
- 规格:
50ul/100ul/200ul
| 规格: | 50ul | 产品价格: | ¥1180.0 |
|---|---|---|---|
| 规格: | 100ul | 产品价格: | ¥1980.0 |
| 规格: | 200ul | 产品价格: | ¥2800.0 |
| 产品编号 | bs-15502R |
| 英文名称 | RGS14 Rabbit pAb |
| 中文名称 | G蛋白信号调节因子14抗体 |
| 英文别名 | Highly similar to rap1/rap2 interacting protein; OTTHUMP00000223586; OTTHUMP00000223587; Regulation of G protein signaling 14; Regulator of G protein signaling 14; Regulator of G protein signalling 14; Regulator of G-protein signaling 14; RGS 14; RGS14; RGS14_HUMAN. |
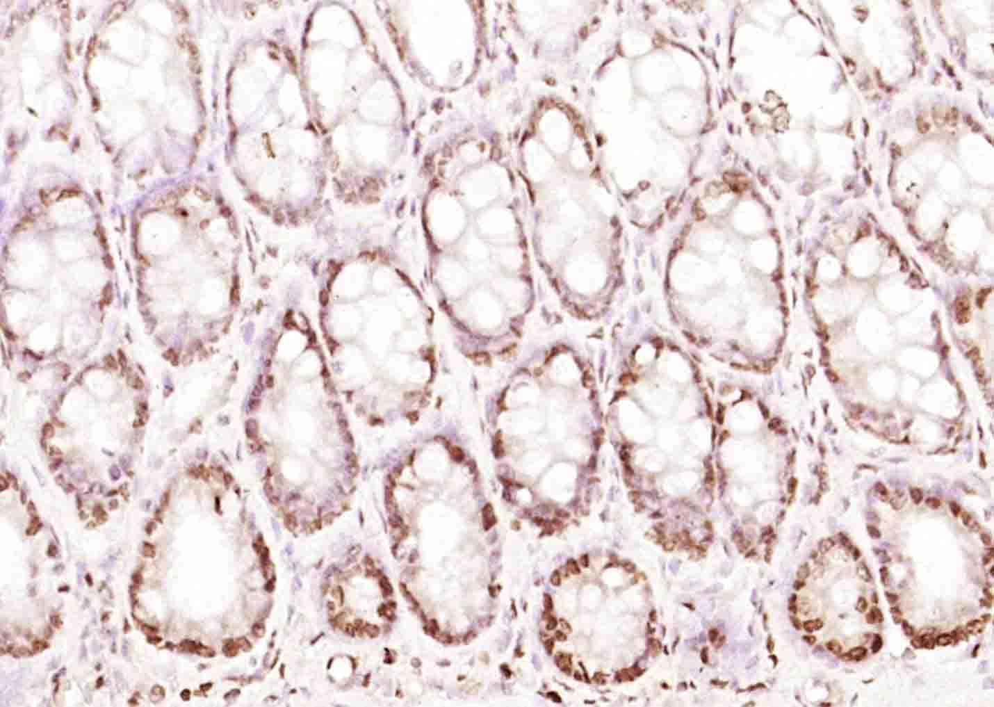
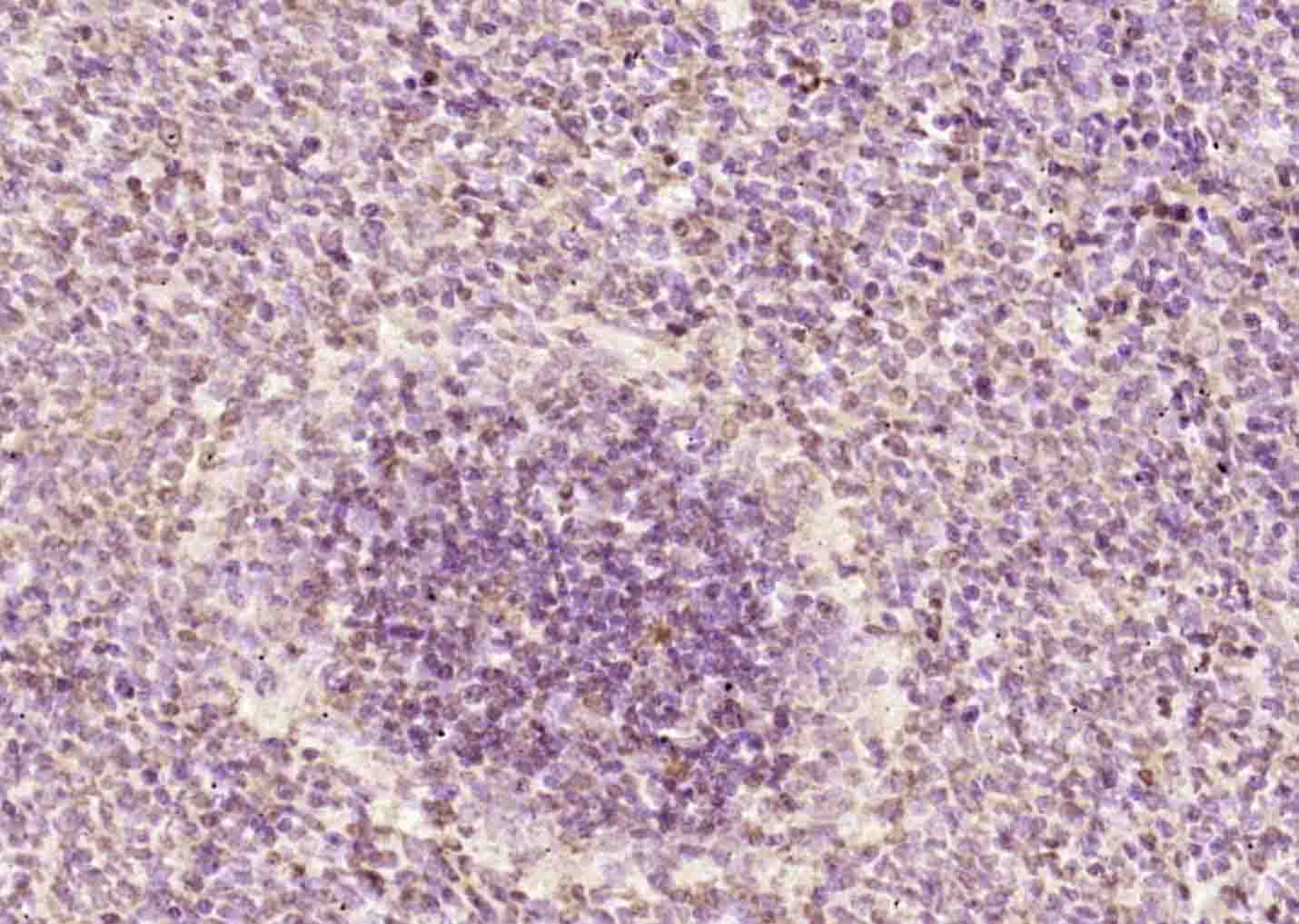
| 产品应用 | WB=1:500-2000, IHC-P=1:100-500, IHC-F=1:100-500, IF=1:100-500 Not yet tested in other applications. |
| 交叉反应 | Mouse, Rat (Human, Cow) |
| 抗体来源 | Rabbit |
| 免疫原 | KLH conjugated synthetic peptide derived from human RGS14 |
| 亚型 | IgG |
| 性状 | Liquid |
| 纯化方法 | affinity purified by Protein A |
| 克隆类型 | Polyclonal |
| 理论分子量 | 61 kDa |
| 浓度 | 1mg/ml |
| 储存液 | 0.01M TBS (pH7.4) with 1% BSA, 0.02% Proclin300 and 50% Glycerol. |
| 研究领域 | Signal Transduction > Second Messenger > Nucleotide Messenger > GTP Signal Transduction > Signaling Pathway > G Protein Signaling > GPCR |
| 亚基 | Interacts with GNAO1 and GNAI2. Interacts (via RGS and GoLoco domains) GNAI1; the interaction occurs in the centrosomes. Interacts with RABGEF1; the interactions is GTP-dependent. Interacts with RAP2A; the interactions is GTP-dependent and does not alter its function on G(i) alpha subunits either as GAP or as GDI. Associates with microtubules. Found in a complex with at least BRAF, HRAS1, MAP2K1, MAPK3 and RGS14. Interacts with RIC8A (via C-terminus). Interacts (via RBD 1 domain) with HRAS1 (active GTP-bound form preferentially). Interacts (via RBD domains) with BRAF (via N-terminus); the interaction mediates the formation of a ternary complex with RAF1. Interacts (via RBD domains) with RAF1 (via N-terminus); the interaction mediates the formation of a ternary complex with BRAF. Interacts with KRAS (active GTP-bound form preferentially), MRAS (active GTP-bound form preferentially), NRAS (active GTP-bound form preferentially) and RRAS (active GTP-bound form preferentially). Interacts with GNAI1 (via active GTP-or inactive GDP-bound forms); the interaction prevents association of RGS14 with centrosomes or nuclear localization. Interacts with GNAI2. Interacts with GNAI3 (via active GTP- or inactive GDP-bound forms); the interaction prevents association of RGS14 with centrosomes or nuclear localization (By similarity). Associates with microtubules. |
| 亚细胞定位 | Nucleus (By similarity). Nucleus, PML body (By similarity). Cytoplasm. Membrane (By similarity). Cell membrane (By similarity). Cytoplasm, cytoskeleton, centrosome (By similarity). Cytoplasm, cytoskeleton, spindle. Cytoplasm, cytoskeleton, spindle pole (By similarity). Cell projection, dendrite (By similarity). Cell projection, dendritic spine (By similarity). Cell junction, synapse, postsynaptic cell membrane, postsynaptic density (By similarity). Note=Associates with the perinuclear sheaths of microtubules (MTs) surrounding the pronuclei, prior to segregating to the anastral mitotic apparatus and subsequently the barrel-shaped cytoplasmic bridge between the nascent nuclei of the emerging 2-cell embryo. Localizes to a perinuclear compartment near the microtubule-organizing center (MTOC). Expressed in the nucleus during interphase and segregates to the centrosomes and astral MTs during mitosis. Relocalizes to the nucleus in PML nuclear bodies in response to heat stress. Colocalizes with RIC8A in CA2 hippocampal neurons. Localizes to spindle poles during metaphase. Shuttles between the nucleus and cytoplasm in a CRM1-dependent manner. Recruited from the cytosol to the plasma membrane by the inactive GDP-bound forms of G(i) alpha subunits GNAI1 and GNAI3. Recruited from the cytosol to membranes by the active GTP-bound form of HRAS1. Colocalizes with G(i) alpha subunit GNAI1 and RIC8A at the plasma membrane. Colocalizes with BRAF and RAF1 in both the cytoplasm and membranes (By similarity). |
| 翻译后修饰 | Phosphorylated by PKC. Phosphorylation is increased in presence of forskolin and may enhance the GDI activity on G(i) alpha subunit GNAI1 (By similarity). |
| 相似性 | Contains 1 GoLoco domain. Contains 2 RBD (Ras-binding) domains. Contains 1 RGS domain. |
| 功能 | Acts as a regulator of G protein signaling (RGS). Modulates G protein alpha subunits nucleotide exchange and hydrolysis activities by functioning either as a GTPase-activating protein (GAP), thereby driving G protein alpha subunits into their inactive GDP-bound form, or as a GDP-dissociation inhibitor (GDI). Confers GDI activity on G(i) alpha subunits GNAI1 and GNAI3, but not G(o) alpha subunit GNAO1 and G(i) alpha subunit GNAI2. Confers GAP activity on G(o) alpha subunit GNAI0 and G(i) alpha subunits GNAI2 and GNAI3. May act as a scaffold integrating G protein and Ras/Raf MAPkinase signaling pathways. Inhibits platelet-derived growth factor (PDGF)-stimulated ERK1/ERK2 phosphorylation; a process depending on its interaction with HRAS1 and that is reversed by G(i) alpha subunit GNAI1. Acts as a positive modulator of microtubule polymerisation and spindle organization through a G(i)-alpha-dependent mechanism. Plays a role in cell division. Probably required for the nerve growth factor (NGF)-mediated neurite outgrowth. May be involved in visual memory processing capacity and hippocampal-based learning and memory. |
| 保存条件 | Shipped at 4℃. Store at -20℃ for one year. Avoid repeated freeze/thaw cycles. |
| 注意事项 | This product as supplied is intended for research use only, not for use in human, therapeutic or diagnostic applications. |
| 背景资料 | This gene encodes a member of the regulator of G-protein signaling family. This protein contains one RGS domain, two Raf-like Ras-binding domains (RBDs), and one GoLoco domain. The protein attenuates the signaling activity of G-proteins by binding, through its GoLoco domain, to specific types of activated, GTP-bound G alpha subunits. Acting as a GTPase activating protein (GAP), the protein increases the rate of conversion of the GTP to GDP. This hydrolysis allows the G alpha subunits to bind G beta/gamma subunit heterodimers, forming inactive G-protein heterotrimers, thereby terminating the signal. Alternate transcriptional splice variants of this gene have been observed but have not been thoroughly characterized. [provided by RefSeq, Jul 2008]. |
| 应用 | 推荐稀释比例 |
| {WB} | {1:500-2000} |
| {IHC-P} | {1:100-500} |
| {IHC-F} | {1:100-500} |
| {IF} | {1:100-500} |




Spleen (Mouse) Lysate at 40 ug
Primary: Anti- RGS14 (bs-15502R) at 1/1000 dilution
Secondary: IRDye800CW Goat Anti-Rabbit IgG at 1/20000 dilution
Predicted band size: 61 kD
Observed band size: 61 kD
风险提示:丁香通仅作为第三方平台,为商家信息发布提供平台空间。用户咨询产品时请注意保护个人信息及财产安全,合理判断,谨慎选购商品,商家和用户对交易行为负责。对于医疗器械类产品,请先查证核实企业经营资质和医疗器械产品注册证情况。
文献和实验= NAL), appears to form upon oxidative cyclization of the nonfluorescent 2:1 lysine-HNE Michael adduct-Schiff base cross-link (Scheme 1). Polyclonal antibody (PAb) to the NAL-HNE fluorophore was raised in rabbit and found to be highly specific
GE Healthcare Benzamidine Sepharose™ 6B is p-aminobenzamidine covalently attached to Sepharose 6B by the epoxy coupling method. p-Aminobenzamidine (PAB), is a synthetic inhibitor of trypsin-like serine protease. Trypsin and trypsin
GE Healthcare Benzamidine Sepharose™ 6B is p-aminobenzamidine covalently attached to Sepharose 6B by the epoxy coupling method. p-Aminobenzamidine (PAB), is a synthetic inhibitor of trypsin-like serine protease. Trypsin and trypsin
技术资料暂无技术资料 索取技术资料









