相关产品推荐更多 >

NKG2D Rabbit pAb(bs-20661R)-50ul/100ul/200ul
¥1180
ZNF157 Rabbit pAb, HRP conjugated(bs-7161R-HRP)-100ul
¥2980
Arginase 1 Rabbit pAb, PerCP-Cy7 conjugated(bs-8585R-PerCP-Cy7)-100ul
¥2980
CISD1 Rabbit pAb(bs-13959R)-50ul/100ul/200ul
¥1180
TTF1/NKX2-1 Rabbit pAb, APC-Cy7 conjugated(bs-0826R-APC-Cy7)-100ul
¥2980
万千商家帮你免费找货
0 人在求购买到急需产品
- 详细信息
- 文献和实验
- 技术资料
- 应用范围:
产品信息以Bioss网站为准
- 规格:
50ul/100ul/200ul
| 规格: | 50ul | 产品价格: | ¥1180.0 |
|---|---|---|---|
| 规格: | 100ul | 产品价格: | ¥1980.0 |
| 规格: | 200ul | 产品价格: | ¥2800.0 |
| 产品编号 | bs-13281R |
| 英文名称 | phospho-RASA1 (Tyr460) Rabbit pAb |
| 中文名称 | 磷酸化Rho GTP酶激活蛋白1/血管畸形骨肥大综合征相关蛋白抗体 |
| 英文别名 | GAP(phospho Y460); p-GAP(phospho Y460); Ras GAP; CM AVM; CMAVM; DKFZp434N071; GAP; GTPase activating protein; GTPase-activating protein; OTTHUMP00000222390; OTTHUMP00000222391; OTTHUMP00000222392; OTTHUMP00000222393; p120GAP; p120RASGAP; PKWS; Ras GTPase-activating protein 1; RAS p21 protein activator(GTPase activating protein) 1; Ras p21 protein activator; RASA; RASA1; RASA1_HUMAN; RasGAP; Triphosphatase activating protein. |
| 产品应用 | IHC-P=1:100-500, IHC-F=1:100-500, IF=1:100-500 Not yet tested in other applications. |
| 交叉反应 | Mouse (Human, Rat, Chicken, Dog, Pig, Cow, Horse, Sheep) |
| 抗体来源 | Rabbit |
| 免疫原 | KLH conjugated synthesised phosphopeptide derived from human GAP around the phosphorylation site of Tyr460 |
| 亚型 | IgG |
| 性状 | Liquid |
| 纯化方法 | affinity purified by Protein A |
| 克隆类型 | Polyclonal |
| 理论分子量 | 116 kDa |
| 浓度 | 1mg/ml |
| 储存液 | 0.01M TBS (pH7.4) with 1% BSA, 0.02% Proclin300 and 50% Glycerol. |
| 研究领域 | Signal Transduction > Signaling Pathway > G Protein Signaling > Small G Proteins > Regulators |
| 亚基 | Interacts with SQSTM1. Interacts with SPSB1; the interaction does not promote degradation. Interacts with CAV2 (tyrosine phosphorylated form). Directly interacts with NCK1. Interacts with PDGFRB (tyrosine phosphorylated). Interacts (via SH2 domain) with the 'Tyr-9' phosphorylated form of PDPK1. |
| 亚细胞定位 | Cytoplasm. |
| 组织特异性 | In placental villi, detected only in the trophoblast layer (cytotrophoblast and syncytiotrophoblast). Not detected in stromal, endothelial or Hofbauer cells (at protein level). |
| 相似性 | Contains 1 C2 domain. Contains 1 PH domain. Contains 1 Ras-GAP domain. Contains 2 SH2 domains. Contains 1 SH3 domain. |
| 功能 | Inhibitory regulator of the Ras-cyclic AMP pathway. Stimulates the GTPase of normal but not oncogenic Ras p21. |
| 保存条件 | Shipped at 4℃. Store at -20℃ for one year. Avoid repeated freeze/thaw cycles. |
| 注意事项 | This product as supplied is intended for research use only, not for use in human, therapeutic or diagnostic applications. |
| 背景资料 | The mammalian c-H-, c-K- and N-Ras proto-oncogenes encode ubiquitously expressed proteins (1,2). p21Ras can exist in either a physiologically quiescent GDP-binding state or a GTP-binding signal-emitting state (3). Oncogenic p21Ras proteins are trapped in the excited signal-emitting state because the mechanism normally employed to delimit their excitation period, hydrolysis of their bound GTP to GDP, is impaired as a result of specific mutations (3). Interaction of p21Ras with GTPase activating protein (GAP) can increase hydrolysis of p21Ras-bound GTP by as much as 1000-fold (4,5). The product of the neurofibromatosis type 1 gene (NF1) has also been shown to exhibit p21Ras GAP activity (6,7), and proteins that stimulate the GTPase activity of three other low molecular weight GTPases, including Rho, Rab 3A and Rap 1, have also been described (8,9). |
| 应用 | 推荐稀释比例 |
| {IHC-P} | {1:100-500} |
| {IHC-F} | {1:100-500} |
| {IF} | {1:100-500} |

风险提示:丁香通仅作为第三方平台,为商家信息发布提供平台空间。用户咨询产品时请注意保护个人信息及财产安全,合理判断,谨慎选购商品,商家和用户对交易行为负责。对于医疗器械类产品,请先查证核实企业经营资质和医疗器械产品注册证情况。
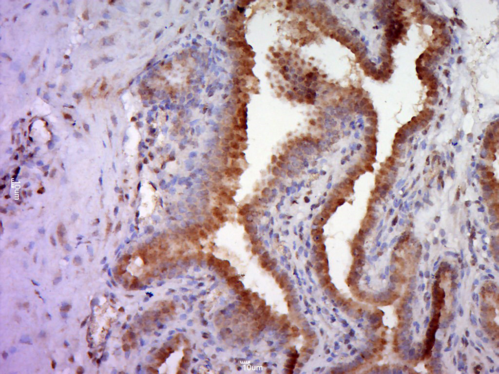
文献和实验。所以,我们建议使用微波炉或高压锅加热煮沸以达到最佳抗原修复效果。抗体:Phospho–Stat3 (Tyr705)(D3A7) XP. Rabbit mAb #9145样本:石蜡包埋人类肺部肿瘤样本煮沸设备:浴锅 (左),微波炉 (中),高压锅 (右)免疫染色—封闭在 IHC–P 中,我们建议在室温下在含有 Tween20 的 TBST 缓冲液和 5% 正常山羊血清 (NGS) 中封闭样品,时长 1 小时,以防止非特异性背景染色。在进行 IHC–F 时,在含有 0.3% Triton. X–100 的 1X
used in accordance withmanufacturer recommendationsSignalStain?DAB Substrate Kit #8059:IHC analysis of paraffin-embedded human breastcarcinoma using Phospho-Stat3 (Tyr705) (D3A7) XP? Rabbit mAb #9145. Chromogenicdetection was performed using #8059 (left
v468. chapter 4 WNT 细胞通路 检测细胞GSK3活性与表达水平
. Immunoblot using antibodies to phospho-Tyr279/216 can assess alterations in activity independent ofthe N-terminal phosphorylation, although phosphorylation atthis site is most likely to be constitutive (14) . 3. Immunoblot using antibodies to known
技术资料暂无技术资料 索取技术资料






