相关产品推荐更多 >

PKC delta Rabbit pAb, RBITC conjugated(bs-23441R-RBITC)-100ul
¥2980
HPV16 E7 Rabbit pAb, FITC conjugated(bs-0992R-FITC)-100ul
¥2980
phospho-MDM2 (Ser166) Rabbit pAb, PE-Cy5 conjugated(bs-3266R-PE-Cy5)-100ul
¥2980
C6ORF173 Rabbit pAb(bs-15230R)-50ul/100ul/200ul
¥1180
phospho-CEBP alpha (Thr222 + Thr226) Rabbit pAb(bs-3061R)-50ul/100ul/200ul
¥1180
万千商家帮你免费找货
0 人在求购买到急需产品
- 详细信息
- 文献和实验
- 技术资料
- 应用范围:
产品信息以Bioss网站为准
- 规格:
50ul/100ul/200ul
| 规格: | 50ul | 产品价格: | ¥1180.0 |
|---|---|---|---|
| 规格: | 100ul | 产品价格: | ¥1980.0 |
| 规格: | 200ul | 产品价格: | ¥2800.0 |
| 产品编号 | bs-15075R |
| 英文名称 | C1orf69 Rabbit pAb |
| 中文名称 | 1号染色体开放阅读框69抗体 |
| 英文别名 | C1orf69; CA069_HUMAN; CAF17_HUMAN; FLJ12734; FLJ13849; IBA57; IBA57 iron sulfur cluster assembly homolog; IBA57 iron sulfur cluster assembly homolog(S. cerevisiae); Iron sulfur cluster assembly factor for biotin synthase and aconitase like; Iron-sulfur cluster assembly factor homolog; mitochondrial; Mitochondrial proteins with a mass of 57kDa; Putative transferase C1orf69; Putative transferase C1orf69 mitochondrial; Putative transferase CAF17, mitochondrial. |
| 产品应用 | IHC-P=1:100-500, IHC-F=1:100-500, IF=1:100-500 Not yet tested in other applications. |
| 交叉反应 | Rat (Human, Mouse, Pig) |
| 抗体来源 | Rabbit |
| 免疫原 | KLH conjugated synthetic peptide derived from human C1orf69 |
| 亚型 | IgG |
| 性状 | Liquid |
| 纯化方法 | affinity purified by Protein A |
| 克隆类型 | Polyclonal |
| 理论分子量 | 34 kDa |
| 浓度 | 1mg/ml |
| 储存液 | 0.01M TBS (pH7.4) with 1% BSA, 0.02% Proclin300 and 50% Glycerol. |
| 亚细胞定位 | Mitochondrion (Potential). |
| 相似性 | Belongs to the GcvT family. CAF17 subfamily. |
| 功能 | Required for normal heme biosynthesis (By similarity). |
| 保存条件 | Shipped at 4℃. Store at -20℃ for one year. Avoid repeated freeze/thaw cycles. |
| 注意事项 | This product as supplied is intended for research use only, not for use in human, therapeutic or diagnostic applications. |
| 背景资料 | Belonging to the CAF17 subfamily of the gcvT family, C1orf69 is a 356 amino acid mitochondrial protein that is required for normal heme synthesis. Heme synthesis is dependent upon receiving iron through iron sulfur (Fe-S) cluster biogenesis proteins such as C1orf69, which is specifically thought to assemble Fe-S clusters for mitochondrial aconitase and lipoate synthase. In zebrafish, deficiency of C1orf69 causes anemia. The gene encoding C1orf69 maps to human chromosome 1, the largest human chromosome spanning about 260 million base pairs and making up 8% of the human genome. There are about 3,000 genes on chromosome 1, and considering the great number of genes there are also a large number of diseases associated with chromosome 1. |
| 应用 | 推荐稀释比例 |
| {IHC-P} | {1:100-500} |
| {IHC-F} | {1:100-500} |
| {IF} | {1:100-500} |

风险提示:丁香通仅作为第三方平台,为商家信息发布提供平台空间。用户咨询产品时请注意保护个人信息及财产安全,合理判断,谨慎选购商品,商家和用户对交易行为负责。对于医疗器械类产品,请先查证核实企业经营资质和医疗器械产品注册证情况。
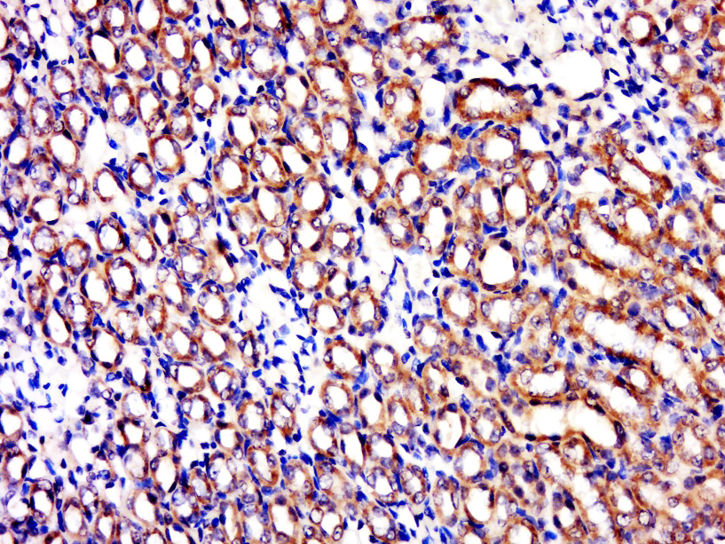
文献和实验[IF={{ 4.996 }}] {Yang, Ling. et al. Systematic analysis of expression profiles and prognostic significance for MMDS-related iron–sulfur proteins in renal clear cell carcinoma. SCI REP-UK. 2022 Nov;12(1):1-12} {IHC} {Human}
= NAL), appears to form upon oxidative cyclization of the nonfluorescent 2:1 lysine-HNE Michael adduct-Schiff base cross-link (Scheme 1). Polyclonal antibody (PAb) to the NAL-HNE fluorophore was raised in rabbit and found to be highly specific
GE Healthcare Benzamidine Sepharose™ 6B is p-aminobenzamidine covalently attached to Sepharose 6B by the epoxy coupling method. p-Aminobenzamidine (PAB), is a synthetic inhibitor of trypsin-like serine protease. Trypsin and trypsin
Nucleic Acid Programmable Protein Arrays: Versatile Tools for Array‐Based Functional Protein Studies
.g., Sigma) 50 mg/ml bis‐sulfosuccinimdylsuberate (BS3 ;Pierce, cat. no. PI 21580) in dimethylsulfoxide (DMSO) 5 mg/ml
技术资料暂无技术资料 索取技术资料






