相关产品推荐更多 >
万千商家帮你免费找货
0 人在求购买到急需产品
- 详细信息
- 文献和实验
- 技术资料
- 应用范围:
产品信息以Bioss网站为准
- 规格:
50ul/100ul/200ul
| 规格: | 50ul | 产品价格: | ¥1180.0 |
|---|---|---|---|
| 规格: | 100ul | 产品价格: | ¥1980.0 |
| 规格: | 200ul | 产品价格: | ¥2800.0 |
| 产品编号 | bs-12861R |
| 英文名称 | beta IV Tubulin Rabbit pAb |
| 中文名称 | 微管蛋白β4抗体 |
| 英文别名 | beta 4; beta 4 tubulin; beta 5; MC1R; TBB4_HUMAN; TUB B4; TUBB 4; TUBB4; TUBB5; Tubulin 5 beta; Tubulin beta 3; Tubulin beta 4; Tubulin beta 4 chain; Tubulin beta 5; Tubulin beta IV; Tubulin beta-4 chain. |
| 产品应用 | WB=1:500-2000, IHC-P=1:100-500, IHC-F=1:100-500, IF=1:100-500 Not yet tested in other applications. |
| 交叉反应 | Mouse, Rat (Human) |
| 抗体来源 | Rabbit |
| 免疫原 | KLH conjugated synthetic peptide derived from human TUBB4/beta IV Tubulin |
| 亚型 | IgG |
| 性状 | Liquid |
| 纯化方法 | affinity purified by Protein A |
| 克隆类型 | Polyclonal |
| 理论分子量 | 50 kDa |
| 浓度 | 1mg/ml |
| 储存液 | 0.01M TBS (pH7.4) with 1% BSA, 0.02% Proclin300 and 50% Glycerol. |
| 研究领域 | Signal Transduction > Cytoskeleton / ECM > Cytoskeleton > Microtubules > Tubulin Tags & Cell Markers > Subcellular Markers > Cytoskeleton > Microtubules |
| 亚基 | Dimer of alpha and beta chains. |
| 亚细胞定位 | Cytoplasm, cytoskeleton. |
| 翻译后修饰 | Some glutamate residues at the C-terminus are polyglutamylated. This modification occurs exclusively on glutamate residues and results in polyglutamate chains on the gamma-carboxyl group. Also monoglycylated but not polyglycylated due to the absence of functional TTLL10 in human. Monoglycylation is mainly limited to tubulin incorporated into axonemes (cilia and flagella) whereas glutamylation is prevalent in neuronal cells, centrioles, axonemes, and the mitotic spindle. Both modifications can coexist on the same protein on adjacent residues, and lowering glycylation levels increases polyglutamylation, and reciprocally. The precise function of such modifications is still unclear but they regulate the assembly and dynamics of axonemal microtubules. |
| 相似性 | Belongs to the tubulin family. |
| 功能 | Tubulin is the major constituent of microtubules. It binds two moles of GTP, one at an exchangeable site on the beta chain and one at a non-exchangeable site on the alpha-chain. |
| 保存条件 | Shipped at 4℃. Store at -20℃ for one year. Avoid repeated freeze/thaw cycles. |
| 注意事项 | This product as supplied is intended for research use only, not for use in human, therapeutic or diagnostic applications. |
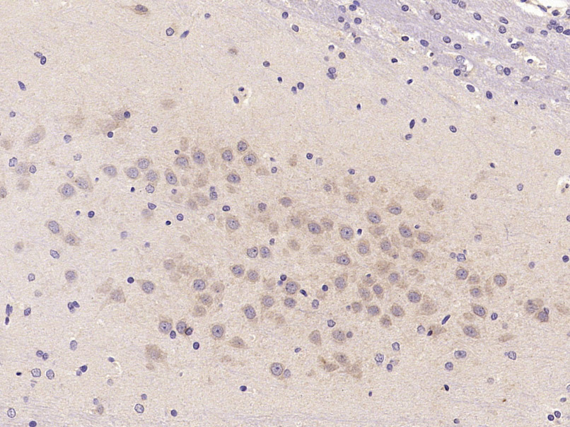
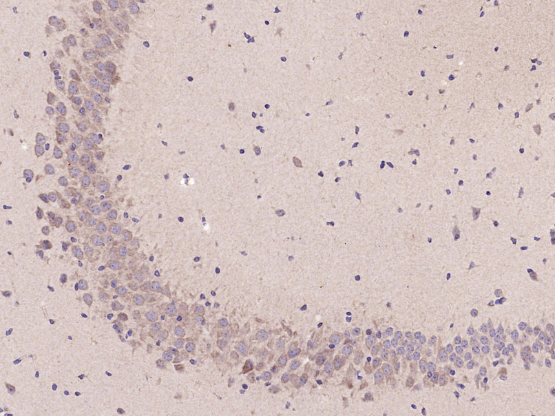
| 背景资料 | Beta III tubulin is abundant in the central and peripheral nervous systems (CNS and PNS) where it is prominently expressed during fetal and postnatal development. As exemplified in cerebellar and sympathoadrenal neurogenesis, the distribution of beta III is neuron-associated, exhibiting distinct temporospatial gradients according to the regional neuroepithelia of origin. However, transient expression of this protein is also present in the subventricular zones of the CNS comprising putative neuronal- and/or glial precursor cells, as well as in Kulchitsky neuroendocrine cells of the fetal respiratory epithelium. This temporally restricted, potentially non-neuronal expression may have implications in the identification of presumptive neurons derived from embryonic stem cells. |
| 应用 | 推荐稀释比例 |
| {WB} | {1:500-2000} |
| {IHC-P} | {1:100-500} |
| {IHC-F} | {1:100-500} |
| {IF} | {1:100-500} |



Cerebrum(mouse) Lysate at 40 ug
Cerebrum(mouse) Lysate at 40 ug
Primary: Anti-bataIV Tubulin (bs-12861R) at 1/300 dilution
Secondary: IRDye800CW Goat Anti-Rabbit IgG at 1/20000 dilution
Predicted band size: 50 kD
Observed band size: 50 kD
风险提示:丁香通仅作为第三方平台,为商家信息发布提供平台空间。用户咨询产品时请注意保护个人信息及财产安全,合理判断,谨慎选购商品,商家和用户对交易行为负责。对于医疗器械类产品,请先查证核实企业经营资质和医疗器械产品注册证情况。
文献和实验[IF={{ 1.28 }}] {Isarangkul, Duangnate, et al. "Mitochondrial and cytoskeletal alterations are involved in the pathogenesis of hydronephrosis in ICR/Mlac-hydro mice." International Journal of Clinical and Experimental Medicine 8.6 (2015): 9192-9204.} {IHC} {="Mouse"}
分析。这样虽然麻烦一点,但是可以保证结果更有说服力,更可信。毕竟我们的实验是一种严谨的工作。 常用的细胞总蛋白质内参有GAPDH(glyceraldehyde-3-phosphate dehydrogenase)和细胞骨架 蛋白beta-actin或beta-tubulin,这其中最近的国外文献报道中使用GAPDH内参的较多。对于一些植物的样本,则需要特别的植物Actin蛋白作为内参;同样的,如果提取的样本是细胞核蛋白,那么PCNA或者组蛋白H3都是被经常使用的;而针对一些研究线粒体的客户
Derivation and Culture of Dopaminergic Neurons (from Midbrains of Rodents)
Culture the cells in an incubator, changing medium every other day. iii. Culture the cells for 3-10 days, then check for DA neurons by immunocytochemical staining using antibodies against the neuronal maker β-III-tubulin
GE Healthcare Benzamidine Sepharose™ 6B is p-aminobenzamidine covalently attached to Sepharose 6B by the epoxy coupling method. p-Aminobenzamidine (PAB), is a synthetic inhibitor of trypsin-like serine protease. Trypsin and trypsin
技术资料暂无技术资料 索取技术资料










