相关产品推荐更多 >

phospho-c-Kit (Tyr730) Rabbit pAb, Cy3 conjugated(bs-12914R-Cy3)-100ul
¥2980
TRNP Rabbit pAb, HRP conjugated(bs-17148R-HRP)-100ul
¥2980
SCG3 Rabbit pAb(bs-20128R)-50ul/100ul/200ul
¥1180
phospho-DARPP32 (Thr34) Rabbit pAb(bs-3118R)-50ul/100ul/200ul
¥1180
phospho-NFKB p65 (Ser536) Rabbit pAb(bs-0982R)-50ul/100ul/200ul
¥1180
万千商家帮你免费找货
0 人在求购买到急需产品
- 详细信息
- 文献和实验
- 技术资料
- 应用范围:
产品信息以Bioss网站为准
- 规格:
50ul/100ul/200ul
| 规格: | 50ul | 产品价格: | ¥1180.0 |
|---|---|---|---|
| 规格: | 100ul | 产品价格: | ¥1980.0 |
| 规格: | 200ul | 产品价格: | ¥2800.0 |
| 产品编号 | bs-12567R |
| 英文名称 | phospho-BAD (Ser91) Rabbit pAb |
| 中文名称 | 磷酸化相关死亡促进因子抗体 |
| 英文别名 | Bad(phospho Ser91); p-Bad(phospho S91); BBC 2; BBC2; BBC6; Bcl 2 Antagonist of Cell Death; Bcl 2 Binding Component 6; BCL X/BCL 2 Binding Protein; BCL X Binding Protein; Bcl XL/Bcl 2 Associated Death Promoter; Bcl-2-like protein 8; Bcl2 antagonist of cell death; BCL2 antagonist of cell death protein; BCL2 associated agonist of cell death; Bcl2 Associated Death Promoter; BCL2 binding component 6; BCL2 binding protein; Bcl2 Like 8 Protein; Bcl2-L-8; BCL2L8; BclXL; Proapoptotic BH3 Only Protein. |
| 产品应用 | IHC-P=1:100-500, IHC-F=1:100-500, IF=1:100-500 Not yet tested in other applications. |
| 交叉反应 | Human |
| 抗体来源 | Rabbit |
| 免疫原 | KLH conjugated synthesised phosphopeptide derived from human BAD around the phosphorylation site of Ser91 |
| 亚型 | IgG |
| 性状 | Liquid |
| 纯化方法 | affinity purified by Protein A |
| 克隆类型 | Polyclonal |
| 理论分子量 | 18 kDa |
| 浓度 | 1mg/ml |
| 储存液 | 0.01M TBS (pH7.4) with 1% BSA, 0.02% Proclin300 and 50% Glycerol. |
| 研究领域 | Cancer > Cell Death > Apoptosis > Apoptosis Markers > Bcl 2 family Cancer > Cell Death > Apoptosis > Metabolism Cancer > Invasion/microenvironment > Apoptosis > Bcl 2 family Cell Biology > Apoptosis > Intracellular > Bcl2 Family Metabolism > Pathways and Processes > Metabolism processes > Apoptosis |
| 亚基 | Forms heterodimers with the anti-apoptotic proteins, Bcl-X(L), Bcl-2 and Bcl-W. Also binds protein S100A10 (By similarity). The Ser-75/Ser-99 phosphorylated form binds 14-3-3 proteins (By similarity). Interacts with AKT1 and PIM3. |
| 亚细胞定位 | Mitochondrion outer membrane. Cytoplasm. Note=Upon phosphorylation, locates to the cytoplasm. |
| 组织特异性 | Expressed in a wide variety of tissues. |
| 翻译后修饰 | Phosphorylated on one or more of Ser-75, Ser-99, Ser-118 and Ser-134 in response to survival stimuli, which blocks its pro-apoptotic activity. Phosphorylation on Ser-99 or Ser-75 promotes heterodimerization with 14-3-3 proteins. This interaction then facilitates the phosphorylation at Ser-118, a site within the BH3 motif, leading to the release of Bcl-X(L) and the promotion of cell survival. Ser-99 is the major site of AKT/PKB phosphorylation, Ser-118 the major site of protein kinase A (CAPK) phosphorylation. Ser-75 is phosphorylated by AKT/PKB, protein kinase A and PIM2. |
| 相似性 | Belongs to the Bcl-2 family. |
| 功能 | Promotes cell death. Successfully competes for the binding to Bcl-X(L), Bcl-2 and Bcl-W, thereby affecting the level of heterodimerization of these proteins with BAX. Can reverse the death repressor activity of Bcl-X(L), but not that of Bcl-2 (By similarity). Appears to act as a link between growth factor receptor signaling and the apoptotic pathways. |
| 保存条件 | Shipped at 4℃. Store at -20℃ for one year. Avoid repeated freeze/thaw cycles. |
| 注意事项 | This product as supplied is intended for research use only, not for use in human, therapeutic or diagnostic applications. |
| 背景资料 | Bad is a member of the Bcl2 family and acts to promote apoptosis by forming heterodimers with the survival proteins Bcl2 and BclxL, thus preventing them from binding with BAX. Bad is found on the outer mitochondrial membrane and, once phosphorylated in response to growth stimuli, translocates to the cytoplasm. The phosphorylation status of Bad represents a key checkpoint for death or cell survival. JNK-induced phosphorylation of BAD serine 128 promotes the apoptotic role of Bad by opposing the inhibitory effect of growth factor on Bad-mediated apoptosis. Cdc2-induced phosphorylation of Bad serine 128 has an inhibitory effect on its interaction with 14-3-3 proteins. The latter interaction is critical for Bad phosphorylation at serine 155, a site within the BH3 domain that leads to the release of BclxL and the promotion of cell survival. Alternative splicing of this gene results in two transcript variants which encode the same isoform. |
| 应用 | 推荐稀释比例 |
| {IHC-P} | {1:100-500} |
| {IHC-F} | {1:100-500} |
| {IF} | {1:100-500} |



风险提示:丁香通仅作为第三方平台,为商家信息发布提供平台空间。用户咨询产品时请注意保护个人信息及财产安全,合理判断,谨慎选购商品,商家和用户对交易行为负责。对于医疗器械类产品,请先查证核实企业经营资质和医疗器械产品注册证情况。
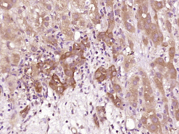
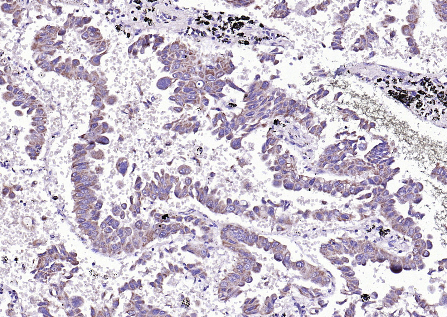
文献和实验:使用 Anti-phospho-Akt (Ser473) Rabbit mAb 对石蜡包埋的人乳腺癌组织进行免疫组织化学分析。(图 A)使用免疫组化试剂盒M&R HRP/DAB Detection IHC Kit,抗体 1:100 稀释;(图 B) 采用普通免疫组化试剂盒,抗体 1:25 稀释。 图 6 免疫组化实验检测 Erk1/2 表达 注:使用 Anti-Erk1/2 Mouse mAb与p44/42 MAPK (Erk1/2)Rabbit mAb 对正常小鼠心脏组织进行免疫
at 10, 25, and 50 μM). At 24 h post-treatment, celllysates were obtained; SDS-PAGE and Western blotting were performed as described in Section 3, Methods. AR-A014418dose-dependent decreases of phospho-β-catenin (Ser33/37) and phospho-glycogen synthase
(Ser473)(193H12)Rabbit mAb,1:300,稀释,二抗是驴抗兔,1:2000,我是实验室的新手,刚呆俩月,受 此挫折,一头雾水,请过来人或者有经验的同学帮忙解答怎样解决,非常感谢! 碧峤 pAkt有两个位点,Ser473和Thr308,其中Ser473相对容易显色。如果显色失败,可能的原因:1 上样量过少,我们一般都是30μg;2 一抗孵育时间过短,我们一般24h~48h;3 一抗是否工作有待排除 米宝
技术资料暂无技术资料 索取技术资料





