相关产品推荐更多 >

ENPP3 Rabbit pAb, BF405 conjugated(bs-1568R-BF405)-100ul
¥2980
TRIP13 Rabbit pAb(bs-11438R)-50ul/100ul/200ul
¥1180
human CD61 Mouse mAb, PE conjugated(bsm-30192M-PE)-50T/25T/100T
¥1180
Beclin 1 Rabbit pAb, PerCP-Cy7 conjugated(bs-1353R-PerCP-Cy7)-100ul
¥2980
GSTP1 Recombinant Rabbit mAb(bsm-60581R)-50ul/100ul/25ul
¥800
万千商家帮你免费找货
0 人在求购买到急需产品
- 详细信息
- 文献和实验
- 技术资料
- 应用范围:
产品信息以Bioss网站为准
- 规格:
50ul/100ul/200ul
| 规格: | 50ul | 产品价格: | ¥1180.0 |
|---|---|---|---|
| 规格: | 100ul | 产品价格: | ¥1980.0 |
| 规格: | 200ul | 产品价格: | ¥2800.0 |
| 产品编号 | bs-12516R |
| 英文名称 | Arginyl tRNA synthetase Rabbit pAb |
| 中文名称 | 精氨酰tRNA合成酶抗体 |
| 英文别名 | ArgRS; There are 2 isoforms produced by alternative initiation.Alternative names2610011N19Rik; 2610037E21Rik; AL033339; Arginine tRNA ligase 1, cytoplasmic; Arginine tRNA ligase; Arginine--tRNA ligase; Arginyl tRNA synthetase 1; Arginyl tRNA synthetase cytoplasmic; Arginyl tRNA synthetase, cytoplasmic; Arginyl-tRNA synthetase, cytoplasmic; ArgRS; AW985894; DALRD 1; DALRD1; EC 6.1.1.19; MGC8641; MGC86730; RARS; SYRC_HUMAN; wu:fa96g09; zgc:56050; zgc:86730. |
| 产品应用 | IHC-P=1:100-500, IHC-F=1:100-500, IF=1:100-500 Not yet tested in other applications. |
| 交叉反应 | Mouse (Human, Rat, Dog, Pig, Cow, Rabbit) |
| 抗体来源 | Rabbit |
| 免疫原 | KLH conjugated synthetic peptide derived from human Arginyl tRNA synthetase |
| 亚型 | IgG |
| 性状 | Liquid |
| 纯化方法 | affinity purified by Protein A |
| 克隆类型 | Polyclonal |
| 理论分子量 | 75 kDa |
| 浓度 | 1mg/ml |
| 储存液 | 0.01M TBS (pH7.4) with 1% BSA, 0.02% Proclin300 and 50% Glycerol. |
| 亚基 | Interacts (via N-terminus) with AIMP1 (via N-terminus); this stimulates its catalytic activity. Interacts (via N-terminus) with LARS2 (via C-terminus). Monomer; also part of a multisubunit complex that groups tRNA ligases for Arg, Asp, Glu, Gln, Ile, Leu, Lys, Met and Pro. |
| 亚细胞定位 | Cytoplasm. |
| 相似性 | Belongs to the class-I aminoacyl-tRNA synthetase family. |
| 功能 | Forms part of a macromolecular complex that catalyzes the attachment of specific amino acids to cognate tRNAs during protein synthesis. Modulates the secretion of AIMP1 and may be involved in generation of the inflammatory cytokine EMAP2 from AIMP1. |
| 保存条件 | Shipped at 4℃. Store at -20℃ for one year. Avoid repeated freeze/thaw cycles. |
| 注意事项 | This product as supplied is intended for research use only, not for use in human, therapeutic or diagnostic applications. |
| 背景资料 | Aminoacyl-tRNA synthetases catalyze the aminoacylation of tRNA by their cognate amino acid. Because of their central role in linking amino acids with nucleotide triplets contained in tRNAs, aminoacyl-tRNA synthetases are thought to be among the first proteins that appeared in evolution. Arginyl-tRNA synthetase belongs to the class-I aminoacyl-tRNA synthetase family. [provided by RefSeq, Jul 2008] |
| 应用 | 推荐稀释比例 |
| {IHC-P} | {1:100-500} |
| {IHC-F} | {1:100-500} |
| {IF} | {1:100-500} |

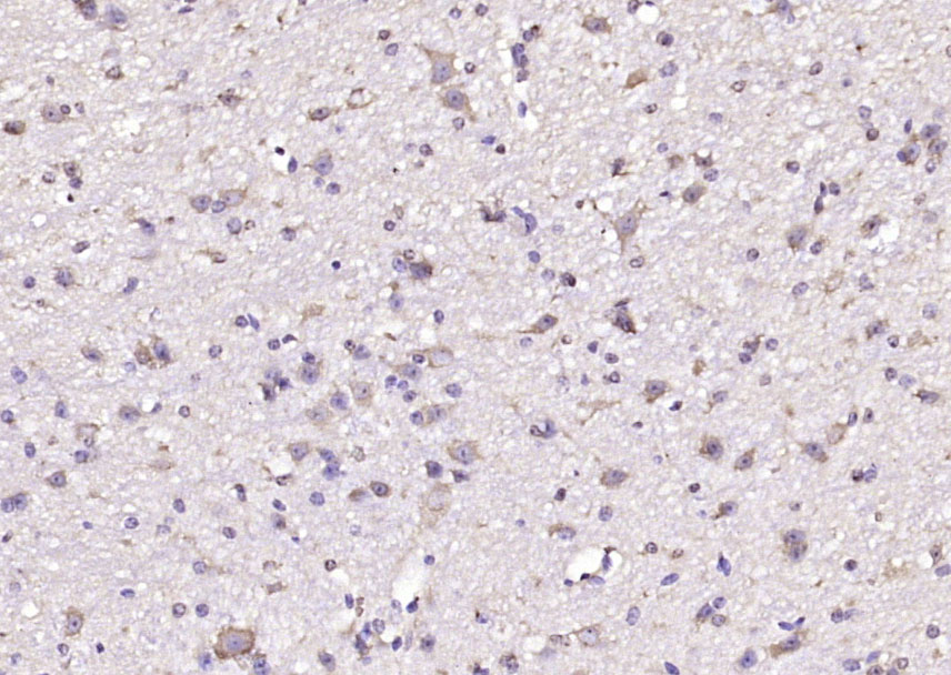
Paraformaldehyde-fixed, paraffin embedded (mouse cerebellum); Antigen retrieval by boiling in sodium citrate buffer (pH6.0) for 15min; Block endogenous peroxidase by 3% hydrogen peroxide for 20 minutes; Blocking buffer (normal goat serum) at 37°C for 30min; Antibody incubation with (Arginyl tRNA synthetase) Polyclonal Antibody, Unconjugated (bs-12516R) at 1:200 overnight at 4°C, followed by operating according to SP Kit(Rabbit) (sp-0023) instructionsand DAB staining.
风险提示:丁香通仅作为第三方平台,为商家信息发布提供平台空间。用户咨询产品时请注意保护个人信息及财产安全,合理判断,谨慎选购商品,商家和用户对交易行为负责。对于医疗器械类产品,请先查证核实企业经营资质和医疗器械产品注册证情况。
文献和实验相关实验
and biological data about genes involved in various cancers l Protein Databases 208. AARSDB http://rose.man.poznan.pl/aars/index.html Aminoacyl-tRNA synthetase sequences 209. ABCdb http://ir2lcb.cnrs-mrs.fr/ABCdb/ ABC transporters 210. AraC/XylS
技术资料暂无技术资料 索取技术资料
Arginyl tRNA synthetase Rabbit pAb(bs-12516R)-50ul/100ul/200ul
¥1180 - 2800






