相关产品推荐更多 >

Perforin Rabbit pAb, HRP conjugated(bs-7128R-HRP)-100ul
¥2980
phospho-SGK1 (Thr256) Rabbit pAb(bs-3397R)-50ul/100ul/200ul
¥1180
NUCB2 Rabbit pAb(bs-10068R)-50ul/100ul/200ul
¥1180
Mono-Methyl-Histone H4 (Lys20) Rabbit pAb(bs-60123R)-50ul/100ul
¥1580
C3orf38 Rabbit pAb, Biotin conjugated(bs-15177R-Bio)-100ul
¥2980
万千商家帮你免费找货
0 人在求购买到急需产品
- 详细信息
- 文献和实验
- 技术资料
- 应用范围:
产品信息以Bioss网站为准
- 规格:
50ul/100ul/200ul
| 规格: | 50ul | 产品价格: | ¥1180.0 |
|---|---|---|---|
| 规格: | 100ul | 产品价格: | ¥1980.0 |
| 规格: | 200ul | 产品价格: | ¥2800.0 |
| 产品编号 | bs-12352R |
| 英文名称 | GSC Rabbit pAb |
| 中文名称 | 同源盒蛋白GSC抗体 |
| 英文别名 | Goosecoid; goosecoid homeobox; GSC; GSC2; GSC_HUMAN; homeobox protein goosecoid-like; homeobox protein goosecoid-2; Homeobox protein goosecoid; GSC 2; GSCL; Homeobox protein goosecoid 2; Homeobox protein goosecoid like. |
| 产品应用 | IHC-P=1:100-500, IHC-F=1:100-500, IF=1:100-500 Not yet tested in other applications. |
| 交叉反应 | Rat (Human, Mouse, Chicken, Dog, Pig, Cow, Rabbit, Zebrafish, Sheep) |
| 抗体来源 | Rabbit |
| 免疫原 | KLH conjugated synthetic peptide derived from Human GSC |
| 亚型 | IgG |
| 性状 | Liquid |
| 纯化方法 | affinity purified by Protein A |
| 克隆类型 | Polyclonal |
| 理论分子量 | 28 kDa |
| 浓度 | 1mg/ml |
| 储存液 | 0.01M TBS (pH7.4) with 1% BSA, 0.02% Proclin300 and 50% Glycerol. |
| 研究领域 | Epigenetics and Nuclear Signaling > Transcription > Domain Families > Developmental Families |
| 亚细胞定位 | Nucleus. |
| 相似性 | Belongs to the paired homeobox family. Bicoid subfamily. Contains 1 homeobox DNA-binding domain. |
| 功能 | Regulates chordin (CHRD). May play a role in spatial programing within discrete embryonic fields or lineage compartments during organogenesis. In concert with NKX3-2, plays a role in defining the structural components of the middle ear; required for the development of the entire tympanic ring. |
| 保存条件 | Shipped at 4℃. Store at -20℃ for one year. Avoid repeated freeze/thaw cycles. |
| 注意事项 | This product as supplied is intended for research use only, not for use in human, therapeutic or diagnostic applications. |
| 背景资料 | Goosecoid is a homeodomain transcription factor with DNA binding specificity identical to that of the anterior morphogen 'bicoid' in Drosophila.During mouse embryogenesis, GSC influences development of the lower mandible and its associated musculature, including the tongue, the nasal cavity, and the nasal pits, as well as components of the inner ear and the external auditory meatus. The GSC gene encodes a member of the bicoid subfamily of the paired (PRD) homeobox family of proteins. |
| 应用 | 推荐稀释比例 |
| {IHC-P} | {1:100-500} |
| {IHC-F} | {1:100-500} |
| {IF} | {1:100-500} |

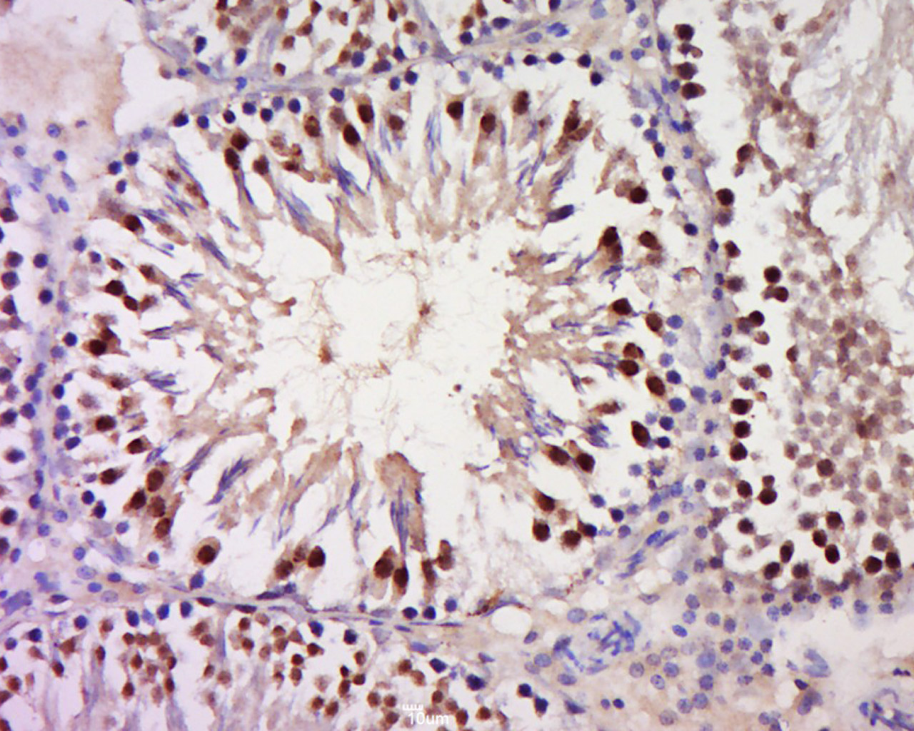
Antigen retrieval: citrate buffer ( 0.01M, pH 6.0 ), Boiling bathing for 15min; Block endogenous peroxidase by 3% Hydrogen peroxide for 30min; Blocking buffer (normal goat serum,C-0005) at 37℃ for 20 min;
Incubation: Anti-GSC Polyclonal Antibody, Unconjugated(bs-12352R) 1:500, overnight at 4°C, followed by conjugation to the secondary antibody(SP-0023) and DAB(C-0010) staining

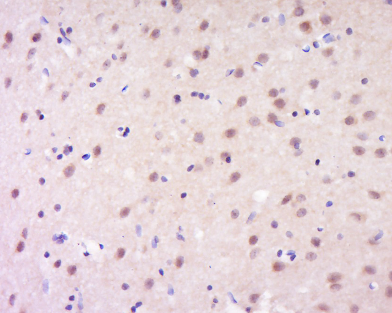
Antigen retrieval: citrate buffer ( 0.01M, pH 6.0 ), Boiling bathing for 15min; Block endogenous peroxidase by 3% Hydrogen peroxide for 30min; Blocking buffer (normal goat serum,C-0005) at 37℃ for 20 min;
Incubation: Anti-GSC Polyclonal Antibody, Unconjugated(bs-12352R) 1:500, overnight at 4°C, followed by conjugation to the secondary antibody(SP-0023) and DAB(C-0010) staining
风险提示:丁香通仅作为第三方平台,为商家信息发布提供平台空间。用户咨询产品时请注意保护个人信息及财产安全,合理判断,谨慎选购商品,商家和用户对交易行为负责。对于医疗器械类产品,请先查证核实企业经营资质和医疗器械产品注册证情况。
文献和实验= NAL), appears to form upon oxidative cyclization of the nonfluorescent 2:1 lysine-HNE Michael adduct-Schiff base cross-link (Scheme 1). Polyclonal antibody (PAb) to the NAL-HNE fluorophore was raised in rabbit and found to be highly specific
GE Healthcare Benzamidine Sepharose™ 6B is p-aminobenzamidine covalently attached to Sepharose 6B by the epoxy coupling method. p-Aminobenzamidine (PAB), is a synthetic inhibitor of trypsin-like serine protease. Trypsin and trypsin
Nucleic Acid Programmable Protein Arrays: Versatile Tools for Array‐Based Functional Protein Studies
.g., Sigma) 50 mg/ml bis‐sulfosuccinimdylsuberate (BS3 ;Pierce, cat. no. PI 21580) in dimethylsulfoxide (DMSO) 5 mg/ml
技术资料暂无技术资料 索取技术资料






