Sample:
Cerebrum (Mouse) Lysate at 40 ug
Primary: Anti-Presenilin 1 + 2 (bs-11681R) at 1/300 dilution
Secondary: IRDye800CW Goat Anti-Rabbit IgG at 1/20000 dilution
Predicted band size: 19/52 kD
Observed band size: 50/52 kD
相关产品推荐更多 >

FLJ45825 Rabbit pAb(bs-16144R)-50ul/100ul/200ul
¥1180
Anti-CD19 & CD3 Reference Antibody (Blinatumomab Biosimilar)(BIO1020SM)-100ug/1mg/5mg
¥6160
SIK1 Rabbit pAb, PE-Cy5 conjugated(bs-6252R-PE-Cy5)-100ul
¥2980
Glutathione Transferase zeta 1 Rabbit pAb, HRP conjugated(bs-13442R-HRP)-100ul
¥2980
C21orf25 Rabbit pAb, Biotin conjugated(bs-9988R-Bio)-100ul
¥2980
万千商家帮你免费找货
0 人在求购买到急需产品
- 详细信息
- 技术资料
- 应用范围:
产品信息以Bioss网站为准
- 规格:
50ul/100ul/200ul
| 规格: | 50ul | 产品价格: | ¥1180.0 |
|---|---|---|---|
| 规格: | 100ul | 产品价格: | ¥1980.0 |
| 规格: | 200ul | 产品价格: | ¥2800.0 |
| 产品编号 | bs-11681R |
| 英文名称 | Presenilin 1 + 2 Rabbit pAb |
| 中文名称 | 早老素蛋白1+2抗体 |
| 英文别名 | AD 3; AD4; AD5; Alzheimer disease 3; Alzheimer disease 4; FAD; Presenilin 1; Presenilin 2; Presenilin-1; Presenilin-2; Presenilin1; Presenilin1; PS1; PS2; PS-1; PS-2; PSEN1; PSEN2; STM2; PSN1_HUMAN; PSN2_HUMAN. |
| 产品应用 | WB=1:500-2000, IHC-P=1:100-500, IHC-F=1:100-500, IF=1:100-500 Not yet tested in other applications. |
| 交叉反应 | Mouse, Rat (Human, Chicken) |
| 抗体来源 | Rabbit |
| 免疫原 | KLH conjugated synthetic peptide derived from human Presenilin-1 NTF subunit |
| 亚型 | IgG |
| 性状 | Liquid |
| 纯化方法 | affinity purified by Protein A |
| 克隆类型 | Polyclonal |
| 理论分子量 | 19/52 kDa |
| 浓度 | 1mg/ml |
| 储存液 | 0.01M TBS (pH7.4) with 1% BSA, 0.02% Proclin300 and 50% Glycerol. |
| 研究领域 | Cancer > Cell Death > Autophagy > Signal Transduction Cancer > Signal transduction > Autophagy Metabolism > Pathways and Processes > Metabolism processes > Autophagy and mitophagy Neuroscience > Neurology process > Neurodegenerative disease > Alzheimer's disease > Proteases Neuroscience > Neurology process > Notch Pathway |
| 亚基 | Homodimer. Component of the gamma-secretase complex, a complex composed of a presenilin homodimer (PSEN1 or PSEN2), nicastrin (NCSTN), APH1 (APH1A or APH1B) and PEN2. Such minimal complex is sufficient for secretase activity. Other components which are associated with the complex include SLC25A64, SLC5A7, PHB and PSEN1 isoform 3. Predominantly heterodimer of a N-terminal (NTF) and a C-terminal (CTF) endoproteolytical fragment. Associates with proteolytic processed C-terminal fragments C83 and C99 of the amyloid precursor protein (APP). Associates with NOTCH1. Associates with cadherin/catenin adhesion complexes through direct binding to CDH1 or CDH2. Interaction with CDH1 stabilizes the complex and stimulates cell-cell aggregation. Interaction with CDH2 is essential for trafficking of CDH2 from the endoplasmic reticulum to the plasma membrane. Interacts with CTNND2, CTNNB1, HERPUD1, FLNA, FLNB, MTCH1, PKP4 and PARL. Interacts through its N-terminus with isoform 3 of GFAP. Interacts with DOCK3. |
| 亚细胞定位 | Endoplasmic reticulum membrane; Multi-pass membrane protein. Golgi apparatus membrane; Multi-pass membrane protein. Cell surface. Note=Bound to NOTCH1 also at the cell surface. Colocalizes with CDH1/2 at sites of cell-cell contact. Colocalizes with CTNNB1 in the endoplasmic reticulum and the proximity of the plasma membrane. Also present in azurophil granules of neutrophils. |
| 组织特异性 | Expressed in a wide range of tissues including various regions of the brain, liver, spleen and lymph nodes. |
| 翻译后修饰 | After endoproteolysis, the C-terminal fragment (CTF) is phosphorylated on serine residues by PKA and/or PKC. Phosphorylation on Ser-346 inhibits endoproteolysis. |
| 相似性 | Belongs to the peptidase A22A family. |
| 功能 | Probable catalytic subunit of the gamma-secretase complex, an endoprotease complex that catalyzes the intramembrane cleavage of integral membrane proteins such as Notch receptors and APP (beta-amyloid precursor protein). Requires the other members of the gamma-secretase complex to have a protease activity. May play a role in intracellular signaling and gene expression or in linking chromatin to the nuclear membrane. Stimulates cell-cell adhesion though its association with the E-cadherin/catenin complex. Under conditions of apoptosis or calcium influx, cleaves E-cadherin promoting the disassembly of the E-cadherin/catenin complex and increasing the pool of cytoplasmic beta-catenin, thus negatively regulating Wnt signaling. May also play a role in hematopoiesis. |
| 保存条件 | Shipped at 4℃. Store at -20℃ for one year. Avoid repeated freeze/thaw cycles. |
| 注意事项 | This product as supplied is intended for research use only, not for use in human, therapeutic or diagnostic applications. |
| 背景资料 | Alzheimer's disease (AD) patients with an inherited form of the disease carry mutations in the presenilin proteins (PSEN1; PSEN2) or in the amyloid precursor protein (APP). These disease-linked mutations result in increased production of the longer form of amyloid-beta (main component of amyloid deposits found in AD brains). Presenilins are postulated to regulate APP processing through their effects on gamma-secretase, an enzyme that cleaves APP. Also, it is thought that the presenilins are involved in the cleavage of the Notch receptor, such that they either directly regulate gamma-secretase activity or themselves are protease enzymes. Several alternatively spliced transcript variants encoding different isoforms have been identified for this gene, the full-length nature of only some have been determined. [provided by RefSeq, Aug 2008] |
| 应用 | 推荐稀释比例 |
| {WB} | {1:500-2000} |
| {IHC-P} | {1:100-500} |
| {IHC-F} | {1:100-500} |
| {IF} | {1:100-500} |


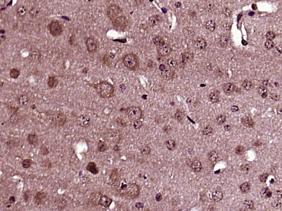
Paraformaldehyde-fixed, paraffin embedded (Mouse brain); Antigen retrieval by boiling in sodium citrate buffer (pH6.0) for 15min; Block endogenous peroxidase by 3% hydrogen peroxide for 20 minutes; Blocking buffer (normal goat serum) at 37°C for 30min; Antibody incubation with (Presenilin 1+2) Polyclonal Antibody, Unconjugated (bs-11681R) at 1:400 overnight at 4°C, followed by operating according to SP Kit(Rabbit) (sp-0023) instructionsand DAB staining.

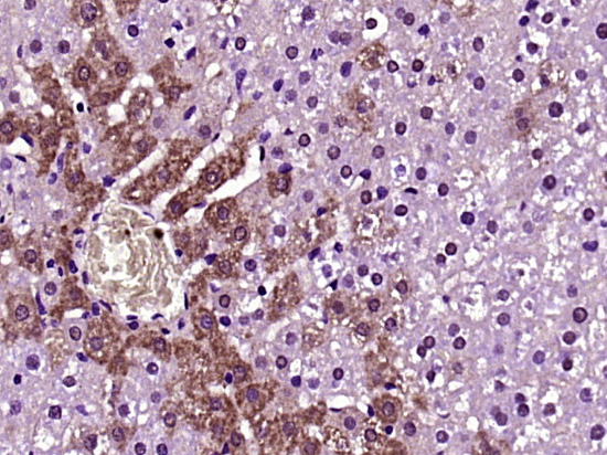
Paraformaldehyde-fixed, paraffin embedded (Rat liver); Antigen retrieval by boiling in sodium citrate buffer (pH6.0) for 15min; Block endogenous peroxidase by 3% hydrogen peroxide for 20 minutes; Blocking buffer (normal goat serum) at 37°C for 30min; Antibody incubation with (Presenilin 1+2) Polyclonal Antibody, Unconjugated (bs-11681R) at 1:400 overnight at 4°C, followed by operating according to SP Kit(Rabbit) (sp-0023) instructionsand DAB staining.
风险提示:丁香通仅作为第三方平台,为商家信息发布提供平台空间。用户咨询产品时请注意保护个人信息及财产安全,合理判断,谨慎选购商品,商家和用户对交易行为负责。对于医疗器械类产品,请先查证核实企业经营资质和医疗器械产品注册证情况。
技术资料暂无技术资料 索取技术资料
Presenilin 1 + 2 Rabbit pAb(bs-11681R)-50ul/100ul/200ul
¥1180 - 2800





