相关产品推荐更多 >
万千商家帮你免费找货
0 人在求购买到急需产品
- 详细信息
- 文献和实验
- 技术资料
- 应用范围:
产品信息以Bioss网站为准
- 规格:
50ul/100ul/200ul
| 规格: | 50ul | 产品价格: | ¥1180.0 |
|---|---|---|---|
| 规格: | 100ul | 产品价格: | ¥1980.0 |
| 规格: | 200ul | 产品价格: | ¥2800.0 |
| 产品编号 | bs-6475R |
| 英文名称 | SGK3 Rabbit pAb |
| 中文名称 | 丝氨酸/苏氨酸蛋白激酶Sgk3抗体 |
| 英文别名 | CISK; Cytokine independent survival kinase; Serine/threonine protein kinase Sgk3; Serine/threonine-protein kinase Sgk3; Serum/glucocorticoid regulated kinase 3; Serum/glucocorticoid regulated kinase family member 3; Serum/glucocorticoid regulated kinase like; Serum/glucocorticoid-regulated kinase 3; Serum/glucocorticoid-regulated kinase-like; SGK 2; SGK 3; SGK2; Sgk3; SGK3_HUMAN; SGKL. |
| 产品应用 | WB=1:500-2000 Not yet tested in other applications. |
| 交叉反应 | Human, Mouse, Rat |
| 抗体来源 | Rabbit |
| 免疫原 | KLH conjugated synthetic peptide derived from human SGK3 |
| 亚型 | IgG |
| 性状 | Liquid |
| 纯化方法 | affinity purified by Protein A |
| 克隆类型 | Polyclonal |
| 理论分子量 | 57 kDa |
| 浓度 | 1mg/ml |
| 储存液 | 0.01M TBS (pH7.4) with 1% BSA, 0.02% Proclin300 and 50% Glycerol. |
| 研究领域 | Metabolism > Pathways and Processes > Metabolic signaling pathways > Amino acid metabolism Signal Transduction > Metabolism > Amino Acids Signal Transduction > Protein Phosphorylation > Ser / Thr Kinases > Other Kinases Signal Transduction > Protein Phosphorylation > Tyrosine Kinases |
| 亚基 | Interacts with GSK3B and FLII. Interacts with PDPK1 in a phosphorylation-dependent manner. |
| 亚细胞定位 | Cytoplasmic vesicle. Early endosome. Localized in vesicle-like structures and in the early endosome. |
| 组织特异性 | Expressed in most tissues with highest levels in pancreas, kidney liver, heart and brain and lower levels in lung, placenta and skeletal muscle. |
| 翻译后修饰 | Activated by phosphorylation on Ser-486 by an unknown kinase (may be mTORC2 but not confirmed), transforming it into a substrate for PDPK1 which then phosphorylates it on Thr-320. |
| 相似性 | Belongs to the protein kinase superfamily. AGC Ser/Thr protein kinase family. Contains 1 AGC-kinase C-terminal domain. Contains 1 protein kinase domain. Contains 1 PX (phox homology) domain. |
| 功能 | Serine/threonine-protein kinase which is involved in the regulation of a wide variety of ion channels, membrane transporters, cell growth, proliferation, survival and migration. Up-regulates Na(+) channels: SCNN1A/ENAC and SCN5A, K(+) channels: KCNA3/KV1.3, KCNE1, KCNQ1 and KCNH2/HERG, epithelial Ca(2+) channels: TRPV5 and TRPV6, chloride channel: BSND, creatine transporter: SLC6A8, Na(+)/dicarboxylate cotransporter: SLC13A2/NADC1, Na(+)-dependent phosphate cotransporter: SLC34A2/NAPI-2B, amino acid transporters: SLC1A5/ASCT2 and SLC6A19, glutamate transporters: SLC1A3/EAAT1, SLC1A6/EAAT4 and SLC1A7/EAAT5, glutamate receptors: GRIA1/GLUR1 and GRIK2/GLUR6, Na(+)/H(+) exchanger: SLC9A3/NHE3, and the Na(+)/K(+) ATPase. Plays a role in the regulation of renal tubular phosphate transport and bone density. Phosphorylates NEDD4L and GSK3B. Positively regulates ER transcription activity through phosphorylation of FLII. Negatively regulates the function of ITCH/AIP4 via its phosphorylation and thereby prevents CXCR4 from being efficiently sorted to lysosomes. |
| 保存条件 | Shipped at 4℃. Store at -20℃ for one year. Avoid repeated freeze/thaw cycles. |
| 注意事项 | This product as supplied is intended for research use only, not for use in human, therapeutic or diagnostic applications. |
| 背景资料 | Serine/threonine-protein kinase Sgk3 (SGK3), also designated serum/glucocorticoid regulated kinase 3, belongs to the Ser/Thr protein kinase family of proteins. The serum- and glucocorticoid-regulated kinase proteins are closely related to the Akt protein family. SGK1, a homolog of SGK3, activates ion channels, in particular potassium (K+) channels. SGK2 and SGK3 have been found to also be involved in this activation process, making all three of these proteins important regulators for cell proliferation, epithelial transport and neuromuscular excitability. SGK3 acts as a mediator of IL-3 dependent survival signals in the cell. It localizes to the early endosome and in vesicle-like structures. SGK3 is a widely expressed protein, but it is primarily detected in kidney, liver, pancreas, brain and heart. Phosphorylation of SGK3 at residue Ser 486 leads to an increase in SGK3 activation. |
| 应用 | 推荐稀释比例 |
| {WB} | {1:500-2000} |

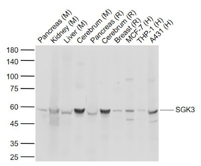
Liver (Mouse) Lysate at 40 ug
Primary: Anti- SGK3 (bs-6475R) at 1/1000 dilution
Secondary: IRDye800CW Goat Anti-Rabbit IgG at 1/20000 dilution
Predicted band size: 57 kD
Observed band size: 57 kD

Lane 1: Mouse Pancreas tissue lysates
Lane 2: Mouse Kidney tissue lysates
Lane 3: Mouse Liver tissue lysates
Lane 4: Mouse Cerebrum tissue lysates
Lane 5: Rat Pancreas tissue lysates
Lane 6: Rat Cerebrum tissue lysates
Lane 7: Rat Breast tissue lysates
Lane 8: Human MCF-7 cell lysates
Lane 9: Human THP-1 cell lysates
Lane 10: Human A431 cell lysates
Primary: Anti-SGK3 (bs-6475R) at 1/1000 dilution
Secondary: IRDye800CW Goat Anti-Rabbit IgG at 1/20000 dilution
Predicted band size: 57 kD
Observed band size: 57 kD
风险提示:丁香通仅作为第三方平台,为商家信息发布提供平台空间。用户咨询产品时请注意保护个人信息及财产安全,合理判断,谨慎选购商品,商家和用户对交易行为负责。对于医疗器械类产品,请先查证核实企业经营资质和医疗器械产品注册证情况。
文献和实验[IF={{ 5.5 }}] {Zhang et al. Epidermal Growth Factor Promotes Proliferation and Migration of Follicular Outer Root Sheath Cells via Wnt/β-Catenin Signaling. (2016) Cell.Physiol.Biochem. 39:360-70} {IHC} {Human}
[IF={{ 4.858 }}] {Qianyu Huo. et al. Free CA125 promotes ovarian cancer cell migration and tumor metastasis by binding Mesothelin to reduce DKK1 expression and activate the SGK3/FOXO3 pathway. Int J Biol Sci. 2021; 17(2): 574–588} {WB} {Mouse}
[IF={{ 4.65 }}] {Zhang, H., et al. "Epidermal Growth Factor Promotes Proliferation and Migration of Follicular Outer Root Sheath Cells via Wnt/β-Catenin Signaling."Cellular Physiology and Biochemistry 39.1 (2016): 360-370.} {WB} {="Human"}
[IF={{ 3.699 }}] { Zijian Ye . et al. MiR-92b-3p inhibits proliferation and migration of C2C12 cells. Cell Cycle. 2020;19(21):2906-2917} {WB} {Mouse}
[IF={{ 3.251 }}] {Yanping Jian. et al. Upregulation of Spinal miR-155-5p Contributes to Mechanical Hyperalgesia by Promoting Inflammatory Activation of Microglia in Bone Cancer Pain Rats. LIFE-BASEL. 2022 Sep;12(9):1349} {IF} {Rat}
= NAL), appears to form upon oxidative cyclization of the nonfluorescent 2:1 lysine-HNE Michael adduct-Schiff base cross-link (Scheme 1). Polyclonal antibody (PAb) to the NAL-HNE fluorophore was raised in rabbit and found to be highly specific
GE Healthcare Benzamidine Sepharose™ 6B is p-aminobenzamidine covalently attached to Sepharose 6B by the epoxy coupling method. p-Aminobenzamidine (PAB), is a synthetic inhibitor of trypsin-like serine protease. Trypsin and trypsin
Nucleic Acid Programmable Protein Arrays: Versatile Tools for Array‐Based Functional Protein Studies
.g., Sigma) 50 mg/ml bis‐sulfosuccinimdylsuberate (BS3 ;Pierce, cat. no. PI 21580) in dimethylsulfoxide (DMSO) 5 mg/ml
技术资料暂无技术资料 索取技术资料









