相关产品推荐更多 >

PALB2 Rabbit pAb, APC conjugated(bs-0588R-APC)-100ul
¥2980
phospho-HSP70 (Tyr611) Rabbit pAb, BF647 conjugated(bs-10448R-BF647)-100ul
¥2980
FEZ1 Rabbit pAb(bs-9721R)-50ul/100ul/200ul
¥1180
MRGPRA Rabbit pAb, Biotin conjugated(bs-17756R-Bio)-100ul
¥2980
NADPH oxidase 4 Rabbit pAb(bs-1091R)-50ul/100ul/200ul
¥1180
万千商家帮你免费找货
0 人在求购买到急需产品
- 详细信息
- 文献和实验
- 技术资料
- 应用范围:
产品信息以Bioss网站为准
- 规格:
50ul/100ul/200ul
| 规格: | 50ul | 产品价格: | ¥1180.0 |
|---|---|---|---|
| 规格: | 100ul | 产品价格: | ¥1980.0 |
| 规格: | 200ul | 产品价格: | ¥2800.0 |
| 产品编号 | bs-9095R |
| 英文名称 | AGXT2L2 Rabbit pAb |
| 中文名称 | AGXT2L2蛋白抗体 |
| 英文别名 | Alanine glyoxylate aminotransferase 2 like 2; MGC117348; AT2L2_HUMAN. |
| 产品应用 | WB=1:500-2000, IHC-P=1:100-500, IHC-F=1:100-500, IF=1:100-500 Not yet tested in other applications. |
| 交叉反应 | Mouse, Rat (Human, Sheep) |
| 抗体来源 | Rabbit |
| 免疫原 | KLH conjugated synthetic peptide derived from human AGXT2L2 |
| 亚型 | IgG |
| 性状 | Liquid |
| 纯化方法 | affinity purified by Protein A |
| 克隆类型 | Polyclonal |
| 理论分子量 | 50 kDa |
| 浓度 | 1mg/ml |
| 储存液 | 0.01M TBS (pH7.4) with 1% BSA, 0.02% Proclin300 and 50% Glycerol. |
| 亚基 | Homotetramer. |
| 亚细胞定位 | Mitochondrial |
| 相似性 | Belongs to the class-III pyridoxal-phosphate-dependent aminotransferase family. |
| 功能 | Catalyzes the pyridoxal-phosphate-dependent breakdown of 5-phosphohydroxy-L-lysine, converting it to ammonia, inorganic phosphate and 2-aminoadipate semialdehyde. |
| 保存条件 | Shipped at 4℃. Store at -20℃ for one year. Avoid repeated freeze/thaw cycles. |
| 注意事项 | This product as supplied is intended for research use only, not for use in human, therapeutic or diagnostic applications. |
| 背景资料 | Members of the class-III pyridoxal-phosphate-dependent aminotransferase family, such as AGXT2, catalyze the conversion of glyoxylate to glycine using L-alanine as the amino donor. AGXT2 protects from asymmetric dimethylarginine (ADMA)-induced inhibition in nitric oxide (NO) production. Elevated blood concentrations of ADMA, a methyl derivate of the amino acid arginine and an endogenous inhibitor of nitric oxide (NO) synthase, is produced by the physiological degradation of methylated proteins and is found in association with diabetes, hypertension, congestive heart failure and atherosclerosis. AGXT2L2 (alanine-glyoxylate aminotransferase 2-like 2) is a 450 amino acid pyridoxal phosphate that exists as a homotetramer. Belonging to the class-III pyridoxal-phosphate-dependent aminotransferase family, AGXT2L2 localizes to the mitochondria and exists as three alternatively spliced isoforms. Encoded by a gene located on human chromosome 5q35.3, AGXT2L2 may have similar functions as AGXT2. |
| 应用 | 推荐稀释比例 |
| {WB} | {1:500-2000} |
| {IHC-P} | {1:100-500} |
| {IHC-F} | {1:100-500} |
| {IF} | {1:100-500} |

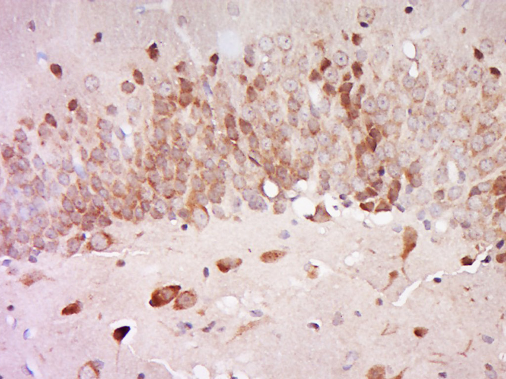
Antigen retrieval: citrate buffer ( 0.01M, pH 6.0 ), Boiling bathing for 15min; Block endogenous peroxidase by 3% Hydrogen peroxide for 30min; Blocking buffer (normal goat serum,C-0005) at 37∩ for 20 min;
Incubation: Anti-AGXT2L2 Polyclonal Antibody, Unconjugated(bs-9095R) 1:500, overnight at 4∑C, followed by conjugation to the secondary antibody(SP-0023) and DAB(C-0010) staining

Primary: Anti-AGXT2L2 (bs-9095R) at 1/300 dilution
Secondary: IRDye800CW Goat Anti-Rabbit IgG at 1/20000 dilution
Predicted band size: 50 kD
Observed band size: 48 kD

Primary: Anti- AGXT2L2 (bs-9095R)at 1/300 dilution
Secondary: IRDye800CW Goat Anti-Rabbit IgG at 1/20000 dilution
Predicted band size: 50kD
Observed band size: 50 kD
风险提示:丁香通仅作为第三方平台,为商家信息发布提供平台空间。用户咨询产品时请注意保护个人信息及财产安全,合理判断,谨慎选购商品,商家和用户对交易行为负责。对于医疗器械类产品,请先查证核实企业经营资质和医疗器械产品注册证情况。
文献和实验= NAL), appears to form upon oxidative cyclization of the nonfluorescent 2:1 lysine-HNE Michael adduct-Schiff base cross-link (Scheme 1). Polyclonal antibody (PAb) to the NAL-HNE fluorophore was raised in rabbit and found to be highly specific
GE Healthcare Benzamidine Sepharose™ 6B is p-aminobenzamidine covalently attached to Sepharose 6B by the epoxy coupling method. p-Aminobenzamidine (PAB), is a synthetic inhibitor of trypsin-like serine protease. Trypsin and trypsin
GE Healthcare Benzamidine Sepharose™ 6B is p-aminobenzamidine covalently attached to Sepharose 6B by the epoxy coupling method. p-Aminobenzamidine (PAB), is a synthetic inhibitor of trypsin-like serine protease. Trypsin and trypsin
技术资料暂无技术资料 索取技术资料





