相关产品推荐更多 >

phospho-TrkA (Tyr496) +TrkB(Tyr516) Rabbit pAb, BF647 conjugated(bs-3456R-BF647)-100ul
¥2980
ZCCHC18 Rabbit pAb(bs-18549R)-50ul/100ul/200ul
¥1180
CLDN1 Rabbit pAb, PE conjugated(bs-1428R-PE)-100ul
¥2980
DPP4/CD26 Rabbit pAb, Cy7 conjugated(bs-2570R-Cy7)-100ul
¥2980
RBC(G2H4) Mouse mAb(bsm-2025M)-50ul/100ul/200ul/200ug
¥1180
万千商家帮你免费找货
0 人在求购买到急需产品
- 详细信息
- 文献和实验
- 技术资料
- 应用范围:
产品信息以Bioss网站为准
- 规格:
50ul/100ul/200ul
| 规格: | 50ul | 产品价格: | ¥1180.0 |
|---|---|---|---|
| 规格: | 100ul | 产品价格: | ¥1980.0 |
| 规格: | 200ul | 产品价格: | ¥2800.0 |
| 产品编号 | bs-6459R |
| 英文名称 | hnRNP C1/C2 Rabbit pAb |
| 中文名称 | 异质性核糖核蛋白C1/C2抗体 |
| 英文别名 | hnRNP C1+C2; Heterogeneous nuclear ribonucleoprotein C; Heterogeneous nuclear ribonucleoproteins C1/C2; HNRNP; hnRNP C1/hnRNP C2; hnRNPC; HNRPC; HNRPC_HUMAN; Nuclear ribonucleoprotein particle C1 protein; Nuclear ribonucleoprotein particle C2 protein; SNRPC. |
| 产品应用 | IHC-P=1:100-500, IHC-F=1:100-500, IF=1:50-200 Not yet tested in other applications. |
| 交叉反应 | Rat (Human, Mouse, Dog, Pig, Horse, Rabbit) |
| 抗体来源 | Rabbit |
| 免疫原 | KLH conjugated synthetic peptide derived from human HNRPC |
| 亚型 | IgG |
| 性状 | Liquid |
| 纯化方法 | affinity purified by Protein A |
| 克隆类型 | Polyclonal |
| 理论分子量 | 34 kDa |
| 浓度 | 1mg/ml |
| 储存液 | 0.01M TBS (pH7.4) with 1% BSA, 0.02% Proclin300 and 50% Glycerol. |
| 研究领域 | Epigenetics and Nuclear Signaling > DNA / RNA > RNA Processing |
| 亚基 | Tetramer composed of 3 copies of isoform C1 and 1 copy of isoform C2. Assembly of 3 tetramers with bound pre-mRNA gives rise to a 19S complex that interacts with HNRNPA2B1 tetramers. Component of the 40S hnRNP particle. Identified in the spliceosome C complex. Interacts with IGF2BP1. |
| 亚细胞定位 | Nucleus. Component of ribonucleosomes. |
| 翻译后修饰 | Phosphorylated on Ser-260 and Ser-299 in resting cells. Phosphorylated on Ser-253 and on 1 serine residue in the poly-Ser stretch at position 238 in response to hydrogen peroxide. Sumoylated. Sumoylation reduces affinity for mRNA. |
| 相似性 | Belongs to the RRM HNRPC family. RALY subfamily.
Contains 1 RRM (RNA recognition motif) domain. |
| 功能 | UniProtKB/Swiss-Prot: P07910.4 |
| 保存条件 | Shipped at 4℃. Store at -20℃ for one year. Avoid repeated freeze/thaw cycles. |
| 注意事项 | This product as supplied is intended for research use only, not for use in human, therapeutic or diagnostic applications. |
| 背景资料 | Binds pre-mRNA and nucleates the assembly of 40S hnRNP particles. Single HNRNPC tetramers bind 230-240 nucleotides. Trimers of HNRNPC tetramers bind 700 nucleotides. May play a role in the early steps of spliceosome assembly and pre-mRNA splicing. Interacts with poly-U tracts in the 3'-UTR or 5'-UTR of mRNA and modulates the stability and the level of translation of bound mRNA molecules. |
| 应用 | 推荐稀释比例 |
| {IHC-P} | {1:100-500} |
| {IHC-F} | {1:100-500} |
| {IF} | {1:50-200} |

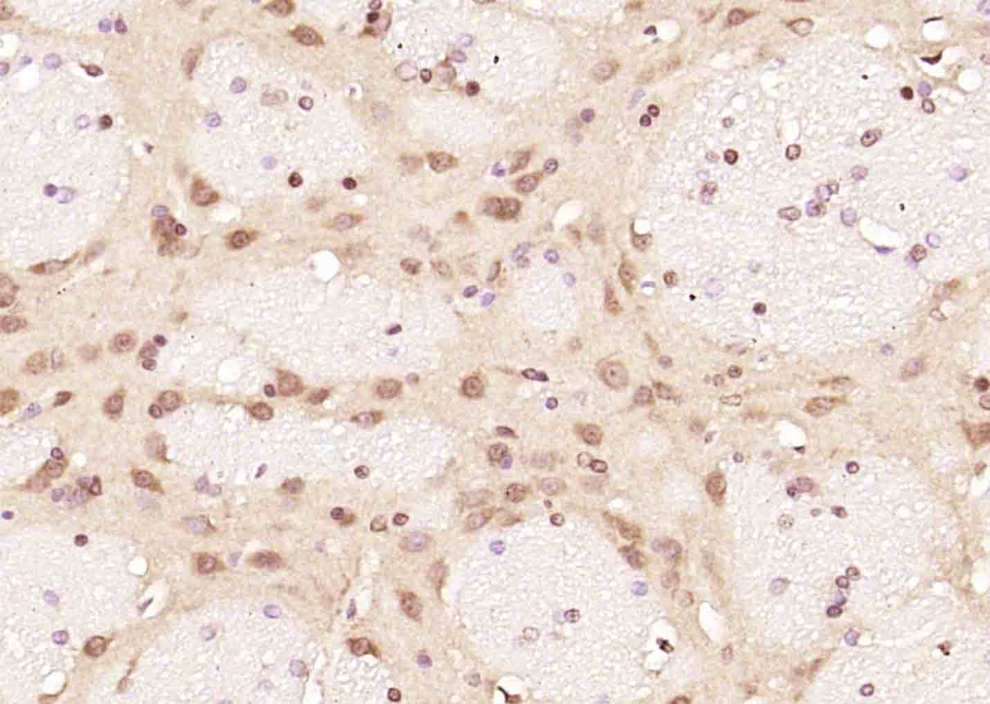
Paraformaldehyde-fixed, paraffin embedded (rat brain); Antigen retrieval by boiling in sodium citrate buffer (pH6.0) for 15min; Block endogenous peroxidase by 3% hydrogen peroxide for 20 minutes; Blocking buffer (normal goat serum) at 37°C for 30min; Antibody incubation with (hnRNP C1) Polyclonal Antibody, Unconjugated (bs-6459R) at 1:200 overnight at 4°C, followed by operating according to SP Kit(Rabbit) (sp-0023) instructionsand DAB staining.
风险提示:丁香通仅作为第三方平台,为商家信息发布提供平台空间。用户咨询产品时请注意保护个人信息及财产安全,合理判断,谨慎选购商品,商家和用户对交易行为负责。对于医疗器械类产品,请先查证核实企业经营资质和医疗器械产品注册证情况。
文献和实验该产品被引用文献
[IF={{ 6.1 }}] {Rong Shikuo. et al. HNRNPC modulates PKM alternative splicing via m6A methylation, upregulating PKM2 expression to promote aerobic glycolysis in papillary thyroid carcinoma and drive malignant progression. J TRANSL MED. 2024 Dec;22(1):1-18} {IHC,WB} {Human}
技术资料暂无技术资料 索取技术资料
文献支持
hnRNP C1/C2 Rabbit pAb(bs-6459R)-50ul/100ul/200ul
¥1180 - 2800






