相关产品推荐更多 >

Activin A Receptor Type IC Rabbit pAb, BF555 conjugated(bs-5777R-BF555)-100ul
¥2980
PLOD3 Rabbit pAb, Biotin conjugated(bs-12732R-Bio)-100ul
¥2980
SMAD5 Rabbit pAb, HRP conjugated(bs-13890R-HRP)-100ul
¥2980
phospho-TYRO3 (Tyr681) Rabbit pAb(bs-10681R)-50ul/100ul/200ul
¥1180
DC-SIGN Rabbit pAb, AP conjugated(bs-10053R-AP)-100ul
¥2980
万千商家帮你免费找货
0 人在求购买到急需产品
- 详细信息
- 文献和实验
- 技术资料
- 应用范围:
产品信息以Bioss网站为准
- 规格:
50ul/100ul/200ul
| 规格: | 50ul | 产品价格: | ¥1180.0 |
|---|---|---|---|
| 规格: | 100ul | 产品价格: | ¥1980.0 |
| 规格: | 200ul | 产品价格: | ¥2800.0 |
| 产品编号 | bs-8379R |
| 英文名称 | HIP2 Rabbit pAb |
| 中文名称 | 泛素蛋白连接酶E2抗体 |
| 英文别名 | E2 25K; E2(25K); HIP-2; Huntingtin interacting protein 2; Huntingtin-interacting protein 2; HYPG; LIG; UBC1; UBE2K; UBE2K_HUMAN; Ubiquitin carrier protein; Ubiquitin conjugating enzyme E2 25 kDa; Ubiquitin conjugating enzyme E2-25 kDa; ubiquitin conjugating enzyme E2K; ubiquitin conjugating enzyme E2K(UBC1 homolog, yeast); Ubiquitin protein ligase; Ubiquitin-conjugating enzyme E2 K; Ubiquitin-conjugating enzyme E2(25K); Ubiquitin-conjugating enzyme E2-25 kDa; Ubiquitin-conjugating enzyme E2-25K; Ubiquitin-protein ligase. |
| 产品应用 | IHC-P=1:100-500, IHC-F=1:100-500, IF=1:100-500 Not yet tested in other applications. |
| 交叉反应 | Rat (Human, Mouse, Chicken, Dog, Pig, Cow, Rabbit) |
| 抗体来源 | Rabbit |
| 免疫原 | KLH conjugated synthetic peptide derived from human HIP2 |
| 亚型 | IgG |
| 性状 | Liquid |
| 纯化方法 | affinity purified by Protein A |
| 克隆类型 | Polyclonal |
| 理论分子量 | 22 kDa |
| 浓度 | 1mg/ml |
| 储存液 | 0.01M TBS (pH7.4) with 1% BSA, 0.02% Proclin300 and 50% Glycerol. |
| 研究领域 | Cell Biology > Proteolysis / Ubiquitin > Proteasome / Ubiquitin > Ubiquitin E2 Enzymes Epigenetics and Nuclear Signaling > Ubiquitin & Ubiquitin Like Modifiers > E2 Ubiquitin Conjugating Enzymes Neuroscience > Neurology process > Neurodegenerative disease > Huntington's disease |
| 亚基 | Interacts with RNF138/NARF. Interacts with BRCA1. |
| 亚细胞定位 | Cytoplasm. |
| 组织特异性 | Expressed in all tissues tested, including spleen, thymus, prostate, testis, ovary, small intestine, colon, peripheral blood leukocytes, T-lymphocytes, monocytes, granulocytes and bone marrow mononuclear cells. Highly expressed in brain, with highest levels found in cortex and striatum and at lower levels in cerebellum and brainstem. |
| 翻译后修饰 | Sumoylation at Lys-14 impairs catalytic activity (By similarity). |
| 相似性 | Belongs to the ubiquitin-conjugating enzyme family. Contains 1 UBA domain. |
| 功能 | Accepts ubiquitin from the E1 complex and catalyzes its covalent attachment to other proteins. In vitro, in the presence or in the absence of BRCA1-BARD1 E3 ubiquitin-protein ligase complex, catalyzes the synthesis of 'Lys-48'-linked polyubiquitin chains. Does not transfer ubiquitin directly to but elongates monoubiquitinated substrate protein. Mediates the selective degradation of short-lived and abnormal proteins, such as the endoplasmic reticulum-associated degradation (ERAD) of misfolded lumenal proteins. Ubiquitinates huntingtin. May mediate foam cell formation by the suppression of apoptosis of lipid-bearing macrophages through ubiquitination and subsequence degradation of p53/TP53. Proposed to be involved in ubiquitination and proteolytic processing of NF-kappa-B; in vitro supports ubiquitination of NFKB1. In case of infection by cytomegaloviruses may be involved in the US11-dependent degradation of MHC class I heavy chains following their export from the ER to the cytosol. In case of viral infections may be involved in the HPV E7 protein-dependent degradation of RB1. |
| 保存条件 | Shipped at 4℃. Store at -20℃ for one year. Avoid repeated freeze/thaw cycles. |
| 注意事项 | This product as supplied is intended for research use only, not for use in human, therapeutic or diagnostic applications. |
| 背景资料 | Accepts ubiquitin from the E1 complex and catalyzes its covalent attachment to other proteins. In vitro, in the presence or in the absence of BRCA1-BARD1 E3 ubiquitin-protein ligase complex, catalyzes the synthesis of 'Lys-48'-linked polyubiquitin chains. Does not transfer ubiquitin directly to but elongates monoubiquitinated substrate protein. Mediates the selective degradation of short-lived and abnormal proteins, such as the endoplasmic reticulum-associated degradation (ERAD) of misfolded lumenal proteins. Ubiquitinates huntingtin. May mediate foam cell formation by the suppression of apoptosis of lipid-bearing macrophages through ubiquitination and subsequence degradation of p53/TP53. Proposed to be involved in ubiquitination and proteolytic processing of NF-kappa-B; in vitro supports ubiquitination of NFKB1. In case of infection by cytomegaloviruses may be involved in the US11-dependent degradation of MHC class I heavy chains following their export from the ER to the cytosol. In case of viral infections may be involved in the HPV E7 protein-dependent degradation of RB1. |
| 应用 | 推荐稀释比例 |
| {IHC-P} | {1:100-500} |
| {IHC-F} | {1:100-500} |
| {IF} | {1:100-500} |

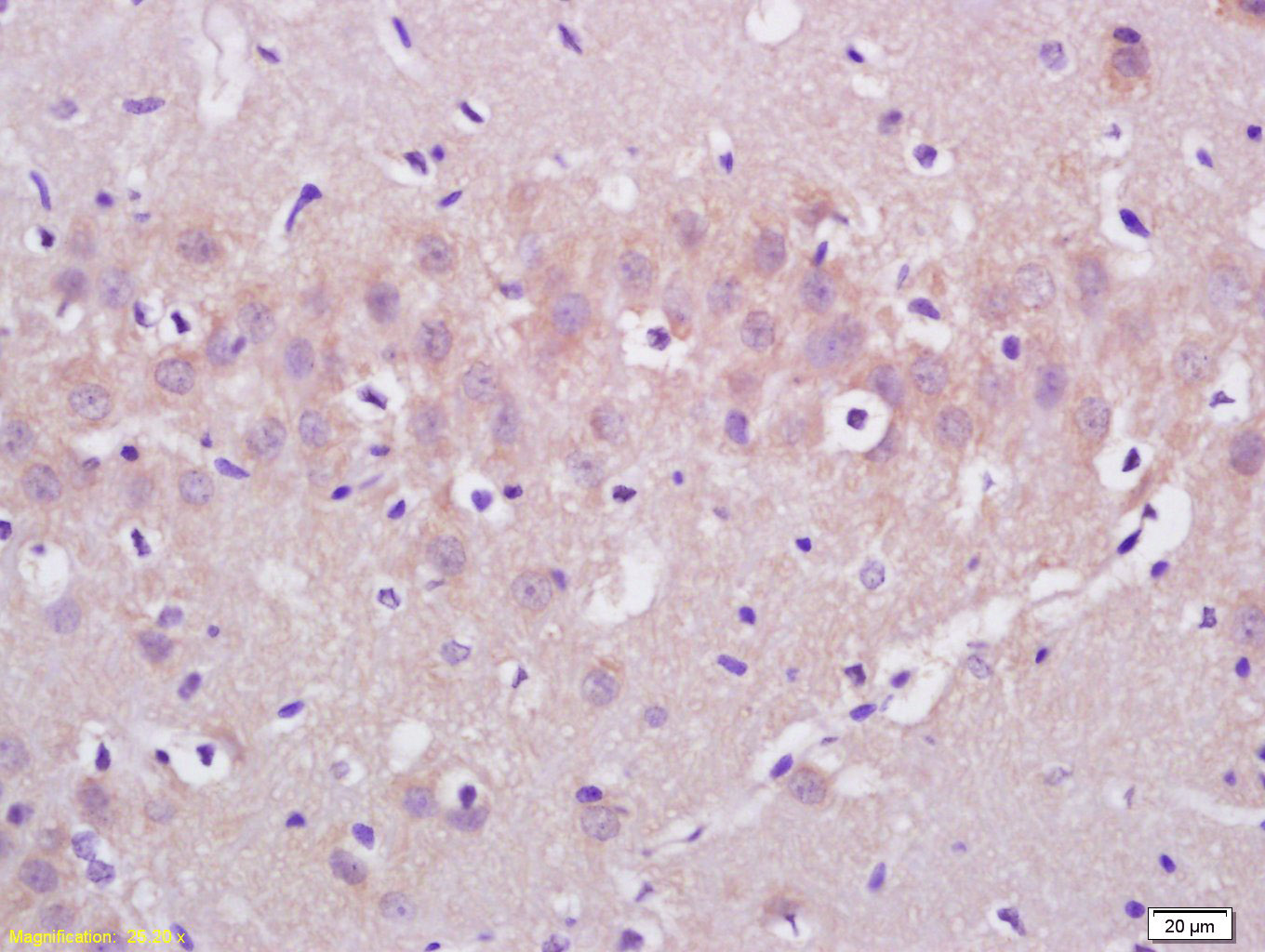
Antigen retrieval: citrate buffer ( 0.01M, pH 6.0 ), Boiling bathing for 15min; Block endogenous peroxidase by 3% Hydrogen peroxide for 30min; Blocking buffer (normal goat serum,C-0005) at 37℃ for 20 min;
Incubation: Anti-HIP2 Polyclonal Antibody, Unconjugated(bs-8379R) 1:200, overnight at 4°C, followed by conjugation to the secondary antibody(SP-0023) and DAB(C-0010) staining

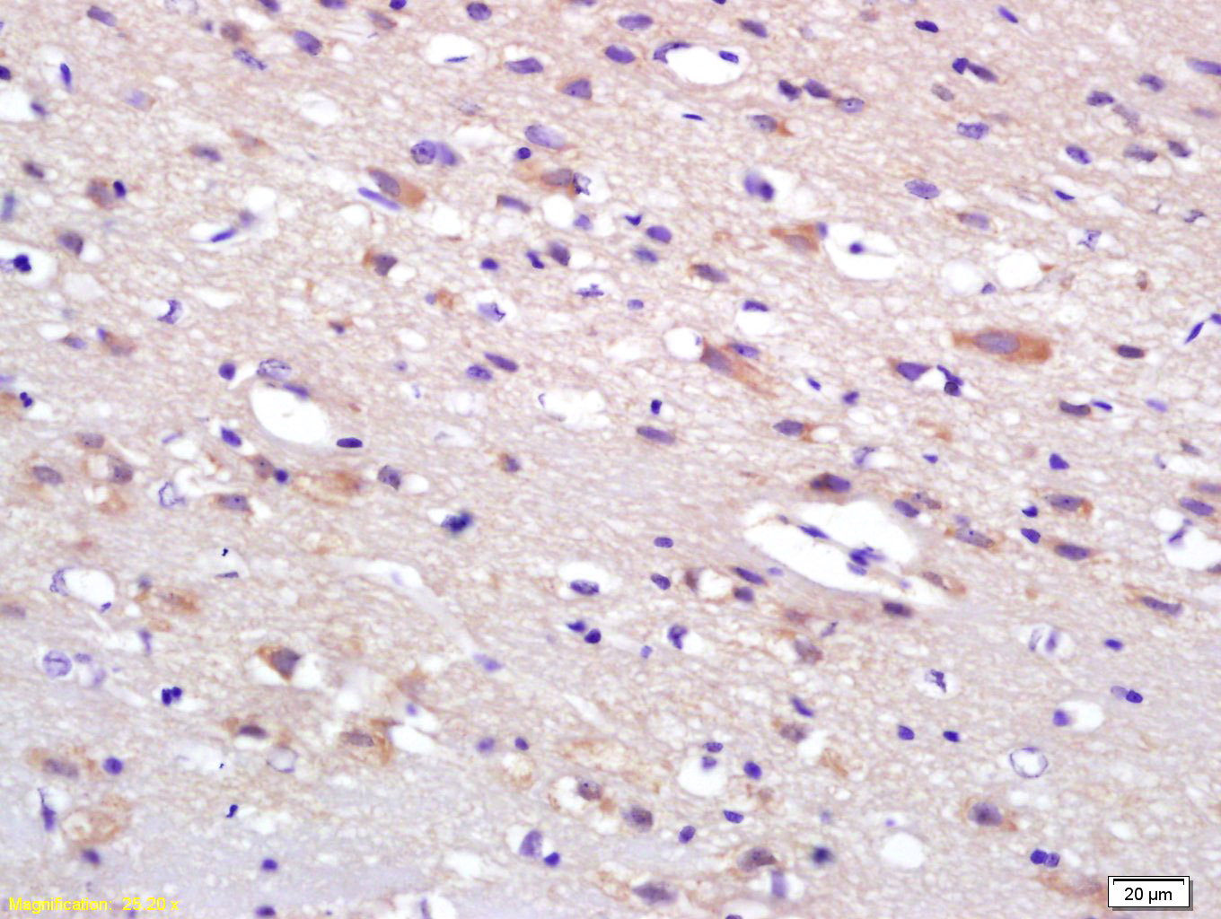
Antigen retrieval: citrate buffer ( 0.01M, pH 6.0 ), Boiling bathing for 15min; Block endogenous peroxidase by 3% Hydrogen peroxide for 30min; Blocking buffer (normal goat serum,C-0005) at 37℃ for 20 min;
Incubation: Anti-HIP2 Polyclonal Antibody, Unconjugated(bs-8379R) 1:200, overnight at 4°C, followed by conjugation to the secondary antibody(SP-0023) and DAB(C-0010) staining
风险提示:丁香通仅作为第三方平台,为商家信息发布提供平台空间。用户咨询产品时请注意保护个人信息及财产安全,合理判断,谨慎选购商品,商家和用户对交易行为负责。对于医疗器械类产品,请先查证核实企业经营资质和医疗器械产品注册证情况。
文献和实验= NAL), appears to form upon oxidative cyclization of the nonfluorescent 2:1 lysine-HNE Michael adduct-Schiff base cross-link (Scheme 1). Polyclonal antibody (PAb) to the NAL-HNE fluorophore was raised in rabbit and found to be highly specific
GE Healthcare Benzamidine Sepharose™ 6B is p-aminobenzamidine covalently attached to Sepharose 6B by the epoxy coupling method. p-Aminobenzamidine (PAB), is a synthetic inhibitor of trypsin-like serine protease. Trypsin and trypsin
Studies of the Ubiquitin Proteasome System
Assays of E1 and E2 Activity Basic Protocol 1: Thiolester Formation Between Rabbit E1 and Ubiquitin Basic Protocol 2: Thiolester Formation Between E2 and Ubiquitin Binding of Ubiquitin‐Proteasome Proteins Basic Protocol 3: Binding of E2s to E3s Alternate
技术资料暂无技术资料 索取技术资料





