相关产品推荐更多 >

phospho-Aurora B (Tyr12) Rabbit pAb, HRP conjugated(bs-12552R-HRP)-100ul
¥2980
CD2AP Rabbit pAb(bs-22213R)-50ul/100ul/200ul
¥1180
HIV gp160 Rabbit pAb(bs-0786R)-50ul/100ul/200ul
¥1180
phospho-HDAC4 (Ser246) + HDAC5 (Ser259) + HDAC7 (Ser155) Rabbit pAb, Biotin conjugated(bs-3073R-Bio)-100ul
¥2980
Hemoglobin subunit delta Rabbit pAb(bs-16467R)-50ul/100ul/200ul
¥1180
万千商家帮你免费找货
0 人在求购买到急需产品
- 详细信息
- 技术资料
- 应用范围:
产品信息以Bioss网站为准
- 规格:
50ul/100ul/200ul
| 规格: | 50ul | 产品价格: | ¥1180.0 |
|---|---|---|---|
| 规格: | 100ul | 产品价格: | ¥1980.0 |
| 规格: | 200ul | 产品价格: | ¥2800.0 |
| 产品编号 | bs-6351R |
| 英文名称 | DAP1 Rabbit pAb |
| 中文名称 | 死亡相关蛋白1抗体 |
| 英文别名 | DAP 1; DAP; DAP-1; DAP1_HUMAN; Death associated protein 1; Death associated protein; Death-associated protein 1. |
| 产品应用 | IHC-P=1:100-500, IHC-F=1:100-500, IF=1:100-500 Not yet tested in other applications. |
| 交叉反应 | Human, Rat (Mouse, Dog, Pig, Cow, Horse, Sheep) |
| 抗体来源 | Rabbit |
| 免疫原 | KLH conjugated synthetic peptide derived from human DAP1 |
| 亚型 | IgG |
| 性状 | Liquid |
| 纯化方法 | affinity purified by Protein A |
| 克隆类型 | Polyclonal |
| 理论分子量 | 11 kDa |
| 浓度 | 1mg/ml |
| 储存液 | 0.01M TBS (pH7.4) with 1% BSA, 0.02% Proclin300 and 50% Glycerol. |
| 研究领域 | Cardiovascular > Atherosclerosis > Diabetes associated Metabolism > Pathways and Processes > Metabolic signaling pathways > Energy transfer pathways > Energy Metabolism Metabolism > Types of disease > Diabetes Metabolism > Types of disease > Heart disease Signal Transduction > Metabolism > Energy Metabolism |
| 翻译后修饰 | Phosphorylated. Phosphorylation by MTOR inhibits the suppressive activity of DAP toward autophagy. |
| 功能 | Negative regulator of autophagy. Involved in mediating interferon-gamma-induced cell death. |
| 保存条件 | Shipped at 4℃. Store at -20℃ for one year. Avoid repeated freeze/thaw cycles. |
| 注意事项 | This product as supplied is intended for research use only, not for use in human, therapeutic or diagnostic applications. |
| 背景资料 | his gene encodes a basic, proline-rich, 15-kD protein. The protein acts as a positive mediator of programmed cell death that is induced by interferon-gamma. |
| 应用 | 推荐稀释比例 |
| {IHC-P} | {1:100-500} |
| {IHC-F} | {1:100-500} |
| {IF} | {1:100-500} |

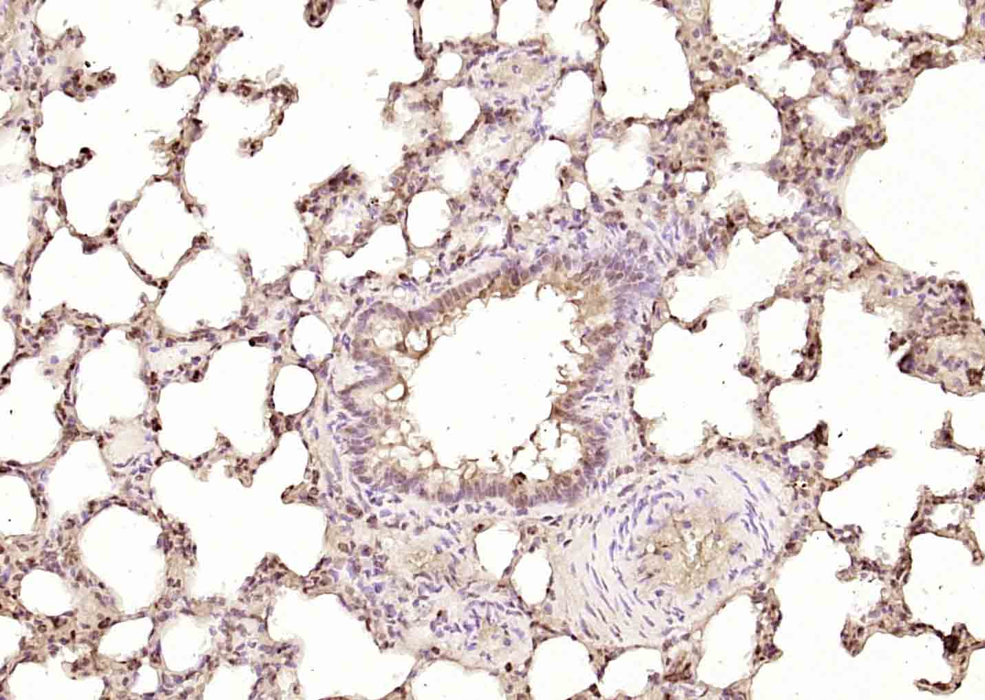
Paraformaldehyde-fixed, paraffin embedded (rat lung); Antigen retrieval by boiling in sodium citrate buffer (pH6.0) for 15min; Block endogenous peroxidase by 3% hydrogen peroxide for 20 minutes; Blocking buffer (normal goat serum) at 37°C for 30min; Antibody incubation with (DAP1) Polyclonal Antibody, Unconjugated (bs-6351R) at 1:200 overnight at 4°C, followed by operating according to SP Kit(Rabbit) (sp-0023) instructionsand DAB staining.

Paraformaldehyde-fixed, paraffin embedded (rat testis); Antigen retrieval by boiling in sodium citrate buffer (pH6.0) for 15min; Block endogenous peroxidase by 3% hydrogen peroxide for 20 minutes; Blocking buffer (normal goat serum) at 37°C for 30min; Antibody incubation with (DAP1) Polyclonal Antibody, Unconjugated (bs-6351R) at 1:200 overnight at 4°C, followed by operating according to SP Kit(Rabbit) (sp-0023) instructionsand DAB staining.

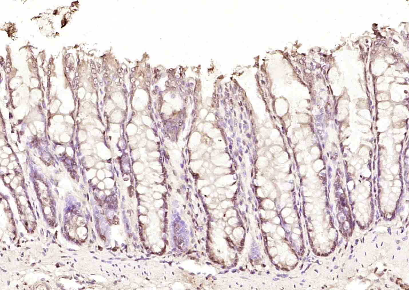
Paraformaldehyde-fixed, paraffin embedded (rat colon); Antigen retrieval by boiling in sodium citrate buffer (pH6.0) for 15min; Block endogenous peroxidase by 3% hydrogen peroxide for 20 minutes; Blocking buffer (normal goat serum) at 37°C for 30min; Antibody incubation with (DAP1) Polyclonal Antibody, Unconjugated (bs-6351R) at 1:200 overnight at 4°C, followed by operating according to SP Kit(Rabbit) (sp-0023) instructionsand DAB staining.

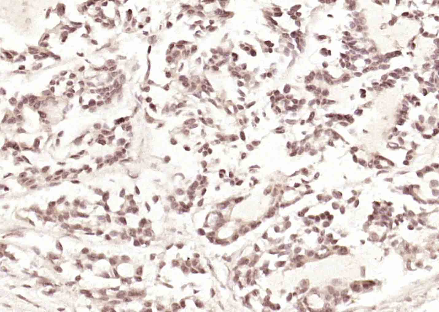
Paraformaldehyde-fixed, paraffin embedded (human gastric carcinoma); Antigen retrieval by boiling in sodium citrate buffer (pH6.0) for 15min; Block endogenous peroxidase by 3% hydrogen peroxide for 20 minutes; Blocking buffer (normal goat serum) at 37°C for 30min; Antibody incubation with (DAP1) Polyclonal Antibody, Unconjugated (bs-6351R) at 1:200 overnight at 4°C, followed by operating according to SP Kit(Rabbit) (sp-0023) instructionsand DAB staining.
风险提示:丁香通仅作为第三方平台,为商家信息发布提供平台空间。用户咨询产品时请注意保护个人信息及财产安全,合理判断,谨慎选购商品,商家和用户对交易行为负责。对于医疗器械类产品,请先查证核实企业经营资质和医疗器械产品注册证情况。
技术资料暂无技术资料 索取技术资料
DAP1 Rabbit pAb(bs-6351R)-50ul/100ul/200ul
¥1180 - 2800





