相关产品推荐更多 >

E2F1 Rabbit pAb, PE-Cy7 conjugated(bs-23185R-PE-Cy7)-100ul
¥2980
ZNF385B Rabbit pAb, PerCP-Cy7 conjugated(bs-12809R-PerCP-Cy7)-100ul
¥2980
Dopamine D5 receptor Rabbit pAb, FITC conjugated(bs-1747R-FITC)-100ul
¥2980
PRSS42 Rabbit pAb(bs-24113R)-50ul/100ul/200ul
¥1180
CCL26 Signal peptide Rabbit pAb, RBITC conjugated(bs-10409R-RBITC)-100ul
¥2980
万千商家帮你免费找货
0 人在求购买到急需产品
- 详细信息
- 文献和实验
- 技术资料
- 应用范围:
产品信息以Bioss网站为准
- 规格:
50ul/100ul/200ul
| 规格: | 50ul | 产品价格: | ¥1180.0 |
|---|---|---|---|
| 规格: | 100ul | 产品价格: | ¥1980.0 |
| 规格: | 200ul | 产品价格: | ¥2800.0 |
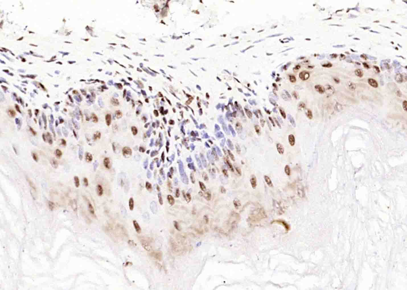
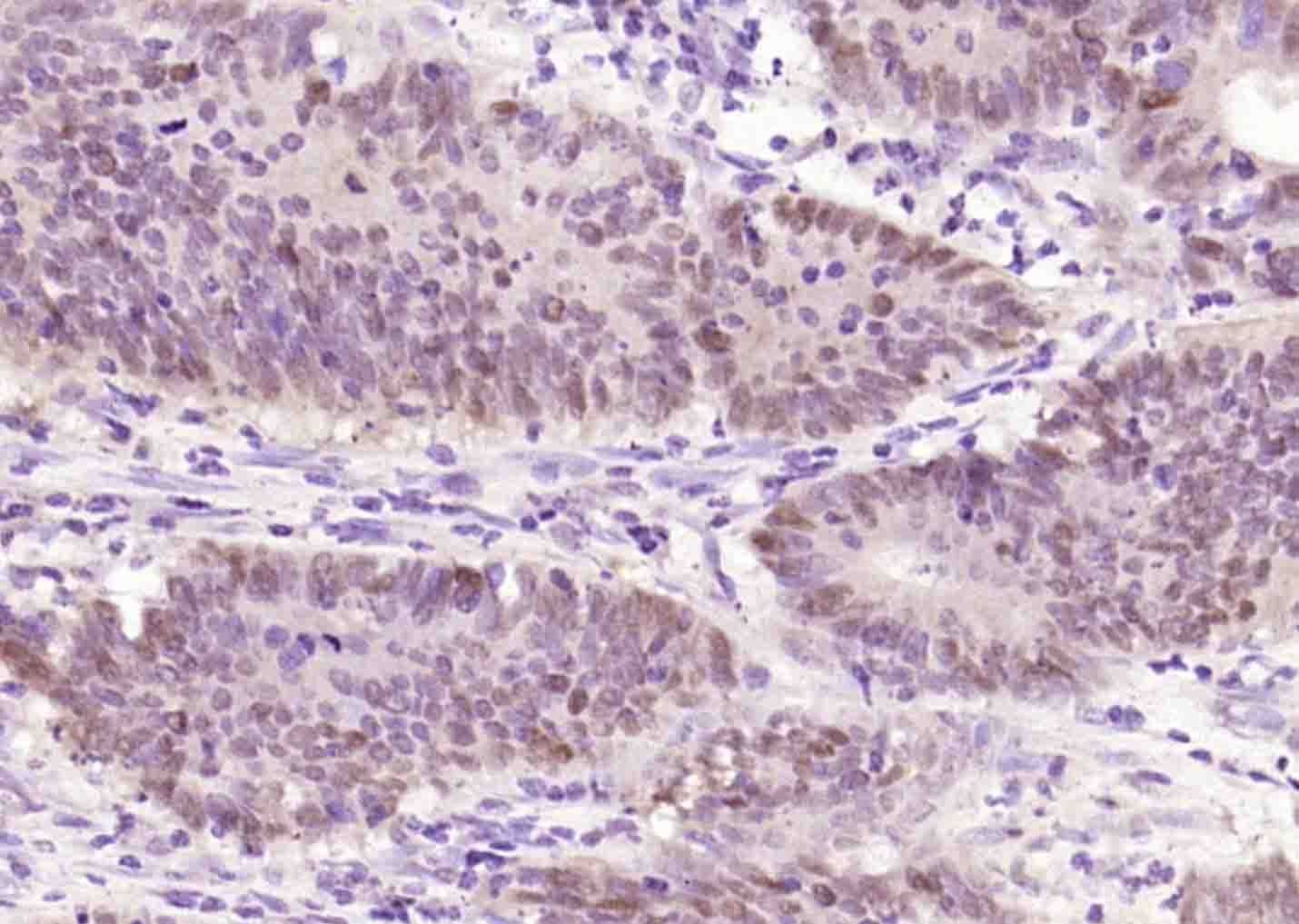
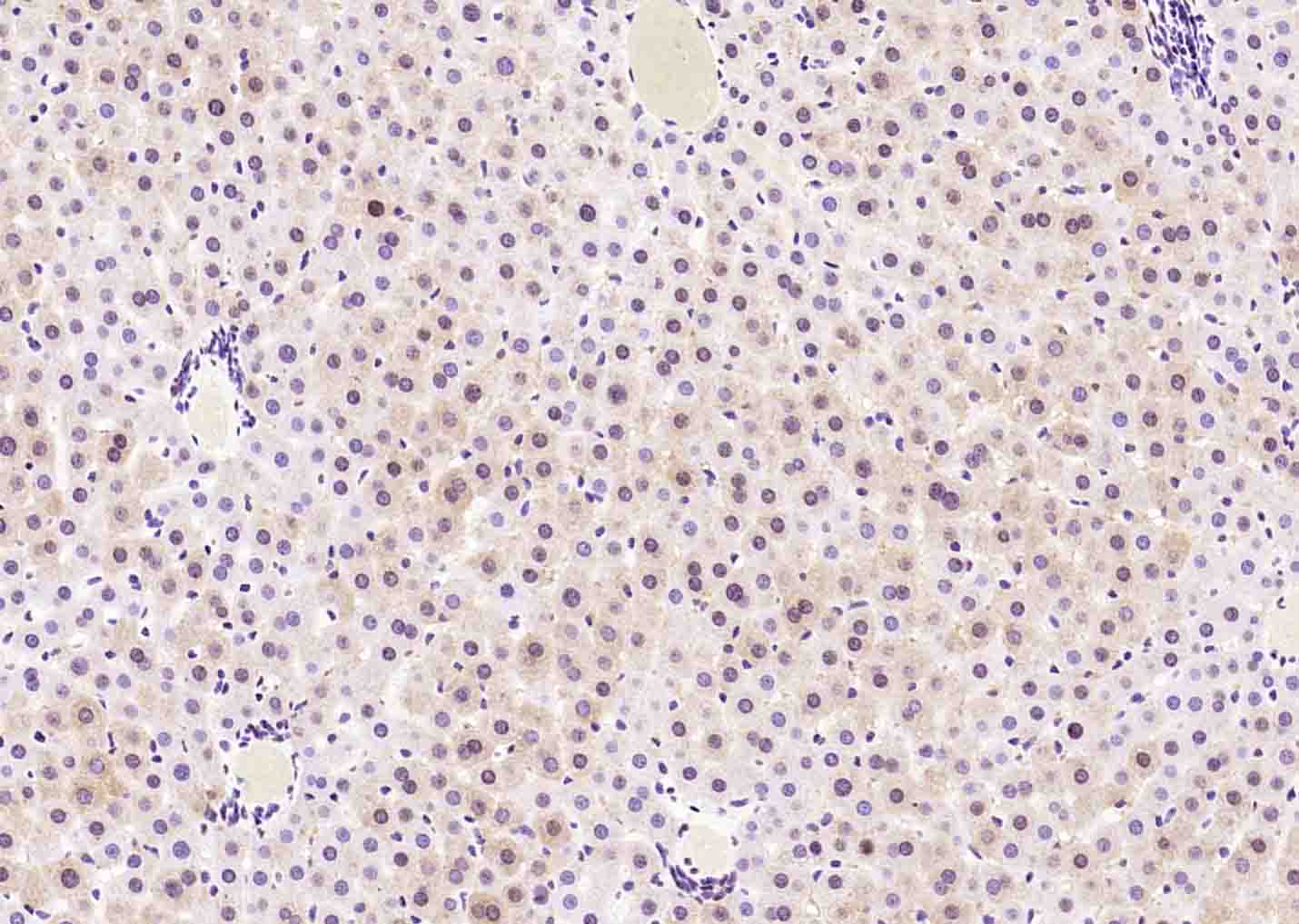
| 产品编号 | bs-6715R |
| 英文名称 | UGDH Rabbit pAb |
| 中文名称 | 尿苷二磷酸葡萄糖脱氢酶抗体 |
| 英文别名 | UGDH_HUMAN; UDP-glucose 6-dehydrogenase; EC:1.1.1.22; UDP-Glc dehydrogenase; UDP-GlcDH; UDPGDH; Uridine diphospho glucose dehydrogenase; UDP glucose 6 dehydrogenase; GDH; UGD; DEE84; EIEE84; |
| 产品应用 | WB=1:500-2000, IHC-P=1:100-500, IHC-F=1:100-500, IF=1:100-500 Not yet tested in other applications. |
| 交叉反应 | Human, Mouse, Rat (Dog, Pig, Cow, Horse, Rabbit, Sheep) |
| 抗体来源 | Rabbit |
| 免疫原 | KLH conjugated synthetic peptide derived from human UGDH |
| 亚型 | IgG |
| 性状 | Liquid |
| 纯化方法 | affinity purified by Protein A |
| 克隆类型 | Polyclonal |
| 理论分子量 | 55 kDa |
| 浓度 | 1mg/ml |
| 储存液 | 0.01M TBS (pH7.4) with 1% BSA, 0.02% Proclin300 and 50% Glycerol. |
| 研究领域 | Cell Biology > Other Antibodies > Oxidative Stress Metabolism > Pathways and Processes > Metabolic signaling pathways > Amino acid metabolism Metabolism > Pathways and Processes > Metabolic signaling pathways > Energy transfer pathways > Energy Metabolism Metabolism > Pathways and Processes > Redox metabolism > Oxidative stress Signal Transduction > Metabolism > Amino Acids Signal Transduction > Metabolism > Energy Metabolism |
| 亚基 | Homohexamer. |
| 组织特异性 | Widely expressed. |
| 相似性 | Belongs to the UDP-glucose/GDP-mannose dehydrogenase family. |
| 功能 | Involved in the biosynthesis of glycosaminoglycans; hyaluronan, chondroitin sulfate, and heparan sulfate. |
| 保存条件 | Shipped at 4℃. Store at -20℃ for one year. Avoid repeated freeze/thaw cycles. |
| 注意事项 | This product as supplied is intended for research use only, not for use in human, therapeutic or diagnostic applications. |
| 背景资料 | The protein encoded by this gene converts UDP-glucose to UDP-glucuronate and thereby participates in the biosynthesis of glycosaminoglycans such as hyaluronan, chondroitin sulfate, and heparan sulfate. These glycosylated compounds are common components of the extracellular matrix and likely play roles in signal transduction, cell migration, and cancer growth and metastasis. The expression of this gene is up-regulated by transforming growth factor beta and down-regulated by hypoxia. Alternative splicing results in multiple transcript variants.[provided by RefSeq, May 2010] |
| 应用 | 推荐稀释比例 |
| {WB} | {1:500-2000} |
| {IHC-P} | {1:100-500} |
| {IHC-F} | {1:100-500} |
| {IF} | {1:100-500} |


Large intestine (Mouse) Lysate at 40 ug
Primary: Anti- UGDH (bs-6715R) at 1/1000 dilution
Secondary: IRDye800CW Goat Anti-Rabbit IgG at 1/20000 dilution
Predicted band size: 55 kD
Observed band size: 55 kD




Liver (Mouse) Lysate at 40 ug
Stomach (Mouse) Lysate at 40 ug
Primary: Anti- UGDH (bs-6715R) at 1/1000 dilution
Secondary: IRDye800CW Goat Anti-Rabbit IgG at 1/20000 dilution
Predicted band size: 55 kD
Observed band size: 55 kD
风险提示:丁香通仅作为第三方平台,为商家信息发布提供平台空间。用户咨询产品时请注意保护个人信息及财产安全,合理判断,谨慎选购商品,商家和用户对交易行为负责。对于医疗器械类产品,请先查证核实企业经营资质和医疗器械产品注册证情况。
文献和实验= NAL), appears to form upon oxidative cyclization of the nonfluorescent 2:1 lysine-HNE Michael adduct-Schiff base cross-link (Scheme 1). Polyclonal antibody (PAb) to the NAL-HNE fluorophore was raised in rabbit and found to be highly specific
GE Healthcare Benzamidine Sepharose™ 6B is p-aminobenzamidine covalently attached to Sepharose 6B by the epoxy coupling method. p-Aminobenzamidine (PAB), is a synthetic inhibitor of trypsin-like serine protease. Trypsin and trypsin
Nucleic Acid Programmable Protein Arrays: Versatile Tools for Array‐Based Functional Protein Studies
.g., Sigma) 50 mg/ml bis‐sulfosuccinimdylsuberate (BS3 ;Pierce, cat. no. PI 21580) in dimethylsulfoxide (DMSO) 5 mg/ml
技术资料暂无技术资料 索取技术资料





