相关产品推荐更多 >

alpha 1 Antitrypsin Rabbit pAb, Biotin conjugated(bs-0096R-Bio)-100ul
¥2980
Aldolase A Rabbit pAb, PerCP conjugated(bs-2406R-PerCP)-100ul
¥2980
phospho-Rb (Thr821) Rabbit pAb, HRP conjugated(bs-3452R-HRP)-100ul
¥2980
CKMT Rabbit pAb, Cy3 conjugated(bs-6522R-Cy3)-100ul
¥2980
CLEC7A Rabbit pAb, HRP conjugated(bs-23839R-HRP)-100ul
¥2980
万千商家帮你免费找货
0 人在求购买到急需产品
- 详细信息
- 文献和实验
- 技术资料
- 应用范围:
产品信息以Bioss网站为准
- 规格:
50ul/100ul/200ul
| 规格: | 50ul | 产品价格: | ¥1180.0 |
|---|---|---|---|
| 规格: | 100ul | 产品价格: | ¥1980.0 |
| 规格: | 200ul | 产品价格: | ¥2800.0 |
| 产品编号 | bs-6532R |
| 英文名称 | Epithelial Stromal Interaction 1 Rabbit pAb |
| 中文名称 | 上皮间质相互作用蛋白1抗体 |
| 英文别名 | BRESI 1; BRESI1; Epithelial stromal interaction 1(breast); Epithelial stromal interaction protein 1(breast); Epithelial stromal interaction protein 1; Epithelial-stromal interaction protein 1; EPSTI 1; Epsti1; ESIP1_HUMAN; MGC29634. |
| 产品应用 | IHC-P=1:100-500, IHC-F=1:100-500, IF=1:100-500 Not yet tested in other applications. |
| 交叉反应 | Human, Mouse (Rat, Dog, Pig, Horse, Rabbit, GuineaPig) |
| 抗体来源 | Rabbit |
| 免疫原 | KLH conjugated synthetic peptide derived from human Epsti1 |
| 亚型 | IgG |
| 性状 | Liquid |
| 纯化方法 | affinity purified by Protein A |
| 克隆类型 | Polyclonal |
| 理论分子量 | 37/47 kDa |
| 浓度 | 1mg/ml |
| 储存液 | 0.01M TBS (pH7.4) with 1% BSA, 0.02% Proclin300 and 50% Glycerol. |
| 研究领域 | Cancer > Tumor biomarkers |
| 组织特异性 | Highly expressed in placenta, small intestine, spleen, kidney, thymus, liver, salivary gland and testes. Weakly expressed in breast, skeletal muscle and colon. Highly expressed in breast cancer upon interaction between tumor cells and stromal cells in vitro. Expressed in blood mononuclear cells from patients with systemic lupus erythematosus (SLE). |
| 保存条件 | Shipped at 4℃. Store at -20℃ for one year. Avoid repeated freeze/thaw cycles. |
| 注意事项 | This product as supplied is intended for research use only, not for use in human, therapeutic or diagnostic applications. |
| 背景资料 | Highly expressed in placenta, small intestine, spleen, kidney, thymus, liver, salivary gland and testes. Weakly expressed in breast, skeletal muscle and colon. Highly expressed in breast cancer upon interaction between tumor cells and stromal cells in vitro. Expressed in blood mononuclear cells from patients with systemic lupus erythematosus (SLE). |
| 应用 | 推荐稀释比例 |
| {IHC-P} | {1:100-500} |
| {IHC-F} | {1:100-500} |
| {IF} | {1:100-500} |

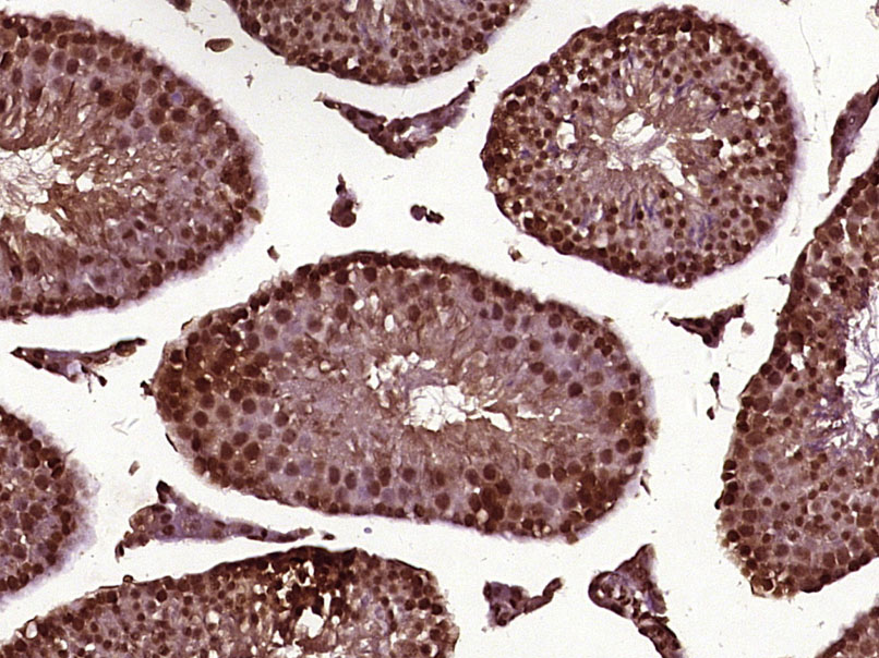
Paraformaldehyde-fixed, paraffin embedded (Mouse testis); Antigen retrieval by boiling in sodium citrate buffer (pH6.0) for 15min; Block endogenous peroxidase by 3% hydrogen peroxide for 20 minutes; Blocking buffer (normal goat serum) at 37°C for 30min; Antibody incubation with (Epithelial Stromal Interaction 1) Polyclonal Antibody, Unconjugated (bs-6532R) at 1:400 overnight at 4°C, followed by operating according to SP Kit(Rabbit) (sp-0023) instructionsand DAB staining.

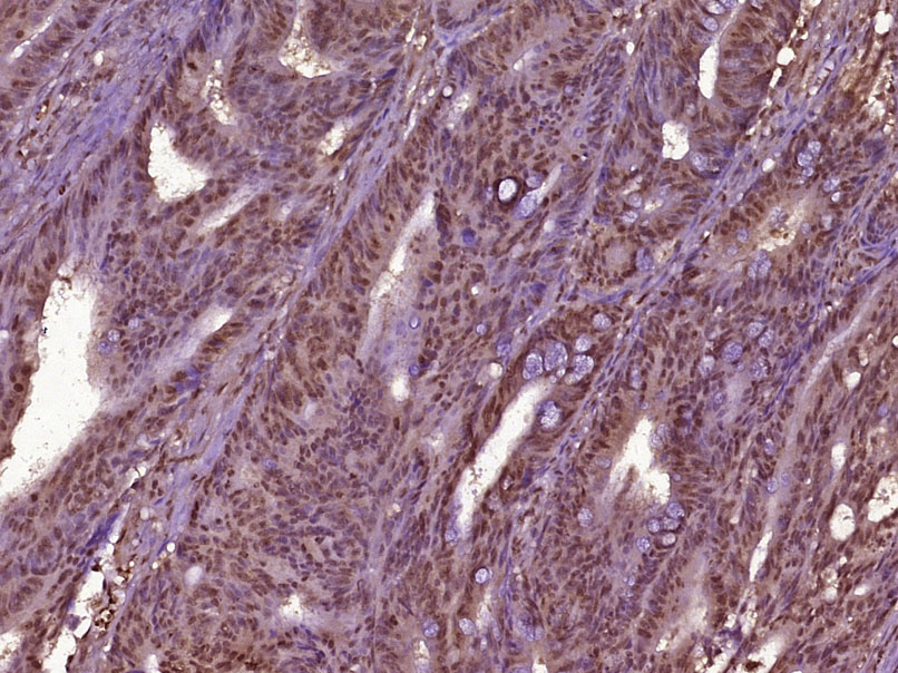
Paraformaldehyde-fixed, paraffin embedded (Human colon carcinoma); Antigen retrieval by boiling in sodium citrate buffer (pH6.0) for 15min; Block endogenous peroxidase by 3% hydrogen peroxide for 20 minutes; Blocking buffer (normal goat serum) at 37°C for 30min; Antibody incubation with (Epithelial Stromal Interaction 1) Polyclonal Antibody, Unconjugated (bs-6532R) at 1:400 overnight at 4°C, followed by operating according to SP Kit(Rabbit) (sp-0023) instructionsand DAB staining.
风险提示:丁香通仅作为第三方平台,为商家信息发布提供平台空间。用户咨询产品时请注意保护个人信息及财产安全,合理判断,谨慎选购商品,商家和用户对交易行为负责。对于医疗器械类产品,请先查证核实企业经营资质和医疗器械产品注册证情况。
文献和实验相关实验
Generation of Spatio‐Temporally Controlled Targeted Somatic Mutations in the Mouse
. Berton, T.R., Matsumoto, T., Page, A., Conti, C.J., Deng, C.X., Jorcano, J.L., and Johnson, D.G. 2003. Tumor formation in mice with conditional inactivation of Brca1 in epithelial tissues. Oncogene 22:5415
技术资料暂无技术资料 索取技术资料
Epithelial Stromal Interaction 1 Rabbit pAb(bs-6532R)-50ul/100ul/200ul
¥1180 - 2800





