相关产品推荐更多 >

TBX1 Rabbit pAb(bs-21501R)-50ul/100ul/200ul
¥1180
PDGF-D/SCDGFB Rabbit pAb(bs-5776R)-50ul/100ul/200ul
¥1180
Ube2B Rabbit pAb, PE-Cy5 conjugated(bs-4257R-PE-Cy5)-100ul
¥2980
KLST/Kallistatin Rabbit pAb, HRP conjugated(bs-5786R-HRP)-100ul
¥2980
Ricin A chain Rabbit pAb, Biotin conjugated(bs-7140R-Bio)-100ul
¥2980
万千商家帮你免费找货
0 人在求购买到急需产品
- 详细信息
- 文献和实验
- 技术资料
- 应用范围:
产品信息以Bioss网站为准
- 规格:
50ul/100ul/200ul
| 规格: | 50ul | 产品价格: | ¥1180.0 |
|---|---|---|---|
| 规格: | 100ul | 产品价格: | ¥1980.0 |
| 规格: | 200ul | 产品价格: | ¥2800.0 |
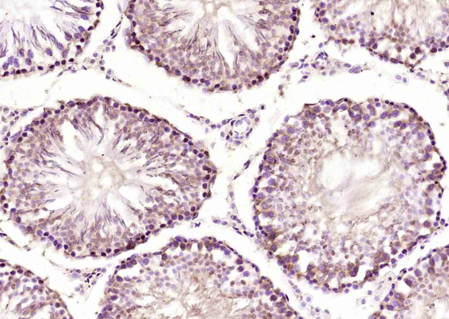
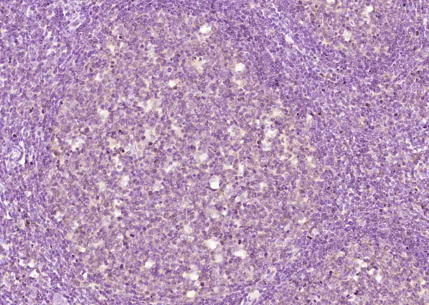
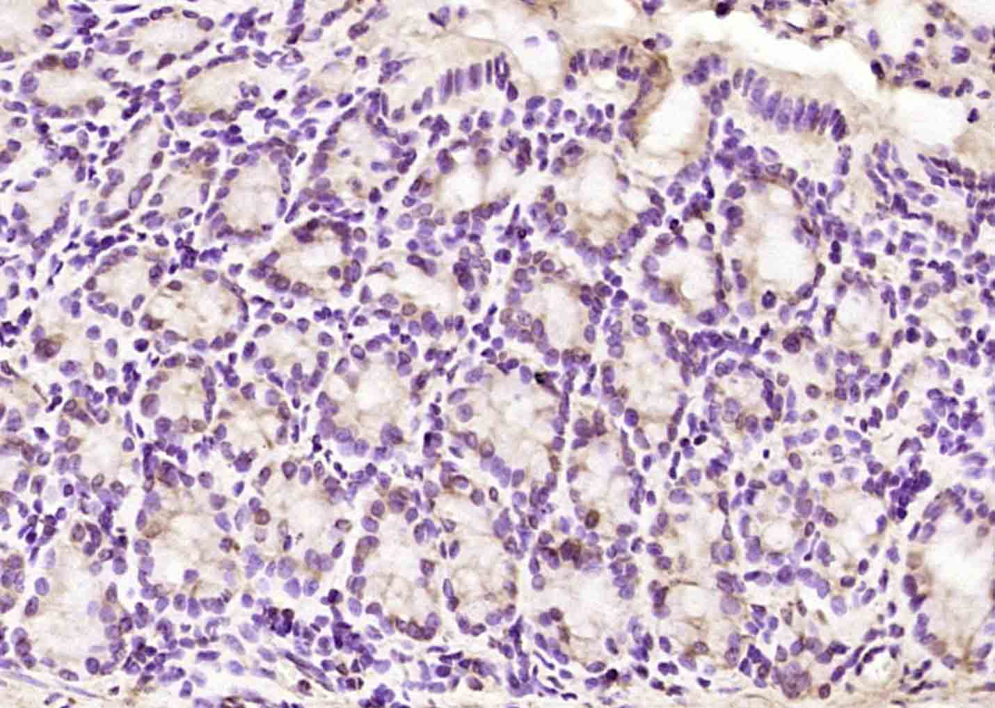
| 产品编号 | bs-5963R |
| 英文名称 | CDCA7L Rabbit pAb |
| 中文名称 | 细胞分裂周期相关蛋白JPO2抗体 |
| 英文别名 | c Myc Interacting protein JPO2; DKFZp762L0311; RAM2; HR1; JPO2; Protein JPO2; R1 antibody Transcription Factor RAM2.CDA7L_HUMAN |
| 产品应用 | IHC-P=1:100-500, IHC-F=1:100-500, IF=1:100-500 Not yet tested in other applications. |
| 交叉反应 | Human, Mouse, Rat (Chicken, Dog, Pig, Cow, Horse, Rabbit) |
| 抗体来源 | Rabbit |
| 免疫原 | KLH conjugated synthetic peptide derived from human CDCA7L |
| 亚型 | IgG |
| 性状 | Liquid |
| 纯化方法 | affinity purified by Protein A |
| 克隆类型 | Polyclonal |
| 理论分子量 | 49 kDa |
| 浓度 | 1mg/ml |
| 储存液 | 0.01M TBS (pH7.4) with 1% BSA, 0.02% Proclin300 and 50% Glycerol. |
| 研究领域 | Cancer > Oncoproteins/suppressors > Oncoproteins > Transcription factors Cell Biology > Apoptosis > Intracellular > Associated Proteins Epigenetics and Nuclear Signaling > Transcription > Other factors Epigenetics and Nuclear Signaling > Transcription > Transcription Factors |
| 亚基 | Interacts with MYC and PSIP1. |
| 亚细胞定位 | Cytoplasm. Nucleus. Note=Associates with chromatin. Translocates from cytoplasm to nucleus under dexamethasone induction. |
| 组织特异性 | Ubiquitous. Overexpressed in medulloblastoma. |
| 功能 | Plays a role in transcriptional regulation as a repressor that inhibits monoamine oxidase A (MAOA) activity and gene expression by binding to the promoter. Plays an important oncogenic role in mediating the full transforming effect of MYC in medulloblastoma cells. Involved in apoptotic signaling pathways; May act downstream of P38-kinase and BCL-2, but upstream of CASP3/caspase-3 as well as CCND1/cyclin D1 and E2F1. |
| 保存条件 | Shipped at 4℃. Store at -20℃ for one year. Avoid repeated freeze/thaw cycles. |
| 注意事项 | This product as supplied is intended for research use only, not for use in human, therapeutic or diagnostic applications. |
| 背景资料 | CDCA7L is a member of the CDCA (cell division cycle associated) protein family. Members of this family have expression patterns associated with other known cell cycle genes such as cyclins and CDC genes. CDCA7L plays a role in transcriptional regulation as a repressor that inhibits monoamine oxidase A (MAOA) activity and gene expression by binding to the promoter. It also plays an important oncogenic role in mediating the full transforming effect of MYC in medulloblastoma cells. It is involved in apoptotic signaling pathways and may act downstream of P38-kinase and BCL-2, but upstream of CASP3/caspase-3 as well as CCND1/cyclin D1 and E2F1. |
| 应用 | 推荐稀释比例 |
| {IHC-P} | {1:100-500} |
| {IHC-F} | {1:100-500} |
| {IF} | {1:100-500} |



风险提示:丁香通仅作为第三方平台,为商家信息发布提供平台空间。用户咨询产品时请注意保护个人信息及财产安全,合理判断,谨慎选购商品,商家和用户对交易行为负责。对于医疗器械类产品,请先查证核实企业经营资质和医疗器械产品注册证情况。
文献和实验= NAL), appears to form upon oxidative cyclization of the nonfluorescent 2:1 lysine-HNE Michael adduct-Schiff base cross-link (Scheme 1). Polyclonal antibody (PAb) to the NAL-HNE fluorophore was raised in rabbit and found to be highly specific
GE Healthcare Benzamidine Sepharose™ 6B is p-aminobenzamidine covalently attached to Sepharose 6B by the epoxy coupling method. p-Aminobenzamidine (PAB), is a synthetic inhibitor of trypsin-like serine protease. Trypsin and trypsin
Nucleic Acid Programmable Protein Arrays: Versatile Tools for Array‐Based Functional Protein Studies
.g., Sigma) 50 mg/ml bis‐sulfosuccinimdylsuberate (BS3 ;Pierce, cat. no. PI 21580) in dimethylsulfoxide (DMSO) 5 mg/ml
技术资料暂无技术资料 索取技术资料






