相关产品推荐更多 >
万千商家帮你免费找货
0 人在求购买到急需产品
- 详细信息
- 文献和实验
- 技术资料
- 应用范围:
产品信息以Bioss网站为准
- 规格:
50ul/100ul/200ul
| 规格: | 50ul | 产品价格: | ¥1180.0 |
|---|---|---|---|
| 规格: | 100ul | 产品价格: | ¥1980.0 |
| 规格: | 200ul | 产品价格: | ¥2800.0 |
| 产品编号 | bs-9457R |
| 英文名称 | SLC2A4RG Rabbit pAb |
| 中文名称 | 葡萄糖转运蛋白4增强因子抗体 |
| 英文别名 | GEF; GLUT4 enhancer factor; HDBP 1; HDBP-1; HDBP1; Huntington disease gene regulatory region binding protein 1; Huntington disease gene regulatory region-binding protein 1; S2A4R_HUMAN; Si 1 2 19; Si 1 2; SLC2A4 regulator; SLC2A4RG; Zinc finger protein 2 5 Glut4 enhancer factor. |
| 产品应用 | WB=1:500-2000, IHC-P=1:100-500, IHC-F=1:100-500, IF=1:50-200 Not yet tested in other applications. |
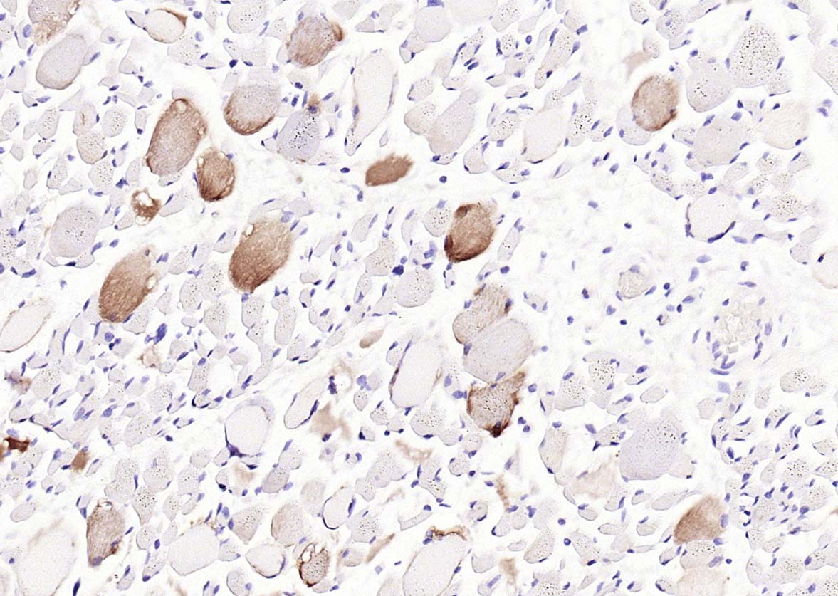
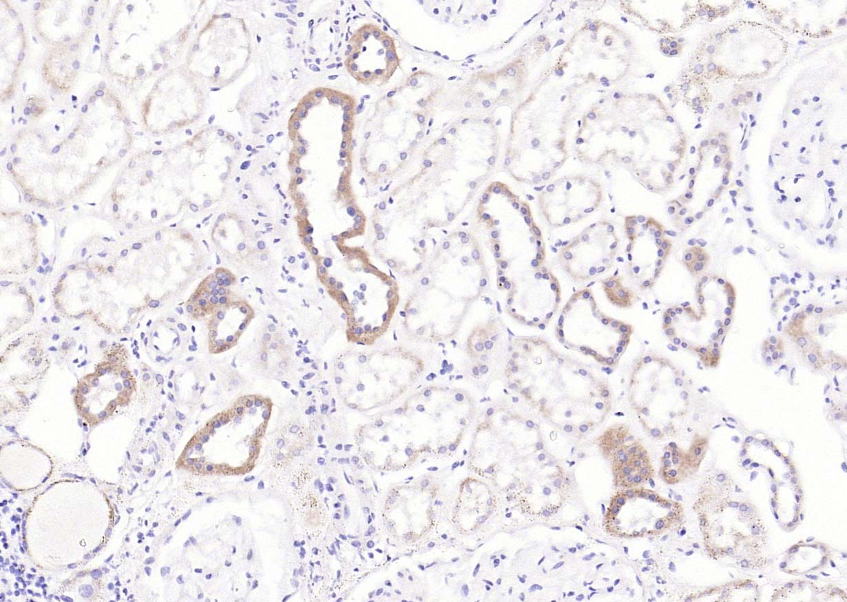
| 交叉反应 | Human, Mouse, skeletal muscle, skeletal muscle, skeletal muscle, skeletal muscle, 肾, 肾, 肾, 肾 (Cow, Sheep) |
| 抗体来源 | Rabbit |
| 免疫原 | KLH conjugated synthetic peptide derived from human SLC2A4RG |
| 亚型 | IgG |
| 性状 | Liquid |
| 纯化方法 | affinity purified by Protein A |
| 克隆类型 | Polyclonal |
| 理论分子量 | 41 kDa |
| 浓度 | 1mg/ml |
| 储存液 | 0.01M TBS (pH7.4) with 1% BSA, 0.02% Proclin300 and 50% Glycerol. |
| 研究领域 | Cardiovascular > Heart > Cardiac metabolism Epigenetics and Nuclear Signaling > Transcription > Other factors Epigenetics and Nuclear Signaling > Transcription > Transcription Factors Metabolism > Pathways and Processes > Metabolic signaling pathways > Energy transfer pathways > Energy Metabolism Signal Transduction > Metabolism > Energy Metabolism |
| 亚基 | Interacts with MEF2A. |
| 亚细胞定位 | Cytoplasm. Nucleus. Note=Shuttles between the cytoplasm and the nucleus. |
| 组织特异性 | According to PubMed:14630949, expressed in heart, skeletal muscle, liver, kidney and pancreas; undetectable in lung, placenta or brain. According to PubMed:14625278, ubiquitously expressed, with lowest expression in brain and ileum. |
| 相似性 | Contains 1 C2H2-type zinc finger. |
| 功能 | Transcription factor involved in SLC2A4 and HD gene transactivation. Binds to the consensus sequence 5'-GCCGGCG-3'. |
| 保存条件 | Shipped at 4℃. Store at -20℃ for one year. Avoid repeated freeze/thaw cycles. |
| 注意事项 | This product as supplied is intended for research use only, not for use in human, therapeutic or diagnostic applications. |
| 背景资料 | The protein encoded by this gene is a nuclear transcription factor involved in the activation of the solute carrier family 2 member 4 gene. The encoded protein interacts with another transcription factor, myocyte enhancer factor 2, to activate transcription of this gene. [provided by RefSeq, Jul 2008]. |
| 应用 | 推荐稀释比例 |
| {WB} | {1:500-2000} |
| {IHC-P} | {1:100-500} |
| {IHC-F} | {1:100-500} |
| {IF} | {1:50-200} |

Liver (Mouse) Lysate at 40 ug
Primary: Anti- SLC2A4RG (bs-9457R) at 1/1000 dilution
Secondary: IRDye800CW Goat Anti-Rabbit IgG at 1/20000 dilution
Predicted band size: 41 kD
Observed band size: 41 kD



Lane 1: Mouse Heart tissue lysates
Lane 2: Mouse Muscle tissue lysates
Primary: Anti-SLC2A4RG (bs-9457R) at 1/1000 dilution
Secondary: IRDye800CW Goat Anti-Rabbit IgG at 1/20000 dilution
Predicted band size: 41 kDa
Observed band size: 41 kDa
风险提示:丁香通仅作为第三方平台,为商家信息发布提供平台空间。用户咨询产品时请注意保护个人信息及财产安全,合理判断,谨慎选购商品,商家和用户对交易行为负责。对于医疗器械类产品,请先查证核实企业经营资质和医疗器械产品注册证情况。
文献和实验= NAL), appears to form upon oxidative cyclization of the nonfluorescent 2:1 lysine-HNE Michael adduct-Schiff base cross-link (Scheme 1). Polyclonal antibody (PAb) to the NAL-HNE fluorophore was raised in rabbit and found to be highly specific
GE Healthcare Benzamidine Sepharose™ 6B is p-aminobenzamidine covalently attached to Sepharose 6B by the epoxy coupling method. p-Aminobenzamidine (PAB), is a synthetic inhibitor of trypsin-like serine protease. Trypsin and trypsin
Nucleic Acid Programmable Protein Arrays: Versatile Tools for Array‐Based Functional Protein Studies
.g., Sigma) 50 mg/ml bis‐sulfosuccinimdylsuberate (BS3 ;Pierce, cat. no. PI 21580) in dimethylsulfoxide (DMSO) 5 mg/ml
技术资料暂无技术资料 索取技术资料











