相关产品推荐更多 >
万千商家帮你免费找货
0 人在求购买到急需产品
- 详细信息
- 文献和实验
- 技术资料
- 应用范围:
产品信息以Bioss网站为准
- 规格:
50ul/100ul/200ul
| 规格: | 50ul | 产品价格: | ¥1180.0 |
|---|---|---|---|
| 规格: | 100ul | 产品价格: | ¥1980.0 |
| 规格: | 200ul | 产品价格: | ¥2800.0 |
| 产品编号 | bs-9433R |
| 英文名称 | FIGNL1 Rabbit pAb |
| 中文名称 | FIGNL1蛋白抗体 |
| 英文别名 | Fidgetin like protein 1; fidgetin-like 1; FIGL1_HUMAN. |
| 产品应用 | IHC-P=1:100-500, IHC-F=1:100-500, IF=1:100-500 Not yet tested in other applications. |
| 交叉反应 | Human (Mouse, Rat, Chicken, Pig, Cow, Horse, Sheep) |
| 抗体来源 | Rabbit |
| 免疫原 | KLH conjugated synthetic peptide derived from human FIGNL1 |
| 亚型 | IgG |
| 性状 | Liquid |
| 纯化方法 | affinity purified by Protein A |
| 克隆类型 | Polyclonal |
| 理论分子量 | 74 kDa |
| 浓度 | 1mg/ml |
| 储存液 | 0.01M TBS (pH7.4) with 1% BSA, 0.02% Proclin300 and 50% Glycerol. |
| 研究领域 | Cell Biology > Cell Cycle > Cell differentiation Developmental Biology > Organogenesis > Skeletal development > Bone Signal Transduction > Cytoskeleton / ECM > Extracellular Matrix > Structures > Bone |
| 亚基 | Hexamer (By similarity). |
| 相似性 | Belongs to the AAA ATPase family. |
| 功能 | May regulate osteoblast proliferation and differentiation (By similarity). |
| 保存条件 | Shipped at 4℃. Store at -20℃ for one year. Avoid repeated freeze/thaw cycles. |
| 注意事项 | This product as supplied is intended for research use only, not for use in human, therapeutic or diagnostic applications. |
| 背景资料 | FIGNL1 is a 674 amino acid protein belonging to the AAA ATPase family. FIGNL1 exists as a hexamer that undergoes alternative splicing to produce two isoforms. FIGNL1 utilizes magnesium as a cofactor and is phosphorylated upon DNA damage, probably by ATM or ATR. FIGNL1 is suggested to regulate osteoblast proliferation and differentiation. FIGNL1 is encoded by a gene located on human chromosome 7, which consists about 158 milllion bases, encodes over 1000 genes and makes up about 5% of the human genome. Chromosome 7 has been linked to Osteogenesis imperfecta, Pendred syndrome, Lissencephaly, Citrullinemia and Shwachman-Diamond syndrome. The deletion of a portion of the q arm of chromosome 7 is associated with Williams-Beuren syndrome, a condition characterized by mild mental retardation, an unusual comfort and friendliness with strangers and an elfin appearance. Deletions of portions of the q arm of chromosome 7 are also seen in a number of myeloid disorders including cases of acute myelogenous leukemia and myelodysplasia. |
| 应用 | 推荐稀释比例 |
| {IHC-P} | {1:100-500} |
| {IHC-F} | {1:100-500} |
| {IF} | {1:100-500} |

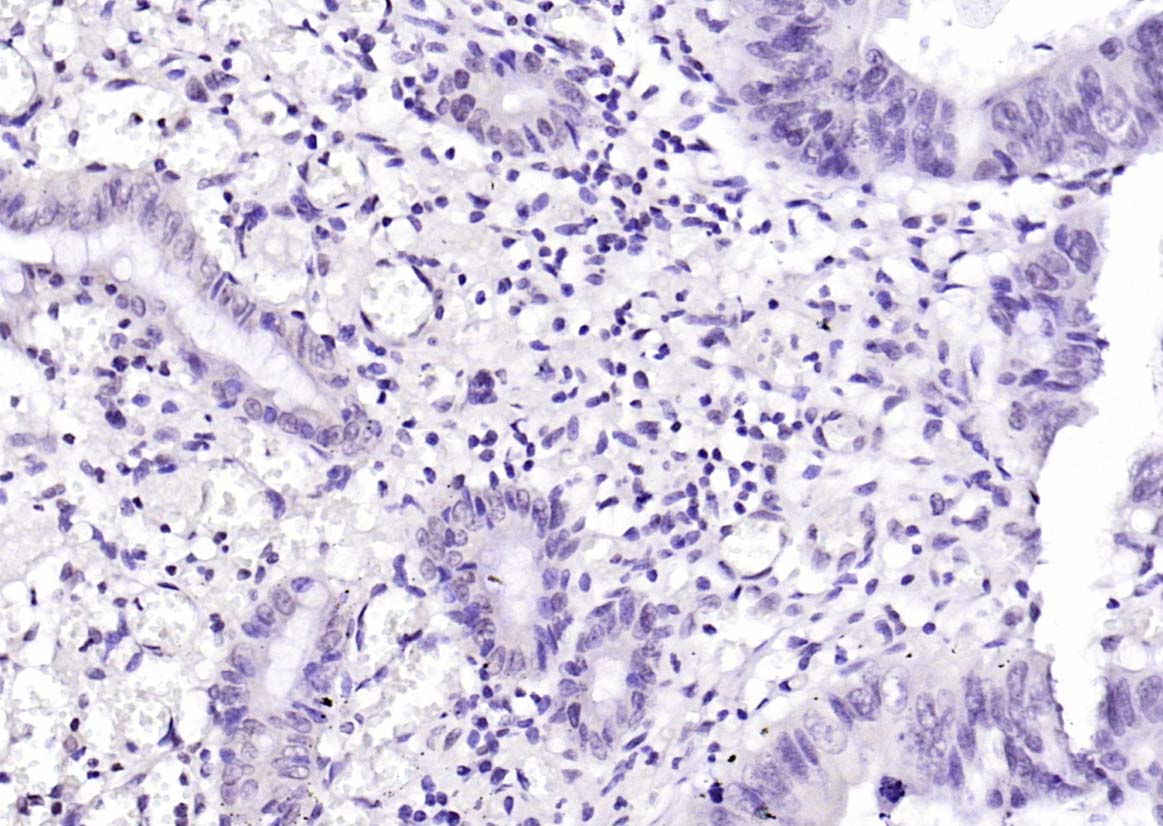
Paraformaldehyde-fixed, paraffin embedded (human colon carcinoma); Antigen retrieval by boiling in sodium citrate buffer (pH6.0) for 15min; Block endogenous peroxidase by 3% hydrogen peroxide for 20 minutes; Blocking buffer (normal goat serum) at 37°C for 30min; Antibody incubation with (FIGNL1) Polyclonal Antibody, Unconjugated (bs-9433R) at 1:200 overnight at 4°C, followed by operating according to SP Kit(Rabbit) (sp-0023) instructionsand DAB staining.

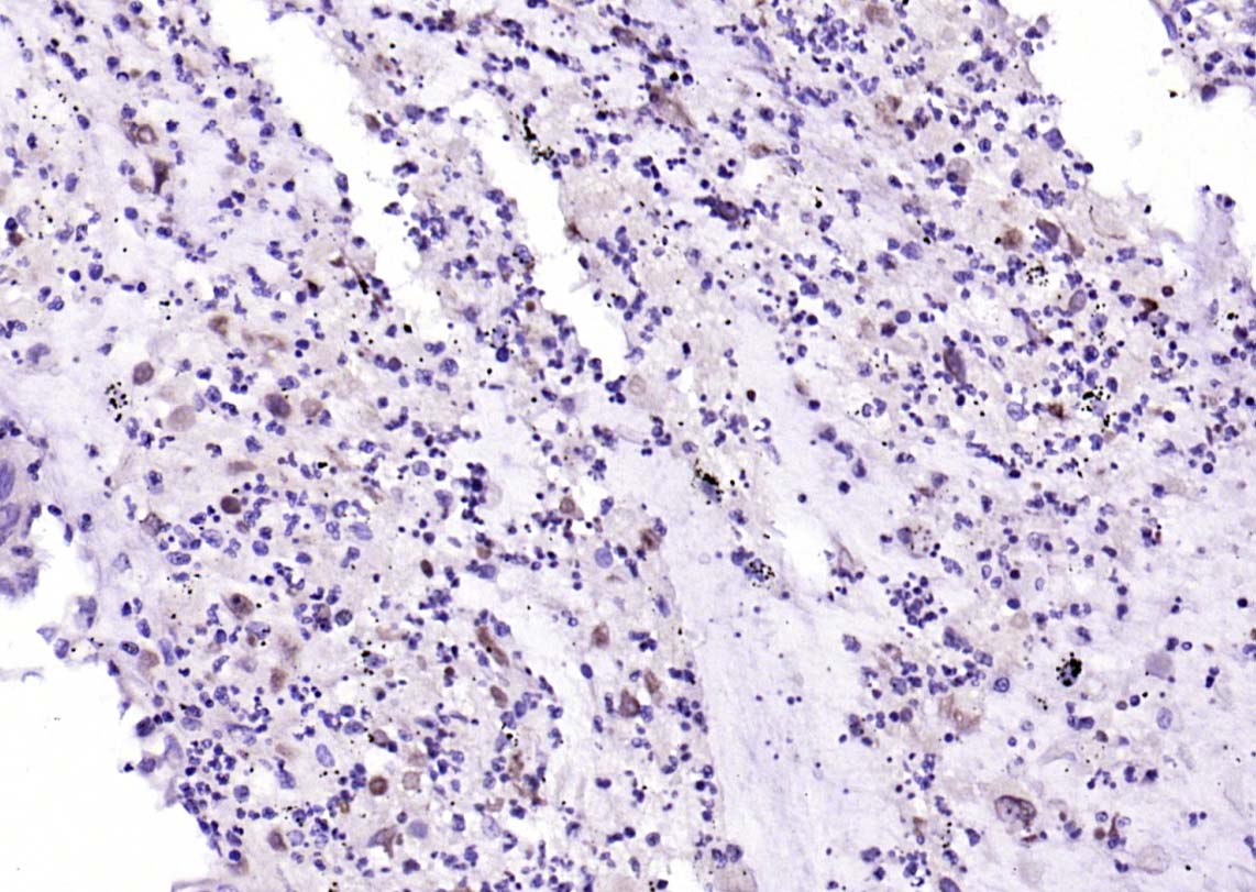
Paraformaldehyde-fixed, paraffin embedded (human lung carcinoma); Antigen retrieval by boiling in sodium citrate buffer (pH6.0) for 15min; Block endogenous peroxidase by 3% hydrogen peroxide for 20 minutes; Blocking buffer (normal goat serum) at 37°C for 30min; Antibody incubation with (FIGNL1) Polyclonal Antibody, Unconjugated (bs-9433R) at 1:200 overnight at 4°C, followed by operating according to SP Kit(Rabbit) (sp-0023) instructionsand DAB staining.
风险提示:丁香通仅作为第三方平台,为商家信息发布提供平台空间。用户咨询产品时请注意保护个人信息及财产安全,合理判断,谨慎选购商品,商家和用户对交易行为负责。对于医疗器械类产品,请先查证核实企业经营资质和医疗器械产品注册证情况。
文献和实验该产品被引用文献
[IF={{ 3.248 }}] {Chenxu Meng. et al. FIGNL1 is a potential biomarker of cisplatin resistance in non-small cell lung cancer:. INT J BIOL MARKER. 0;():} {IHC} {Human}
技术资料暂无技术资料 索取技术资料
文献支持
FIGNL1 Rabbit pAb(bs-9433R)-50ul/100ul/200ul
¥1180 - 2800







