相关产品推荐更多 >

phospho-Smad3 (Thr179) Rabbit pAb, Cy5.5 conjugated(bs-19452R-Cy5.5)-100ul
¥2980
phospho-DAPK1 (Ser308) Rabbit pAb(bs-20054R)-50ul/100ul/200ul
¥1180
EBFP Mouse mAb, Biotin conjugated(bsm-33185M-Bio)-100ul
¥2980
Desmin Rabbit pAb, HRP conjugated(bs-1026R-HRP)-100ul
¥2980
CLEC2 Rabbit pAb, PerCP-Cy7 conjugated(bs-2543R-PerCP-Cy7)-100ul
¥2980
万千商家帮你免费找货
0 人在求购买到急需产品
- 详细信息
- 文献和实验
- 技术资料
- 应用范围:
产品信息以Bioss网站为准
- 规格:
50ul/100ul/200ul
| 规格: | 50ul | 产品价格: | ¥1180.0 |
|---|---|---|---|
| 规格: | 100ul | 产品价格: | ¥1980.0 |
| 规格: | 200ul | 产品价格: | ¥2800.0 |
| 产品编号 | bs-9096R |
| 英文名称 | AER61 Rabbit pAb |
| 中文名称 | 未知糖基化转移酶AER61抗体 |
| 英文别名 | C3orf64; Uncharacterized glycosyltransferase AER61; EOGT_HUMAN. |
| 产品应用 | IHC-P=1:100-500, IHC-F=1:100-500, IF=1:50-200 Not yet tested in other applications. |
| 交叉反应 | Rat (Human, Mouse, Dog, Pig, Cow, Rabbit, Sheep) |
| 抗体来源 | Rabbit |
| 免疫原 | KLH conjugated synthetic peptide derived from human AER61 |
| 亚型 | IgG |
| 性状 | Liquid |
| 纯化方法 | affinity purified by Protein A |
| 克隆类型 | Polyclonal |
| 理论分子量 | 60 kDa |
| 浓度 | 1mg/ml |
| 储存液 | 0.01M TBS (pH7.4) with 1% BSA, 0.02% Proclin300 and 50% Glycerol. |
| 研究领域 | Cell Biology > Other Antibodies > Other Antibodies |
| 亚细胞定位 | Endoplasmic reticulum lumen |
| 相似性 | Belongs to the glycosyltransferase 61 family. |
| 功能 | Catalyzes the transfer of a single N-acetylglucosamine from UDP-GlcNAc to a serine or threonine residue in extracellular proteins resulting in their modification with a beta-linked N-acetylglucosamine (O-GlcNAc). Specifically glycosylates the Thr residue located between the fifth and sixth conserved cysteines of folded EGF-like domains (By similarity). |
| 保存条件 | Shipped at 4℃. Store at -20℃ for one year. Avoid repeated freeze/thaw cycles. |
| 注意事项 | This product as supplied is intended for research use only, not for use in human, therapeutic or diagnostic applications. |
| 背景资料 | AER61 is a 527 amino acid secreted protein that belongs to the glycosyltransferase 61 family and exists as three alternatively spliced isoforms. C3orf64 is encoded by a gene mapping to human chromosome 3p14.1. Chromosome 3 is made up of approximately 214 million bases encoding over 1,100 genes. Notably, there is a chemokine receptor gene cluster and a variety of human cancer related loci on chromosome 3. Particular regions of the chromosome 3 short arm are deleted in many types of cancer cells. Key tumor suppressing genes on chromosome 3 encode apoptosis mediator RASSF1, cell migration regulator HYAL1 and angiogenesis suppressor SEMA3B. Marfan Syndrome, porphyria, von Hippel-Lindau syndrome, osteogenesis imperfecta and Charcot-Marie-Tooth disease are a few of the numerous genetic diseases associated with chromosome 3. |
| 应用 | 推荐稀释比例 |
| {IHC-P} | {1:100-500} |
| {IHC-F} | {1:100-500} |
| {IF} | {1:50-200} |

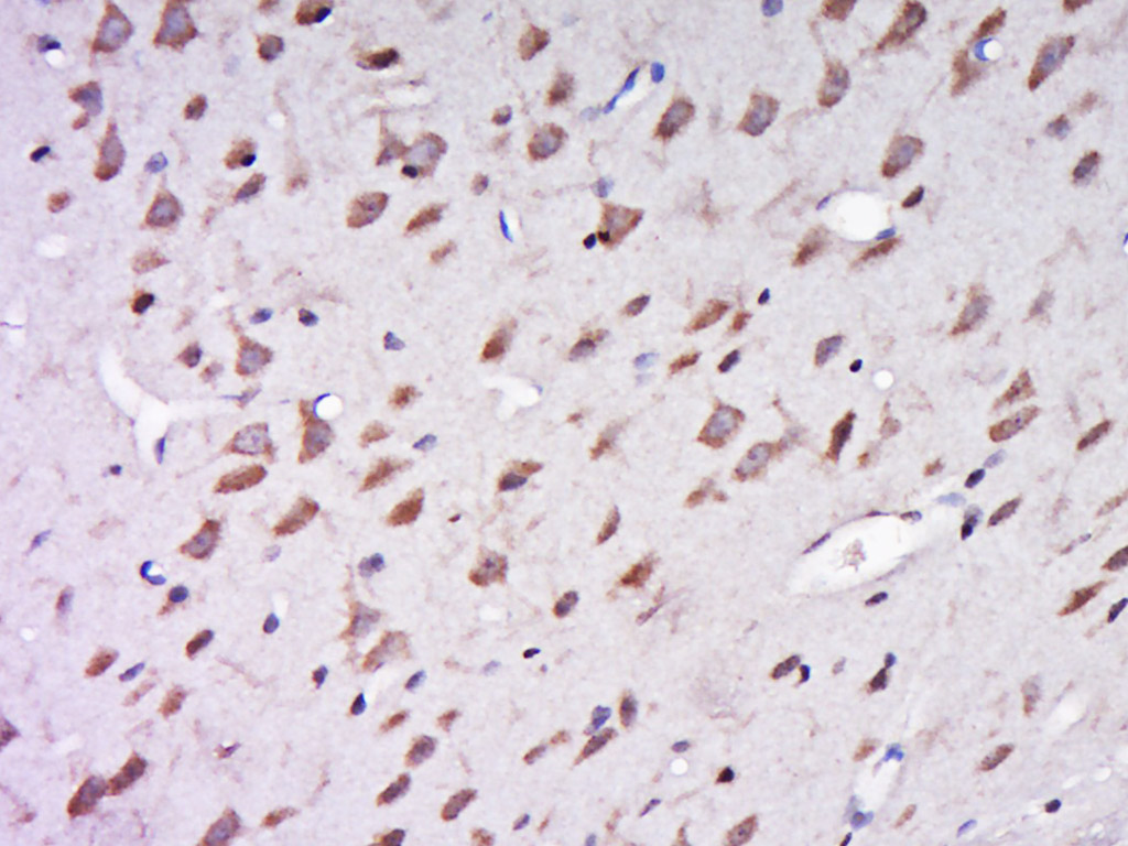
Antigen retrieval: citrate buffer ( 0.01M, pH 6.0 ), Boiling bathing for 15min; Block endogenous peroxidase by 3% Hydrogen peroxide for 30min; Blocking buffer (normal goat serum,C-0005) at 37℃ for 20 min;
Incubation: Anti-AER61 Polyclonal Antibody, Unconjugated(bs-9096R) 1:500, overnight at 4°C, followed by conjugation to the secondary antibody(SP-0023) and DAB(C-0010) staining
风险提示:丁香通仅作为第三方平台,为商家信息发布提供平台空间。用户咨询产品时请注意保护个人信息及财产安全,合理判断,谨慎选购商品,商家和用户对交易行为负责。对于医疗器械类产品,请先查证核实企业经营资质和医疗器械产品注册证情况。
文献和实验= NAL), appears to form upon oxidative cyclization of the nonfluorescent 2:1 lysine-HNE Michael adduct-Schiff base cross-link (Scheme 1). Polyclonal antibody (PAb) to the NAL-HNE fluorophore was raised in rabbit and found to be highly specific
GE Healthcare Benzamidine Sepharose™ 6B is p-aminobenzamidine covalently attached to Sepharose 6B by the epoxy coupling method. p-Aminobenzamidine (PAB), is a synthetic inhibitor of trypsin-like serine protease. Trypsin and trypsin
Functional Characterization of Proteins Regulating Actin Assembly
Protocol 7: Measurements of the Treadmilling of Actin Filaments Support Protocol 1: Actin Purification from Rabbit Muscle Support Protocol 2: Preparation of Pyrenyl‐Labeled Actin Support
技术资料暂无技术资料 索取技术资料





