相关产品推荐更多 >

ATG12 Rabbit pAb, AP conjugated(bs-22080R-AP)-100ul
¥2980
Drosha Rabbit pAb(bs-13033R)-50ul/100ul/200ul
¥1180
ENT1 Rabbit pAb, AP conjugated(bs-13077R-AP)-100ul
¥2980
Integrin Alpha V + Beta 1 Rabbit pAb, HRP conjugated(bs-2016R-HRP)-100ul
¥2980
GAD65 + GAD67 Rabbit pAb, BF680 conjugated(bs-13263R-BF680)-100ul
¥2980
万千商家帮你免费找货
0 人在求购买到急需产品
- 详细信息
- 文献和实验
- 技术资料
- 应用范围:
产品信息以Bioss网站为准
- 规格:
50ul/100ul/200ul
| 规格: | 50ul | 产品价格: | ¥1180.0 |
|---|---|---|---|
| 规格: | 100ul | 产品价格: | ¥1980.0 |
| 规格: | 200ul | 产品价格: | ¥2800.0 |
| 产品编号 | bs-8492R |
| 英文名称 | FBH1 Rabbit pAb |
| 中文名称 | F-box蛋白家族FBXO18抗体 |
| 英文别名 | Fbx18; FLJ14590; MGC131916; MGC141935; MGC141937; F box DNA helicase 1; F box only protein 18; F box protein, helicase, 18; F-box only protein 18, F-box DNA helicase 1; FBX18_HUMAN. |
| 产品应用 | IHC-P=1:100-500, IHC-F=1:100-500, IF=1:100-500 Not yet tested in other applications. |
| 交叉反应 | Rat (Human, Mouse, Dog, Horse) |
| 抗体来源 | Rabbit |
| 免疫原 | KLH conjugated synthetic peptide derived from human FBXO18 |
| 亚型 | IgG |
| 性状 | Liquid |
| 纯化方法 | affinity purified by Protein A |
| 克隆类型 | Polyclonal |
| 理论分子量 | 118 kDa |
| 浓度 | 1mg/ml |
| 储存液 | 0.01M TBS (pH7.4) with 1% BSA, 0.02% Proclin300 and 50% Glycerol. |
| 研究领域 | Cell Biology > Proteolysis / Ubiquitin > Proteasome / Ubiquitin > Ubiquitin E3 Enzymes > SCF Complex E3 Ligase Epigenetics and Nuclear Signaling > Chromatin Binding Proteins > DNA / RNA binding |
| 亚基 | Part of a SCF E3 ubiquitin ligase complex consisting of SKP1, CUL1, RBX1 and FBXO18. Interacts with SKP1. |
| 亚细胞定位 | Nuclear |
| 相似性 | Belongs to the helicase family. UvrD subfamily. Contains 1 F-box domain. |
| 功能 | DNA-dependent ATPase. Unwinds double-stranded DNA in a 3' to 5' direction. Probably recognizes and binds to some phosphorylated proteins and promotes their ubiquitination and degradation. |
| 保存条件 | Shipped at 4℃. Store at -20℃ for one year. Avoid repeated freeze/thaw cycles. |
| 注意事项 | This product as supplied is intended for research use only, not for use in human, therapeutic or diagnostic applications. |
| 背景资料 | FBXO18 belongs to the F-box protein family, whose members share the F-box, an approximately 40 amino acid motif. It has both DNA-dependent ATPase and DNA unwinding activities.FBXO18 is a 1,043 amino acid protein encoded by the human gene FBXO18. FBXO18 belongs to the helicase family (UvrD subfamily) and contains one F-box domain. This nuclear protein is a DNA-dependent ATPase that unwinds double-stranded DNA in a 3' to 5' direction. FBXO18 also recognizes and binds to a variety of phosphorylated proteins and promotes their ubiquitination and degradation. It also interacts with Skp1 in the SCF E3 ubiquitin ligase complex consisting of Skp1, CUL-1, Rbx1 and FBXO18. |
| 应用 | 推荐稀释比例 |
| {IHC-P} | {1:100-500} |
| {IHC-F} | {1:100-500} |
| {IF} | {1:100-500} |

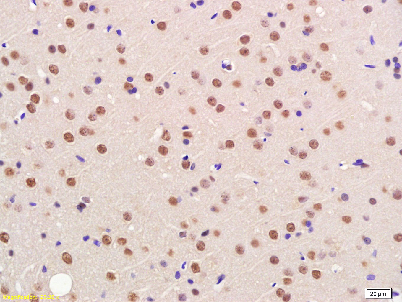
Antigen retrieval: citrate buffer ( 0.01M, pH 6.0 ), Boiling bathing for 15min; Block endogenous peroxidase by 3% Hydrogen peroxide for 30min; Blocking buffer (normal goat serum,C-0005) at 37℃ for 20 min;
Incubation: Anti-FBXO18 Polyclonal Antibody, Unconjugated(bs-8492R) 1:200, overnight at 4°C, followed by conjugation to the secondary antibody(SP-0023) and DAB(C-0010) staining
风险提示:丁香通仅作为第三方平台,为商家信息发布提供平台空间。用户咨询产品时请注意保护个人信息及财产安全,合理判断,谨慎选购商品,商家和用户对交易行为负责。对于医疗器械类产品,请先查证核实企业经营资质和医疗器械产品注册证情况。
文献和实验= NAL), appears to form upon oxidative cyclization of the nonfluorescent 2:1 lysine-HNE Michael adduct-Schiff base cross-link (Scheme 1). Polyclonal antibody (PAb) to the NAL-HNE fluorophore was raised in rabbit and found to be highly specific
GE Healthcare Benzamidine Sepharose™ 6B is p-aminobenzamidine covalently attached to Sepharose 6B by the epoxy coupling method. p-Aminobenzamidine (PAB), is a synthetic inhibitor of trypsin-like serine protease. Trypsin and trypsin
Nucleic Acid Programmable Protein Arrays: Versatile Tools for Array‐Based Functional Protein Studies
.g., Sigma) 50 mg/ml bis‐sulfosuccinimdylsuberate (BS3 ;Pierce, cat. no. PI 21580) in dimethylsulfoxide (DMSO) 5 mg/ml
技术资料暂无技术资料 索取技术资料





