相关产品推荐更多 >

Anti-4-1BB & TPBG/5t4 Reference Antibody (Apv-527 Biosimilar)(BIO1017SM)-100ug/1mg/5mg
¥4320
KIF26A Rabbit pAb(bs-17053R)-50ul/100ul/200ul
¥1180
phospho-MST4 (Thr190) Rabbit pAb, Biotin conjugated(bs-10682R-Bio)-100ul
¥2980
CALU Rabbit pAb, HRP conjugated(bs-6658R-HRP)-100ul
¥2980
PPV VP2 Rabbit pAb, HRP conjugated(bs-41390R-HRP)-100ul
¥2980
万千商家帮你免费找货
0 人在求购买到急需产品
- 详细信息
- 文献和实验
- 技术资料
- 应用范围:
产品信息以Bioss网站为准
- 规格:
50ul/100ul/200ul
| 规格: | 50ul | 产品价格: | ¥1180.0 |
|---|---|---|---|
| 规格: | 100ul | 产品价格: | ¥1980.0 |
| 规格: | 200ul | 产品价格: | ¥2800.0 |
| 产品编号 | bs-6245R |
| 英文名称 | Wnt8b Rabbit pAb |
| 中文名称 | WNT蛋白家族Wnt8b抗体 |
| 英文别名 | Protein Wnt-8b; Wingless related MMTV integration site 8b; Wingless type MMTV integration site family, member 8B; Wnt 8b; Wnt8 b; Wnt8b; WNT8B_HUMAN. |
| 产品应用 | WB=1:500-2000, IHC-P=1:100-500, IHC-F=1:100-500, IF=1:100-500 Not yet tested in other applications. |
| 交叉反应 | Human, Mouse, Rat (Pig) |
| 抗体来源 | Rabbit |
| 免疫原 | KLH conjugated synthetic peptide derived from human Wnt8b |
| 亚型 | IgG |
| 性状 | Liquid |
| 纯化方法 | affinity purified by Protein A |
| 克隆类型 | Polyclonal |
| 理论分子量 | 36 kDa |
| 浓度 | 1mg/ml |
| 储存液 | 0.01M TBS (pH7.4) with 1% BSA, 0.02% Proclin300 and 50% Glycerol. |
| 研究领域 | Cancer > Signal transduction Neuroscience > Neurology process > Neural Signal Transduction Neuroscience > Neurology process > Neurogenesis Stem Cells > Signaling Pathways > Wnt > Secreted |
| 亚细胞定位 | Secreted |
| 组织特异性 | Expression is restricted to the brain, and more specifically to the forebrain. |
| 相似性 | Belongs to the Wnt family. |
| 功能 | Ligand for members of the frizzled family of seven transmembrane receptors. May play an important role in the development and differentiation of certain forebrain structures, notably the hippocampus. |
| 保存条件 | Shipped at 4℃. Store at -20℃ for one year. Avoid repeated freeze/thaw cycles. |
| 注意事项 | This product as supplied is intended for research use only, not for use in human, therapeutic or diagnostic applications. |
| 背景资料 | The WNT gene family consists of structurally related genes which encode secreted signaling proteins. These proteins have been implicated in oncogenesis and in several developmental processes, including regulation of cell fate and patterning during embryogenesis. This gene is a member of the WNT gene family. It encodes a protein which shows 95%, 86% and 71% amino acid identity to the mouse, zebrafish and Xenopus Wnt8B proteins, respectively. The expression patterns of the human and mouse genes appear identical and are restricted to the developing brain. The chromosomal location of this gene to 10q24 suggests it as a candidate gene for partial epilepsy. |
| 应用 | 推荐稀释比例 |
| {WB} | {1:500-2000} |
| {IHC-P} | {1:100-500} |
| {IHC-F} | {1:100-500} |
| {IF} | {1:100-500} |

Ovary (Mouse) Lysate at 40 ug
Primary: Anti- Wnt8b (bs-6245R) at 1/1000 dilution
Secondary: IRDye800CW Goat Anti-Rabbit IgG at 1/20000 dilution
Predicted band size: 36 kD
Observed band size: 36 kD

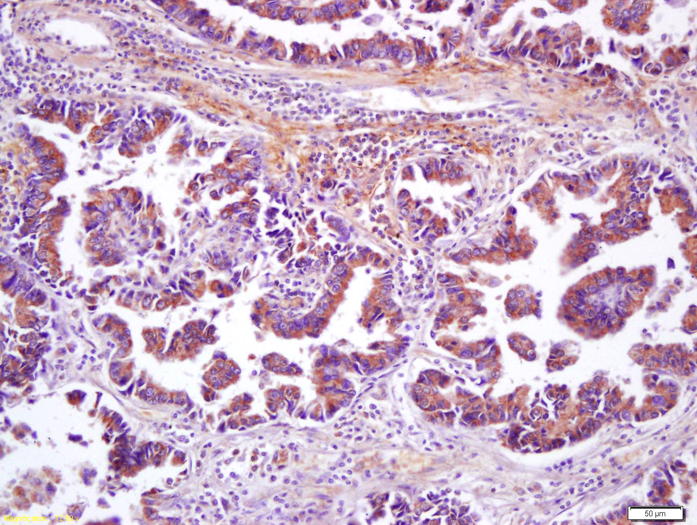
Antigen retrieval: citrate buffer ( 0.01M, pH 6.0 ), Boiling bathing for 15min; Block endogenous peroxidase by 3% Hydrogen peroxide for 30min; Blocking buffer (normal goat serum,C-0005) at 37℃ for 20 min;
Incubation: Anti-Wnt8b Polyclonal Antibody, Unconjugated(bs-6245R) 1:200, overnight at 4°C, followed by conjugation to the secondary antibody(SP-0023) and DAB(C-0010) staining

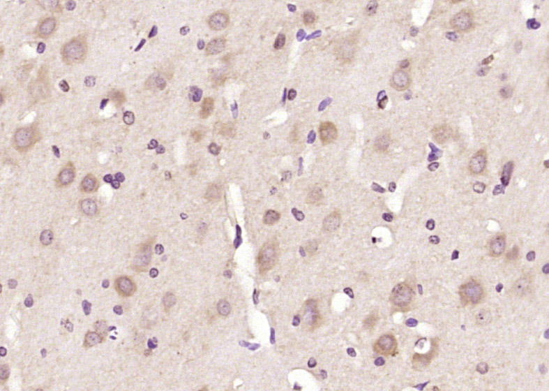
Primary: Anti-Wnt8b (bs-6245R) at 1/300 dilution
Secondary: HRP conjugated Goat-Anti-rabbit IgG (bs-0295G-HRP) at 1/5000 dilution
Predicted band size: 36 kD
Observed band size: 48 kD


风险提示:丁香通仅作为第三方平台,为商家信息发布提供平台空间。用户咨询产品时请注意保护个人信息及财产安全,合理判断,谨慎选购商品,商家和用户对交易行为负责。对于医疗器械类产品,请先查证核实企业经营资质和医疗器械产品注册证情况。
文献和实验= NAL), appears to form upon oxidative cyclization of the nonfluorescent 2:1 lysine-HNE Michael adduct-Schiff base cross-link (Scheme 1). Polyclonal antibody (PAb) to the NAL-HNE fluorophore was raised in rabbit and found to be highly specific
GE Healthcare Benzamidine Sepharose™ 6B is p-aminobenzamidine covalently attached to Sepharose 6B by the epoxy coupling method. p-Aminobenzamidine (PAB), is a synthetic inhibitor of trypsin-like serine protease. Trypsin and trypsin
Nucleic Acid Programmable Protein Arrays: Versatile Tools for Array‐Based Functional Protein Studies
.g., Sigma) 50 mg/ml bis‐sulfosuccinimdylsuberate (BS3 ;Pierce, cat. no. PI 21580) in dimethylsulfoxide (DMSO) 5 mg/ml
技术资料暂无技术资料 索取技术资料






