相关产品推荐更多 >

Pet1 Rabbit pAb(bs-11933R)-50ul/100ul/200ul
¥1180
HER2 Rabbit pAb, PerCP-Cy7 conjugated(bs-2048R-PerCP-Cy7)-100ul
¥2980
PCGF4/BMI1 Rabbit pAb, BF350 conjugated(bs-2999R-BF350)-100ul
¥2980
phospho-P53 (Thr55) Rabbit pAb, Biotin conjugated(bs-5596R-Bio)-100ul
¥2980
HES1 Rabbit pAb(bs-41372R)-50ul/100ul/200ul
¥1180
万千商家帮你免费找货
0 人在求购买到急需产品
- 详细信息
- 文献和实验
- 技术资料
- 应用范围:
产品信息以Bioss网站为准
- 规格:
50ul/100ul/200ul
| 规格: | 50ul | 产品价格: | ¥1180.0 |
|---|---|---|---|
| 规格: | 100ul | 产品价格: | ¥1980.0 |
| 规格: | 200ul | 产品价格: | ¥2800.0 |
| 产品编号 | bs-5987R |
| 英文名称 | ARL11 Rabbit pAb |
| 中文名称 | ADP核糖基化因子样11抗体 |
| 英文别名 | ADP ribosylation factor like 11; ADP ribosylation factor like protein 11; ADP ribosylation factor like tumor suppressor protein 1; ADP-ribosylation factor-like protein 11; ADP-ribosylation factor-like tumor suppressor protein 1; ARL11; ARL11_HUMAN; ARLTS1. |
| 产品应用 | IHC-P=1:100-500, IHC-F=1:100-500, IF=1:100-500 Not yet tested in other applications. |
| 交叉反应 | Mouse (Human, Rat, Pig, Cow) |
| 抗体来源 | Rabbit |
| 免疫原 | KLH conjugated synthetic peptide derived from human ARL11 |
| 亚型 | IgG |
| 性状 | Liquid |
| 纯化方法 | affinity purified by Protein A |
| 克隆类型 | Polyclonal |
| 理论分子量 | 21 kDa |
| 浓度 | 1mg/ml |
| 储存液 | 0.01M TBS (pH7.4) with 1% BSA, 0.02% Proclin300 and 50% Glycerol. |
| 研究领域 | Cancer > Oncoproteins/suppressors > Tumor suppressors Cancer > Signal transduction > G protein signaling > Small G proteins > Ras family Signal Transduction > Signaling Pathway > G Protein Signaling > Small G Proteins > Ras Family |
| 组织特异性 | Expressed in lung and leukocytes. |
| 相似性 | Belongs to the small GTPase superfamily. Arf family. |
| 功能 | May play a role in apoptosis. May act as a tumor suppressor. |
| 保存条件 | Shipped at 4℃. Store at -20℃ for one year. Avoid repeated freeze/thaw cycles. |
| 注意事项 | This product as supplied is intended for research use only, not for use in human, therapeutic or diagnostic applications. |
| 背景资料 | This gene encodes a tumor suppressor related to the ADP-ribosylation factor (ARF) family of proteins. The encoded protein may play a role in apoptosis in a caspase-dependent manner. Polymorphisms in this gene have been associated with some familial cancers. [provided by RefSeq, May 2010]. |
| 应用 | 推荐稀释比例 |
| {IHC-P} | {1:100-500} |
| {IHC-F} | {1:100-500} |
| {IF} | {1:100-500} |

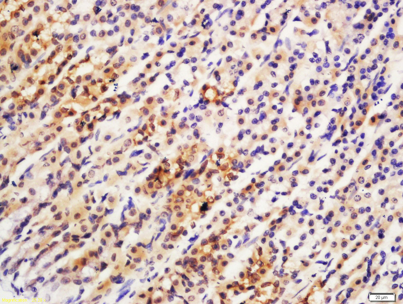
Antigen retrieval: citrate buffer ( 0.01M, pH 6.0 ), Boiling bathing for 15min; Block endogenous peroxidase by 3% Hydrogen peroxide for 30min; Blocking buffer (normal goat serum,C-0005) at 37℃ for 20 min;
Incubation: Anti-ARL11 Polyclonal Antibody, Unconjugated(bs-5987R) 1:200, overnight at 4°C, followed by conjugation to the secondary antibody(SP-0023) and DAB(C-0010) staining
风险提示:丁香通仅作为第三方平台,为商家信息发布提供平台空间。用户咨询产品时请注意保护个人信息及财产安全,合理判断,谨慎选购商品,商家和用户对交易行为负责。对于医疗器械类产品,请先查证核实企业经营资质和医疗器械产品注册证情况。
文献和实验[IF={{ 4.46 }}] {Alexa Murray. et al. Farnesoid X receptor regulates lung macrophage activation and injury following nitrogen mustard exposure. TOXICOL APPL PHARM. 2022 Aug;:116208} {IHC} {Mouse}
[IF={{ 2.145 }}] {Sunil VR et al. Sarcoid-Like Granulomatous Disease: Pathologic Case Series in World Trade Center DustExposed Rescue and Recovery Workers.Int J Environ Res Public Health. 2019 Mar 6;16(5).} {IHC} {Human}
技术资料暂无技术资料 索取技术资料





