相关产品推荐更多 >

TMEM176A Rabbit pAb, AP conjugated(bs-13622R-AP)-100ul
¥2980
PU.1/Spi1 Rabbit pAb(bs-19594R)-50ul/100ul/200ul
¥1180
E cadherin Rabbit pAb, BF405 conjugated(bs-1519R-BF405)-100ul
¥2980
Arginase 1 Rabbit pAb, PerCP-Cy5.5 conjugated(bs-8585R-PerCP-Cy5.5)-100ul
¥2980
ATIC/PURH Rabbit pAb, AP conjugated(bs-12544R-AP)-100ul
¥2980
万千商家帮你免费找货
0 人在求购买到急需产品
- 详细信息
- 文献和实验
- 技术资料
- 应用范围:
产品信息以Bioss网站为准
- 规格:
50ul/100ul/200ul
| 规格: | 50ul | 产品价格: | ¥1180.0 |
|---|---|---|---|
| 规格: | 100ul | 产品价格: | ¥1980.0 |
| 规格: | 200ul | 产品价格: | ¥2800.0 |
| 产品编号 | bs-4260R |
| 英文名称 | XPB Rabbit pAb |
| 中文名称 | DNA损伤修复酶ERCC3蛋白抗体 |
| 英文别名 | Basic transcription factor 2 89 kDa subunit; BTF 2; BTF2; BTF2 p89; DNA excision repair protein ERCC-3; DNA repair protein complementing XP-B cells; ERCC 3; ERCC3; ERCC3_HUMAN; Excision Repair Cross-complementing Rodent Repair deficiency complementation Group 3; GTF2H; RAD 25; RAD25; TFIIH 89 kDa subunit; TFIIH antibody TFIIH basal transcription factor complex 89 kDa subunit; TFIIH basal transcription factor complex helicase XPB subunit; TFIIH p89; Xeroderma pigmentosum group B-complementing protein. |
| 产品应用 | IHC-P=1:100-500, IHC-F=1:100-500, IF=1:100-500 Not yet tested in other applications. |
| 交叉反应 | Human, Rat (Mouse, Chicken, Dog, Pig, Cow, Horse, Rabbit) |
| 抗体来源 | Rabbit |
| 免疫原 | KLH conjugated synthetic peptide derived from human XPB/ERCC3 |
| 亚型 | IgG |
| 性状 | Liquid |
| 纯化方法 | affinity purified by Protein A |
| 克隆类型 | Polyclonal |
| 理论分子量 | 89 kDa |
| 浓度 | 1mg/ml |
| 储存液 | 0.01M TBS (pH7.4) with 1% BSA, 0.02% Proclin300 and 50% Glycerol. |
| 研究领域 | Cancer > Cancer Metabolism > Response to hypoxia Epigenetics and Nuclear Signaling > DNA / RNA > DNA Damage & Repair > Nucl. Excision Repair Metabolism > Pathways and Processes > Metabolic signaling pathways > Nucleotide metabolism > Purine and pyrimidine synthesis Metabolism > Pathways and Processes > Metabolism processes > Hypoxia |
| 相似性 | Belongs to the helicase family. RAD25/XPB subfamily. Contains 1 helicase ATP-binding domain. Contains 1 helicase C-terminal domain. |
| 功能 | ATP-dependent 3'-5' DNA helicase, component of the core-TFIIH basal transcription factor, involved in nucleotide excision repair (NER) of DNA and, when complexed to CAK, in RNA transcription by RNA polymerase II. Acts by opening DNA either around the RNA transcription start site or the DNA damage. |
| 保存条件 | Shipped at 4℃. Store at -20℃ for one year. Avoid repeated freeze/thaw cycles. |
| 注意事项 | This product as supplied is intended for research use only, not for use in human, therapeutic or diagnostic applications. |
| 背景资料 | Initiation of transcription from protein-coding genes in eukaryotes is a complex process that requires RNA polymerase II, as well as families of basal transcription factors. Binding of the factor TFIID (TBP) to the TATA box is believed to be the first step in the formation of a multiprotein complex containing several additional factors, including TFIIA, TFIIB, TFIIE, TFIIF and TFIIH. TFIIH (or BTF2) is a multisubunit transcription/DNA repair factor that possesses several enzymatic activities. The core of TFIIH is composed of 5 subunits, designated p89 (XPB or ERCC3), p62, p52, p44 and p34. Additional subunits of the TFIIH complex are p80 (XPD or ERCC2) and the ternary kinase complex composed of Cdk7, cyclin H and MAT1. Both p89 and p80 have ATP-dependent helicase activity. The p62, p52 and p44 subunits have been shown to be involved in nucleotide excision repair. |
| 应用 | 推荐稀释比例 |
| {IHC-P} | {1:100-500} |
| {IHC-F} | {1:100-500} |
| {IF} | {1:100-500} |

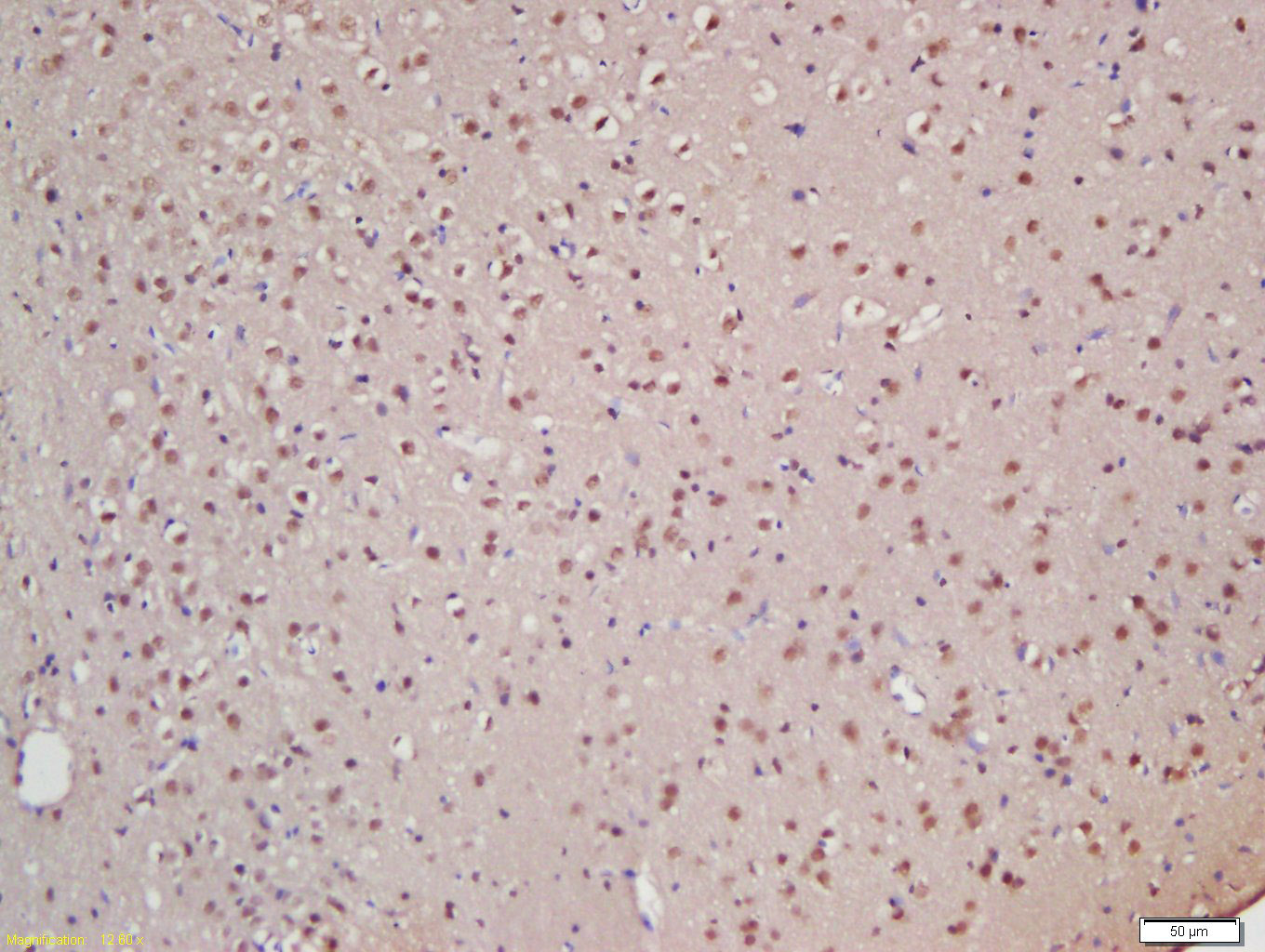
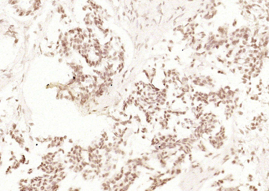
Antigen retrieval: citrate buffer ( 0.01M, pH 6.0 ), Boiling bathing for 15min; Block endogenous peroxidase by 3% Hydrogen peroxide for 30min; Blocking buffer (normal goat serum,C-0005) at 37℃ for 20 min;
Incubation: Anti-XPB Polyclonal Antibody, Unconjugated(bs-4260R) 1:200, overnight at 4°C, followed by conjugation to the secondary antibody(SP-0023) and DAB(C-0010) staining

风险提示:丁香通仅作为第三方平台,为商家信息发布提供平台空间。用户咨询产品时请注意保护个人信息及财产安全,合理判断,谨慎选购商品,商家和用户对交易行为负责。对于医疗器械类产品,请先查证核实企业经营资质和医疗器械产品注册证情况。
文献和实验= NAL), appears to form upon oxidative cyclization of the nonfluorescent 2:1 lysine-HNE Michael adduct-Schiff base cross-link (Scheme 1). Polyclonal antibody (PAb) to the NAL-HNE fluorophore was raised in rabbit and found to be highly specific
GE Healthcare Benzamidine Sepharose™ 6B is p-aminobenzamidine covalently attached to Sepharose 6B by the epoxy coupling method. p-Aminobenzamidine (PAB), is a synthetic inhibitor of trypsin-like serine protease. Trypsin and trypsin
Nucleic Acid Programmable Protein Arrays: Versatile Tools for Array‐Based Functional Protein Studies
.g., Sigma) 50 mg/ml bis‐sulfosuccinimdylsuberate (BS3 ;Pierce, cat. no. PI 21580) in dimethylsulfoxide (DMSO) 5 mg/ml
技术资料暂无技术资料 索取技术资料






