相关产品推荐更多 >

HMGB1 Rabbit pAb, APC-Cy7 conjugated(bs-0664R-APC-Cy7)-100ul
¥2980
MX1 Rabbit pAb, AP conjugated(bs-10984R-AP)-100ul
¥2980
SIGLEC6 Rabbit pAb(bs-2704R)-50ul/100ul/200ul
¥1180
TPM4 Rabbit pAb, Cy5.5 conjugated(bs-17169R-Cy5.5)-100ul
¥2980
Apolipoprotein E Rabbit pAb, FITC conjugated(bs-4892R-FITC)-100ul
¥2980
万千商家帮你免费找货
0 人在求购买到急需产品
- 详细信息
- 文献和实验
- 技术资料
- 应用范围:
产品信息以Bioss网站为准
- 规格:
50ul/100ul/200ul
| 规格: | 50ul | 产品价格: | ¥1180.0 |
|---|---|---|---|
| 规格: | 100ul | 产品价格: | ¥1980.0 |
| 规格: | 200ul | 产品价格: | ¥2800.0 |
| 产品编号 | bs-3394R |
| 英文名称 | phospho-MEK4 (Ser257 + Thr261) Rabbit pAb |
| 中文名称 | 磷酸化丝裂原活化蛋白激酶激酶4抗体 |
| 英文别名 | MEK4(phospho S257+T261); SEK1/MKK4(phospho-Ser257+Thr261); MAP2K4(phospho S257+T261); MKK4(phospho Ser257+Thr261); p-MKK4(Ser257+Thr261); c Jun N terminal kinase kinase 1; c-Jun N-terminal kinase kinase 1; c-Jun N-terminal kinase kinase 1; Dual specificity mitogen activated protein kinase kinase 4; Dual specificity mitogen activated protein kinase kinase 4; Dual specificity mitogen-activated protein kinase kinase 4; JNK activated kinase 1; JNK Activated Kinase 1; JNK activating kinase 1; JNK activating kinase 1; JNK-activating kinase 1; JNKK 1; JNKK; JNKK; JNKK-1; JNKK-1; JNKK1; JNKK1; MAP kinase kinase 4; MAP kinase kinase 4; MAP2K4; MAPK/ERK kinase 4; MAPK/ERK kinase 4; MAPK ERK kinase 4; MAPK/ERK kinase 4; MAPKK 4; MAPKK 4; MAPKK-4; MAPKK-4; MAPKK4; MAPKK4; MEK 4; MEK 4; MEK-4; MEK-4; MEK4; Mitogen Activated Protein Kinase Kinase 4; MKK 4; MKK-4; MKK-4; MKK4; MKK4; MP2K4_HUMAN; PRKMK 4; PRKMK 4; PRKMK-4; PRKMK-4; PRKMK4; PRKMK4; SAPK/ERK kinase 1; SAPK/ERK kinase 1; SAPK ERK kinase 1; SAPK/ERK Kinase 1; SEK 1; SEK1; SEK1; SERK 1; SERK-1; SERK-1; SERK1; SERK1 |
| 产品应用 | WB=1:500-2000, IHC-P=1:100-500, IHC-F=1:100-500, IF=1:100-500 Not yet tested in other applications. |
| 交叉反应 | Human, Mouse (Rat, Chicken, Dog, Pig, Cow, Horse, Rabbit) |
| 抗体来源 | Rabbit |
| 免疫原 | KLH conjugated Synthesised phosphopeptide derived from human SEK1/MKK4 around the phosphorylation site of Ser257/Thr261 |
| 亚型 | IgG |
| 性状 | Liquid |
| 纯化方法 | affinity purified by Protein A |
| 克隆类型 | Polyclonal |
| 理论分子量 | 44 kDa |
| 浓度 | 1mg/ml |
| 储存液 | 0.01M TBS (pH7.4) with 1% BSA, 0.02% Proclin300 and 50% Glycerol. |
| 研究领域 | Signal Transduction > Protein Phosphorylation > Ser / Thr Kinases > MAPK Pathway |
| 亚基 | Interacts with SPAG9 (By similarity). Interacts (via its D domain) with its substrates MAPK8/JNK1, MAPK9/JNK2, MAPK10/JNK3, MAPK11 and MAPK14. Interacts (via its DVD domain) with MAP3Ks activators like MAP3K1/MEKK1 and MAP3K11/MLK3. Interacts with ARRB1, ARRB2 and MAPK8IP3/JIP3. |
| 亚细胞定位 | Cytoplasm. Nucleus. |
| 组织特异性 | Abundant expression is seen in the skeletal muscle. It is also widely expressed in other tissues. |
| 翻译后修饰 | Activated by phosphorylation on Ser-257 and Thr-261 by MAP kinase kinase kinases (MAP3Ks). |
| 相似性 | Belongs to the protein kinase superfamily. STE Ser/Thr protein kinase family. MAP kinase kinase subfamily. Contains 1 protein kinase domain. |
| 功能 | Dual specificity protein kinase which acts as an essential component of the MAP kinase signal transduction pathway. Essential component of the stress-activated protein kinase/c-Jun N-terminal kinase (SAP/JNK) signaling pathway. With MAP2K7/MKK7, is the one of the only known kinase to directly activate the stress-activated protein kinase/c-Jun N-terminal kinases MAPK8/JNK1, MAPK9/JNK2 and MAPK10/JNK3. MAP2K4/MKK4 and MAP2K7/MKK7 both activate the JNKs by phosphorylation, but they differ in their preference for the phosphorylation site in the Thr-Pro-Tyr motif. MAP2K4 shows preference for phosphorylation of the Tyr residue and MAP2K7/MKK7 for the Thr residue. The phosphorylation of the Thr residue by MAP2K7/MKK7 seems to be the prerequisite for JNK activation at least in response to proinflammatory cytokines, while other stimuli activate both MAP2K4/MKK4 and MAP2K7/MKK7 which synergistically phosphorylate JNKs. MAP2K4 is required for maintaining peripheral lymphoid homeostasis. The MKK/JNK signaling pathway is also involved in mitochondrial death signaling pathway, including the release cytochrome c, leading to apoptosis. Whereas MAP2K7/MKK7 exclusively activates JNKs, MAP2K4/MKK4 additionally activates the p38 MAPKs MAPK11, MAPK12, MAPK13 and MAPK14. |
| 保存条件 | Shipped at 4℃. Store at -20℃ for one year. Avoid repeated freeze/thaw cycles. |
| 注意事项 | This product as supplied is intended for research use only, not for use in human, therapeutic or diagnostic applications. |
| 背景资料 | This gene encodes a member of the mitogen-activated protein kinase (MAPK) family. Members of this family act as an integration point for multiple biochemical signals and are involved in a wide variety of cellular processes such as proliferation, differentiation, transcription regulation, and development. They form a three-tiered signaling module composed of MAPKKKs, MAPKKs, and MAPKs. This protein is phosphorylated at serine and threonine residues by MAPKKKs and subsequently phosphorylates downstream MAPK targets at threonine and tyrosine residues. A similar protein in mouse has been reported to play a role in liver organogenesis. A pseudogene of this gene is located on the long arm of chromosome X. Alternative splicing results in multiple transcript variants. [provided by RefSeq, Jul 2013] |
| 应用 | 推荐稀释比例 |
| {WB} | {1:500-2000} |
| {IHC-P} | {1:100-500} |
| {IHC-F} | {1:100-500} |
| {IF} | {1:100-500} |

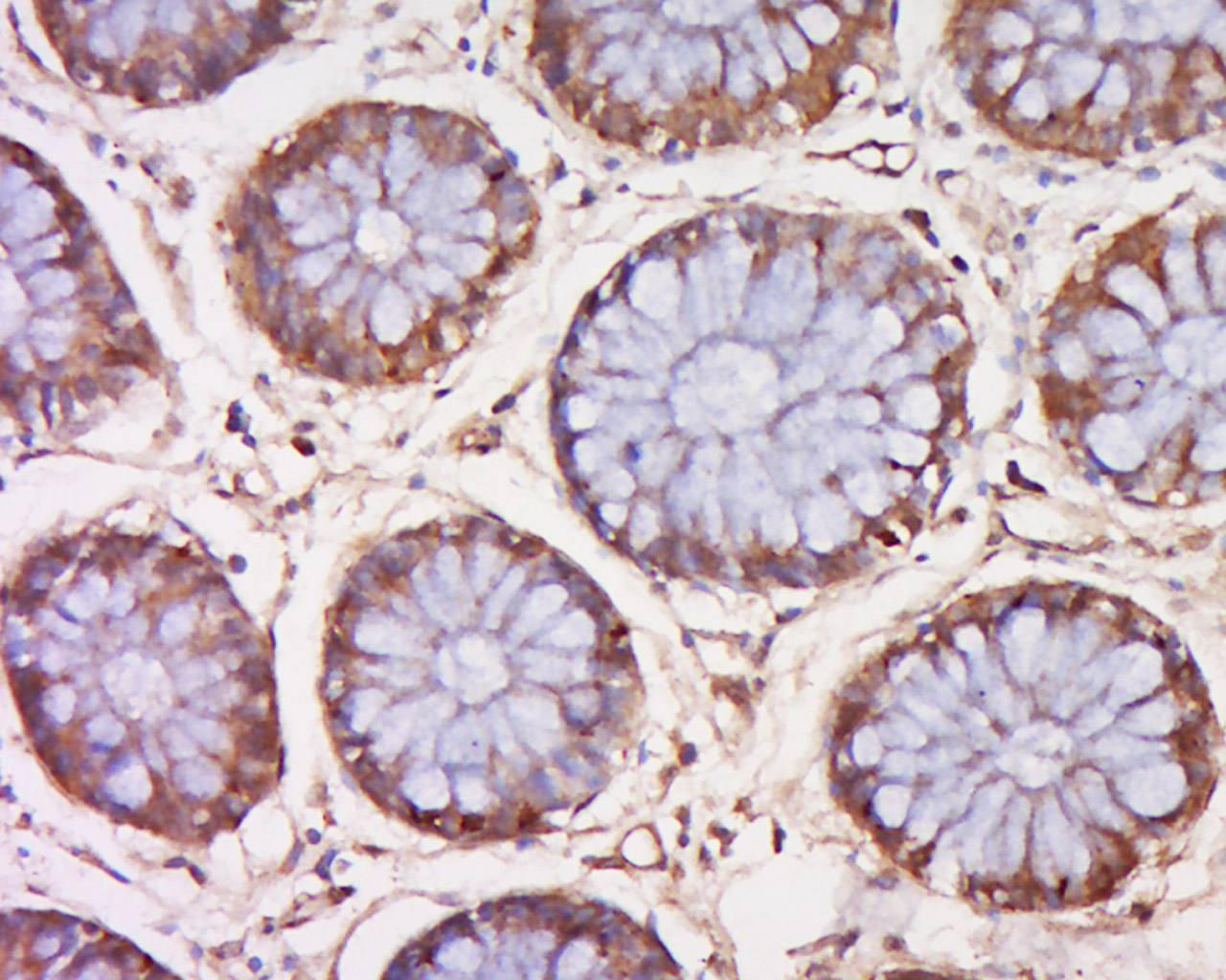
Antigen retrieval: citrate buffer ( 0.01M, pH 6.0 ), Boiling bathing for 15min; Block endogenous peroxidase by 3% Hydrogen peroxide for 30min; Blocking buffer (normal goat serum,C-0005) at 37℃ for 20 min;
Incubation: Anti-MEK4 Polyclonal Antibody, Unconjugated(bs-3394R) 1:500, overnight at 4°C, followed by conjugation to the secondary antibody(SP-0023) and DAB(C-0010) staining

Primary: Anti- p-MEK4(Ser257+Thr261) (bs-3394R) at 1/300 dilution
Secondary: IRDye800CW Goat Anti-Rabbit IgG at 1/10000 dilution
Predicted band size: 44 kD
Observed band size: 44 kD
风险提示:丁香通仅作为第三方平台,为商家信息发布提供平台空间。用户咨询产品时请注意保护个人信息及财产安全,合理判断,谨慎选购商品,商家和用户对交易行为负责。对于医疗器械类产品,请先查证核实企业经营资质和医疗器械产品注册证情况。
文献和实验[IF={{ 4.8 }}] {Gang wang. et al. Taraxasterol extracted from Ixeridium gramineum (Fisch.) Tzvel. attenuated D-GalN/LPS-Induced Fulminant Hepatitis by modulating the JAK/STAT and TNF signalling pathways. J ETHNOPHARMACOL. 2024 Dec;:119256} {WB} {Mouse}
(Ser473)(193H12)Rabbit mAb,1:300,稀释,二抗是驴抗兔,1:2000,我是实验室的新手,刚呆俩月,受 此挫折,一头雾水,请过来人或者有经验的同学帮忙解答怎样解决,非常感谢! 碧峤 pAkt有两个位点,Ser473和Thr308,其中Ser473相对容易显色。如果显色失败,可能的原因:1 上样量过少,我们一般都是30μg;2 一抗孵育时间过短,我们一般24h~48h;3 一抗是否工作有待排除 米宝
:使用 Anti-phospho-Akt (Ser473) Rabbit mAb 对石蜡包埋的人乳腺癌组织进行免疫组织化学分析。(图 A)使用免疫组化试剂盒M&R HRP/DAB Detection IHC Kit,抗体 1:100 稀释;(图 B) 采用普通免疫组化试剂盒,抗体 1:25 稀释。 图 6 免疫组化实验检测 Erk1/2 表达 注:使用 Anti-Erk1/2 Mouse mAb与p44/42 MAPK (Erk1/2)Rabbit mAb 对正常小鼠心脏组织进行免疫
antibody dilution buffer: TBS-T supplemented with2% (w/v) BSA. 6. Antibodies: Phospho-b-catenin Ser33/Ser37/Thr41, phospho-glycogen synthase Ser641, and glycogen synthase (CellSignaling Technologies, Beverly, MA); b-catenin and GSK-3b(BD PharMingen, San
技术资料暂无技术资料 索取技术资料






