相关产品推荐更多 >

Transglutaminase-1 Rabbit pAb, BF555 conjugated(bs-6690R-BF555)-100ul
¥2980
KIAA1549 Rabbit pAb(bs-13763R)-50ul/100ul/200ul
¥1180
NFAT1 Rabbit pAb, PerCP conjugated(bs-4246R-PerCP)-100ul
¥2980
IL2 Receptor beta Rabbit pAb(bs-1959R)-50ul/100ul/200ul
¥1180
Angiotensin III Rabbit pAb, BF680 conjugated(bs-20101R-BF680)-100ul
¥2980
万千商家帮你免费找货
0 人在求购买到急需产品
- 详细信息
- 文献和实验
- 技术资料
- 应用范围:
产品信息以Bioss网站为准
- 规格:
50ul/100ul/200ul
| 规格: | 50ul | 产品价格: | ¥1180.0 |
|---|---|---|---|
| 规格: | 100ul | 产品价格: | ¥1980.0 |
| 规格: | 200ul | 产品价格: | ¥2800.0 |
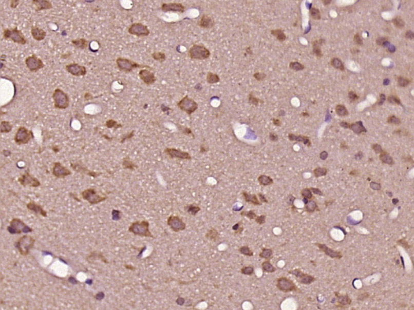
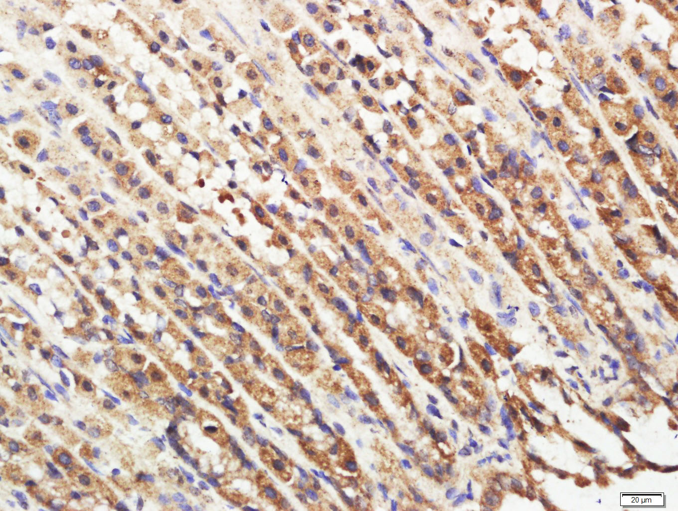
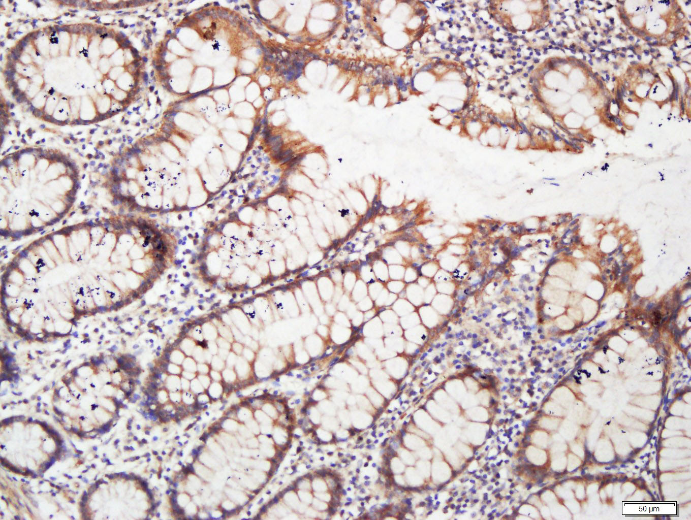
| 产品编号 | bs-20255R |
| 英文名称 | MAP1A Rabbit pAb |
| 中文名称 | 微管相关蛋白1A抗体 |
| 英文别名 | MAP 1A; MAP-1A; MTAP1A; MAP 1L; MAP1L; MAP1A heavy chain; Map1a; MAP1A_HUMAN; Microtubule associated protein 1 like; Microtubule Associated Protein 1A; Microtubule-associated protein 1A; MTAP1A; Proliferation related protein p80; Proliferation-related protein p80; AI853608; Map1a; moth1; Mtap-1; Mtap1. |
| 产品应用 | IHC-P=1:100-500, IHC-F=1:100-500, IF=1:100-500, Flow-Cyt=1ug/Test Not yet tested in other applications. |
| 交叉反应 | Human, Rat (Mouse, Cow, Horse, Sheep) |
| 抗体来源 | Rabbit |
| 免疫原 | KLH conjugated synthetic peptide derived from human MAP1A |
| 亚型 | IgG |
| 性状 | Liquid |
| 纯化方法 | affinity purified by Protein A |
| 克隆类型 | Polyclonal |
| 理论分子量 | 326 kDa |
| 浓度 | 1mg/ml |
| 储存液 | Preservative: 0.02% Proclin300, Constituents: 1% BSA, 0.01M PBS, pH7.4. |
| 研究领域 | Cancer > Cell Death > Autophagy > APG gene products Cancer > Cell Death > Autophagy > Autophagosome Cancer > Cell Death > Autophagy > Signal Transduction Cancer > Signal transduction Cancer > Signal transduction > Autophagy Cardiovascular > Heart > Autophagy > APG gene products Cardiovascular > Heart > Autophagy > Autophagosome Metabolism > Pathways and Processes > Metabolism processes > Autophagy and mitophagy Metabolism > Pathways and Processes > Metabolism processes > Autophagy and mitophagy > APG gene products Metabolism > Pathways and Processes > Metabolism processes > Autophagy and mitophagy > Autophagosome Signal Transduction > Cytoskeleton / ECM > Cytoskeleton > Microtubules > MT Associated Proteins > MAP |
| 亚基 | 3 different light chains, LC1, LC2 and LC3, can associate with MAP1A and MAP1B proteins. |
| 亚细胞定位 | Cytoplasm, cytoskeleton. Endomembrane system; Lipid-anchor. Cytoplasmic vesicle, autophagosome membrane; Lipid-anchor. |
| 组织特异性 | Most abundant in placenta, lung and ovary. |
| 翻译后修饰 | Phosphorylated by CSNK1D.
LC2 is generated from MAP1A by proteolytic processing. |
| 相似性 | Belongs to the MAP1 LC3 family. |
| 功能 | Probably involved in formation of autophagosomal vacuoles (autophagosomes). |
| 保存条件 | Shipped at 4℃. Store at -20℃ for one year. Avoid repeated freeze/thaw cycles. |
| 注意事项 | This product as supplied is intended for research use only, not for use in human, therapeutic or diagnostic applications. |
| 背景资料 | A major contributor to cellular homeostasis is the ability of the cell to strike a balance between the formation and degradation/removal of its cellular components. This process of internal cellular turn-over is called autophagy (self-eating), and is facilitated by a pathway of around 16 interacting proteins in the human. LC3, a ubiquitin-like modifier protein, is the human homolog of yeast Apg8 and is involved in the formation of autophagosomal vacuoles, called autophagosomes. There are three isoforms of human LC3 (named MAP1LC3A, MAP1LC3B, and MAP1LC3C), which exhibit different tissue distributions. A disruption to the autophagic process is now associated with the progression of several cancers, neurodegenerative disorders and cardiac pathologies, where LC3 is widely employed as a marker for autophagy. |
| 应用 | 推荐稀释比例 |
| {IHC-P} | {1:100-500} |
| {IHC-F} | {1:100-500} |
| {IF} | {1:100-500} |
| {Flow-Cyt} | {1ug/Test} |

Primary Antibody (green line): Rabbit Anti-MAP1A antibody (bs-20255R)
Dilution:1ug/Test;
Secondary Antibody : Goat anti-rabbit IgG-AF488
Dilution: 0.5ug/Test.
Negative control(white blue line): PBS
Isotype control(orange line): Normal Rabbit IgG
Protocol
The cells were fixed with 4% PFA (10min at room temperature)and then permeabilized with 90% ice-cold methanol for 20 min at -20℃.The cells were then incubated in 5%BSA to block non-specific protein-protein interactions for 30 min at room temperature .Cells stained with Primary Antibody for 30 min at room temperature. The secondary antibody used for 40 min at room temperature. Acquisition of 20,000 events was performed.



风险提示:丁香通仅作为第三方平台,为商家信息发布提供平台空间。用户咨询产品时请注意保护个人信息及财产安全,合理判断,谨慎选购商品,商家和用户对交易行为负责。对于医疗器械类产品,请先查证核实企业经营资质和医疗器械产品注册证情况。
文献和实验= NAL), appears to form upon oxidative cyclization of the nonfluorescent 2:1 lysine-HNE Michael adduct-Schiff base cross-link (Scheme 1). Polyclonal antibody (PAb) to the NAL-HNE fluorophore was raised in rabbit and found to be highly specific
分子 -1 (rabbit ICAM-1) ELISA 48T/96T 2000/3000 进口分装 F20170 兔干扰素 -r(rabbit IFN-r) ELISA 48T/96T 1500/2500 进口分装 F20180 兔白介素
GE Healthcare Benzamidine Sepharose™ 6B is p-aminobenzamidine covalently attached to Sepharose 6B by the epoxy coupling method. p-Aminobenzamidine (PAB), is a synthetic inhibitor of trypsin-like serine protease. Trypsin and trypsin
技术资料暂无技术资料 索取技术资料






