相关产品推荐更多 >

Calpastatin Rabbit pAb, AP conjugated(bs-6701R-AP)-100ul
¥2980
NFIP1 Rabbit pAb(bs-19058R)-50ul/100ul/200ul
¥1180
phospho-IP3 receptor (Ser1598) Rabbit pAb, AP conjugated(bs-18182R-AP)-100ul
¥2980
Glypican 6 Rabbit pAb, Cy5.5 conjugated(bs-2177R-Cy5.5)-100ul
¥2980
ZNT8 Rabbit pAb, HRP conjugated(bs-23855R-HRP)-100ul
¥2980
万千商家帮你免费找货
0 人在求购买到急需产品
- 详细信息
- 文献和实验
- 技术资料
- 应用范围:
产品信息以Bioss网站为准
- 规格:
50ul/100ul/200ul
| 规格: | 50ul | 产品价格: | ¥1180.0 |
|---|---|---|---|
| 规格: | 100ul | 产品价格: | ¥1980.0 |
| 规格: | 200ul | 产品价格: | ¥2800.0 |
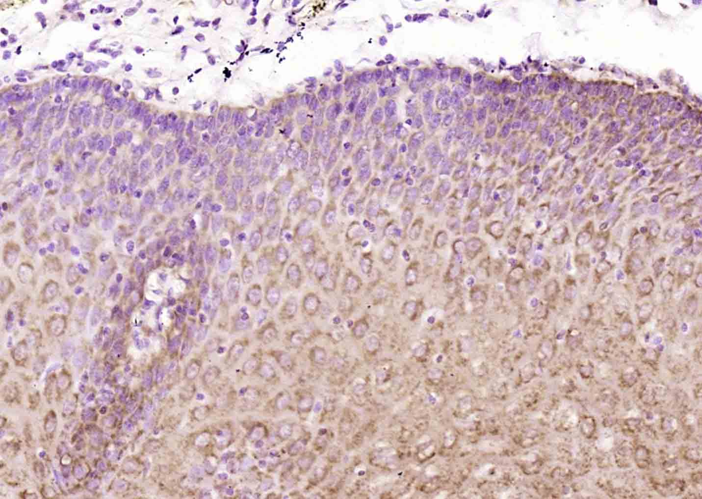
| 产品编号 | bs-17673R |
| 英文名称 | SPINK5/LEKTI Rabbit pAb |
| 中文名称 | 丝氨酸蛋白酶抑制剂SPINK5抗体 |
| 英文别名 | Hemofiltrate peptide HF7665; ISK5_HUMAN; LEKTI; Lympho-epithelial Kazal-type-related inhibitor; Lymphoepithelial Kazal type related inhibitor; NETS; NS; Serine peptidase inhibitor Kazal type 5; SPINK5; VAKTI. |
| 产品应用 | IHC-P=1:100-500, IHC-F=1:100-500, IF=1:100-500 Not yet tested in other applications. |
| 交叉反应 | Human (Pig, Cow) |
| 抗体来源 | Rabbit |
| 免疫原 | KLH conjugated synthetic peptide derived from human SPINK5/LEKTI |
| 亚型 | IgG |
| 性状 | Liquid |
| 纯化方法 | affinity purified by Protein A |
| 克隆类型 | Polyclonal |
| 理论分子量 | 118 kDa |
| 浓度 | 1mg/ml |
| 储存液 | 0.01M TBS (pH7.4) with 1% BSA, 0.02% Proclin300 and 50% Glycerol. |
| 研究领域 | Cell Biology > Proteolysis / Ubiquitin > Protease inhibitors > Other protease inhibitors |
| 亚细胞定位 | Secreted. |
| 组织特异性 | Highly expressed in the thymus and stratum corneum. Also found in the oral mucosa, parathyroid gland, Bartholin's glands, tonsils, and vaginal epithelium. Very low levels are detected in lung, kidney, and prostate. |
| 翻译后修饰 | Proteolytically processed by furin in individual domains (D1, D5, D6, D8 through D11, and D9 through D15) exhibiting various inhibitory potentials for multiple proteases. |
| 相似性 | Contains 15 Kazal-like domains. |
| 功能 | Serine protease inhibitor, probably important for the anti-inflammatory and/or antimicrobial protection of mucous epithelia. Contribute to the integrity and protective barrier function of the skin by regulating the activity of defense-activating and desquamation-involved proteases. Inhibits KLK5, it's major target, in a pH-dependent manner. Inhibits KLK7, KLK14 CASP14, and trypsin. |
| 保存条件 | Shipped at 4℃. Store at -20℃ for one year. Avoid repeated freeze/thaw cycles. |
| 注意事项 | This product as supplied is intended for research use only, not for use in human, therapeutic or diagnostic applications. |
| 背景资料 | This gene encodes a multidomain serine protease inhibitor that contains 15 potential inhibitory domains. The inhibitor may play a role in skin and hair morphogenesis and anti-inflammatory and/or antimicrobial protection of mucous epithelia. Mutations may result in Netherton syndrome, a disorder characterized by ichthyosis, defective cornification, and atopy. Multiple transcript variants encoding different isoforms have been found for this gene. [provided by RefSeq, Jul 2008] |
| 应用 | 推荐稀释比例 |
| {IHC-P} | {1:100-500} |
| {IHC-F} | {1:100-500} |
| {IF} | {1:100-500} |

风险提示:丁香通仅作为第三方平台,为商家信息发布提供平台空间。用户咨询产品时请注意保护个人信息及财产安全,合理判断,谨慎选购商品,商家和用户对交易行为负责。对于医疗器械类产品,请先查证核实企业经营资质和医疗器械产品注册证情况。
文献和实验[IF={{ 3.337 }}] {Li R et al. Destruction of Neutrophil Extracellular Traps Promotes the Apoptosis and Inhibits the Invasion of Gastric Cancer Cells by Regulating the Expression of Bcl-2, Bax and NF-κB. Onco Targets Ther . 2020 Jun 9;13:5271-5281.} {ICC,WB} {Human}
= NAL), appears to form upon oxidative cyclization of the nonfluorescent 2:1 lysine-HNE Michael adduct-Schiff base cross-link (Scheme 1). Polyclonal antibody (PAb) to the NAL-HNE fluorophore was raised in rabbit and found to be highly specific
. Retrieved 2010-11-29. ^ Nielsen BS, Jørgensen S, Fog JU, Søkilde R, Christensen IJ, Hansen U, Brünner N, Baker A, Møller S, Nielsen HJ (October 2010). "High levels of microRNA-21 in the stroma of colorectal cancers predict short disease-free survival
+oieSKeKcgxGinlRPl7uja5iYeDdc+K3eZhXhIOHOy+p9cxrGU9WCTkVcT5iRR/BsR+N0IDPSu3x0pXo0IRAQiAhGBiEBE4ABCwPnwbu0wGmW8ULj7NRb20DLRYqFW1Up6ODBube+wknwaZ5w/y92bXLbV5K3CJ+hhzKwdSHCmVrada2Qy0eyxvi0r7Lkl99ukcaOkRe60Sj82E8qgnmxNtzHGRRyZQtf1g41GIMau5W7ITlqbiDRR0CA3tPhIsEdmP5hZ
技术资料暂无技术资料 索取技术资料






