相关产品推荐更多 >

FGF22 Rabbit pAb(bs-5773R)-50ul/100ul/200ul
¥1180
GABA Transporter 3 Rabbit pAb, BF555 conjugated(bs-13260R-BF555)-100ul
¥2980
ATG14 Rabbit pAb(bs-7462R)-50ul/100ul/200ul
¥1180
H3-K4-HMTase SETD7 Rabbit pAb(bs-6191R)-50ul/100ul/200ul
¥1180
NFKB1 Rabbit pAb, PE-Cy5.5 conjugated(bs-5508R-PE-Cy5.5)-100ul
¥2980
万千商家帮你免费找货
0 人在求购买到急需产品
- 详细信息
- 文献和实验
- 技术资料
- 应用范围:
产品信息以Bioss网站为准
- 规格:
50ul/100ul/200ul
| 规格: | 50ul | 产品价格: | ¥1180.0 |
|---|---|---|---|
| 规格: | 100ul | 产品价格: | ¥1980.0 |
| 规格: | 200ul | 产品价格: | ¥2800.0 |
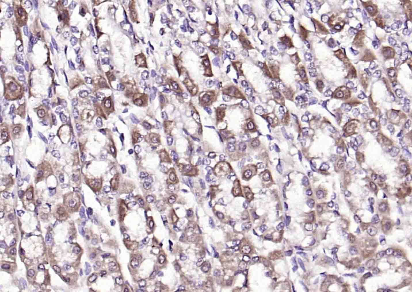
| 产品编号 | bs-13396R |
| 英文名称 | GPX2 Rabbit pAb |
| 中文名称 | 谷胱甘肽过氧化酶2抗体 |
| 英文别名 | Gastrointestinal glutathione peroxidase; GI GPx; Glutathione peroxidase 2(gastrointestinal); Glutathione peroxidase 2; Glutathione peroxidase gastrointestinal; Glutathione peroxidase related protein 2; Glutathione peroxidase-gastrointestinal; Glutathione peroxidase-related protein 2; GPRP; GPRP-2; GPx 2; GPx-2; GPx-GI; GPX2; GPX2_HUMAN; GSHPx 2; GSHPx GI; GSHPx-2; GSHPx-GI. |
| 产品应用 | WB=1:500-2000, IHC-P=1:100-500, IHC-F=1:100-500, IF=1:100-500 Not yet tested in other applications. |
| 交叉反应 | Mouse, Rat (Human, Dog, Cow, Horse, Rabbit, Sheep) |
| 抗体来源 | Rabbit |
| 免疫原 | KLH conjugated synthetic peptide derived from human GPX2/Glutathione Peroxidase 2 |
| 亚型 | IgG |
| 性状 | Liquid |
| 纯化方法 | affinity purified by Protein A |
| 克隆类型 | Polyclonal |
| 理论分子量 | 22 kDa |
| 浓度 | 1mg/ml |
| 储存液 | 0.01M TBS (pH7.4) with 1% BSA, 0.02% Proclin300 and 50% Glycerol. |
| 研究领域 | Cell Biology > Other Antibodies > Oxidative Stress Metabolism > Pathways and Processes > Redox metabolism > Antioxidants Metabolism > Pathways and Processes > Redox metabolism > Oxidative stress |
| 亚基 | Homotetramer. |
| 亚细胞定位 | Cytoplasm. Mainly cytoplasmic. |
| 组织特异性 | Mostly in liver and gastrointestinal tract, not found in heart or kidney. |
| 相似性 | Belongs to the glutathione peroxidase family. |
| 功能 | Could play a major role in protecting mammals from the toxicity of ingested organic hydroperoxides. Tert-butyl hydroperoxide, cumene hydroperoxide and linoleic acid hydroperoxide but not phosphatidycholine hydroperoxide, can act as acceptors. |
| 保存条件 | Shipped at 4℃. Store at -20℃ for one year. Avoid repeated freeze/thaw cycles. |
| 注意事项 | This product as supplied is intended for research use only, not for use in human, therapeutic or diagnostic applications. |
| 背景资料 | Glutathione peroxidase (GPx) enzymes are generally selenium-containing tetrameric glycoproteins that help prevent lipid peroxidation of cell membranes. GPx enzymes reduce lipid hydroperoxides to alcohols, and reduce free hydrogen peroxide to water. GPx members are among the few proteins known in higher vertebrates to contain selenocysteine, which occurs at the active site of glutathione peroxidase and is coded by the nonsense (stop) codon TGA. There are eight GPx homologs (GPx-1–8). GPx-1 plays an important role in the antioxidant defense of the vascular wall and neural cells in response to oxidative stress. GPx-2 is the major isoform in the lungs and its basal or inducible expression is dependent on Nrf2. GPx-3 is under regulation by hypoxic stress and the expression and deficiency of GPx-3 is associated with cardiovascular disease and stroke. GPx-5 is selenium-independent; it is bound to the acrosome of sperm, where it may protect sperm from premature acrosome reaction in the epididymis. |
| 应用 | 推荐稀释比例 |
| {WB} | {1:500-2000} |
| {IHC-P} | {1:100-500} |
| {IHC-F} | {1:100-500} |
| {IF} | {1:100-500} |

Lane 1: Mouse Liver tissue lysates
Lane 2: Rat Kidney tissue lysates
Primary: Anti-GPX2 (bs-13396R) at 1/1000 dilution
Secondary: IRDye800CW Goat Anti-Rabbit IgG at 1/20000 dilution
Predicted band size: 22 kDa
Observed band size: 22 kDa

风险提示:丁香通仅作为第三方平台,为商家信息发布提供平台空间。用户咨询产品时请注意保护个人信息及财产安全,合理判断,谨慎选购商品,商家和用户对交易行为负责。对于医疗器械类产品,请先查证核实企业经营资质和医疗器械产品注册证情况。
文献和实验[IF={{ 64.8 }}] {Lorenzo-Martín L. Francisco. et al. Spatiotemporally resolved colorectal oncogenesis in mini-colons ex vivo. NATURE. 2024 Apr;:1-8} {IF} {Mouse}
= NAL), appears to form upon oxidative cyclization of the nonfluorescent 2:1 lysine-HNE Michael adduct-Schiff base cross-link (Scheme 1). Polyclonal antibody (PAb) to the NAL-HNE fluorophore was raised in rabbit and found to be highly specific
GE Healthcare Benzamidine Sepharose™ 6B is p-aminobenzamidine covalently attached to Sepharose 6B by the epoxy coupling method. p-Aminobenzamidine (PAB), is a synthetic inhibitor of trypsin-like serine protease. Trypsin and trypsin
Nucleic Acid Programmable Protein Arrays: Versatile Tools for Array‐Based Functional Protein Studies
.g., Sigma) 50 mg/ml bis‐sulfosuccinimdylsuberate (BS3 ;Pierce, cat. no. PI 21580) in dimethylsulfoxide (DMSO) 5 mg/ml
技术资料暂无技术资料 索取技术资料






