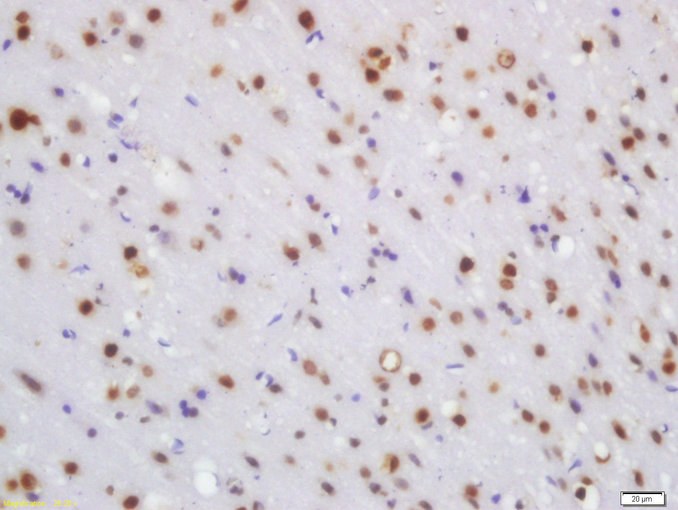
Tissue/cell: rat brain tissue; 4% Paraformaldehyde-fixed and paraffin-embedded;
Antigen retrieval: citrate buffer ( 0.01M, pH 6.0 ), Boiling bathing for 15min; Block endogenous peroxidase by 3% Hydrogen peroxide for 30min; Blocking buffer (normal goat serum,C-0005) at 37℃ for 20 min;
Incubation: Anti-WRB Polyclonal Antibody, Unconjugated(bs-11774R) 1:200, overnight at 4°C, followed by conjugation to the secondary antibody(SP-0023) and DAB(C-0010) staining
相关产品推荐更多 >

phospho-Bcl2 (Ser87) Rabbit pAb, APC-Cy7 conjugated(bs-12577R-APC-Cy7)-100ul
¥2980
Kidins220 Rabbit pAb, PerCP conjugated(bs-7040R-PerCP)-100ul
¥2980
AKR1C2 Rabbit pAb(bs-20547R)-50ul/100ul/200ul
¥1180
Cytokeratin 1 Rabbit pAb, Cy7 conjugated(bs-1244R-Cy7)-100ul
¥2980
Frizzled 2 Rabbit pAb, Biotin conjugated(bs-6623R-Bio)-100ul
¥2980
万千商家帮你免费找货
0 人在求购买到急需产品
- 详细信息
- 技术资料
- 应用范围:
产品信息以Bioss网站为准
- 规格:
50ul/100ul/200ul
| 规格: | 50ul | 产品价格: | ¥1180.0 |
|---|---|---|---|
| 规格: | 100ul | 产品价格: | ¥1980.0 |
| 规格: | 200ul | 产品价格: | ¥2800.0 |
| 产品编号 | bs-11774R |
| 英文名称 | WRB Rabbit pAb |
| 中文名称 | 色氨酸丰富蛋白抗体 |
| 英文别名 | Chromodomain helicase DNA binding protein 5; CHD5; Congenital heart disease 5 gene; Congenital heart disease 5 protein; FLJ51808; Tryptophan rich basic protein; Tryptophan rich protein, congenital heart disease 5 protein; WRB; WRB_HUMAN. |
| 产品应用 | IHC-P=1:100-500, IHC-F=1:100-500, IF=1:100-500, Flow-Cyt=2ug/Test Not yet tested in other applications. |
| 交叉反应 | Mouse, Rat (Human, Dog, Cow, Rabbit) |
| 抗体来源 | Rabbit |
| 免疫原 | KLH conjugated synthetic peptide derived from human WRB/Tryptophan rich protein |
| 亚型 | IgG |
| 性状 | Liquid |
| 纯化方法 | affinity purified by Protein A |
| 克隆类型 | Polyclonal |
| 理论分子量 | 20 kDa |
| 浓度 | 1mg/ml |
| 储存液 | 0.01M TBS (pH7.4) with 1% BSA, 0.02% Proclin300 and 50% Glycerol. |
| 亚基 | Interacts with ASNA1/TRC40. |
| 亚细胞定位 | Nucleus. Membrane; Multi-pass membrane protein |
| 相似性 | Belongs to the WRB/GET1 family. |
| 功能 | This gene encodes a basic nuclear protein of unknown function. The gene is widely expressed in adult and fetal tissues. Since the region proposed to contain the gene(s) for congenital heart disease (CHD) in Down syndrome (DS) patients has been restricted to 21q22.2-22.3, this gene, which maps to 21q22.3, has a potential role in the pathogenesis of Down syndrom congenital heart disease. |
| 保存条件 | Shipped at 4℃. Store at -20℃ for one year. Avoid repeated freeze/thaw cycles. |
| 注意事项 | This product as supplied is intended for research use only, not for use in human, therapeutic or diagnostic applications. |
| 背景资料 | This gene encodes a basic nuclear protein of unknown function. The gene is widely expressed in adult and fetal tissues. Since the region proposed to contain the gene(s) for congenital heart disease (CHD) in Down syndrome (DS) patients has been restricted to 21q22.2-22.3, this gene, which maps to 21q22.3, has a potential role in the pathogenesis of Down syndrome congenital heart disease. Alternatively spliced transcript variants encoding different isoforms have been found for this gene. [provided by RefSeq, Apr 2009]. |
| 应用 | 推荐稀释比例 |
| {IHC-P} | {1:100-500} |
| {IHC-F} | {1:100-500} |
| {IF} | {1:100-500} |
| {Flow-Cyt} | {2ug/Test} |


Paraformaldehyde-fixed, paraffin embedded (rat ovary); Antigen retrieval by boiling in sodium citrate buffer (pH6.0) for 15min; Block endogenous peroxidase by 3% hydrogen peroxide for 20 minutes; Blocking buffer (normal goat serum) at 37°C for 30min; Antibody incubation with (WRB) Polyclonal Antibody, Unconjugated (bs-11774R) at 1:600 overnight at 4°C, followed by a conjugated secondary (sp-0023) for 20 minutes and DAB staining.

Blank control:Mouse spleen.
Primary Antibody (green line): Rabbit Anti-WRB antibody (bs-11774R)
Dilution: 2μg /10^6 cells;
Isotype Control Antibody (orange line): Rabbit IgG .
Secondary Antibody : Goat anti-rabbit IgG-AF488
Dilution: 1μg /test.
Protocol
The cells were fixed with 70% ethanol (10min at room temperature) and then were incubated in 5%BSA to block non-specific protein-protein interactions for 30 min at room temperature .Cells stained with Primary Antibody for 30 min at room temperature. The secondary antibody used for 40 min at room temperature. Acquisition of 20,000 events was performed.
Primary Antibody (green line): Rabbit Anti-WRB antibody (bs-11774R)
Dilution: 2μg /10^6 cells;
Isotype Control Antibody (orange line): Rabbit IgG .
Secondary Antibody : Goat anti-rabbit IgG-AF488
Dilution: 1μg /test.
Protocol
The cells were fixed with 70% ethanol (10min at room temperature) and then were incubated in 5%BSA to block non-specific protein-protein interactions for 30 min at room temperature .Cells stained with Primary Antibody for 30 min at room temperature. The secondary antibody used for 40 min at room temperature. Acquisition of 20,000 events was performed.
风险提示:丁香通仅作为第三方平台,为商家信息发布提供平台空间。用户咨询产品时请注意保护个人信息及财产安全,合理判断,谨慎选购商品,商家和用户对交易行为负责。对于医疗器械类产品,请先查证核实企业经营资质和医疗器械产品注册证情况。
技术资料暂无技术资料 索取技术资料
WRB Rabbit pAb(bs-11774R)-50ul/100ul/200ul
¥1180 - 2800





