相关产品推荐更多 >

IRS-2 Rabbit pAb, PerCP-Cy5.5 conjugated(bs-0173R-PerCP-Cy5.5)-100ul
¥2980
TRPC6 Rabbit pAb, APC-Cy5.5 conjugated(bs-2393R-APC-Cy5.5)-100ul
¥2980
Avi-Tag Mouse mAb, Biotin conjugated(bsm-33164M-Bio)-100ul
¥2980
Histone H2A (Acetyl-Lys9) Recombinant Rabbit mAb(bsm-60663R)-50ul/100ul/25ul
¥800
phospho-DDX58 (Ser8) Rabbit pAb(bs-5299R)-50ul/100ul/200ul
¥1180
万千商家帮你免费找货
0 人在求购买到急需产品
- 详细信息
- 文献和实验
- 技术资料
- 应用范围:
产品信息以Bioss网站为准
- 规格:
50ul/100ul/200ul
| 规格: | 50ul | 产品价格: | ¥1180.0 |
|---|---|---|---|
| 规格: | 100ul | 产品价格: | ¥1980.0 |
| 规格: | 200ul | 产品价格: | ¥2800.0 |
| 产品编号 | bs-4234R |
| 英文名称 | ABAT Rabbit pAb |
| 中文名称 | γ氨基丁酸转氨酶抗体 |
| 英文别名 | mitochondrial; (S) 3 amino 2 methylpropionate transaminase; (S)-3-amino-2-methylpropionate transaminase; 4 aminobutyrate aminotransferase; 4 aminobutyrate aminotransferase, mitochondrial; 4-aminobutyrate aminotransferase; ABAT; GABA aminotransferase; GABA AT; GABA T; GABA transaminase; GABA transferase; GABA-AT; GABA-T; GABAT; GABT_HUMAN; gamma amino N butyrate transaminase; gamma-amino-N-butyrate transaminase; L AIBAT; L-AIBAT; LAIBAT. |
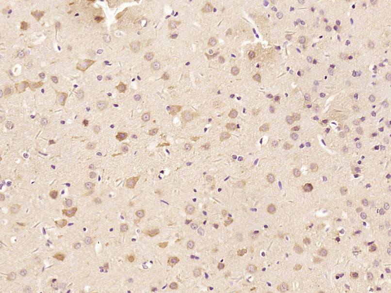
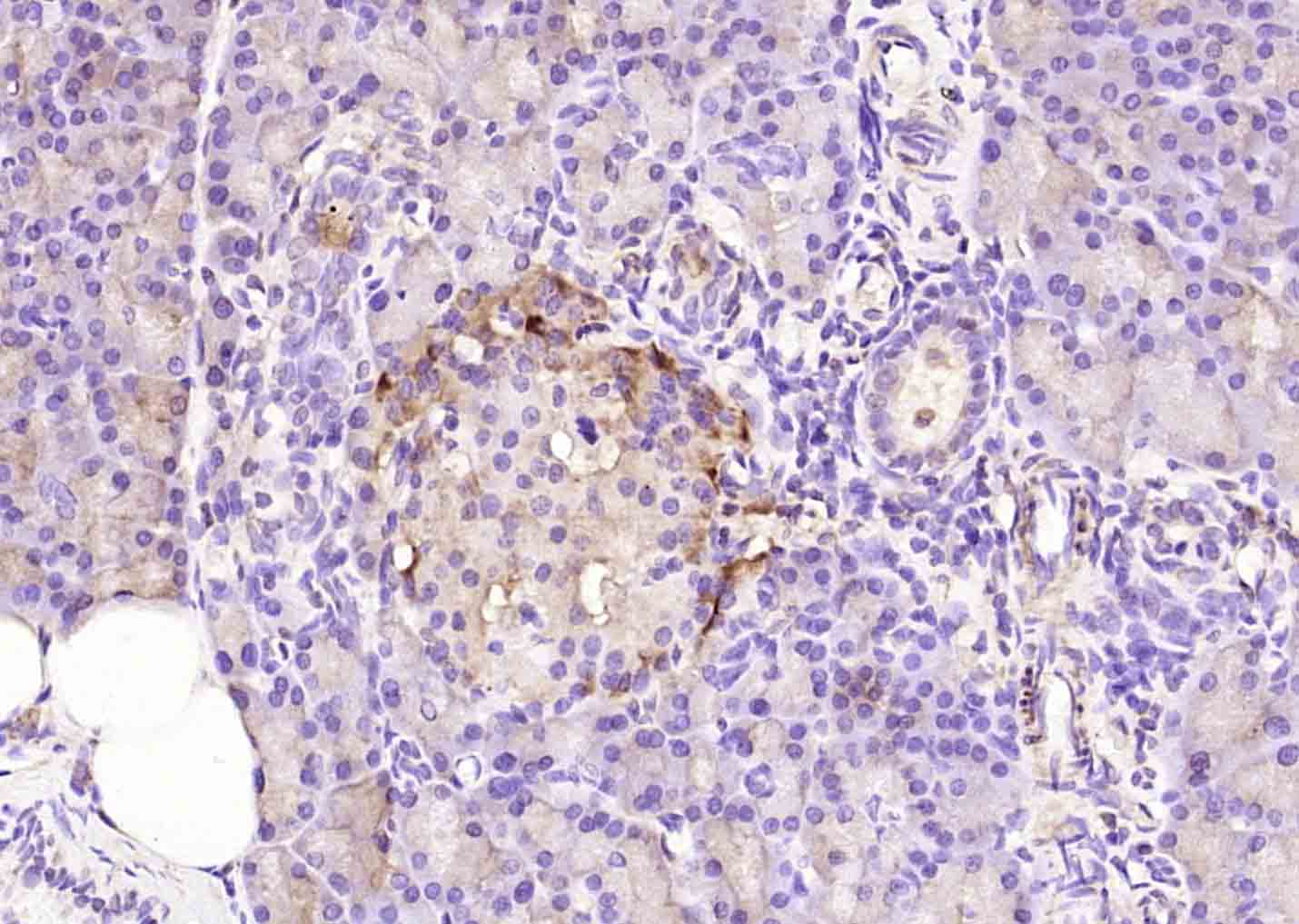
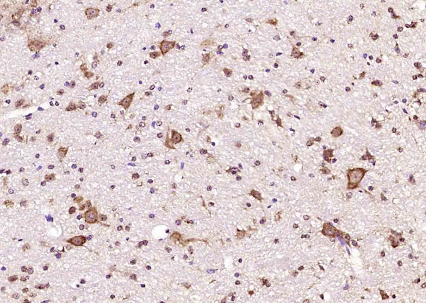
| 产品应用 | IHC-P=1:100-500, IHC-F=1:100-500, IF=1:100-500 Not yet tested in other applications. |
| 交叉反应 | Mouse, Rat |
| 抗体来源 | Rabbit |
| 免疫原 | KLH conjugated synthetic peptide derived from human ABAT |
| 亚型 | IgG |
| 性状 | Liquid |
| 纯化方法 | affinity purified by Protein A |
| 克隆类型 | Polyclonal |
| 理论分子量 | 56 kDa |
| 浓度 | 1mg/ml |
| 储存液 | 0.01M TBS (pH7.4) with 1% BSA, 0.02% Proclin300 and 50% Glycerol. |
| 研究领域 | Cancer > Cancer Metabolism > Response to hypoxia Metabolism > Pathways and Processes > Metabolic signaling pathways > Amino acid metabolism Metabolism > Pathways and Processes > Metabolism processes > Hypoxia Metabolism > Pathways and Processes > Mitochondrial Metabolism > Mitochondrial markers Neuroscience > Neurotransmitter > Amino Acids > GABA Signal Transduction > Metabolism > Mitochondrial |
| 亚基 | Homodimer; disulfide-linked. |
| 亚细胞定位 | Mitochondrion matrix. |
| 组织特异性 | Liver > pancreas > brain > kidney > heart > placenta. |
| 相似性 | Belongs to the class-III pyridoxal-phosphate-dependent aminotransferase family. |
| 功能 | Catalyzes the conversion of gamma-aminobutyrate and L-beta-aminoisobutyrate to succinate semialdehyde and methylmalonate semialdehyde, respectively. Can also convert delta-aminovalerate and beta-alanine. |
| 保存条件 | Shipped at 4℃. Store at -20℃ for one year. Avoid repeated freeze/thaw cycles. |
| 注意事项 | This product as supplied is intended for research use only, not for use in human, therapeutic or diagnostic applications. |
| 背景资料 | Catalyzes the conversion of gamma-aminobutyrate and L-beta-aminoisobutyrate to succinate semialdehyde and methylmalonate semialdehyde, respectively. Can also convert delta-aminovalerate and beta-alanine. |
| 应用 | 推荐稀释比例 |
| {IHC-P} | {1:100-500} |
| {IHC-F} | {1:100-500} |
| {IF} | {1:100-500} |



风险提示:丁香通仅作为第三方平台,为商家信息发布提供平台空间。用户咨询产品时请注意保护个人信息及财产安全,合理判断,谨慎选购商品,商家和用户对交易行为负责。对于医疗器械类产品,请先查证核实企业经营资质和医疗器械产品注册证情况。
文献和实验= NAL), appears to form upon oxidative cyclization of the nonfluorescent 2:1 lysine-HNE Michael adduct-Schiff base cross-link (Scheme 1). Polyclonal antibody (PAb) to the NAL-HNE fluorophore was raised in rabbit and found to be highly specific
GE Healthcare Benzamidine Sepharose™ 6B is p-aminobenzamidine covalently attached to Sepharose 6B by the epoxy coupling method. p-Aminobenzamidine (PAB), is a synthetic inhibitor of trypsin-like serine protease. Trypsin and trypsin
Nucleic Acid Programmable Protein Arrays: Versatile Tools for Array‐Based Functional Protein Studies
.g., Sigma) 50 mg/ml bis‐sulfosuccinimdylsuberate (BS3 ;Pierce, cat. no. PI 21580) in dimethylsulfoxide (DMSO) 5 mg/ml
技术资料暂无技术资料 索取技术资料






