相关产品推荐更多 >

Annexin A1 Rabbit pAb, BF488 conjugated(bs-1562R-BF488)-100ul
¥2980
IL-2 Rabbit pAb(bs-10274R)-50ul/100ul/200ul
¥1180
phospho-CDK1 (Ser39) Rabbit pAb(bs-5247R)-50ul/100ul/200ul
¥1180
DHPS1 Rabbit pAb, Biotin conjugated(bs-8260R-Bio)-100ul
¥2980
Inhibin beta A Rabbit pAb, Biotin conjugated(bs-22619R-Bio)-100ul
¥2980
万千商家帮你免费找货
0 人在求购买到急需产品
- 详细信息
- 文献和实验
- 技术资料
- 应用范围:
产品信息以Bioss网站为准
- 规格:
50ul/100ul/200ul
| 规格: | 50ul | 产品价格: | ¥1180.0 |
|---|---|---|---|
| 规格: | 100ul | 产品价格: | ¥1980.0 |
| 规格: | 200ul | 产品价格: | ¥2800.0 |
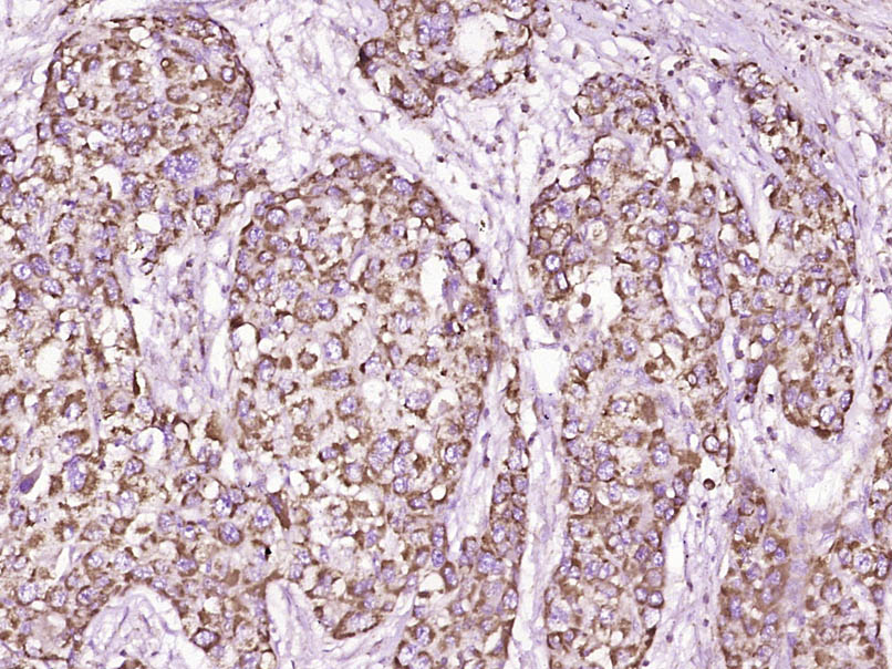
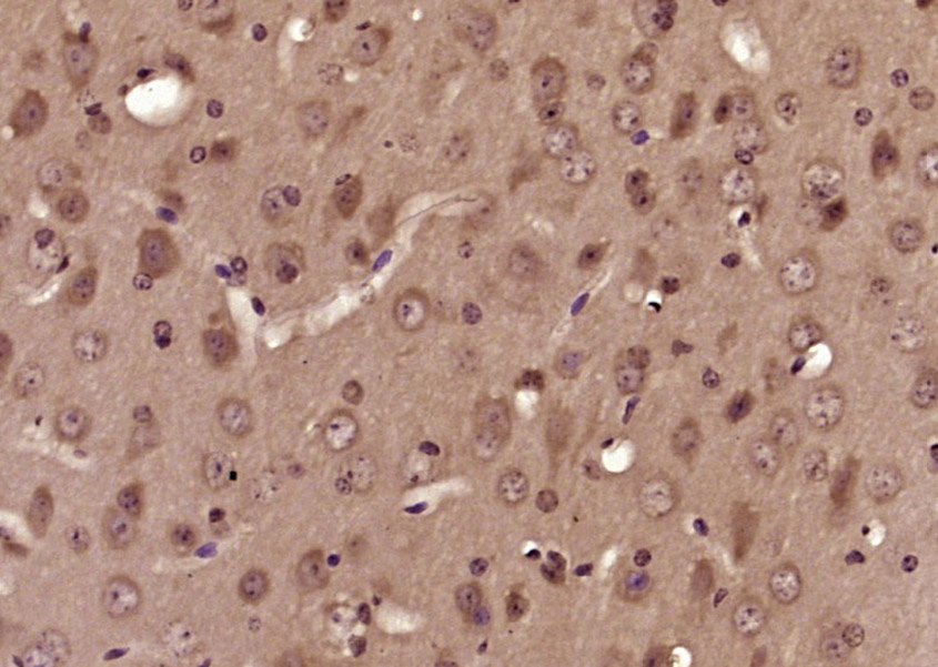
| 产品编号 | bs-10126R |
| 英文名称 | LAT Rabbit pAb |
| 中文名称 | T细胞活化连接蛋白抗体 |
| 英文别名 | Linker for activation of T cell 1; 36 kDa phospho tyrosine adapter protein; LAT 1; LAT1; Linker for activation of T cells; Linker for activation of T cells family member 1; p36 38; pp36; LAT_HUMAN. |
| 产品应用 | IHC-P=1:100-500, IHC-F=1:100-500, IF=1:100-500 Not yet tested in other applications. |
| 交叉反应 | Human, Mouse (Rat, Chicken, Dog, Cow, Rabbit) |
| 抗体来源 | Rabbit |
| 免疫原 | KLH conjugated synthetic peptide derived from human LAT |
| 亚型 | IgG |
| 性状 | Liquid |
| 纯化方法 | affinity purified by Protein A |
| 克隆类型 | Polyclonal |
| 理论分子量 | 29 kDa |
| 浓度 | 1mg/ml |
| 储存液 | 0.01M TBS (pH7.4) with 1% BSA, 0.02% Proclin300 and 50% Glycerol. |
| 研究领域 | Immunology > Adaptive Immunity > T Cells > Non-CD Signal Transduction > Adapters > Transmembrane Signal Transduction > Signaling Pathway > G Protein Signaling > Small G Proteins > Ras Family |
| 亚基 | When phosphorylated, interacts directly with the PIK3R1 subunit of phosphoinositide 3-kinase and the SH2 domains of GRB2, GRAP, GRAP2, PLCG1 and PLCG2. Interacts indirectly with CBL, SOS, VAV, and LCP2. Interacts with SHB, SKAP2 and CLNK. Interacts with FCGR1A. Interacts with GRB2, PLCG1 and THEMIS upon TCR activation in thymocytes. |
| 亚细胞定位 | Cell membrane. Present in lipid rafts. |
| 组织特异性 | Expressed in thymus, T-cells, NK cells, mast cells and, at lower levels, in spleen. Present in T-cells but not B-cells (at protein level). |
| 翻译后修饰 | Phosphorylated on tyrosines by ZAP-70 upon TCR activation, or by SYK upon other immunoreceptor activation; which leads to the recruitment of multiple signaling molecules. Is one of the most prominently tyrosine-phosphorylated proteins detected following TCR engagement. May be dephosphorylated by PTPRJ. Palmitoylation of Cys-26 and Cys-29 is required for raft targeting and efficient phosphorylation. |
| 相似性 | Belongs to the amino acid-polyamine-organocation (APC) superfamily. L-type amino acid transporter (LAT) (TC 2.A.3.8) family. |
| 功能 | Required for TCR (T-cell antigen receptor)- and pre-TCR-mediated signaling, both in mature T-cells and during their development. Involved in FCGR3 (low affinity immunoglobulin gamma Fc region receptor III)-mediated signaling in natural killer cells and FCER1 (high affinity immunoglobulin epsilon receptor)-mediated signaling in mast cells. Couples activation of these receptors and their associated kinases with distal intracellular events such as mobilization of intracellular calcium stores, PKC activation, MAPK activation or cytoskeletal reorganization through the recruitment of PLCG1, GRB2, GRAP2, and other signaling molecules. |
| 保存条件 | Shipped at 4℃. Store at -20℃ for one year. Avoid repeated freeze/thaw cycles. |
| 注意事项 | This product as supplied is intended for research use only, not for use in human, therapeutic or diagnostic applications. |
| 背景资料 | Required for TCR (T-cell antigen receptor)- and pre-TCR-mediated signaling, both in mature T-cells and during their development. Involved in FCGR3 (low affinity immunoglobulin gamma Fc region receptor III)-mediated signaling in natural killer cells and FCER1 (high affinity immunoglobulin epsilon receptor)-mediated signaling in mast cells. Couples activation of these receptors and their associated kinases with distal intracellular events such as mobilization of intracellular calcium stores, PKC activation, MAPK activation or cytoskeletal reorganization through the recruitment of PLCG1, GRB2, GRAP2, and other signaling molecules. |
| 应用 | 推荐稀释比例 |
| {IHC-P} | {1:100-500} |
| {IHC-F} | {1:100-500} |
| {IF} | {1:100-500} |


风险提示:丁香通仅作为第三方平台,为商家信息发布提供平台空间。用户咨询产品时请注意保护个人信息及财产安全,合理判断,谨慎选购商品,商家和用户对交易行为负责。对于医疗器械类产品,请先查证核实企业经营资质和医疗器械产品注册证情况。
文献和实验= NAL), appears to form upon oxidative cyclization of the nonfluorescent 2:1 lysine-HNE Michael adduct-Schiff base cross-link (Scheme 1). Polyclonal antibody (PAb) to the NAL-HNE fluorophore was raised in rabbit and found to be highly specific
GE Healthcare Benzamidine Sepharose™ 6B is p-aminobenzamidine covalently attached to Sepharose 6B by the epoxy coupling method. p-Aminobenzamidine (PAB), is a synthetic inhibitor of trypsin-like serine protease. Trypsin and trypsin
Nucleic Acid Programmable Protein Arrays: Versatile Tools for Array‐Based Functional Protein Studies
.g., Sigma) 50 mg/ml bis‐sulfosuccinimdylsuberate (BS3 ;Pierce, cat. no. PI 21580) in dimethylsulfoxide (DMSO) 5 mg/ml
技术资料暂无技术资料 索取技术资料






