相关产品推荐更多 >
万千商家帮你免费找货
0 人在求购买到急需产品
- 详细信息
- 文献和实验
- 技术资料
- 应用范围:
产品信息以Bioss网站为准
- 规格:
50ul/100ul/200ul
| 规格: | 50ul | 产品价格: | ¥1180.0 |
|---|---|---|---|
| 规格: | 100ul | 产品价格: | ¥1980.0 |
| 规格: | 200ul | 产品价格: | ¥2800.0 |
| 产品编号 | bs-10656R |
| 英文名称 | PI3 Kinase p110 delta Rabbit pAb |
| 中文名称 | 磷脂酰肌醇激酶催化亚单位D抗体 |
| 英文别名 | p110D; p110delta; Phosphatidylinositol 3 kinase catalytic delta polypeptide; Phosphatidylinositol 4 5 bisphosphate 3 kinase catalytic subunit delta isoform; Phosphatidylinositol 45 bisphosphate 3 kinase catalytic subunit delta isoform; phosphoinositide 3 kinase B; phosphoinositide 3 kinase C; phosphoinositide 3 kinase catalytic delta polypeptide; PI3 kinase p110 subunit delta; PI3K; PIK3CD; PK3CD; PtdIns 3 kinase p110; PI 3 Kinase p110 delta; PK3CD_HUMAN; Phosphatidylinositol 4, 5-bisphosphate 3-kinase catalytic subunit delta isoform; PI3-kinase subunit delta; PI3K-delta; PI3Kdelta; PtdIns-3-kinase subunit delta; Phosphatidylinositol 4, 5-bisphosphate 3-kinase 110 kDa catalytic subunit delta; PtdIns-3-kinase subunit p110-delta; p110delta. |
| 产品应用 | WB=1:500-2000, IHC-P=1:100-500, IHC-F=1:100-500, IF=1:100-500 Not yet tested in other applications. |
| 交叉反应 | Human, Mouse (Rat) |
| 抗体来源 | Rabbit |
| 免疫原 | KLH conjugated synthetic peptide derived from human PI3 Kinase p110 delta |
| 亚型 | IgG |
| 性状 | Liquid |
| 纯化方法 | affinity purified by Protein A |
| 克隆类型 | Polyclonal |
| 理论分子量 | 115 kDa |
| 浓度 | 1mg/ml |
| 储存液 | 0.01M TBS (pH7.4) with 1% BSA, 0.02% Proclin300 and 50% Glycerol. |
| 研究领域 | Immunology > Innate Immunity > TLR Signaling Signal Transduction > Signaling Pathway > Lipid Signaling > Lipid Kinases |
| 亚基 | Heterodimer of a catalytic subunit PIK3CD and a p85 regulatory subunit (PIK3R1, PIK3R2 or PIK3R3). Interacts with ERAS. Interacts with HRAS. |
| 亚细胞定位 | Cytoplasm. |
| 组织特异性 | Isoform 2 is expressed in normal thymus, lung and spleen tissues, and is detected at low levels in normal lysates from colon and ovarian biopsies, at elevated levels in lysates from colorectal tumors and is abundantly expressed in some ovarian tumors (at protein level). Both isoform 1 and isoform 2 are widely expressed. Isoform 1 is expressed predominantly in leukocytes. |
| 翻译后修饰 | Autophosphorylation on Ser-1039 results in the almost complete inactivation of the lipid kinase activity. |
| 相似性 | Belongs to the PI3/PI4-kinase family.
Contains 1 C2 PI3K-type domain. Contains 1 PI3K-ABD domain. Contains 1 PI3K-RBD domain. Contains 1 PI3K/PI4K domain. Contains 1 PIK helical domain. |
| 功能 | Phosphoinositide-3-kinase (PI3K) that phosphorylates PftdIns(4,5)P2 (Phosphatidylinositol 4,5-bisphosphate) to generate phosphatidylinositol 3,4,5-trisphosphate (PIP3). PIP3 plays a key role by recruiting PH domain-containing proteins to the membrane, including AKT1 and PDPK1, activating signaling cascades involved in cell growth, survival, proliferation, motility and morphology. Mediates immune responses. Plays a role in B-cell development, proliferation, migration, and function. Required for B-cell receptor (BCR) signaling. Mediates B-cell proliferation response to anti-IgM, anti-CD40 and IL4 stimulation. Promotes cytokine production in response to TLR4 and TLR9. Required for antibody class switch mediated by TLR9. Involved in the antigen presentation function of B-cells. Involved in B-cell chemotaxis in response to CXCL13 and sphingosine 1-phosphate (S1P). Required for proliferation, signaling and cytokine production of naive, effector and memory T-cells. Required for T-cell receptor (TCR) signaling. Mediates TCR signaling events at the immune synapse. Activation by TCR leads to antigen-dependent memory T-cell migration and retention to antigenic tissues. Together with PIK3CG participates in T-cell development. Contributes to T-helper cell expansion and differentiation. Required for T-cell migration mediated by homing receptors SELL/CD62L, CCR7 and S1PR1 and antigen dependent recruitment of T-cells. Together with PIK3CG is involved in natural killer (NK) cell development and migration towards the sites of inflammation. Participates in NK cell receptor activation. Have a role in NK cell maturation and cytokine production. Together with PIK3CG is involved in neutrophil chemotaxis and extravasation. Together with PIK3CG participates in neutrophil respiratory burst. Have important roles in mast-cell development and mast cell mediated allergic response. Involved in stem cell factor (SCF)-mediated proliferation, adhesion and migration. Required for allergen-IgE-induced degranulation and cytokine release. The lipid kinase activity is required for its biological function. Isoform 2 may be involved in stabilizing total RAS levels, resulting in increased ERK phosphorylation and increased PI3K activity. |
| 保存条件 | Shipped at 4℃. Store at -20℃ for one year. Avoid repeated freeze/thaw cycles. |
| 注意事项 | This product as supplied is intended for research use only, not for use in human, therapeutic or diagnostic applications. |
| 背景资料 | PI3-Kinases (PI3-Ks) are a family of lipid kinases that are implicated in signal transduction. PI3-K consists of two subunits; p85 and p110. The p85 subunit localize PI3-K activity to the plasma membrane while the p110 subunit contains the catalytic domain of PI3-K. Four isoforms of p110 has been found; the alpha, beta, gamma, and the delta subunit. The delta isoform is predominantly expressed in leukocytes and has been shown to interact with p85 and GTP-bound Ras via its SH2/SH3 domain. |
| 应用 | 推荐稀释比例 |
| {WB} | {1:500-2000} |
| {IHC-P} | {1:100-500} |
| {IHC-F} | {1:100-500} |
| {IF} | {1:100-500} |

Primary: Anti-PI3 Kinase p110 delta (bs-10656R) at 1/300 dilution
Secondary: IRDye800CW Goat Anti-Rabbit IgG at 1/20000 dilution
Predicted band size: 115 kD
Observed band size: 115 kD

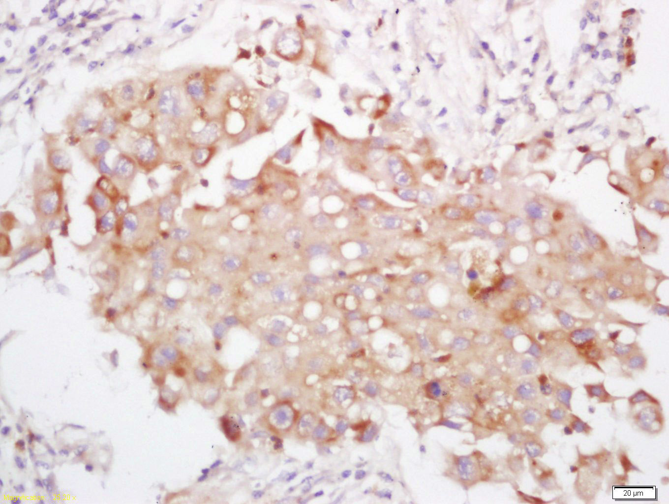
Antigen retrieval: citrate buffer ( 0.01M, pH 6.0 ), Boiling bathing for 15min; Block endogenous peroxidase by 3% Hydrogen peroxide for 30min; Blocking buffer (normal goat serum,C-0005) at 37℃ for 20 min;
Incubation: Anti-PI3 Kinase p110 delta Polyclonal Antibody, Unconjugated(bs-10656R) 1:200, overnight at 4°C, followed by conjugation to the secondary antibody(SP-0023) and DAB(C-0010) staining

Lane 1: Human HT-1080 cell lysates
Lane 2: Human Jurkat cell lysates
Primary: Anti-PI3 Kinase p110 delta (bs-10656R) at 1/1000 dilution
Secondary: IRDye800CW Goat Anti-Rabbit IgG at 1/20000 dilution
Predicted band size: 115 kDa
Observed band size: 120 kDa
风险提示:丁香通仅作为第三方平台,为商家信息发布提供平台空间。用户咨询产品时请注意保护个人信息及财产安全,合理判断,谨慎选购商品,商家和用户对交易行为负责。对于医疗器械类产品,请先查证核实企业经营资质和医疗器械产品注册证情况。
文献和实验[IF={{ 6.656 }}] {Fangbo Zhang. et al. Huashibaidu Formula Attenuates Sepsis-Induced Acute Lung Injury via Suppressing Cytokine Storm: Implications for Treatment of COVID-19. PHYTOMEDICINE. 2022 Nov;:154549} {WB} {Mouse}
[IF={{ 5.561 }}] {Minrui Wu. et al. The Effect and Mechanism of Corilagin from Euryale Ferox Salisb Shell on LPS-Induced Inflammation in Raw264.7 Cells. FOODS. 2023 Jan;12(5):979} {WB} {Mouse}
技术资料暂无技术资料 索取技术资料









