Sample:
Cerebrum (Rat) Lysate at 40 ug
Primary: Anti- Caspase-6 subunit p11 (bs-10135R) at 1/1000 dilution
Secondary: IRDye800CW Goat Anti-Rabbit IgG at 1/20000 dilution
Predicted band size: 11/33 kD
Observed band size: 33 kD
相关产品推荐更多 >

ENTPD1/CD39 Rabbit pAb, Biotin conjugated(bs-15383R-Bio)-100ul
¥2980
Histone H2B (Acetyl K15) Mouse mAb(bsm-60063M)-25ul/100ul
¥1380
phospho-PTEN (Ser380 + Thr382 + Thr383) Rabbit pAb(bs-3351R)-50ul/100ul/200ul
¥1180
Ubiquitously expressed transcript Rabbit pAb(bs-6749R)-50ul/100ul/200ul
¥1180
phospho-IRS1 (Tyr1179) Rabbit pAb, PerCP-Cy7 conjugated(bs-8709R-PerCP-Cy7)-100ul
¥2980
万千商家帮你免费找货
0 人在求购买到急需产品
- 详细信息
- 技术资料
- 应用范围:
产品信息以Bioss网站为准
- 规格:
50ul/100ul/200ul
| 规格: | 50ul | 产品价格: | ¥1180.0 |
|---|---|---|---|
| 规格: | 100ul | 产品价格: | ¥1980.0 |
| 规格: | 200ul | 产品价格: | ¥2800.0 |
| 产品编号 | bs-10135R |
| 英文名称 | Caspase-6 subunit p11 Rabbit pAb |
| 中文名称 | 半胱胺酸蛋白酶蛋白-6抗体 |
| 英文别名 | Caspase-6 subunit p11; Caspase-6 p11; Apoptosis Related Cysteine Protease; Apoptotic cysteine protease MCH2; Apoptotic protease MCH 2; Apoptotic protease MCH2; Casp 6; Casp6; Caspase 6 apoptosis related cysteine protease; Caspase 6 precursor; Caspase6; Human cysteine protease Mch2 isoform alpha; Mch 2; Mch2; CASP6_HUMAN. |
| 产品应用 | WB=1:500-2000, IHC-P=1:100-500, IHC-F=1:100-500, IF=1:100-500 Not yet tested in other applications. |
| 交叉反应 | Human, Mouse, Rat (Dog, Pig, Cow, Zebrafish) |
| 抗体来源 | Rabbit |
| 免疫原 | KLH conjugated synthetic peptide derived from human Caspase-6 subunit p11 |
| 亚型 | IgG |
| 性状 | Liquid |
| 纯化方法 | affinity purified by Protein A |
| 克隆类型 | Polyclonal |
| 理论分子量 | 11/33 kDa |
| 浓度 | 1mg/ml |
| 储存液 | 0.01M TBS (pH7.4) with 1% BSA, 0.02% Proclin300 and 50% Glycerol. |
| 研究领域 | Cancer > Cell Death > Apoptosis > Apoptosis Markers > Caspases Cancer > Cell Death > Apoptosis > Metabolism Cancer > Invasion/microenvironment > Apoptosis > Caspases Cell Biology > Apoptosis > Intracellular > Caspases etc > Caspases Metabolism > Pathways and Processes > Metabolism processes > Apoptosis Neuroscience > Neurology process > Neurodegenerative disease > Alzheimer's disease |
| 亚基 | Heterotetramer that consists of two anti-parallel arranged heterodimers, each one formed by a 18 kDa (p18) and a 11 kDa (p11) subunit. Interacts with BIRC6/bruce. |
| 亚细胞定位 | Cytoplasm. |
| 翻译后修饰 | Cleavages by caspase-3, caspase-8 or -10 generate the two active subunits. |
| 相似性 | Belongs to the peptidase C14A family. |
| 功能 | Involved in the activation cascade of caspases responsible for apoptosis execution. Cleaves poly(ADP-ribose) polymerase in vitro, as well as lamins. Overexpression promotes programmed cell death. |
| 保存条件 | Shipped at 4℃. Store at -20℃ for one year. Avoid repeated freeze/thaw cycles. |
| 注意事项 | This product as supplied is intended for research use only, not for use in human, therapeutic or diagnostic applications. |
| 背景资料 | This gene encodes a protein which is a member of the cysteine-aspartic acid protease (caspase) family. Sequential activation of caspases plays a central role in the execution-phase of cell apoptosis. Caspases exist as inactive proenzymes which undergo proteolytic processing at conserved aspartic residues to produce two subunits, large and small, that dimerize to form the active enzyme. This protein is processed by caspases 7, 8 and 10, and is thought to function as a downstream enzyme in the caspase activation cascade. Alternative splicing of this gene results in two transcript variants that encode different isoforms. [provided by RefSeq, Jul 2008] |
| 应用 | 推荐稀释比例 |
| {WB} | {1:500-2000} |
| {IHC-P} | {1:100-500} |
| {IHC-F} | {1:100-500} |
| {IF} | {1:100-500} |


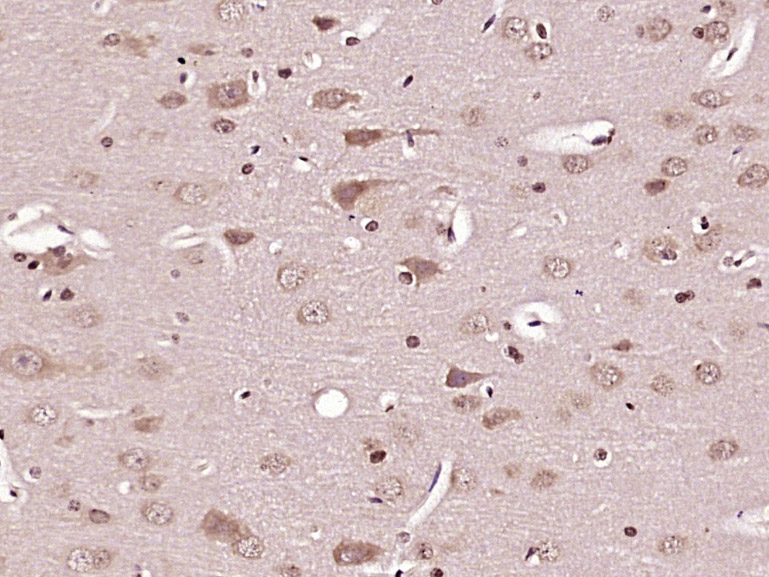
Paraformaldehyde-fixed, paraffin embedded (rat brain tissue); Antigen retrieval by boiling in sodium citrate buffer (pH6.0) for 15min; Block endogenous peroxidase by 3% hydrogen peroxide for 20 minutes; Blocking buffer (normal goat serum) at 37°C for 30min; Antibody incubation with (Caspase-6 subunit p11) Polyclonal Antibody, Unconjugated (bs-10135R) at 1:400 overnight at 4°C, followed by operating according to SP Kit(Rabbit) (sp-0023) instructionsand DAB staining.

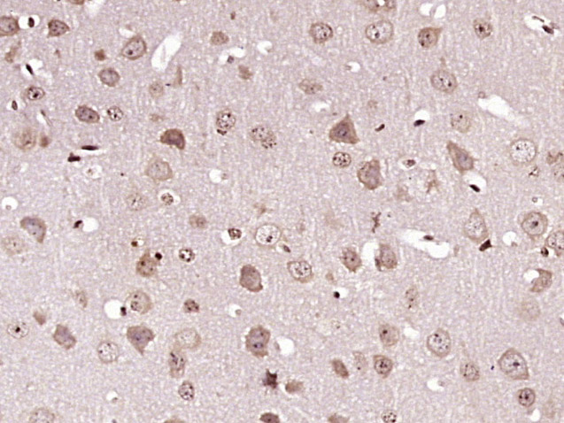
Paraformaldehyde-fixed, paraffin embedded (mouse brain tissue); Antigen retrieval by boiling in sodium citrate buffer (pH6.0) for 15min; Block endogenous peroxidase by 3% hydrogen peroxide for 20 minutes; Blocking buffer (normal goat serum) at 37°C for 30min; Antibody incubation with (Caspase-6 subunit p11) Polyclonal Antibody, Unconjugated (bs-10135R) at 1:400 overnight at 4°C, followed by operating according to SP Kit(Rabbit) (sp-0023) instructionsand DAB staining.

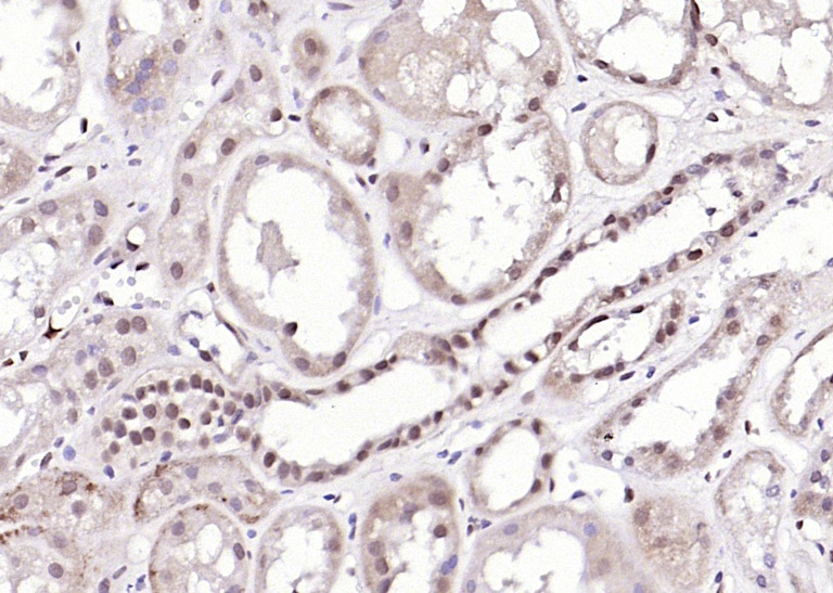
Paraformaldehyde-fixed, paraffin embedded (Human kidney); Antigen retrieval by boiling in sodium citrate buffer (pH6.0) for 15min; Block endogenous peroxidase by 3% hydrogen peroxide for 20 minutes; Blocking buffer (normal goat serum) at 37°C for 30min; Antibody incubation with (Caspase-6 subunit p11) Polyclonal Antibody, Unconjugated (bs-10135R) at 1:200 overnight at 4°C, followed by operating according to SP Kit(Rabbit) (sp-0023) instructionsand DAB staining.
风险提示:丁香通仅作为第三方平台,为商家信息发布提供平台空间。用户咨询产品时请注意保护个人信息及财产安全,合理判断,谨慎选购商品,商家和用户对交易行为负责。对于医疗器械类产品,请先查证核实企业经营资质和医疗器械产品注册证情况。
技术资料暂无技术资料 索取技术资料
Caspase-6 subunit p11 Rabbit pAb(bs-10135R)-50ul/100ul/200ul
¥1180 - 2800





