相关产品推荐更多 >

CD147 Rabbit pAb, FITC conjugated(bs-0684R-FITC)-100ul
¥2980
phospho-EGFR (Tyr845) Rabbit pAb(bs-3111R)-50ul/100ul/200ul
¥1180
DC-SIGN Rabbit pAb, BF555 conjugated(bs-10053R-BF555)-100ul
¥2980
SV2A Rabbit pAb, RBITC conjugated(bs-2407R-RBITC)-100ul
¥2980
CCL26 Rabbit pAb, PE-Cy5.5 conjugated(bs-15512R-PE-Cy5.5)-100ul
¥2980
万千商家帮你免费找货
0 人在求购买到急需产品
- 详细信息
- 文献和实验
- 技术资料
- 应用范围:
产品信息以Bioss网站为准
- 规格:
50ul/100ul/200ul
| 规格: | 50ul | 产品价格: | ¥1180.0 |
|---|---|---|---|
| 规格: | 100ul | 产品价格: | ¥1980.0 |
| 规格: | 200ul | 产品价格: | ¥2800.0 |
| 产品编号 | bs-11047R |
| 英文名称 | COL6A5 Rabbit pAb |
| 中文名称 | 6型胶原蛋白α5抗体 |
| 英文别名 | Collagen VI alpha 5; CO6A5_HUMAN; COL29A1; Col6a5; Collagen alpha-1(XXIX) chain; Collagen alpha-5(VI) chain; Collagen, type VI, alpha 5; Collagen, type XXIX, alpha-1; Gm7455; von Willebrand factor A domain-containing protein 4; VWA4. |
| 产品应用 | IHC-P=1:100-500, IHC-F=1:100-500, IF=1:100-500 Not yet tested in other applications. |
| 交叉反应 | Rat (Human) |
| 抗体来源 | Rabbit |
| 免疫原 | KLH conjugated synthetic peptide derived from human COL6A5/Collagen VI alpha 5 |
| 亚型 | IgG |
| 性状 | Liquid |
| 纯化方法 | affinity purified by Protein A |
| 克隆类型 | Polyclonal |
| 理论分子量 | 288 kDa |
| 浓度 | 1mg/ml |
| 储存液 | 0.01M TBS (pH7.4) with 1% BSA, 0.02% Proclin300 and 50% Glycerol. |
| 亚基 | Trimers composed of three different chains: alpha-1(VI), alpha-2(VI), and alpha-3(VI) or alpha-5(VI) or alpha-6(VI) |
| 亚细胞定位 | Secreted, extracellular space, extracellular matrix. Note=Deposed in the extracellular matrix of skeletal muscle. |
| 组织特异性 | Expressed in skin, followed by lung, small intestine, colon and testis. In skin, it is expressed in the epidermis with strongest staining in suprabasal viable layers. In ATOD patients, it is absent in the most differentiated upper spinous and granular layers (at protein level). |
| 翻译后修饰 | Prolines at the third position of the tripeptide repeating unit (G-X-Y) are hydroxylated in some or all of the chains |
| 相似性 | Belongs to the type VI collagen family.
Contains 10 VWFA domains. |
| 功能 | Collagen VI acts as a cell-binding protein. |
| 保存条件 | Shipped at 4℃. Store at -20℃ for one year. Avoid repeated freeze/thaw cycles. |
| 注意事项 | This product as supplied is intended for research use only, not for use in human, therapeutic or diagnostic applications. |
| 背景资料 | The protein encoded by this gene is a collagen that contains N- and C-terminal von Willebrand factor A-like domains. The encoded protein may interact with the alpha 1 and alpha 2 chains of collagen VI to form the complete collagen VI trimer. Sequence polymorphisms in this gene have been linked to atopic dermatitis (eczema). Two transcript variants, one protein-coding and the other probably not protein-coding, have been found for this gene. |
| 应用 | 推荐稀释比例 |
| {IHC-P} | {1:100-500} |
| {IHC-F} | {1:100-500} |
| {IF} | {1:100-500} |

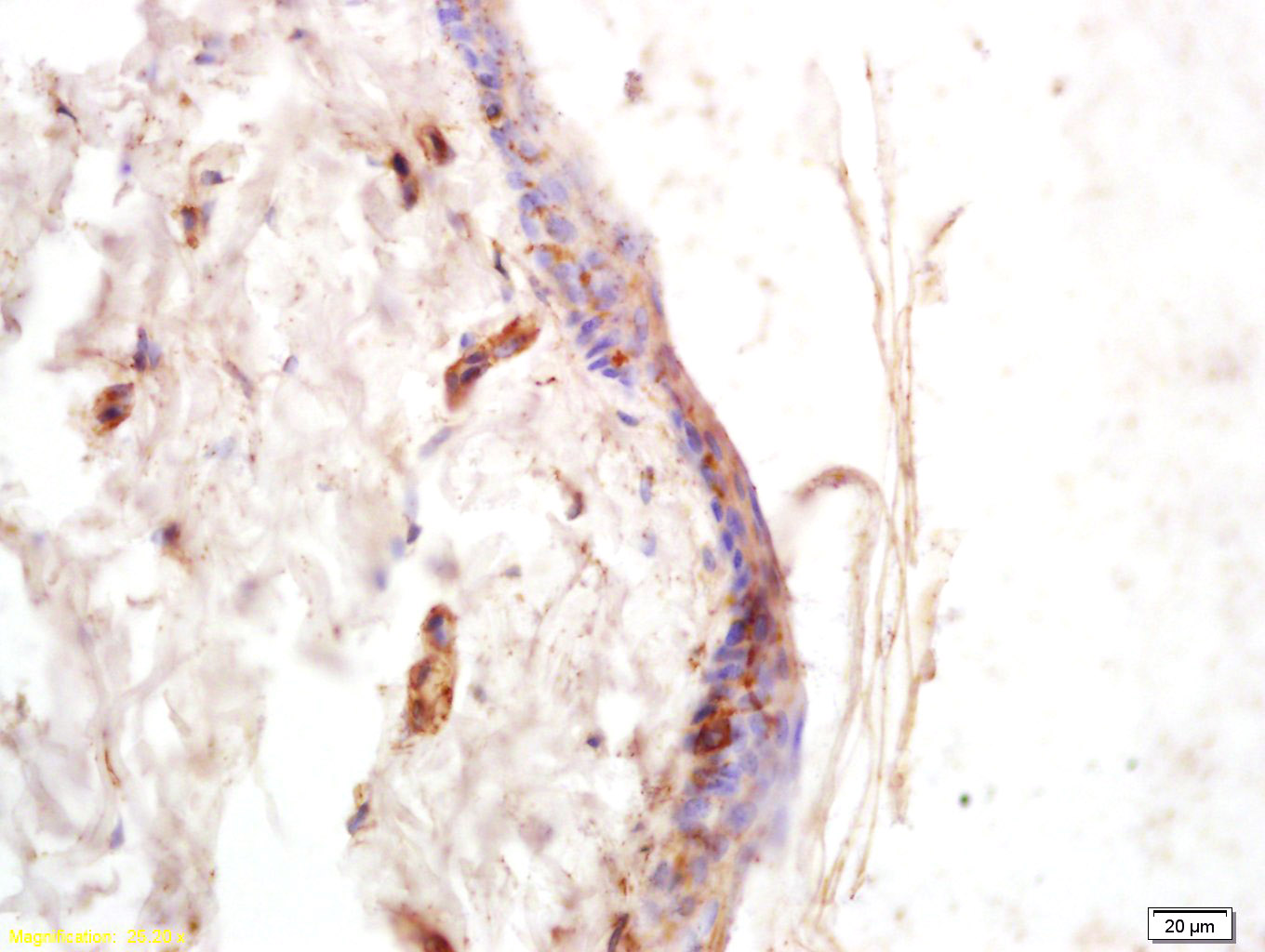
Antigen retrieval: citrate buffer ( 0.01M, pH 6.0 ), Boiling bathing for 15min; Block endogenous peroxidase by 3% Hydrogen peroxide for 30min; Blocking buffer (normal goat serum,C-0005) at 37℃ for 20 min;
Incubation: Anti-COL6A5/Collagen VI alpha 5 Polyclonal Antibody, Unconjugated(bs-11047R) 1:200, overnight at 4°C, followed by conjugation to the secondary antibody(SP-0023) and DAB(C-0010) staining
风险提示:丁香通仅作为第三方平台,为商家信息发布提供平台空间。用户咨询产品时请注意保护个人信息及财产安全,合理判断,谨慎选购商品,商家和用户对交易行为负责。对于医疗器械类产品,请先查证核实企业经营资质和医疗器械产品注册证情况。
文献和实验[IF={{ 8.8 }}] {Jiajun Chen. et al. Integrating UHPLC-MS/MS quantitative analysis and exogenous purine supplementation to elucidate the antidepressant mechanism of Chaigui granules by regulating purine metabolism. J PHARM ANAL. 2023 Aug;:} {WB} {Rat}
[IF={{ 8.469 }}] {Wu, Xiaosheng. et al. USP3 promotes gastric cancer progression and metastasis by deubiquitination-dependent COL9A3/COL6A5 stabilisation. Cell Death Dis. 2021 Dec;13(1):1-11} {WB,IHC,IP} {Mouse,Human}
[IF={{ 5.714 }}] {Xianyan Liu. et al. Collagen VI antibody reduces atherosclerosis by activating monocyte/macrophage polarization in ApoE−/− mice. INT IMMUNOPHARMACOL. 2022 Oct;111:109100} {ELISA} {Mouse}
[IF={{ 5.2 }}] {Baoling Bai. et al. Pathological mechanisms of type 1 diabetes in children: investigation of the exosomal protein expression profile. FRONT ENDOCRINOL. 2023; 14: 1271929} {WB} {Human}
技术资料暂无技术资料 索取技术资料





