相关产品推荐更多 >

Fbx32 Rabbit pAb, BF405 conjugated(bs-2591R-BF405)-100ul
¥2980
TTF1/NKX2-1 Rabbit pAb, AP conjugated(bs-10539R-AP)-100ul
¥2980
PKC delta Rabbit pAb, Cy7 conjugated(bs-23441R-Cy7)-100ul
¥2980
phospho-Brk (Tyr447) Rabbit pAb, BF405 conjugated(bs-12890R-BF405)-100ul
¥2980
RAB36 Rabbit pAb(bs-21084R)-50ul/100ul/200ul
¥1180
万千商家帮你免费找货
0 人在求购买到急需产品
- 详细信息
- 文献和实验
- 技术资料
- 应用范围:
产品信息以Bioss网站为准
- 规格:
50ul/100ul/200ul
| 规格: | 50ul | 产品价格: | ¥1180.0 |
|---|---|---|---|
| 规格: | 100ul | 产品价格: | ¥1980.0 |
| 规格: | 200ul | 产品价格: | ¥2800.0 |
| 产品编号 | bs-6884R |
| 英文名称 | TSSC3 Rabbit pAb |
| 中文名称 | 肿瘤抑制转移候选基因3抗体 |
| 英文别名 | Beckwith Wiedemann syndrome chromosome region 1 candidate protein C; Beckwith-Wiedemann syndrome chromosomal region 1 candidate gene C protein; BRW 1C; BRW1C; BWR 1C; BWR1C; HLDA 2; HLDA2; Imprinted in placenta and liver; Imprinted in placenta and liver protein; IPL; p17 Beckwith Wiedemann region 1C; p17 BWR1C; p17-Beckwith-Wiedemann region 1 C; p17-BWR1C; PHLA2_HUMAN; PHLDA 2; PHLDA2; Pleckstrin homology like domain family A member 2; Pleckstrin homology-like domain family A member 2; TSSC 3; Tumor suppressing STF cDNA 3 protein; Tumor suppressing subchromosomal transferable fragment candidate gene 3 protein; Tumor suppressing subchromosomal transferable fragment cDNA 3; Tumor suppressing subtransferable candidate 3; Tumor supressing STF cDNA 3; Tumor-suppressing STF cDNA 3 protein; Tumor-suppressing subchromosomal transferable fragment candidate gene 3 protein. |
| 产品应用 | WB=1:500-2000, IHC-P=1:100-500, IHC-F=1:100-500, IF=1:100-500 Not yet tested in other applications. |
| 交叉反应 | Human, Rat (Mouse, Chicken, Pig, Cow, Horse) |
| 抗体来源 | Rabbit |
| 免疫原 | KLH conjugated synthetic peptide derived from human TSSC3 |
| 亚型 | IgG |
| 性状 | Liquid |
| 纯化方法 | affinity purified by Protein A |
| 克隆类型 | Polyclonal |
| 理论分子量 | 17 kDa |
| 浓度 | 1mg/ml |
| 储存液 | 0.01M TBS (pH7.4) with 1% BSA, 0.02% Proclin300 and 50% Glycerol. |
| 亚细胞定位 | Cytoplasm. Membrane. |
| 组织特异性 | Expressed in placenta and adult prostate gland. In placenta, it is present in all cells of the villous cytotrophoblast. The protein is absent in cells from hydatidiform moles. Hydatidiform mole is a gestation characterized by abnormal development of both fetus and trophoblast. The majority of hydatidiform moles are associated with an excess of paternal to maternal genomes and are likely to result from the abnormal expression of imprinted genes (at protein level). Expressed at low levels in adult liver and lung, and fetal liver. Expressed in adult brain and neuroblastoma, medullablastoma and glioblastoma cell lines. |
| 相似性 | Belongs to the PHLDA2 family. [SIMILARITY] Contains 1 PH domain. |
| 功能 | Plays a role in regulating placenta growth. May act via its PH domain that competes with other PH domain-containing proteins, thereby preventing their binding to membrane lipids (By similarity). |
| 保存条件 | Shipped at 4℃. Store at -20℃ for one year. Avoid repeated freeze/thaw cycles. |
| 注意事项 | This product as supplied is intended for research use only, not for use in human, therapeutic or diagnostic applications. |
| 背景资料 | Plays a role in regulating placenta growth. May act via its PH domain that competes with other PH domain-containing proteins, thereby preventing their binding to membrane lipids. |
| 应用 | 推荐稀释比例 |
| {WB} | {1:500-2000} |
| {IHC-P} | {1:100-500} |
| {IHC-F} | {1:100-500} |
| {IF} | {1:100-500} |

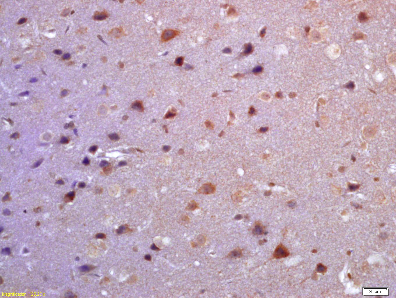
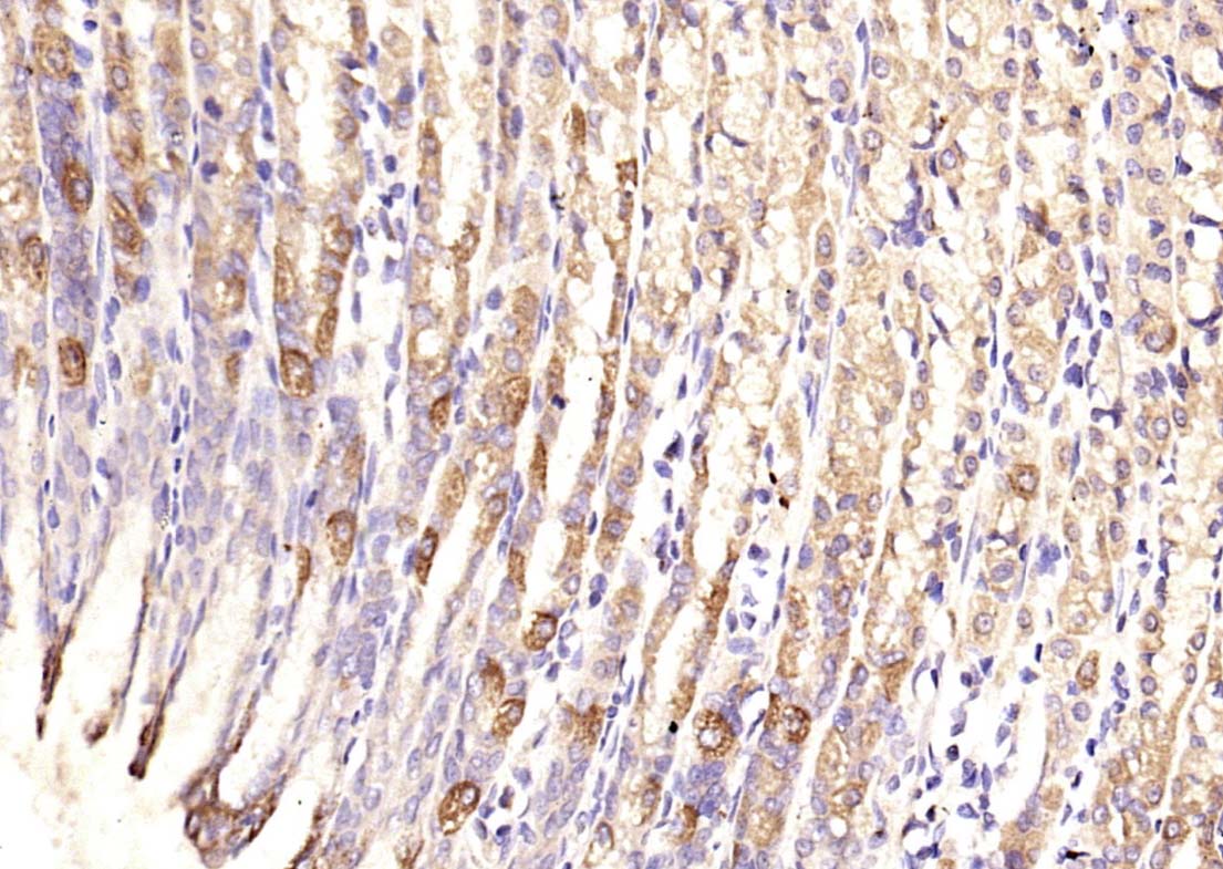
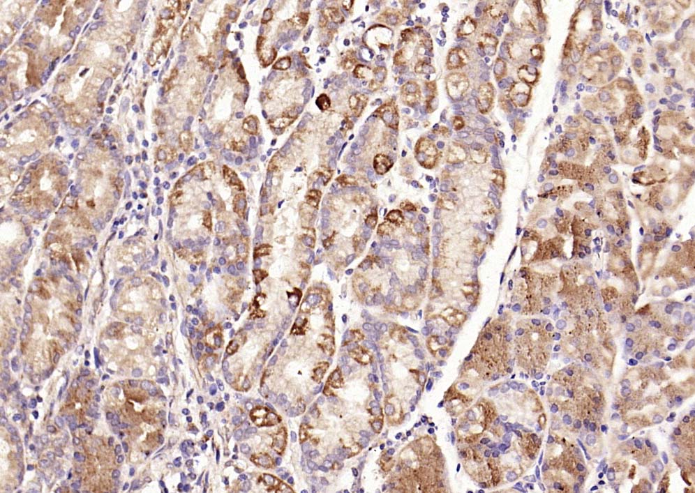
Antigen retrieval: citrate buffer ( 0.01M, pH 6.0 ), Boiling bathing for 15min; Block endogenous peroxidase by 3% Hydrogen peroxide for 30min; Blocking buffer (normal goat serum,C-0005) at 37℃ for 20 min;
Incubation: Anti-TSSC3 Polyclonal Antibody, Unconjugated(bs-6884R) 1:200, overnight at 4°C, followed by conjugation to the secondary antibody(SP-0023) and DAB(C-0010) staining




A549(Human) Cell Lysate at 30 ug
Primary: Anti-TSSC3 (bs-6884R) at 1/1000 dilution
Secondary: IRDye800CW Goat Anti-Rabbit IgG at 1/20000 dilution
Predicted band size: 17 kD
Observed band size: 18 kD
风险提示:丁香通仅作为第三方平台,为商家信息发布提供平台空间。用户咨询产品时请注意保护个人信息及财产安全,合理判断,谨慎选购商品,商家和用户对交易行为负责。对于医疗器械类产品,请先查证核实企业经营资质和医疗器械产品注册证情况。
文献和实验[IF={{ 2.773 }}] {Dong J et al. The increased expression of glucose transporters in human full-term placentas from assisted reproductive technology without changes of mTOR signaling. Placenta. 2019 Oct;86:4-10.} {WB} {Human}
[IF={{ 2.4 }}] {Jin, Feng, et al. "The expression of the imprinted gene PHLDA2 in placental tissues of preeclampsia and its effects on the proliferation, migration and invasion of trophoblast cells JEG‐3." Clinical and Experimental Pharmacology and Physiology (2015).} {WB} {="Human"}
[IF={{ 2.09 }}] {Jin, Feng, et al. "Lentivirus-mediated PHLDA2 overexpression inhibits trophoblast proliferation, migration and invasion, and induces apoptosis."International Journal of Molecular Medicine.} {WB} {="Human"}
[IF={{ 13.6 }}] {Xibang Zhao. et al. Activation of CGRP receptor–mediated signaling promotes tendon-bone healing. SCI ADV. 2024 Mar;10(10)} {IF} {Mouse}
[IF={{ 1.07 }}] {Guo, Xueqing, et al. "The expression of imprinted genes IGF2 and PHLDA2 in mid-pregnancy have predictive values for the development of pre-eclampsia." Int J Clin Exp Med 10.6 (2017): 8934-8941.} {WB,IHC} {="Human"}
= NAL), appears to form upon oxidative cyclization of the nonfluorescent 2:1 lysine-HNE Michael adduct-Schiff base cross-link (Scheme 1). Polyclonal antibody (PAb) to the NAL-HNE fluorophore was raised in rabbit and found to be highly specific
GE Healthcare Benzamidine Sepharose™ 6B is p-aminobenzamidine covalently attached to Sepharose 6B by the epoxy coupling method. p-Aminobenzamidine (PAB), is a synthetic inhibitor of trypsin-like serine protease. Trypsin and trypsin
Nucleic Acid Programmable Protein Arrays: Versatile Tools for Array‐Based Functional Protein Studies
.g., Sigma) 50 mg/ml bis‐sulfosuccinimdylsuberate (BS3 ;Pierce, cat. no. PI 21580) in dimethylsulfoxide (DMSO) 5 mg/ml
技术资料暂无技术资料 索取技术资料





