相关产品推荐更多 >

MAP2 Rabbit pAb, HRP conjugated(bs-23816R-HRP)-100ul
¥2980
phospho-ILK-1 (Ser259) Rabbit pAb(bs-5445R)-50ul/100ul/200ul
¥1180
Integrin Alpha 3 + Beta 1 Rabbit pAb, PE-Cy7 conjugated(bs-1057R-PE-Cy7)-100ul
¥2980
MAP2 Rabbit pAb(bs-34252R)-50ul/100ul
¥1180
Tartrate Resistant Acid Phosphatase Rabbit pAb, AP conjugated(bs-22944R-AP)-100ul
¥2980
万千商家帮你免费找货
0 人在求购买到急需产品
- 详细信息
- 文献和实验
- 技术资料
- 应用范围:
产品信息以Bioss网站为准
- 规格:
50ul/100ul/200ul
| 规格: | 50ul | 产品价格: | ¥1180.0 |
|---|---|---|---|
| 规格: | 100ul | 产品价格: | ¥1980.0 |
| 规格: | 200ul | 产品价格: | ¥2800.0 |
| 产品编号 | bs-4200R |
| 英文名称 | Selenium Binding Protein 1 Rabbit pAb |
| 中文名称 | 硒结合蛋白1抗体 |
| 英文别名 | 56 kDa selenium binding protein; 56 kDa selenium-binding protein; hSBP; LPSB; SBP; SBP1; SBP1_HUMAN; SBP56; Selenbp1; Selenbp2; Selenium binding protein 2; Selenium binding protein1; Selenium-binding protein 1; SELNBP1; SP56. |
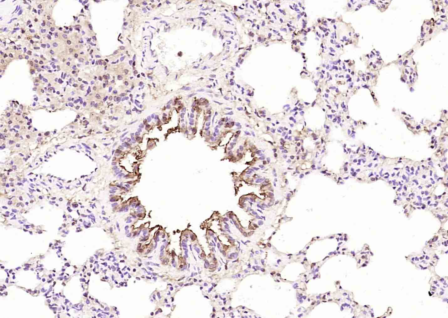
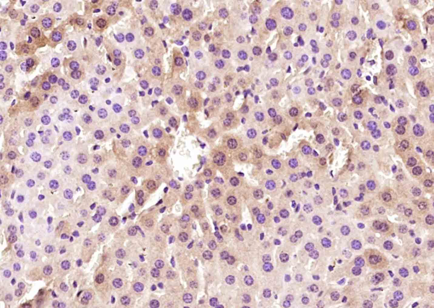
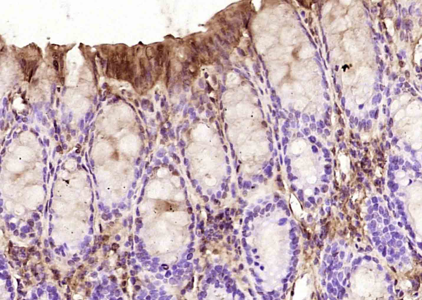
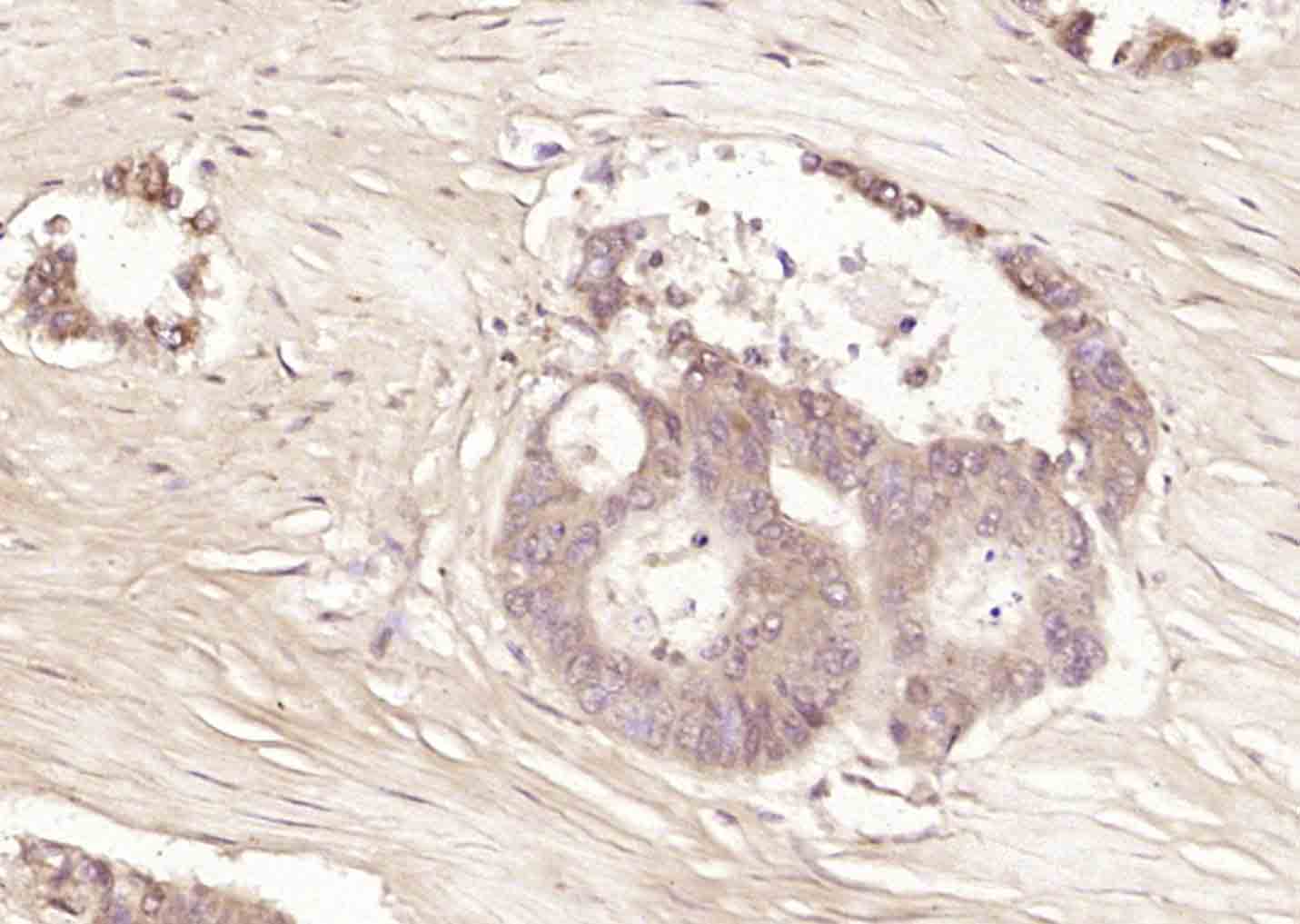
| 产品应用 | WB=1:500-2000, IHC-P=1:100-500, IHC-F=1:100-500, IF=1:100-500, Flow-Cyt=2ug/Test Not yet tested in other applications. |
| 交叉反应 | Human, Mouse, Rat (Dog, Cow, Rabbit) |
| 抗体来源 | Rabbit |
| 免疫原 | KLH conjugated synthetic peptide derived from human SBP1/Selenium Binding Protein 1 |
| 亚型 | IgG |
| 性状 | Liquid |
| 纯化方法 | affinity purified by Protein A |
| 克隆类型 | Polyclonal |
| 理论分子量 | 52 kDa |
| 浓度 | 1mg/ml |
| 储存液 | 0.01M TBS (pH7.4) with 1% BSA, 0.02% Proclin300 and 50% Glycerol. |
| 亚基 | Interacts with USP33. |
| 亚细胞定位 | Nucleus. Cytoplasm, cytosol. Membrane; Peripheral membrane protein. Note=May associate with Golgi membrane. May associate with the membrane of autophagosomes. |
| 组织特异性 | Present in liver and colon (at protein level). |
| 翻译后修饰 | The N-terminus is blocked. |
| 相似性 | Belongs to the selenium-binding protein family. |
| 功能 | Selenium-binding protein which may be involved in the sensing of reactive xenobiotics in the cytoplasm. May be involved in intra-Golgi protein transport. |
| 保存条件 | Shipped at 4℃. Store at -20℃ for one year. Avoid repeated freeze/thaw cycles. |
| 注意事项 | This product as supplied is intended for research use only, not for use in human, therapeutic or diagnostic applications. |
| 背景资料 | Selenium is an essential trace element that confers tolerance to toxicity arising through exposure to heavy metals or other reactive xenobiotics. Selenium exhibits potent anticarcinogenic properties, and deficiency of selenium may cause certain neurologic diseases. Both effects are attributed to selenium-binding proteins. Selenium binding protein 1 is down-regulated in lung adenocarcinoma, colorectal cander and ovarian cancer. It is two-fold upregulated in the brains of patients suffering from schizophrenia, and is therefore a biomarker for this disease. |
| 应用 | 推荐稀释比例 |
| {WB} | {1:500-2000} |
| {IHC-P} | {1:100-500} |
| {IHC-F} | {1:100-500} |
| {IF} | {1:100-500} |
| {Flow-Cyt} | {2ug/Test} |

Liver (Mouse) Lysate at 40 ug
Kidney (Mouse) Lysate at 40 ug
Primary: Anti- Selenium Binding Protein 1 (bs-4200R) at 1/1000 dilution
Secondary: IRDye800CW Goat Anti-Rabbit IgG at 1/20000 dilution
Predicted band size: 52 kD
Observed band size: 52 kD





Primary Antibody (green line): Rabbit Anti-Selenium Binding Protein 1 antibody (bs-4200R)
Dilution: 2μg /10^6 cells;
Isotype Control Antibody (orange line): Rabbit IgG .
Secondary Antibody : Goat anti-rabbit IgG-AF647
Dilution: 1μg /test.
Protocol
The cells were fixed with 4% PFA (10min at room temperature)and then permeabilized with 90% ice-cold methanol for 20 min at-20℃. The cells were then incubated in 5%BSA to block non-specific protein-protein interactions for 30 min at room temperature .Cells stained with Primary Antibody for 30 min at room temperature. The secondary antibody used for 40 min at room temperature. Acquisition of 20,000 events was performed.

Primary Antibody (green line): Rabbit Anti-Selenium Binding Protein 1 antibody (bs-4200R)
Dilution: 2μg /10^6 cells;
Isotype Control Antibody (orange line): Rabbit IgG .
Secondary Antibody : Goat anti-rabbit IgG-AF488R
Dilution: 1μg /test.
Protocol
The cells were fixed with 4% PFA (10min at room temperature)and then permeabilized with 90% ice-cold methanol for 20 min at-20℃. The cells were then incubated in 5%BSA to block non-specific protein-protein interactions for 30 min at room temperature .Cells stained with Primary Antibody for 30 min at room temperature. The secondary antibody used for 40 min at room temperature. Acquisition of 20,000 events was performed.
风险提示:丁香通仅作为第三方平台,为商家信息发布提供平台空间。用户咨询产品时请注意保护个人信息及财产安全,合理判断,谨慎选购商品,商家和用户对交易行为负责。对于医疗器械类产品,请先查证核实企业经营资质和医疗器械产品注册证情况。
文献和实验[IF={{ 6.107 }}] {Xiao-Hu Zhao. et al. Integrative analysis reveals marker genes for intestinal mucosa barrier repairing in clinical patients. ISCIENCE. 2023 May;:106831} {WB} {Human}
Nucleic Acid Programmable Protein Arrays: Versatile Tools for Array‐Based Functional Protein Studies
illustrating array features printed with plasmid DNA in the presence of capture antibodies and conversion of cDNA to protein by in vitro transcription and translation. Capture antibodies tether and immobilize proteins by binding to the protein‐fused affinity
for regeneration and cleaning.Contents 1. Preparing the medium 3 2. Packing Sepharose 6B medium 4 3. Using an adaptor 5 4. Binding of protein 5 5. Elution of protein 6 6. Regeneration 6 7. Cleaning 7 8. Storage 7 9. Ordering Information 7 10
技术资料暂无技术资料 索取技术资料






